Revision 1

#74467

Store at -20C

CST Logo
Orders:

877-616-CELL (2355)

[email protected]

Support:

877-678-TECH (8324)

3 Trask Lane | Danvers | Massachusetts | 01923 | USA

For Research Use Only. Not for Use in Diagnostic Procedures.

Applications:
W

Reactivity:
H M R Mk

Sensitivity:
Endogenous

MW (kDa):
125,130

Source/Isotype:
Rabbit IgG

UniProt ID:
#Q13191

Entrez-Gene Id:
868

Product Usage Information

Application Dilution
Western Blotting 1:1000

Storage

Supplied in 140 mM NaCl, 3 mM KCI, 10 mM sodium phosphate (pH 7.4) dibasic, 2 mM potassium phosphate monobasic, 2 mg/mL BSA, and 50% glycerol. Store at –20°C. Do not aliquot the antibody.

Specificity/Sensitivity

Cbl-b (D3C12) Rabbit Monoclonal Antibody (Biotinylated) recognizes endogenous levels of total Cbl-b protein. This antibody does not cross-react with c-Cbl and based upon sequence alignment, is not predicted to cross-react with Cbl-c.

Species predicted to react based on 100% sequence homology

Bovine, Rabbit

Source / Purification

Monoclonal antibody is produced by immunizing animals with a synthetic peptide corresponding to residues near the carboxy terminus of human Cbl-b protein.

Description

This Cell Signaling Technology antibody is conjugated to biotin under optimal conditions. The biotinylated antibody is expected to exhibit the same species cross-reactivity as the unconjugated Cbl-b (D3C12) Rabbit mAb #9498.

Background

The Casitas B lineage lymphoma (Cbl) proteins (in mammals these are c-Cbl, Cbl-b, and Cbl-c) are a family of single subunit RING finger protein-ubiquitin E3 ligases that contain multiple protein interaction motifs (1). All Cbl proteins have a highly conserved N-terminal tyrosine kinase-binding (TKB) domain that mediates interactions between Cbl proteins and phosphorylated tyrosine residues on Cbl substrates. C-terminal to the RING finger, Cbl proteins have proline-rich domains that mediate interactions with SH3 domain-containing proteins. Phosphorylated tyrosine residues mediate interactions with SH2 domain-containing proteins such as the p85 subunit of PI3K. These protein-protein interaction motifs allow Cbl family proteins to function as adaptor proteins (2). This adaptor function contributes to the E3-dependent activities of Cbl proteins by targeting specific substrates for ubiquitination and degradation. The adaptor function also contributes to non-E3-dependent activities, such as the recruitment of proteins involved in receptor tyrosine kinase internalization, localization of Cbl proteins to specific subcellular compartments, and activation of discrete signaling pathways (1).

Species Reactivity

Species reactivity is determined by testing in at least one approved application (e.g., western blot).

Western Blot Buffer

IMPORTANT: For western blots, incubate membrane with diluted primary antibody in 5% w/v BSA, 1X TBS, 0.1% Tween® 20 at 4°C with gentle shaking, overnight.

Applications Key

W: Western Blotting

Cross-Reactivity Key

H: Human M: Mouse R: Rat Mk: Monkey

Trademarks and Patents

Cell Signaling Technology is a trademark of Cell Signaling Technology, Inc.

All other trademarks are the property of their respective owners. Visit cellsignal.com/trademarks for more information.

Limited Uses

Except as otherwise expressly agreed in a writing signed by a legally authorized representative of CST, the following terms apply to Products provided by CST, its affiliates or its distributors. Any Customer's terms and conditions that are in addition to, or different from, those contained herein, unless separately accepted in writing by a legally authorized representative of CST, are rejected and are of no force or effect.

Products are labeled with For Research Use Only or a similar labeling statement and have not been approved, cleared, or licensed by the FDA or other regulatory foreign or domestic entity, for any purpose. Customer shall not use any Product for any diagnostic or therapeutic purpose, or otherwise in any manner that conflicts with its labeling statement. Products sold or licensed by CST are provided for Customer as the end-user and solely for research and development uses. Any use of Product for diagnostic, prophylactic or therapeutic purposes, or any purchase of Product for resale (alone or as a component) or other commercial purpose, requires a separate license from CST. Customer shall (a) not sell, license, loan, donate or otherwise transfer or make available any Product to any third party, whether alone or in combination with other materials, or use the Products to manufacture any commercial products, (b) not copy, modify, reverse engineer, decompile, disassemble or otherwise attempt to discover the underlying structure or technology of the Products, or use the Products for the purpose of developing any products or services that would compete with CST products or services, (c) not alter or remove from the Products any trademarks, trade names, logos, patent or copyright notices or markings, (d) use the Products solely in accordance with CST Product Terms of Sale and any applicable documentation, and (e) comply with any license, terms of service or similar agreement with respect to any third party products or services used by Customer in connection with the Products.

Orders: 877-616-CELL (2355) [email protected] Support: 877-678-TECH (8324) [email protected] Web: cellsignal.com
For Research Use Only. Not for Use in Diagnostic Procedures.

Revision 1

Cell Signaling Technology Logo
Western blot analysis of extracts from various cell lines using Cbl-b (D3C12) Rabbit mAb.
Western Blotting Image 1: Cbl-b (D3C12) Rabbit Monoclonal Antibody (Biotinylated)
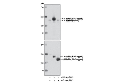
Western blot analysis of extracts from 293T cells, either mock transfected (-) or transfected with constructs expressing Myc/DDK-tagged full-length human Cbl-b (hCbl-b-Myc/DDK; +) and Myc/DDK-tagged full-length human c-Cbl (hc-Cbl-Myc/DDK; +), using Cbl-b (D3C12) Rabbit mAb (upper) or DYKDDDDK Tag Antibody #2368 (lower).
Western Blotting Image 2: Cbl-b (D3C12) Rabbit Monoclonal Antibody (Biotinylated)
Orders: 877-616-CELL (2355) [email protected] Support: 877-678-TECH (8324) [email protected] Web: cellsignal.com
For Research Use Only. Not for Use in Diagnostic Procedures.