Revision 6

#23371

Store at +4C

CST Logo
Orders:

877-616-CELL (2355)

[email protected]

Support:

877-678-TECH (8324)

3 Trask Lane | Danvers | Massachusetts | 01923 | USA

For Research Use Only. Not for Use in Diagnostic Procedures.

Applications:
IF-F, IF-IC, FC-FP

Reactivity:
H M R Mk

Sensitivity:
Endogenous

Source/Isotype:
Rabbit IgG

UniProt ID:
#P35222

Entrez-Gene Id:
1499

Product Usage Information

Application Dilution
Immunofluorescence (Frozen) 1:50 - 1:100
Immunofluorescence (Immunocytochemistry) 1:200 - 1:400
Flow Cytometry (Fixed/Permeabilized) 1:200

Storage

Supplied in PBS (pH 7.2), less than 0.1% sodium azide, and 2 mg/mL BSA. Store at 4°C. Do not aliquot the antibody. Protect from light. Do not freeze.

Specificity/Sensitivity

beta-Catenin (D10A8) Rabbit Monoclonal Antibody (Alexa Fluor® 647 Conjugate) recognizes endogenous levels of total β-catenin protein.

Species predicted to react based on 100% sequence homology

Zebrafish, Bovine, Pig, Horse, Guinea Pig

Source / Purification

Monoclonal antibody is produced by immunizing animals with a synthetic peptide corresponding to residues surrounding Pro714 of human β-catenin protein.

Description

This Cell Signaling Technology antibody is conjugated to Alexa Fluor® 647 fluorescent dye under optimal conditions and tested in-house for direct flow cytometric and immunofluorescent analysis in human cells and immunofluorescent analysis in mouse tissue. This antibody conjugate is expected to exhibit the same species cross-reactivity as the unconjugated β-Catenin (D10A8) XP® Rabbit mAb #8480.

Background

β-catenin is a key downstream effector in the Wnt signaling pathway (1). It is implicated in two major biological processes in vertebrates: early embryonic development (2) and tumorigenesis (3). CK1 phosphorylates β-catenin at Ser45. This phosphorylation event primes β-catenin for subsequent phosphorylation by GSK-3β (4-6). GSK-3β destabilizes β-catenin by phosphorylating it at Ser33, Ser37, and Thr41 (7). Mutations at these sites result in the stabilization of β-catenin protein levels and have been found in many tumor cell lines (8).

Species Reactivity

Species reactivity is determined by testing in at least one approved application (e.g., western blot).

Applications Key

IF-F: Immunofluorescence (Frozen) IF-IC: Immunofluorescence (Immunocytochemistry) FC-FP: Flow Cytometry (Fixed/Permeabilized)

Cross-Reactivity Key

H: Human M: Mouse R: Rat Mk: Monkey

Trademarks and Patents

Cell Signaling Technology is a trademark of Cell Signaling Technology, Inc.

This product is provided under an intellectual property license from Life Technologies Corporation. The transfer of this product is conditioned on the buyer using the purchased product solely in research conducted by the buyer, excluding contract research or any fee for service research, and the buyer must not (1) use this product or its components for (a) diagnostic, therapeutic or prophylactic purposes; (b) testing, analysis or screening services, or information in return for compensation on a per-test basis; or (c) manufacturing or quality assurance or quality control, and/or (2) sell or transfer this product or its components for resale, whether or not resold for use in research. For information on purchasing a license to this product for purposes other than as described above, contact Life Technologies Corporation, 5791 Van Allen Way, Carlsbad, CA 92008 USA or [email protected].

All other trademarks are the property of their respective owners. Visit cellsignal.com/trademarks for more information.

Limited Uses

Except as otherwise expressly agreed in a writing signed by a legally authorized representative of CST, the following terms apply to Products provided by CST, its affiliates or its distributors. Any Customer's terms and conditions that are in addition to, or different from, those contained herein, unless separately accepted in writing by a legally authorized representative of CST, are rejected and are of no force or effect.

Products are labeled with For Research Use Only or a similar labeling statement and have not been approved, cleared, or licensed by the FDA or other regulatory foreign or domestic entity, for any purpose. Customer shall not use any Product for any diagnostic or therapeutic purpose, or otherwise in any manner that conflicts with its labeling statement. Products sold or licensed by CST are provided for Customer as the end-user and solely for research and development uses. Any use of Product for diagnostic, prophylactic or therapeutic purposes, or any purchase of Product for resale (alone or as a component) or other commercial purpose, requires a separate license from CST. Customer shall (a) not sell, license, loan, donate or otherwise transfer or make available any Product to any third party, whether alone or in combination with other materials, or use the Products to manufacture any commercial products, (b) not copy, modify, reverse engineer, decompile, disassemble or otherwise attempt to discover the underlying structure or technology of the Products, or use the Products for the purpose of developing any products or services that would compete with CST products or services, (c) not alter or remove from the Products any trademarks, trade names, logos, patent or copyright notices or markings, (d) use the Products solely in accordance with CST Product Terms of Sale and any applicable documentation, and (e) comply with any license, terms of service or similar agreement with respect to any third party products or services used by Customer in connection with the Products.

Orders: 877-616-CELL (2355) [email protected] Support: 877-678-TECH (8324) [email protected] Web: cellsignal.com
For Research Use Only. Not for Use in Diagnostic Procedures.

