Revision 7

#8059

Store at +4C

SignalStain® DAB Substrate Kit

Petite 1 Kit  (120 slides)
Small 1 Kit  (1200 slides)

CST Logo
Orders:

877-616-CELL (2355)

[email protected]

Support:

877-678-TECH (8324)

3 Trask Lane | Danvers | Massachusetts | 01923 | USA

For Research Use Only. Not for Use in Diagnostic Procedures.

Product Includes Product # Quantity (Petite) Quantity (Small)
SignalStain® DAB Diluent117241 x 12 ml1 x 120 ml
SignalStain® DAB Chromogen Concentrate117251 x 360 µl1 x 3.6 ml

Description

The SignalStain® DAB Substrate Kit contains all of the necessary reagents to prepare a working solution of diaminobenzidine (DAB) for staining tissue sections. Each SignalStain® DAB Substrate Kit includes enough DAB Diluent and DAB Chromogen Concentrate to stain either 1200 (#8059S) or 120 (#8059P) slides. The DAB working solution reacts with peroxidase (HRP) detection systems such as the SignalStain® Boost IHC Detection Reagents (HRP, Rabbit #8114, HRP, Mouse #8125, HRP, Rat #72838, and HRP, Goat #63707), yielding a brown reaction product.

Storage

Substrate kit should be stored at 4ºC, protected from light. Each kit is stable for 12 months upon receipt if the reagents are not combined. Once combined, the solution is stable for up to 2 weeks if kept at 4ºC.

Directions for Use

To prepare the DAB working solution, add 1 drop (30 μl) SignalStain® DAB Chromogen Concentrate to 1 ml SignalStain® DAB Diluent and mix well before use.

After incubation with SignalStain® Boost IHC Detection Reagent or other HRP-based detection systems, wash slides and incubate with the working solution at room temperature until staining develops. 1-10 minutes generally provides an acceptable staining intensity. Wash slides in water for 5 minutes. Counterstain, if desired, and mount coverslips with either a permanent mounting media or an aqueous-based mounting media. Please note, permanent mounting requires dehydration through ethanol and clearing through xylene.

Working solutions are stable for up to 14 days when stored at 4ºC or up to 5 days when stored at room temperature (approximately 25ºC). While the solution may change color over that time period, it will have no effect on the quality of the staining.

*Please note that when using 8059P, a dropper for the chromogen concentrate is not included. Use a pipet to add 30 μl of SignalStain® DAB Chromogen Concentrate to 1 ml SignalStain® DAB Diluent.

Important: DAB is a suspected carcinogen. Good laboratory practices should be followed, and appropriate protective equipment should be used when handling DAB, including gloves, protective eyeware, and a lab coat. Dispose in accordance with local regulations.

Trademarks and Patents

Cell Signaling Technology is a trademark of Cell Signaling Technology, Inc.

SignalStain is a registered trademark of Cell Signaling Technology, Inc.

All other trademarks are the property of their respective owners. Visit cellsignal.com/trademarks for more information.

Limited Uses

Except as otherwise expressly agreed in a writing signed by a legally authorized representative of CST, the following terms apply to Products provided by CST, its affiliates or its distributors. Any Customer's terms and conditions that are in addition to, or different from, those contained herein, unless separately accepted in writing by a legally authorized representative of CST, are rejected and are of no force or effect.

Products are labeled with For Research Use Only or a similar labeling statement and have not been approved, cleared, or licensed by the FDA or other regulatory foreign or domestic entity, for any purpose. Customer shall not use any Product for any diagnostic or therapeutic purpose, or otherwise in any manner that conflicts with its labeling statement. Products sold or licensed by CST are provided for Customer as the end-user and solely for research and development uses. Any use of Product for diagnostic, prophylactic or therapeutic purposes, or any purchase of Product for resale (alone or as a component) or other commercial purpose, requires a separate license from CST. Customer shall (a) not sell, license, loan, donate or otherwise transfer or make available any Product to any third party, whether alone or in combination with other materials, or use the Products to manufacture any commercial products, (b) not copy, modify, reverse engineer, decompile, disassemble or otherwise attempt to discover the underlying structure or technology of the Products, or use the Products for the purpose of developing any products or services that would compete with CST products or services, (c) not alter or remove from the Products any trademarks, trade names, logos, patent or copyright notices or markings, (d) use the Products solely in accordance with CST Product Terms of Sale and any applicable documentation, and (e) comply with any license, terms of service or similar agreement with respect to any third party products or services used by Customer in connection with the Products.

Orders: 877-616-CELL (2355) [email protected] Support: 877-678-TECH (8324) [email protected] Web: cellsignal.com
For Research Use Only. Not for Use in Diagnostic Procedures.

Revision 7

Cell Signaling Technology Logo
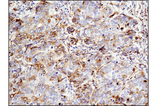
Immunohistochemical analysis of paraffin-embedded human ovarian carcinoma using Phospho-p44/42 MAPK (Erk1/2) (Thr202/Tyr204) (D13.14.4E) XP® Rabbit mAb #4370.
Immunohistochemistry Image 1: SignalStain<sup>®</sup> DAB Substrate Kit
Immunohistochemical analysis of paraffin-embedded human breast carcinoma using Phospho-S6 Ribosomal Protein (Ser235/236) (D57.2.2E) XP® Rabbit mAb #4858.
Immunohistochemistry Image 2: SignalStain<sup>®</sup> DAB Substrate Kit
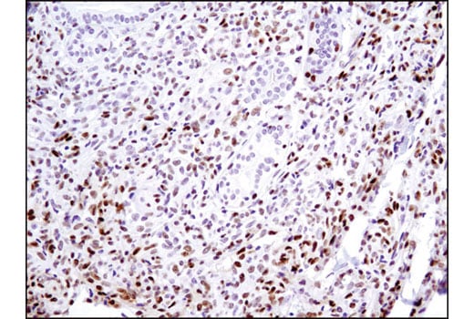
Immunohistochemical analysis of paraffin-embedded human capillary hemangioma using Phospho-Stat3 (Tyr705) (D3A7) XP® Rabbit mAb #9145.
Immunohistochemistry Image 3: SignalStain<sup>®</sup> DAB Substrate Kit
Orders: 877-616-CELL (2355) [email protected] Support: 877-678-TECH (8324) [email protected] Web: cellsignal.com
For Research Use Only. Not for Use in Diagnostic Procedures.