Revision 4

#2043

Store at -20C

Jurkat Apoptosis Cell Extracts (etoposide)

Controls for 10 western blots

CST Logo
Orders:

877-616-CELL (2355)

[email protected]

Support:

877-678-TECH (8324)

3 Trask Lane | Danvers | Massachusetts | 01923 | USA

For Research Use Only. Not for Use in Diagnostic Procedures.

Product Includes Product # Quantity
Apoptosis Cell Lysates (Jurkat Untreated)32536100 µl
Apoptosis Cell Lysates (Jurkat +Etoposide)49567100 µl

Description

Apoptosis Cell Extracts (Jurkat Untreated): Total cell extracts from Jurkat cells serve as a negative control. Supplied in SDS Sample Buffer.

Apoptosis Cell Extracts (Jurkat + Etoposide): Total cell extracts from Jurkat cells treated with 25 μM etoposide for 5 hours serve as a positive control for activated apoptotic cascades. Etoposide treatment induces proteolytic cleavage of various apoptosis-related proteins including caspases, IAP, and PARP. Supplied in SDS Sample Buffer.

Storage

Store at -20°C. Supplied in SDS Sample Buffer: 62.5 mM Tris-HCl (pH 6.8 at 25°C), 2% w/v SDS, 10% glycerol, 50 mM DTT, 0.01% w/v bromophenol blue or phenol red.
Store at –20°C, or at –80°C for long-term storage.

Background

Apoptosis is a regulated physiological process leading to cell death. Caspases, a family of cysteine acid proteases, are central regulators of apoptosis. Initiator caspases (including 8, 9, 10, and 12) are closely coupled to proapoptotic signals. Once activated, these caspases cleave and activate downstream effector caspases (including 3, 6, and 7), which in turn cleave cytoskeletal and nuclear proteins like PARP, α-fodrin, DFF, and lamin A and induce apoptosis. Cytochrome c released from mitochondria is coupled to the activation of caspase-9, a key initiator caspase (1). Proapoptotic stimuli include FasL, TNF-α, DNA damage and ER stress. Fas and TNFR activate caspase-8 and -10 (2), DNA damage leads to the activation of caspase-9 and ER stress leads to the calcium-mediated activation of caspase-12 (3). The inhibitor of apoptosis protein (IAP) family includes XIAP and survivin and functions by binding and inhibiting several caspases (4,5). Smac/Diablo, a mitochondrial protein, is released into the cytosol upon mitochondrial stress and competes with caspases for binding of IAPs. The interaction of Smac/Diablo with IAPs relieves the inhibitory effects of IAPs on caspases (6).

Directions for Use

Boil for 3 minutes prior to use. Load 10 µl of untreated and etoposide treated Jurkat Apoptosis Cell Extracts (etoposide) per lane.

Trademarks and Patents

Cell Signaling Technology is a trademark of Cell Signaling Technology, Inc.

All other trademarks are the property of their respective owners. Visit cellsignal.com/trademarks for more information.

Limited Uses

Except as otherwise expressly agreed in a writing signed by a legally authorized representative of CST, the following terms apply to Products provided by CST, its affiliates or its distributors. Any Customer's terms and conditions that are in addition to, or different from, those contained herein, unless separately accepted in writing by a legally authorized representative of CST, are rejected and are of no force or effect.

Products are labeled with For Research Use Only or a similar labeling statement and have not been approved, cleared, or licensed by the FDA or other regulatory foreign or domestic entity, for any purpose. Customer shall not use any Product for any diagnostic or therapeutic purpose, or otherwise in any manner that conflicts with its labeling statement. Products sold or licensed by CST are provided for Customer as the end-user and solely for research and development uses. Any use of Product for diagnostic, prophylactic or therapeutic purposes, or any purchase of Product for resale (alone or as a component) or other commercial purpose, requires a separate license from CST. Customer shall (a) not sell, license, loan, donate or otherwise transfer or make available any Product to any third party, whether alone or in combination with other materials, or use the Products to manufacture any commercial products, (b) not copy, modify, reverse engineer, decompile, disassemble or otherwise attempt to discover the underlying structure or technology of the Products, or use the Products for the purpose of developing any products or services that would compete with CST products or services, (c) not alter or remove from the Products any trademarks, trade names, logos, patent or copyright notices or markings, (d) use the Products solely in accordance with CST Product Terms of Sale and any applicable documentation, and (e) comply with any license, terms of service or similar agreement with respect to any third party products or services used by Customer in connection with the Products.

Orders: 877-616-CELL (2355) [email protected] Support: 877-678-TECH (8324) [email protected] Web: cellsignal.com
For Research Use Only. Not for Use in Diagnostic Procedures.

Revision 4

Cell Signaling Technology Logo
Western blot analysis of Jurkat Apoptosis Cell Extracts #2043 using Caspase-7 Antibody, #9492.
undefined Image 1: Jurkat Apoptosis Cell Extracts (etoposide)
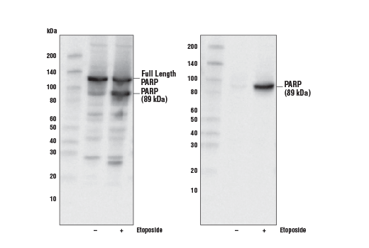
Western blot analysis of Jurkat Apoptosis Cell Extracts #2043 using PARP Antibody #9542 (left), and Cleaved PARP (Asp214) (D64E10) XP® Rabbit mAb #5625 (right).
undefined Image 2: Jurkat Apoptosis Cell Extracts (etoposide)
Western blot analysis of Jurkat Apoptosis Cell Extracts #2043 using Caspase-3 (8G10) Rabbit mAb, #9665.
undefined Image 3: Jurkat Apoptosis Cell Extracts (etoposide)
Orders: 877-616-CELL (2355) [email protected] Support: 877-678-TECH (8324) [email protected] Web: cellsignal.com
For Research Use Only. Not for Use in Diagnostic Procedures.