Revision 1

#56553

Store at -20C

CST Logo
Orders:

877-616-CELL (2355)

[email protected]

Support:

877-678-TECH (8324)

3 Trask Lane | Danvers | Massachusetts | 01923 | USA

For Research Use Only. Not for Use in Diagnostic Procedures.

Applications:
W

Reactivity:
H M R

Sensitivity:
Endogenous

MW (kDa):
75

Source/Isotype:
Rabbit IgG

UniProt ID:
#P04049

Entrez-Gene Id:
5894

Product Usage Information

Application Dilution
Western Blotting 1:1000

Storage

Supplied in 140 mM NaCl, 3 mM KCI, 10 mM sodium phosphate (pH 7.4) dibasic, 2 mM potassium phosphate monobasic, 2 mg/mL BSA, and 50% glycerol. Store at –20°C. Do not aliquot the antibody.

Specificity/Sensitivity

c-Raf (D4B3J) Rabbit Monoclonal Antibody (Biotinylated) recognizes endogenous levels of total c-Raf protein.

Source / Purification

Monoclonal antibody is produced by immunizing animals with recombinant protein specific with a central region of human c-Raf protein.

Description

This Cell Signaling Technology antibody is conjugated to biotin under optimal conditions. The biotinylated antibody is expected to exhibit the same species cross-reactivity as the unconjugated c-Raf (D4B3J) Rabbit mAb #53745.

Background

A-Raf, B-Raf, and c-Raf (Raf-1) are the main effectors recruited by GTP-bound Ras to activate the MEK-MAP kinase pathway (1). Activation of c-Raf is the best understood and involves phosphorylation at multiple activating sites, including Ser338, Tyr341, Thr491, Ser494, Ser497, and Ser499 (2). p21-activated kinase (PAK) has been shown to phosphorylate c-Raf at Ser338, and the Src family phosphorylates Tyr341 to induce c-Raf activity (3,4). Ser338 of c-Raf corresponds to similar sites in A-Raf (Ser299) and B-Raf (Ser446), although this site is constitutively phosphorylated in B-Raf (5). Inhibitory 14-3-3 binding sites on c-Raf (Ser259 and Ser621) can be phosphorylated by Akt and AMPK, respectively (6,7). While A-Raf, B-Raf, and c-Raf are similar in sequence and function, differential regulation has been observed (8). Of particular interest, B-Raf contains three consensus Akt phosphorylation sites (Ser365, Ser429, and Thr440) and lacks a site equivalent to Tyr341 of c-Raf (8,9). Research studies have shown that the B-Raf mutation V600E results in elevated kinase activity and is commonly found in malignant melanoma (10). Six residues of c-Raf (Ser29, Ser43, Ser289, Ser296, Ser301, and Ser642) become hyperphosphorylated in a manner consistent with c-Raf inactivation. The hyperphosphorylation of these six sites is dependent on downstream MEK signaling and renders c-Raf unresponsive to subsequent activation events (11).

Species Reactivity

Species reactivity is determined by testing in at least one approved application (e.g., western blot).

Western Blot Buffer

IMPORTANT: For western blots, incubate membrane with diluted primary antibody in 5% w/v BSA, 1X TBS, 0.1% Tween® 20 at 4°C with gentle shaking, overnight.

Applications Key

W: Western Blotting

Cross-Reactivity Key

H: Human M: Mouse R: Rat

Trademarks and Patents

Cell Signaling Technology is a trademark of Cell Signaling Technology, Inc.

All other trademarks are the property of their respective owners. Visit cellsignal.com/trademarks for more information.

Limited Uses

Except as otherwise expressly agreed in a writing signed by a legally authorized representative of CST, the following terms apply to Products provided by CST, its affiliates or its distributors. Any Customer's terms and conditions that are in addition to, or different from, those contained herein, unless separately accepted in writing by a legally authorized representative of CST, are rejected and are of no force or effect.

Products are labeled with For Research Use Only or a similar labeling statement and have not been approved, cleared, or licensed by the FDA or other regulatory foreign or domestic entity, for any purpose. Customer shall not use any Product for any diagnostic or therapeutic purpose, or otherwise in any manner that conflicts with its labeling statement. Products sold or licensed by CST are provided for Customer as the end-user and solely for research and development uses. Any use of Product for diagnostic, prophylactic or therapeutic purposes, or any purchase of Product for resale (alone or as a component) or other commercial purpose, requires a separate license from CST. Customer shall (a) not sell, license, loan, donate or otherwise transfer or make available any Product to any third party, whether alone or in combination with other materials, or use the Products to manufacture any commercial products, (b) not copy, modify, reverse engineer, decompile, disassemble or otherwise attempt to discover the underlying structure or technology of the Products, or use the Products for the purpose of developing any products or services that would compete with CST products or services, (c) not alter or remove from the Products any trademarks, trade names, logos, patent or copyright notices or markings, (d) use the Products solely in accordance with CST Product Terms of Sale and any applicable documentation, and (e) comply with any license, terms of service or similar agreement with respect to any third party products or services used by Customer in connection with the Products.

Orders: 877-616-CELL (2355) [email protected] Support: 877-678-TECH (8324) [email protected] Web: cellsignal.com
For Research Use Only. Not for Use in Diagnostic Procedures.

Revision 1

Cell Signaling Technology Logo
Western blot analysis of extracts from various cell lines using c-Raf (D4B3J) Rabbit mAb.
Western Blotting Image 1: c-Raf (D4B3J) Rabbit Monoclonal Antibody (Biotinylated)
Western blot analysis of extracts from 293T cells, mock transfected (-) or transfected with a construct expressing Myc/DDK-tagged full-length human c-Raf (hc-Raf-Myc/DDK; +) using c-Raf (D4B3J) Rabbit mAb.
Western Blotting Image 2: c-Raf (D4B3J) Rabbit Monoclonal Antibody (Biotinylated)
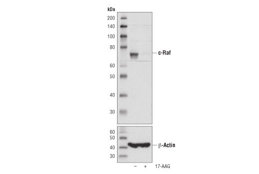
Western blot analysis of extracts from HT-29 cells, untreated (-) or treated with 17-AAG #8132 (1 μM, 24 hrs; +) using c-Raf (D4B3J) Rabbit mAb (upper) or β-Actin (D6A8) Rabbit mAb #8457 (lower).
Western Blotting Image 3: c-Raf (D4B3J) Rabbit Monoclonal Antibody (Biotinylated)
Orders: 877-616-CELL (2355) [email protected] Support: 877-678-TECH (8324) [email protected] Web: cellsignal.com
For Research Use Only. Not for Use in Diagnostic Procedures.