Revision 6

#76713

Store at +4C

CST Logo
Orders:

877-616-CELL (2355)

[email protected]

Support:

877-678-TECH (8324)

3 Trask Lane | Danvers | Massachusetts | 01923 | USA

For Research Use Only. Not for Use in Diagnostic Procedures.

Product Includes Product # Quantity (Small)
SignalStain® Vibrant Red Diluent882811 x 120 ml
SignalStain® Vibrant Red Reagent 1282211 x 2.5 ml
SignalStain® Vibrant Red Reagent 2521031 x 2.5 ml

Description

The SignalStain® Vibrant Red Alkaline Phosphatase Substrate Kit contains all of the necessary reagents to prepare a working solution of Vibrant Red for staining tissue sections. The Vibrant Red working solution reacts with alkaline phosphatase (AP) detection systems such as the SignalStain® Boost IHC Detection Reagents (AP, Rabbit #18653, AP, Mouse #31926, AP, Rat #15764, and AP, Goat #26927), yielding a heat stable, red reaction product that is also fluorescent.

Storage

Substrate kit should be stored at 4ºC, protected from light. Each kit is stable for 12 months upon receipt if the reagents are not combined.

Directions for Use

1. To prepare the Vibrant Red working solution, to 5 ml SignalStain® Vibrant Red Diluent add 2 drops SignalStain® Vibrant Red Reagent 1 and 2 drops SignalStain® Vibrant Red Reagent 2. Mix well before use.

2. After incubation with SignalStain® Boost IHC Detection Reagent or other AP-based detection systems, wash slides and incubate with the working solution at room temperature for 20-30 minutes.

3. Wash slides in TBS-T for 5 minutes and then rinse slides in water. Counterstain, if desired.

Vibrant Red is compatible with permanent and aqueous mounting. Please note, permanent mounting requires dehydration through ethanol and clearing in xylene.

Optimal development times should be determined by the investigator. Working solutions should be used within 15 minutes of preparation. Do not heat Vibrant Red kit components or working solution.

The reaction product is also fluorescent and non-fading and can be viewed with TRITC filter systems.

Appropriate personal protective equipment should be worn when handling Vibrant Red. Dispose of in accordance with local regulations.

Trademarks and Patents

Cell Signaling Technology is a trademark of Cell Signaling Technology, Inc.

E1L3N is a registered trademark of Cell Signaling Technology, Inc.

SignalStain is a registered trademark of Cell Signaling Technology, Inc.

All other trademarks are the property of their respective owners. Visit cellsignal.com/trademarks for more information.

Limited Uses

Except as otherwise expressly agreed in a writing signed by a legally authorized representative of CST, the following terms apply to Products provided by CST, its affiliates or its distributors. Any Customer's terms and conditions that are in addition to, or different from, those contained herein, unless separately accepted in writing by a legally authorized representative of CST, are rejected and are of no force or effect.

Products are labeled with For Research Use Only or a similar labeling statement and have not been approved, cleared, or licensed by the FDA or other regulatory foreign or domestic entity, for any purpose. Customer shall not use any Product for any diagnostic or therapeutic purpose, or otherwise in any manner that conflicts with its labeling statement. Products sold or licensed by CST are provided for Customer as the end-user and solely for research and development uses. Any use of Product for diagnostic, prophylactic or therapeutic purposes, or any purchase of Product for resale (alone or as a component) or other commercial purpose, requires a separate license from CST. Customer shall (a) not sell, license, loan, donate or otherwise transfer or make available any Product to any third party, whether alone or in combination with other materials, or use the Products to manufacture any commercial products, (b) not copy, modify, reverse engineer, decompile, disassemble or otherwise attempt to discover the underlying structure or technology of the Products, or use the Products for the purpose of developing any products or services that would compete with CST products or services, (c) not alter or remove from the Products any trademarks, trade names, logos, patent or copyright notices or markings, (d) use the Products solely in accordance with CST Product Terms of Sale and any applicable documentation, and (e) comply with any license, terms of service or similar agreement with respect to any third party products or services used by Customer in connection with the Products.

Orders: 877-616-CELL (2355) [email protected] Support: 877-678-TECH (8324) [email protected] Web: cellsignal.com
For Research Use Only. Not for Use in Diagnostic Procedures.

Revision 6

Cell Signaling Technology Logo
Immunohistochemical analysis of paraffin-embedded human colon using CD8α (D8A8Y) Rabbit mAb #85336. Note: Detection was performed with SignalStain® Boost IHC Detection Reagent (AP, Rabbit) #18653 and SignalStain® Vibrant Red Alkaline Phosphatase Substrate Kit.
Immunohistochemistry Image 1: SignalStain<sup>®</sup> Vibrant Red Alkaline Phosphatase Substrate Kit
Immunohistochemical analysis of paraffin-embedded human ovarian carcinoma (left) and gastric adenocarcinoma (right) using Vimentin (D21H3) XP® Rabbit mAb #5741 (red) and E-Cadherin (4A2) Mouse mAb #14472 (brown).SignalStain® Boost IHC Detection Reagent (AP, Rabbit) #18653 and SignalStain® Vibrant Red Alkaline Phosphatase Substrate Kit were used to detect Vimentin (D21H3) XP® Rabbit mAb. SignalStain® Boost IHC Detection Reagent (HRP, Mouse) #8125 and SignalStain® DAB Substrate Kit #8059 were used to detect E-Cadherin (4A2) Mouse mAb.
Immunohistochemistry Image 2: SignalStain<sup>®</sup> Vibrant Red Alkaline Phosphatase Substrate Kit
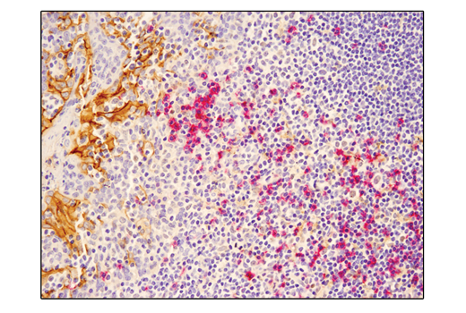
Immunohistochemical analysis of paraffin-embedded human tonsil using CD8α (C8/144B) Mouse mAb (IHC Specific) #70306 (red) and PD-L1 (E1L3N®) XP® Rabbit mAb #13684 (brown). SignalStain® Boost IHC Detection Reagent (AP, Mouse) #31926 and SignalStain® Vibrant Red Alkaline Phosphatase Substrate Kit were used to detect CD8α (C8/144B) Mouse mAb (IHC Specific). SignalStain® Boost IHC Detection Reagent (HRP, Rabbit) #8114 and SignalStain® DAB Substrate Kit #8059 were used to detect PD-L1 (E1L3N®) XP® Rabbit mAb.
Immunohistochemistry Image 3: SignalStain<sup>®</sup> Vibrant Red Alkaline Phosphatase Substrate Kit
Orders: 877-616-CELL (2355) [email protected] Support: 877-678-TECH (8324) [email protected] Web: cellsignal.com
For Research Use Only. Not for Use in Diagnostic Procedures.