Revision 1

#8312

Store at -20C

CST Logo
Orders:

877-616-CELL (2355)

[email protected]

Support:

877-678-TECH (8324)

3 Trask Lane | Danvers | Massachusetts | 01923 | USA

For Research Use Only. Not for Use in Diagnostic Procedures.

Applications:
W

Reactivity:
H M R Mk B Pg

Sensitivity:
Endogenous

MW (kDa):
27-29

Source/Isotype:
Rabbit

UniProt ID:
#P62258, #P61981, #P31946, #P27348, #Q04917, #P31947, #P63104

Entrez-Gene Id:
7531, 7532, 7529, 10971, 7533, 2810, 7534

Product Usage Information

Application Dilution
Western Blotting 1:1000

Storage

Supplied in 10 mM sodium HEPES (pH 7.5), 150 mM NaCl, 100 µg/ml BSA and 50% glycerol. Store at –20°C. Do not aliquot the antibody.

Specificity/Sensitivity

14-3-3 (pan) Antibody recognizes endogenous levels of total 14-3-3 protein. This antibody detects all known isoforms of mammalian 14-3-3 proteins (β/α, γ, ε, η, ζ/δ, θ/τ and σ).

Species predicted to react based on 100% sequence homology

Chicken, D. melanogaster, Xenopus, Zebrafish, S. cerevisiae, C. elegans

Source / Purification

Polyclonal antibodies are produced by immunizing animals with a synthetic peptide corresponding to residues surrounding Met223 of human 14-3-3γ protein. Antibodies are purified by protein A and peptide affinity chromatography.

Background

The 14-3-3 family of proteins plays a key regulatory role in signal transduction, checkpoint control, apoptotic and nutrient-sensing pathways (1,2). 14-3-3 proteins are highly conserved and ubiquitously expressed. There are at least seven isoforms, β, γ, ε, σ, ζ, τ, and η that have been identified in mammals. The initially described α and δ isoforms are confirmed to be phosphorylated forms of β and ζ, respectively (3). Through their amino-terminal α helical region, 14-3-3 proteins form homo- or heterodimers that interact with a wide variety of proteins: transcription factors, metabolic enzymes, cytoskeletal proteins, kinases, phosphatases, and other signaling molecules (3,4). The interaction of 14-3-3 proteins with their targets is primarily through a phospho-Ser/Thr motif. However, binding to divergent phospho-Ser/Thr motifs, as well as phosphorylation independent interactions has been observed (4). 14-3-3 binding masks specific sequences of the target protein, and therefore, modulates target protein localization, phosphorylation state, stability, and molecular interactions (1-4). 14-3-3 proteins may also induce target protein conformational changes that modify target protein function (4,5). Distinct temporal and spatial expression patterns of 14-3-3 isoforms have been observed in development and in acute response to extracellular signals and drugs, suggesting that 14-3-3 isoforms may perform different functions despite their sequence similarities (4). Several studies suggest that 14-3-3 isoforms are differentially regulated in cancer and neurological syndromes (2,3).

Species Reactivity

Species reactivity is determined by testing in at least one approved application (e.g., western blot).

Western Blot Buffer

IMPORTANT: For western blots, incubate membrane with diluted primary antibody in 5% w/v BSA, 1X TBS, 0.1% Tween® 20 at 4°C with gentle shaking, overnight.

Applications Key

W: Western Blotting

Cross-Reactivity Key

H: Human M: Mouse R: Rat Mk: Monkey B: Bovine Pg: Pig

Trademarks and Patents

Cell Signaling Technology is a trademark of Cell Signaling Technology, Inc.

All other trademarks are the property of their respective owners. Visit cellsignal.com/trademarks for more information.

Limited Uses

Except as otherwise expressly agreed in a writing signed by a legally authorized representative of CST, the following terms apply to Products provided by CST, its affiliates or its distributors. Any Customer's terms and conditions that are in addition to, or different from, those contained herein, unless separately accepted in writing by a legally authorized representative of CST, are rejected and are of no force or effect.

Products are labeled with For Research Use Only or a similar labeling statement and have not been approved, cleared, or licensed by the FDA or other regulatory foreign or domestic entity, for any purpose. Customer shall not use any Product for any diagnostic or therapeutic purpose, or otherwise in any manner that conflicts with its labeling statement. Products sold or licensed by CST are provided for Customer as the end-user and solely for research and development uses. Any use of Product for diagnostic, prophylactic or therapeutic purposes, or any purchase of Product for resale (alone or as a component) or other commercial purpose, requires a separate license from CST. Customer shall (a) not sell, license, loan, donate or otherwise transfer or make available any Product to any third party, whether alone or in combination with other materials, or use the Products to manufacture any commercial products, (b) not copy, modify, reverse engineer, decompile, disassemble or otherwise attempt to discover the underlying structure or technology of the Products, or use the Products for the purpose of developing any products or services that would compete with CST products or services, (c) not alter or remove from the Products any trademarks, trade names, logos, patent or copyright notices or markings, (d) use the Products solely in accordance with CST Product Terms of Sale and any applicable documentation, and (e) comply with any license, terms of service or similar agreement with respect to any third party products or services used by Customer in connection with the Products.

Orders: 877-616-CELL (2355) [email protected] Support: 877-678-TECH (8324) [email protected] Web: cellsignal.com
For Research Use Only. Not for Use in Diagnostic Procedures.

Revision 1

Cell Signaling Technology Logo
Western blot analysis of extracts from various cell lines using 14-3-3 (pan) Antibody.
Western Blotting Image 1: 14-3-3 (pan) Antibody
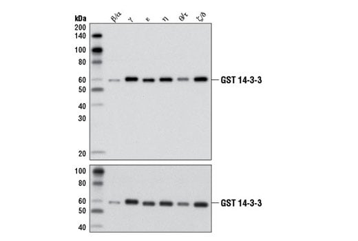
Western blot analysis of purified, recombinant, GST-tagged 14-3-3 isoforms using 14-3-3 (pan) Antibody (upper) or GST (91G1) Rabbit mAb #2635, (lower) demonstrating isoform cross-reactivity.
Western Blotting Image 2: 14-3-3 (pan) Antibody
Orders: 877-616-CELL (2355) [email protected] Support: 877-678-TECH (8324) [email protected] Web: cellsignal.com
For Research Use Only. Not for Use in Diagnostic Procedures.