Revision 6

#34594

Store at -20C

CST Logo
Orders:

877-616-CELL (2355)

[email protected]

Support:

877-678-TECH (8324)

3 Trask Lane | Danvers | Massachusetts | 01923 | USA

For Research Use Only. Not for Use in Diagnostic Procedures.

Applications:
W, IP, IHC-P, IF-IC, FC-FP, FC-L

Reactivity:
H

Sensitivity:
Endogenous

MW (kDa):
32, 40

Source/Isotype:
Rabbit IgG

UniProt ID:
#Q07011

Entrez-Gene Id:
3604

Product Usage Information

Application Dilution
Western Blotting 1:1000
Immunoprecipitation 1:50
Immunohistochemistry (Paraffin) 1:50 - 1:200
Immunofluorescence (Immunocytochemistry) 1:250 - 1:1000
Flow Cytometry (Fixed/Permeabilized) 1:400 - 1:1600
Flow Cytometry (Live) 1:400 - 1:1600

Storage

Supplied in 10 mM sodium HEPES (pH 7.5), 150 mM NaCl, 100 µg/ml BSA, 50% glycerol and less than 0.02% sodium azide. Store at –20°C. Do not aliquot the antibody.

For a carrier free (BSA and azide free) version of this product see product #58350.

Specificity/Sensitivity

4-1BB/CD137/TNFRSF9 (D2Z4Y) Rabbit Monoclonal Antibody recognizes endogenous levels of total 4-1BB/CD137/TNFRSF9 protein.

Source / Purification

Monoclonal antibody is produced by immunizing animals with a recombinant protein specific to the extracellular domain of human 4-1BB/CD137/TNFRSF9 protein.

Background

TNFRSF9 is a member of the tumor necrosis factor receptor superfamily (1,2). It is also called 4-1BB or CD137 (1, 2). 4-1BB/CD137/TNFRSF9 is expressed in activated CD4+ and CD8+ T cells, natural killer cells and dendritic cells (2-5). The ligand 4-1BBL/CD137L/TNFSF9 on antigen presenting cells binds to 4-1BB/CD137/TNFRSF9 and costimulates the activation of T cells (5). The binding of agonistic antibodies to 4-1BB/CD137/TNFRSF9 also leads to costimulation for T cell activation (5). Studies have shown the effectiveness of targeting 4-1BB/CD137/TNFRSF9 by its agonistic antibodies in cancer immunotherapy (6).

Species Reactivity

Species reactivity is determined by testing in at least one approved application (e.g., western blot).

Western Blot Buffer

IMPORTANT: For western blots, incubate membrane with diluted primary antibody in 5% w/v BSA, 1X TBS, 0.1% Tween® 20 at 4°C with gentle shaking, overnight.

Applications Key

W: Western Blotting IP: Immunoprecipitation IHC-P: Immunohistochemistry (Paraffin) IF-IC: Immunofluorescence (Immunocytochemistry) FC-FP: Flow Cytometry (Fixed/Permeabilized) FC-L: Flow Cytometry (Live)

Cross-Reactivity Key

H: Human

Trademarks and Patents

Cell Signaling Technology is a trademark of Cell Signaling Technology, Inc.

Alexa Fluor is a registered trademark of Life Technologies Corporation.

All other trademarks are the property of their respective owners. Visit cellsignal.com/trademarks for more information.

Limited Uses

Except as otherwise expressly agreed in a writing signed by a legally authorized representative of CST, the following terms apply to Products provided by CST, its affiliates or its distributors. Any Customer's terms and conditions that are in addition to, or different from, those contained herein, unless separately accepted in writing by a legally authorized representative of CST, are rejected and are of no force or effect.

