Cell Signaling Technology Logo - Extra Large
Recombinant Flag
Recombinant: Superior lot-to-lot consistency, continuous supply, and animal-free manufacturing.

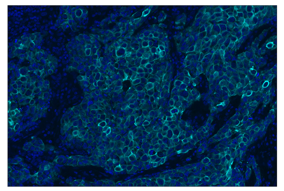
Pan-Keratin (Type I) (E6S1S) Rabbit Monoclonal Antibody (Alexa Fluor® 750 Conjugate) #80472

Filter:
  • IHC

    Product Specifications

    REACTIVITY H M R
    SENSITIVITY Endogenous
    MW (kDa)
    Source/Isotype Rabbit IgG
    Application Key:
    • IHC-Immunohistochemistry 
    Species Cross-Reactivity Key:
    • H-Human 
    • M-Mouse 
    • R-Rat 

    Product Information

    Product Description

    This Cell Signaling Technology® antibody is conjugated to Alexa Fluor® 750 fluorescent dye under optimal conditions. This antibody conjugate is expected to exhibit the same species cross-reactivity as the unconjugated Pan-Keratin (Type I) (E6S1S) Rabbit mAb #83957.

    Fluorescent Properties

    • ← Excitation: 749 nm ← Emission: 775 nm

    Product Usage Information

    Application Dilution
    Immunohistochemistry (Paraffin) 1:50 - 1:200

    Storage

    Supplied in PBS (pH 7.2), less than 0.1% sodium azide, and 2 mg/mL BSA. Store at 4°C. Do not aliquot the antibody. Protect from light. Do not freeze.

    Protocol

    Specificity / Sensitivity

    Pan-Keratin (Type I) (E6S1S) Rabbit Monoclonal Antibody (Alexa Fluor® 750 Conjugate) recognizes endogenous levels of total type I keratin protein. This antibody conjugate was validated to detect overexpressed keratin 10, 17, and 18. By homology, this antibody conjugate is also predicted to detect keratin 13, 14, 15, 16, and 19. This antibody conjugate does not detect type II keratins including keratin 1, 5, 6a, 7, and 8. Non-specific staining was observed in Leydig cells of the testis by immunohistochemistry.

    Species Reactivity:

    Human, Mouse, Rat

    Source / Purification

    Monoclonal antibody is produced by immunizing animals with a mix of synthetic peptides corresponding to residues highly conserved among type I keratins.

    Background

    Keratins (cytokeratins) are intermediate filament proteins that are mainly expressed in epithelial cells. Keratin heterodimers composed of an acidic keratin (or type I keratin, keratins K9-K28) and a basic keratin (or type II keratin, keratins K1-K8 and K71-K80) assemble to form filaments. Keratin isoforms demonstrate tissue- and differentiation-specific profiles that make them useful as research and clinical biomarkers (1,2).

    Dysregulation/mutations in keratin genes can lead to a variety of disorders affecting the skin, hair, nails, and other epithelial tissues (3). While expression of keratins can be variable, immunohistochemical staining of keratins is widely used to help in the identification and classification of epithelial tumors, and may also provide prognostic information.

    Keratins 8 and 18 (K8/K18) are expressed in simple epithelia of normal tissue, as well as in adenocarcinomas of the breast, lung, ovary, and gastrointestinal tract. Keratin 17 is expressed in basal keratinocytes of stratified epithelia, hair follicles, and sebaceous glands. Onset of keratin 17 expression coincides with the definition of major epithelial lineages during skin development (4). Keratin 14 (K14) is expressed in basal cells of stratified epithelia, and in basal-like subtypes of breast cancer and squamous cell carcinomas. Keratin 19 (K19) is expressed in glandular epithelia, including the liver, gallbladder, and pancreas, as well as in adenocarcinomas of the breast, thyroid, and bile duct. Keratin 20 (K20) is expressed in gastrointestinal epithelium, urothelium, and Merkel cells in the skin, as well as in colorectal carcinomas and some urothelial carcinomas. Keratin 5/6 (K5/6) is expressed in basal cells of stratified epithelia, including the skin, prostate, and breast, as well as in basal-like breast cancers, squamous cell carcinomas, and some lung carcinomas. Keratin 7 (K7) is expressed in glandular epithelia, such as those in the lung, breast, and female reproductive tract, as well as in adenocarcinomas of the lung, breast, and ovary (5,6).