Revision 6

Cell Signaling Technology Logo
Confocal immunofluorescent analysis of fixed frozen mouse colon. Sections were labeled with E-Cadherin (24E10) Rabbit mAb #3195 (right, green) prior to blocking free secondary binding sites with Rabbit (DA1E) mAb IgG XP® Isotype Control #3900. Sections were then labeled with β-Catenin (D10A8) XP® Rabbit mAb (Alexa Fluor® 647 Conjugate) (left, red) and DAPI #4083 (right, blue).
Immunofluorescence Image 1: beta-Catenin (D10A8) Rabbit Monoclonal Antibody (Alexa Fluor<sup>®</sup> 647 Conjugate)
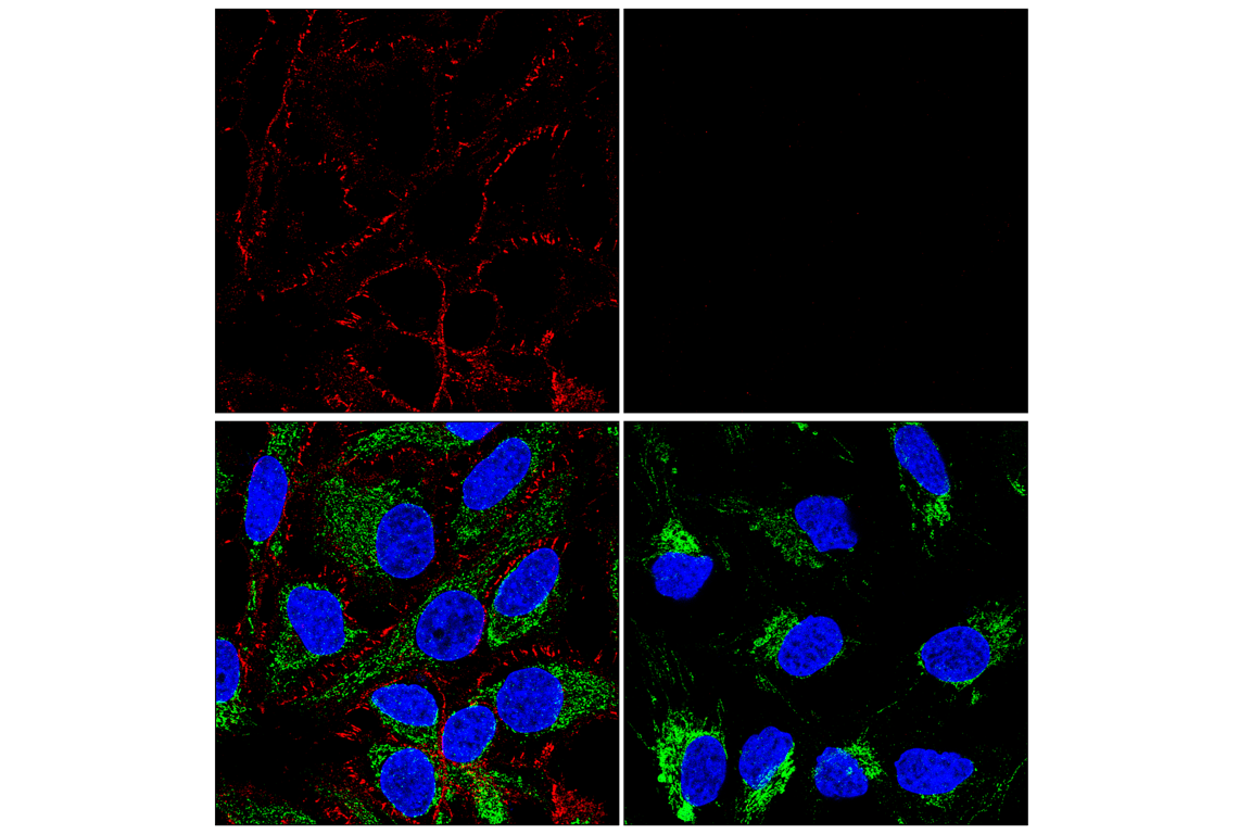
Confocal immunofluorescent analysis of HeLa cells (left, positive) and NCI-H28 cells (right, negative) using β-Catenin (D10A8) XP® Rabbit mAb (Alexa Fluor® 647 Conjugate) (red), MTHFD2 (E7A4L) XP® Rabbit mAb (Alexa Fluor® 488 Conjugate) #86804 (green), and DAPI #4083 (blue).
Immunofluorescence Image 1: beta-Catenin (D10A8) Rabbit Monoclonal Antibody (Alexa Fluor<sup>®</sup> 647 Conjugate)
Flow cytometric analysis of NCI-H28 cells (blue, negative) and HeLa cells (green, positive) using β-Catenin (D10A8) XP® Rabbit mAb (Alexa Fluor® 647 Conjugate) (solid lines) or concentration-matched Rabbit (DA1E) mAb IgG XP® Isotype Control (Alexa Fluor® 647 Conjugate) #2985 (dashed lines).
Flow Cytometry Image 1: beta-Catenin (D10A8) Rabbit Monoclonal Antibody (Alexa Fluor<sup>®</sup> 647 Conjugate)
Orders: 877-616-CELL (2355) [email protected] Support: 877-678-TECH (8324) [email protected] Web: cellsignal.com
For Research Use Only. Not for Use in Diagnostic Procedures.