Revision 3

#8104

Store at -20C

CST Logo
Orders:

877-616-CELL (2355)

[email protected]

Support:

877-678-TECH (8324)

3 Trask Lane | Danvers | Massachusetts | 01923 | USA

For Research Use Only. Not for Use in Diagnostic Procedures.

Source/Isotype:
Human

UniProt ID:
#P42574

Entrez-Gene Id:
836

Storage

Store at 4°C. Optimal staining is achieved if slides are stained following CST's standard IHC protocols and are used within 8 weeks of assay date; however, signals may persist beyond two months.

Description

Each control slide contains formalin fixed, paraffin-embedded Jurkat cells, both untreated and treated with etoposide, that serve as a control for cleaved caspase-3 (Asp 175) immunostaining. Western blot analysis was performed on extracts derived from the same cells to verify the efficacy of the etoposide treatment.

To be used with antibodies: 9664, 9661, 9662, 2035, 9541.

Background

Caspase-3 (CPP-32, Apopain, Yama, SCA-1) is a critical executioner of apoptosis, as it is either partially or totally responsible for the proteolytic cleavage of many key proteins, such as the nuclear enzyme poly (ADP-ribose) polymerase (PARP) (1). Activation of caspase-3 requires proteolytic processing of its inactive zymogen into activated p17 and p12 fragments. Cleavage of caspase-3 requires the aspartic acid residue at the P1 position (2).

Species Reactivity

Species reactivity is determined by testing in at least one approved application (e.g., western blot).

Trademarks and Patents

Cell Signaling Technology is a trademark of Cell Signaling Technology, Inc.

SignalSlide is a registered trademark of Cell Signaling Technology, Inc.

All other trademarks are the property of their respective owners. Visit cellsignal.com/trademarks for more information.

Limited Uses

Except as otherwise expressly agreed in a writing signed by a legally authorized representative of CST, the following terms apply to Products provided by CST, its affiliates or its distributors. Any Customer's terms and conditions that are in addition to, or different from, those contained herein, unless separately accepted in writing by a legally authorized representative of CST, are rejected and are of no force or effect.

Products are labeled with For Research Use Only or a similar labeling statement and have not been approved, cleared, or licensed by the FDA or other regulatory foreign or domestic entity, for any purpose. Customer shall not use any Product for any diagnostic or therapeutic purpose, or otherwise in any manner that conflicts with its labeling statement. Products sold or licensed by CST are provided for Customer as the end-user and solely for research and development uses. Any use of Product for diagnostic, prophylactic or therapeutic purposes, or any purchase of Product for resale (alone or as a component) or other commercial purpose, requires a separate license from CST. Customer shall (a) not sell, license, loan, donate or otherwise transfer or make available any Product to any third party, whether alone or in combination with other materials, or use the Products to manufacture any commercial products, (b) not copy, modify, reverse engineer, decompile, disassemble or otherwise attempt to discover the underlying structure or technology of the Products, or use the Products for the purpose of developing any products or services that would compete with CST products or services, (c) not alter or remove from the Products any trademarks, trade names, logos, patent or copyright notices or markings, (d) use the Products solely in accordance with CST Product Terms of Sale and any applicable documentation, and (e) comply with any license, terms of service or similar agreement with respect to any third party products or services used by Customer in connection with the Products.

Orders: 877-616-CELL (2355) [email protected] Support: 877-678-TECH (8324) [email protected] Web: cellsignal.com
For Research Use Only. Not for Use in Diagnostic Procedures.

Revision 3

Cell Signaling Technology Logo
Immunohistochemical anaysis of paraffin-embedded Jurkat cells, untreated (left) or etoposide-treated (right), using Cleaved Caspase-3 (Asp175) Antibody #9661.
undefined Image 1: SignalSlide<sup>®</sup> Cleaved Caspase-3 (Asp175) IHC Controls
undefined Image 2: SignalSlide<sup>®</sup> Cleaved Caspase-3 (Asp175) IHC Controls
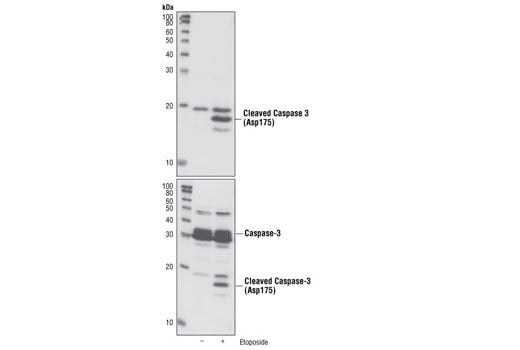
Western blot analysis of extracts from Jurkat cells, untreated or treated with etoposide, using Cleaved Caspase-3 (Asp 175) (5A1) Rabbit mAb #9664 (upper) or Caspase-3 (8G10) Rabbit mAb #9665 (lower). This assay serves as a control for the efficacy of the etoposide treatment.
undefined Image 3: SignalSlide<sup>®</sup> Cleaved Caspase-3 (Asp175) IHC Controls
Orders: 877-616-CELL (2355) [email protected] Support: 877-678-TECH (8324) [email protected] Web: cellsignal.com
For Research Use Only. Not for Use in Diagnostic Procedures.