    Keratins, particularly K8, K18, and K19, serve as biomarkers for identification of circulating tumor cells (CTCs) (5).

    Post-translational modifications, including phosphorylation, acetylation, ubiquitylation, sumoylation, glycosylation, and transamidation, have been shown to affect the functions of keratins in normal and disease states (6). Understanding the molecular mechanisms underlying these PTMs may provide insights into cancer pathogenesis.

    Alternate Names

    56 kDa cytokeratin; AI324768; AI528832; AI626930; AI663979; CK-10; CK-14; CK-15; CK-16; CK-17; CK-18; CK-19; CK18; cytokeratin 10; cytokeratin 14; cytokeratin 19; Cytokeratin endo B; Cytokeratin-10; Cytokeratin-14; Cytokeratin-15; Cytokeratin-16; Cytokeratin-17; Cytokeratin-18; Cytokeratin-19; D130054E02Rik; End; Endo B; EndoC; epidermal keratin 10; epidermolysis bullosa simplex, Dowling-Meara, Koebner; intermediate filament protein; K10; K14; K15; K16; K17; K18; K19; K1C1; K1C10; K1C14; K1C15; K1C16; K1C17; K1C18; K1C19; keratin 10; keratin 14; keratin 15; keratin 16; keratin 17; keratin 18; keratin 19; keratin complex 1, acidic, gene 10; keratin complex 1, acidic, gene 14; keratin complex 1, acidic, gene 15; keratin complex 1, acidic, gene 16; keratin complex 1, acidic, gene 17; keratin complex 1, acidic, gene 18; keratin complex 1, acidic, gene 19; Keratin D; keratin intermediate filament 16a; keratin intermediate filament 16b; Keratin-10; Keratin-14; Keratin-15; Keratin-16; Keratin-17; Keratin-18; Keratin-19; Keratin, type I cytoskeletal 10; Keratin, type I cytoskeletal 14; Keratin, type I cytoskeletal 15; Keratin, type I cytoskeletal 16; Keratin, type I cytoskeletal 17; Keratin, type I cytoskeletal 18; Keratin, type I cytoskeletal 19; Keratin, type I cytoskeletal 59 kDa; Kerd; Krt-1.1; Krt-1.10; Krt-1.14; Krt-1.19; Krt1-1; Krt1-10; Krt1-14; Krt1-15; Krt1-16; Krt1-17; Krt1-18; Krt1-19; Krt10; Krt14; Krt15; Krt16; Krt17; Krt18; Krt19; MGC124148; MGC25344; OTTMUSP00000002389; OTTMUSP00000002391; OTTMUSP00000002396; OTTMUSP00000002397; OTTMUSP00000005149; suprabasal cytokeratin 10

    For Research Use Only. Not for Use in Diagnostic Procedures.
    Cell Signaling Technology is a trademark of Cell Signaling Technology, Inc.
    Alexa Fluor is a registered trademark of Life Technologies Corporation.
    This product is provided under an intellectual property license from Life Technologies Corporation. The transfer of this product is conditioned on the buyer using the purchased product solely in research conducted by the buyer, excluding contract research or any fee for service research, and the buyer must not (1) use this product or its components for (a) diagnostic, therapeutic or prophylactic purposes; (b) testing, analysis or screening services, or information in return for compensation on a per-test basis; or (c) manufacturing or quality assurance or quality control, and/or (2) sell or transfer this product or its components for resale, whether or not resold for use in research. For information on purchasing a license to this product for purposes other than as described above, contact Life Technologies Corporation, 5791 Van Allen Way, Carlsbad, CA 92008 USA or [email protected].
    All other trademarks are the property of their respective owners. Visit our Trademark Information page.