Revision 3

#5237

Store at -20C

CST Logo
Orders:

877-616-CELL (2355)

[email protected]

Support:

877-678-TECH (8324)

3 Trask Lane | Danvers | Massachusetts | 01923 | USA

For Research Use Only. Not for Use in Diagnostic Procedures.

MW (kDa):
14

UniProt ID:
#P20783

Entrez-Gene Id:
4908

Background

NT-3 is a member of the structurally related neurotrophin family of proteins, which includes β-NGF, BDNF and NT-4 (1). NT-3 is expressed in a number of cell types including neuronal cells, eosinophils, and melanocytes (1-3). NT-3 is required for the development of peripheral sensory neurons (4). NT-3 is secreted from cells as a precursor protein, which is proteolytically cleaved into the mature form (1). NT-3 signaling is mediated through two distinct receptors, the neurotrophin receptor p75NTR and the Trk tyrosine kinase receptor TrkC. While all neurotrophins bind to the p75NTR receptor, NT-3 preferentially binds to TrkC and, with lesser affinity, TrkB (1).

Endotoxin

Less than 0.01 ng endotoxin/1 μg hNT-3.

Purity

>98% as determined by SDS-PAGE of 6 μg reduced (+) and non-reduced (-) recombinant hNT-3. All lots are greater than 98% pure.

Source / Purification

Recombinant human Neurotrophin-3 (hNT-3) Tyr139-Thr257 (Accession #NP_002518) was produced in E.coli at Cell Signaling Technology.

Bioactivity

The bioactivity of recombinant hNT-3 was determined in a TrkC-transfected NIH/3T3 cell proliferation assay. The ED50 of each lot is between 0.5 - 5 ng/ml.

Trademarks and Patents

Cell Signaling Technology is a trademark of Cell Signaling Technology, Inc.

PathScan is a registered trademark of Cell Signaling Technology, Inc.

All other trademarks are the property of their respective owners. Visit cellsignal.com/trademarks for more information.

Limited Uses

Except as otherwise expressly agreed in a writing signed by a legally authorized representative of CST, the following terms apply to Products provided by CST, its affiliates or its distributors. Any Customer's terms and conditions that are in addition to, or different from, those contained herein, unless separately accepted in writing by a legally authorized representative of CST, are rejected and are of no force or effect.

Products are labeled with For Research Use Only or a similar labeling statement and have not been approved, cleared, or licensed by the FDA or other regulatory foreign or domestic entity, for any purpose. Customer shall not use any Product for any diagnostic or therapeutic purpose, or otherwise in any manner that conflicts with its labeling statement. Products sold or licensed by CST are provided for Customer as the end-user and solely for research and development uses. Any use of Product for diagnostic, prophylactic or therapeutic purposes, or any purchase of Product for resale (alone or as a component) or other commercial purpose, requires a separate license from CST. Customer shall (a) not sell, license, loan, donate or otherwise transfer or make available any Product to any third party, whether alone or in combination with other materials, or use the Products to manufacture any commercial products, (b) not copy, modify, reverse engineer, decompile, disassemble or otherwise attempt to discover the underlying structure or technology of the Products, or use the Products for the purpose of developing any products or services that would compete with CST products or services, (c) not alter or remove from the Products any trademarks, trade names, logos, patent or copyright notices or markings, (d) use the Products solely in accordance with CST Product Terms of Sale and any applicable documentation, and (e) comply with any license, terms of service or similar agreement with respect to any third party products or services used by Customer in connection with the Products.

Orders: 877-616-CELL (2355) [email protected] Support: 877-678-TECH (8324) [email protected] Web: cellsignal.com
For Research Use Only. Not for Use in Diagnostic Procedures.

Revision 3

Cell Signaling Technology Logo
The ability of hNT-3 to induce phosphorylation of TrkB was assessed. After starvation, TrkB-transfected NIH/3T3 cells were treated with increasing concentrations of hNT-3 for 5 minutes. Cells were lysed, and phospho-TrkB was quatified using PathScan® Phospho-TrkB (panTyr) Sandwhich ELISA Kit #7108. OD450-OD650 is shown.
undefined Image 1: Human Neurotrophin-3 (hNT-3)
The proliferation of TrkC-transfected NIH/3T3 cells treated with increasing concentrations of hNT-3 was assessed. After 24 hr treatment, cells were labeled with BrdU for 4 hrs. BrdU incorporation was determined by ELISA and the OD450-OD690 was determined.
undefined Image 2: Human Neurotrophin-3 (hNT-3)
The purity of recombinant hNT-3 was determined by SDS-PAGE of 6 µg reduced (+) and non-reduced (-) recombinant hNT-3 and staining overnight with Coomassie Blue.
undefined Image 3: Human Neurotrophin-3 (hNT-3)
Orders: 877-616-CELL (2355) [email protected] Support: 877-678-TECH (8324) [email protected] Web: cellsignal.com
For Research Use Only. Not for Use in Diagnostic Procedures.

Revision 3

Cell Signaling Technology Logo
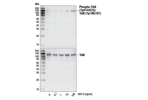
Western blot analysis of extracts from TrkB-transfected NIH/3T3 cells untreated and treated with hNT-3 for 5 minutes, using Phospho-TrkA (Tyr674/675)/TrkB (Tyr706/707) (C50F3) Rabbit mAb #4621 (upper) or TrkB (80E3) Rabbit mAb #4603 (lower).
undefined Image 4: Human Neurotrophin-3 (hNT-3)
Orders: 877-616-CELL (2355) [email protected] Support: 877-678-TECH (8324) [email protected] Web: cellsignal.com
For Research Use Only. Not for Use in Diagnostic Procedures.