Revision 1

#72986

Store at +4C

CST Logo
Orders:

877-616-CELL (2355)

[email protected]

Support:

877-678-TECH (8324)

3 Trask Lane | Danvers | Massachusetts | 01923 | USA

For Research Use Only. Not for Use in Diagnostic Procedures.

Product Includes Product # Quantity (Small)
SignalStain® Deep Black Diluent583451 x 110 ml
SignalStain® Deep Black Chromogen Concentrate643791 x 3 ml

Description

The SignalStain® Deep Black Peroxidase Substrate Kit contains all of the necessary reagents to prepare a working solution of Deep Black for staining tissue sections. The Deep Black working solution is compatible with peroxidase (HRP) detection systems such as the SignalStain® Boost IHC Detection Reagents (HRP, Rabbit #8114, HRP, Mouse #8125, HRP, Rat #72838, and HRP, Goat #63707), yielding a black reaction product that can provide color contrast in pigmented tissues such as melanoma.

Storage

Substrate kit should be stored at 4ºC, protected from light. Each kit is stable for 6 months upon receipt if the reagents are not combined.

Directions for Use

1. To prepare the Deep Black/HRP chromogen-substrate working solution, add 1 drop SignalStain® Deep Black Chromogen Concentrate to 1 mL SignalStain® Deep Black Diluent. Mix well before use. Working solutions are stable for up to 1 day when stored at 4ºC. For optimal results, prepare fresh reagent.

2. After incubation with SignalStain® Boost IHC Detection Reagent or other HRP-based detection systems, wash slides and incubate with the working solution at room temperature until staining develops. 5-10 minutes generally provides an acceptable staining intensity.

3. Wash slides for 5 minutes in water.

4. Counterstain, if desired. Deep Black/HRP chromogen-substrate is compatible with Hematoxylin #14166.

5. Slides can be dehydrated through alcohol and cleared with xylene or xylene substitute or can be air dried, then permanently mounted with SignalStain® Aqueous Mounting Medium #27290 or SignalStain® Mounting Medium #14177.

For best color preservation and long-term slide storage, it is recommended to use SignalStain® Mounting Prep Solution #50815.

Appropriate personal protective equipment should be worn when handling Deep Black. Dispose of in accordance with local regulations.

Trademarks and Patents

Cell Signaling Technology is a trademark of Cell Signaling Technology, Inc.

SignalStain is a registered trademark of Cell Signaling Technology, Inc.

All other trademarks are the property of their respective owners. Visit cellsignal.com/trademarks for more information.

Limited Uses

Except as otherwise expressly agreed in a writing signed by a legally authorized representative of CST, the following terms apply to Products provided by CST, its affiliates or its distributors. Any Customer's terms and conditions that are in addition to, or different from, those contained herein, unless separately accepted in writing by a legally authorized representative of CST, are rejected and are of no force or effect.

Products are labeled with For Research Use Only or a similar labeling statement and have not been approved, cleared, or licensed by the FDA or other regulatory foreign or domestic entity, for any purpose. Customer shall not use any Product for any diagnostic or therapeutic purpose, or otherwise in any manner that conflicts with its labeling statement. Products sold or licensed by CST are provided for Customer as the end-user and solely for research and development uses. Any use of Product for diagnostic, prophylactic or therapeutic purposes, or any purchase of Product for resale (alone or as a component) or other commercial purpose, requires a separate license from CST. Customer shall (a) not sell, license, loan, donate or otherwise transfer or make available any Product to any third party, whether alone or in combination with other materials, or use the Products to manufacture any commercial products, (b) not copy, modify, reverse engineer, decompile, disassemble or otherwise attempt to discover the underlying structure or technology of the Products, or use the Products for the purpose of developing any products or services that would compete with CST products or services, (c) not alter or remove from the Products any trademarks, trade names, logos, patent or copyright notices or markings, (d) use the Products solely in accordance with CST Product Terms of Sale and any applicable documentation, and (e) comply with any license, terms of service or similar agreement with respect to any third party products or services used by Customer in connection with the Products.

Orders: 877-616-CELL (2355) [email protected] Support: 877-678-TECH (8324) [email protected] Web: cellsignal.com
For Research Use Only. Not for Use in Diagnostic Procedures.

Revision 1

Cell Signaling Technology Logo
Immunohistochemical analysis of paraffin-embedded human lung carcinoma using Vimentin (D21H3) XP® Rabbit mAb #5741.
Note: Detection was performed with SignalStain® Boost IHC Detection Reagent (HRP, Rabbit) #8114 and SignalStain® Deep Black Peroxidase Substrate Kit.
Immunohistochemistry Image 1: SignalStain<sup>®</sup> Deep Black Peroxidase Substrate Kit
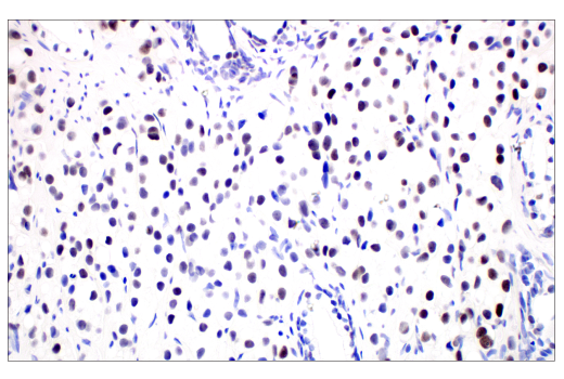
Immunohistochemical analysis of paraffin-embedded human prostate carcinoma using Androgen Receptor (D6F11) XP® Rabbit mAb #5153.
Note: Detection was performed with SignalStain® Boost IHC Detection Reagent (HRP, Rabbit) #8114 and SignalStain® Deep Black Peroxidase Substrate Kit.
Immunohistochemistry Image 2: SignalStain<sup>®</sup> Deep Black Peroxidase Substrate Kit
Orders: 877-616-CELL (2355) [email protected] Support: 877-678-TECH (8324) [email protected] Web: cellsignal.com
For Research Use Only. Not for Use in Diagnostic Procedures.