Revision 1

#48612

Store at +4C

CST Logo
Orders:

877-616-CELL (2355)

[email protected]

Support:

877-678-TECH (8324)

3 Trask Lane | Danvers | Massachusetts | 01923 | USA

For Research Use Only. Not for Use in Diagnostic Procedures.

Applications:
IHC-P

Reactivity:
H Mk

Sensitivity:
Endogenous

Source/Isotype:
Rabbit IgG

UniProt ID:
#P28907

Entrez-Gene Id:
952

Product Usage Information

Application Dilution
Immunohistochemistry (Paraffin) 1:100 - 1:400

Storage

Supplied in PBS (pH 7.2), less than 0.1% sodium azide, and 2 mg/mL BSA. Store at 4°C. Do not aliquot the antibody. Protect from light. Do not freeze.

Specificity/Sensitivity

CD38 (E7Z8C) Rabbit Monoclonal Antibody (Alexa Fluor® 555 Conjugate) recognizes endogenous levels of total CD38 protein.

Source / Purification

Monoclonal antibody is produced by immunizing animals with a synthetic peptide corresponding to residues surrounding Arg247 of human CD38 protein.

Description

This Cell Signaling Technology® antibody is conjugated to Alexa Fluor® 555 fluorescent dye under optimal conditions. This antibody conjugate is expected to exhibit the same species cross-reactivity as the unconjugated CD38 (E7Z8C) XP® Rabbit mAb #51000.

Background

Cyclic ADP-ribose hydrolase 1 (CD38) is a transmembrane protein involved in several important biological processes, including immune response, insulin secretion, and social behavior. Originally described as a glycosylated immune cell surface marker, additional research determined that CD38 is a multifunctional enzyme that catalyzes the synthesis and hydrolysis of cyclic ADP ribose (cADPR) from NAD (1,2). Under acidic conditions, CD38 also catalyzes the synthesis of nicotinic acid adenine dinucleotide phosphate (NAADP) from NADP+. Both cADPR and NAADP act as calcium ion mobilizing messengers that target different intracellular Ca2+ stores (3-6). Since CD38 is the primary mammalian NAD+ glycohydrolase responsible for NAD+ metabolism, CD38 may be a valuable therapeutic target for treatment of metabolic diseases regulated by NAD+-dependent pathways (7,8). CD38 has also been considered a possible therapeutic target for antibody-mediated therapy for myeloma and chronic lymphocytic leukemia (9-11).

Species Reactivity

Species reactivity is determined by testing in at least one approved application (e.g., western blot).

Applications Key

IHC-P: Immunohistochemistry (Paraffin)

Cross-Reactivity Key

H: Human Mk: Monkey

Trademarks and Patents

Cell Signaling Technology is a trademark of Cell Signaling Technology, Inc.

Alexa Fluor is a registered trademark of Life Technologies Corporation.

This product is provided under an intellectual property license from Life Technologies Corporation. The transfer of this product is conditioned on the buyer using the purchased product solely in research conducted by the buyer, excluding contract research or any fee for service research, and the buyer must not (1) use this product or its components for (a) diagnostic, therapeutic or prophylactic purposes; (b) testing, analysis or screening services, or information in return for compensation on a per-test basis; or (c) manufacturing or quality assurance or quality control, and/or (2) sell or transfer this product or its components for resale, whether or not resold for use in research. For information on purchasing a license to this product for purposes other than as described above, contact Life Technologies Corporation, 5791 Van Allen Way, Carlsbad, CA 92008 USA or [email protected].

All other trademarks are the property of their respective owners. Visit cellsignal.com/trademarks for more information.

Limited Uses

Except as otherwise expressly agreed in a writing signed by a legally authorized representative of CST, the following terms apply to Products provided by CST, its affiliates or its distributors. Any Customer's terms and conditions that are in addition to, or different from, those contained herein, unless separately accepted in writing by a legally authorized representative of CST, are rejected and are of no force or effect.

Products are labeled with For Research Use Only or a similar labeling statement and have not been approved, cleared, or licensed by the FDA or other regulatory foreign or domestic entity, for any purpose. Customer shall not use any Product for any diagnostic or therapeutic purpose, or otherwise in any manner that conflicts with its labeling statement. Products sold or licensed by CST are provided for Customer as the end-user and solely for research and development uses. Any use of Product for diagnostic, prophylactic or therapeutic purposes, or any purchase of Product for resale (alone or as a component) or other commercial purpose, requires a separate license from CST. Customer shall (a) not sell, license, loan, donate or otherwise transfer or make available any Product to any third party, whether alone or in combination with other materials, or use the Products to manufacture any commercial products, (b) not copy, modify, reverse engineer, decompile, disassemble or otherwise attempt to discover the underlying structure or technology of the Products, or use the Products for the purpose of developing any products or services that would compete with CST products or services, (c) not alter or remove from the Products any trademarks, trade names, logos, patent or copyright notices or markings, (d) use the Products solely in accordance with CST Product Terms of Sale and any applicable documentation, and (e) comply with any license, terms of service or similar agreement with respect to any third party products or services used by Customer in connection with the Products.

Orders: 877-616-CELL (2355) [email protected] Support: 877-678-TECH (8324) [email protected] Web: cellsignal.com
For Research Use Only. Not for Use in Diagnostic Procedures.

Revision 1

Cell Signaling Technology Logo
Immunohistochemical analysis of paraffin-embedded normal human prostate using CD38 (E7Z8C) XP® Rabbit mAb (Alexa Fluor® 555 Conjugate) (red) and DAPI #4083 (blue).
Immunohistochemistry Image 1: CD38 (E7Z8C) Rabbit Monoclonal Antibody (Alexa Fluor<sup>®</sup> 555 Conjugate)
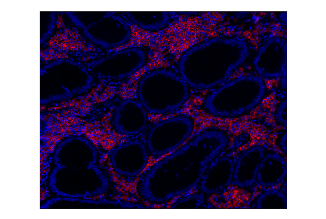
Immunohistochemical analysis of paraffin-embedded human colon adenocarcinoma using CD38 (E7Z8C) XP® Rabbit mAb (Alexa Fluor® 555 Conjugate) (red) and DAPI #4083 (blue).
Immunohistochemistry Image 2: CD38 (E7Z8C) Rabbit Monoclonal Antibody (Alexa Fluor<sup>®</sup> 555 Conjugate)
Orders: 877-616-CELL (2355) [email protected] Support: 877-678-TECH (8324) [email protected] Web: cellsignal.com
For Research Use Only. Not for Use in Diagnostic Procedures.