Revision 2

#62643

Store at -20C

CST Logo
Orders:

877-616-CELL (2355)

[email protected]

Support:

877-678-TECH (8324)

3 Trask Lane | Danvers | Massachusetts | 01923 | USA

For Research Use Only. Not for Use in Diagnostic Procedures.

MW (kDa):
18

UniProt ID:
#P01583

Entrez-Gene Id:
3552

Background

Interleukin 1 alpha (IL-1α) belongs to the IL-1 family of cytokines with 11 members including IL-1β. IL-1α is expressed in many cell types of both hematopoietic and non-hematopoietic origins under steady state, and its expression can be increased in response to appropriate stimuli (1,2). Like IL-1β, IL-1α is also synthesized as a precursor (pro-IL-1α) and can be cleaved into smaller mature forms. However, both pro-IL-1α and the cleaved form of IL-1α are biologically active and can activate the signaling pathway through the membrane receptor IL-1R1. IL-1α is active both as a secreted form and as a membrane-bound form. Due to such characteristics, passive leakage of IL-1α from dying cells can activate inflammation, leading some researchers to consider IL-1α as a key “alarmin in the cell” that alerts the host to damage or injury (3,4). In addition, IL-1α can also enter the nucleus to modulate transcription (5,6).

Endotoxin

Endotoxin levels are less than or equal to 1 EU / 1 μg hIL-1α.

Purity

A greater than or equal to 95% purity was determined by SDS-PAGE.

Source / Purification

Recombinant human IL-1α was expressed in E. coli and is supplied in a lyophilized form.

Bioactivity

The bioactivity of recombinant hIL-1α was determined in a D10S cell proliferation assay. The ED50 of each lot is less than or equal to 50 pg/ml.

Trademarks and Patents

Cell Signaling Technology is a trademark of Cell Signaling Technology, Inc.

All other trademarks are the property of their respective owners. Visit cellsignal.com/trademarks for more information.

Limited Uses

Except as otherwise expressly agreed in a writing signed by a legally authorized representative of CST, the following terms apply to Products provided by CST, its affiliates or its distributors. Any Customer's terms and conditions that are in addition to, or different from, those contained herein, unless separately accepted in writing by a legally authorized representative of CST, are rejected and are of no force or effect.

Products are labeled with For Research Use Only or a similar labeling statement and have not been approved, cleared, or licensed by the FDA or other regulatory foreign or domestic entity, for any purpose. Customer shall not use any Product for any diagnostic or therapeutic purpose, or otherwise in any manner that conflicts with its labeling statement. Products sold or licensed by CST are provided for Customer as the end-user and solely for research and development uses. Any use of Product for diagnostic, prophylactic or therapeutic purposes, or any purchase of Product for resale (alone or as a component) or other commercial purpose, requires a separate license from CST. Customer shall (a) not sell, license, loan, donate or otherwise transfer or make available any Product to any third party, whether alone or in combination with other materials, or use the Products to manufacture any commercial products, (b) not copy, modify, reverse engineer, decompile, disassemble or otherwise attempt to discover the underlying structure or technology of the Products, or use the Products for the purpose of developing any products or services that would compete with CST products or services, (c) not alter or remove from the Products any trademarks, trade names, logos, patent or copyright notices or markings, (d) use the Products solely in accordance with CST Product Terms of Sale and any applicable documentation, and (e) comply with any license, terms of service or similar agreement with respect to any third party products or services used by Customer in connection with the Products.

Orders: 877-616-CELL (2355) [email protected] Support: 877-678-TECH (8324) [email protected] Web: cellsignal.com
For Research Use Only. Not for Use in Diagnostic Procedures.

Revision 2

Cell Signaling Technology Logo
Serial dilutions of Human IL-1α Recombinant Protein were added to D10S cells. Cell proliferation was measured and the linear portion of the curve was used to calculate the ED50.
undefined Image 1: Human IL-1 alpha Recombinant Protein
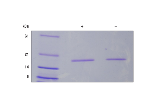
The purity of Human IL-1α Recombinant Protein was determined by SDS-PAGE of 1 µg reduced (+) and non-reduced (-) recombinant hIL-1α and staining with Coomassie Blue.
undefined Image 2: Human IL-1 alpha Recombinant Protein
Orders: 877-616-CELL (2355) [email protected] Support: 877-678-TECH (8324) [email protected] Web: cellsignal.com
For Research Use Only. Not for Use in Diagnostic Procedures.