Revision 6

#80385

Store at -20C

CST Logo
Orders:

877-616-CELL (2355)

[email protected]

Support:

877-678-TECH (8324)

3 Trask Lane | Danvers | Massachusetts | 01923 | USA

For Research Use Only. Not for Use in Diagnostic Procedures.

MW (kDa):
17

UniProt ID:
#P01579

Entrez-Gene Id:
3458

Background

IFN-γ plays key roles in both the innate and adaptive immune response. IFN-γ activates the cytotoxic activity of innate immune cells such as macrophages and NK cells (1,2). IFN-γ production by NK cells and antigen-presenting cells (APCs) promotes the cell-mediated adaptive immunity by inducing IFN-γ production by T lymphocytes, increasing expression of class I and class II MHC, and enhancing peptide antigen presentation (1). The anti-viral activity of IFN-γ is due to its induction of PKR and other regulatory proteins. Binding of IFN-γ to the IFNGR1/IFNGR2 complex promotes dimerization of the receptor complexes. Binding induces a conformational change in receptor intracellular domains and signaling involves Jak1, Jak2 and Stat1 (3). The critical role of IFN-γ in amplification of immune surveillance and function is supported by increased susceptibility to pathogen infection in IFN-γ or IFNGR knockout mice and in humans with inactivating mutations in IFNGR1 or IFNGR2. IFN-γ also appears to have a role in atherosclerosis (4).

Endotoxin

Less than or equal to 1 EU / 1 μg hIFN-γ.

Purity

A greater than 95% purity was determined by SDS-PAGE.

Source / Purification

Recombinant human IFN-γ was expressed in E. coli and is supplied in a lyophilized form.

Bioactivity

The bioactivity of hIFN-γ was determined in a virus protection assay. The ED50 of each lot is ≤ 0.75 ng/mL.

Trademarks and Patents

Cell Signaling Technology is a trademark of Cell Signaling Technology, Inc.

All other trademarks are the property of their respective owners. Visit cellsignal.com/trademarks for more information.

Limited Uses

Except as otherwise expressly agreed in a writing signed by a legally authorized representative of CST, the following terms apply to Products provided by CST, its affiliates or its distributors. Any Customer's terms and conditions that are in addition to, or different from, those contained herein, unless separately accepted in writing by a legally authorized representative of CST, are rejected and are of no force or effect.

Products are labeled with For Research Use Only or a similar labeling statement and have not been approved, cleared, or licensed by the FDA or other regulatory foreign or domestic entity, for any purpose. Customer shall not use any Product for any diagnostic or therapeutic purpose, or otherwise in any manner that conflicts with its labeling statement. Products sold or licensed by CST are provided for Customer as the end-user and solely for research and development uses. Any use of Product for diagnostic, prophylactic or therapeutic purposes, or any purchase of Product for resale (alone or as a component) or other commercial purpose, requires a separate license from CST. Customer shall (a) not sell, license, loan, donate or otherwise transfer or make available any Product to any third party, whether alone or in combination with other materials, or use the Products to manufacture any commercial products, (b) not copy, modify, reverse engineer, decompile, disassemble or otherwise attempt to discover the underlying structure or technology of the Products, or use the Products for the purpose of developing any products or services that would compete with CST products or services, (c) not alter or remove from the Products any trademarks, trade names, logos, patent or copyright notices or markings, (d) use the Products solely in accordance with CST Product Terms of Sale and any applicable documentation, and (e) comply with any license, terms of service or similar agreement with respect to any third party products or services used by Customer in connection with the Products.

Orders: 877-616-CELL (2355) [email protected] Support: 877-678-TECH (8324) [email protected] Web: cellsignal.com
For Research Use Only. Not for Use in Diagnostic Procedures.

Revision 6

Cell Signaling Technology Logo
The bioactivity of recombinant hIFN-γ was determined in a virus protection assay. A549 cells were pretreated with increasing concentrations of hIFN-γ (started at 2.5 ng/ml). Cells were then innoculated with encephalomyocarditis virus (EMCV). The OD595 was determined for the surviving cells.
undefined Image 1: Human Interferon-gamma (hIFN-gamma) Recombinant Protein
The purity of recombinant hIFN-γ was determined by SDS-PAGE of 1.5 µg reduced (+) and non-reduced (-) recombinant hIFN-γ and staining overnight with Coomassie Blue.
undefined Image 2: Human Interferon-gamma (hIFN-gamma) Recombinant Protein
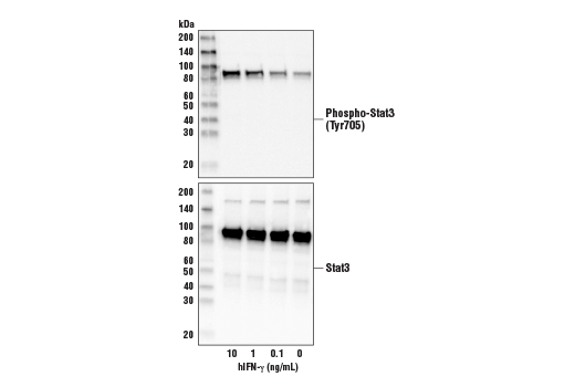
Western blot analysis of extracts from HeLa cells, untreated or treated with hIFN-γ for 20 minutes, using Phospho-Stat3 (Tyr705) (D3A7) XP® Rabbit mAb #9145 (upper) and Stat3 (124H6) Mouse mAb #9139 (lower).
undefined Image 3: Human Interferon-gamma (hIFN-gamma) Recombinant Protein
Orders: 877-616-CELL (2355) [email protected] Support: 877-678-TECH (8324) [email protected] Web: cellsignal.com
For Research Use Only. Not for Use in Diagnostic Procedures.