Products are labeled with For Research Use Only or a similar labeling statement and have not been approved, cleared, or licensed by the FDA or other regulatory foreign or domestic entity, for any purpose. Customer shall not use any Product for any diagnostic or therapeutic purpose, or otherwise in any manner that conflicts with its labeling statement. Products sold or licensed by CST are provided for Customer as the end-user and solely for research and development uses. Any use of Product for diagnostic, prophylactic or therapeutic purposes, or any purchase of Product for resale (alone or as a component) or other commercial purpose, requires a separate license from CST. Customer shall (a) not sell, license, loan, donate or otherwise transfer or make available any Product to any third party, whether alone or in combination with other materials, or use the Products to manufacture any commercial products, (b) not copy, modify, reverse engineer, decompile, disassemble or otherwise attempt to discover the underlying structure or technology of the Products, or use the Products for the purpose of developing any products or services that would compete with CST products or services, (c) not alter or remove from the Products any trademarks, trade names, logos, patent or copyright notices or markings, (d) use the Products solely in accordance with CST Product Terms of Sale and any applicable documentation, and (e) comply with any license, terms of service or similar agreement with respect to any third party products or services used by Customer in connection with the Products.

Orders: 877-616-CELL (2355) [email protected] Support: 877-678-TECH (8324) [email protected] Web: cellsignal.com
For Research Use Only. Not for Use in Diagnostic Procedures.

Revision 6

Cell Signaling Technology Logo
Western blot analysis of extracts from primary human CD8+ T cells, treated with anti-CD3 and anti-CD28 in the presence of human interleukin-2, and various cell lines using 4-1BB/CD137/TNFRSF9 (D2Z4Y) Rabbit mAb (upper) and β-Actin (D6A8) Rabbit mAb #8457 (lower).
Western Blotting Image 1: 4-1BB/CD137/TNFRSF9 (D2Z4Y) Rabbit Monoclonal Antibody
Immunoprecipitation of 4-1BB/CD137/TNFRSF9 from HDLM-2 cell extracts. Lane 1 is 10% input, lane 2 is Rabbit (DA1E) mAb IgG XP® Isotype Control #3900, and lane 3 is 4-1BB/CD137/TNFRSF9 (D2Z4Y) Rabbit mAb. Western blot analysis was performed using 4-1BB/CD137/TNFRSF9 (D2Z4Y) Rabbit mAb. Mouse Anti-rabbit IgG (Conformation Specific) (L27A9) mAb (HRP Conjugate) #5127 was used as the secondary antibody.
Immunoprecipitation Image 1: 4-1BB/CD137/TNFRSF9 (D2Z4Y) Rabbit Monoclonal Antibody
Immunohistochemical analysis of paraffin-embedded human colon carcinoma using 4-1BB/CD137/TNFRSF9 (D2Z4Y) Rabbit mAb.
Immunohistochemistry Image 1: 4-1BB/CD137/TNFRSF9 (D2Z4Y) Rabbit Monoclonal Antibody
Orders: 877-616-CELL (2355) [email protected] Support: 877-678-TECH (8324) [email protected] Web: cellsignal.com
For Research Use Only. Not for Use in Diagnostic Procedures.

Revision 6

Cell Signaling Technology Logo
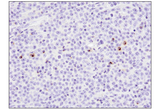
Immunohistochemical analysis of paraffin-embedded human non-Hodgkin's lymphoma using 4-1BB/CD137/TNFRSF9 (D2Z4Y) Rabbit mAb.
Immunohistochemistry Image 2: 4-1BB/CD137/TNFRSF9 (D2Z4Y) Rabbit Monoclonal Antibody
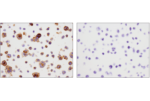
Immunohistochemical analysis of paraffin-embedded HDLM-2 cell pellet (left, positive) or HT-29 cell pellet (right, negative) using 4-1BB/CD137/TNFRSF9 (D2Z4Y) Rabbit mAb
Immunohistochemistry Image 3: 4-1BB/CD137/TNFRSF9 (D2Z4Y) Rabbit Monoclonal Antibody
Immunohistochemical analysis of paraffin-embedded human thymus using 4-1BB/CD137/TNFRSF9 (D2Z4Y) Rabbit mAb.
Immunohistochemistry Image 4: 4-1BB/CD137/TNFRSF9 (D2Z4Y) Rabbit Monoclonal Antibody
Orders: 877-616-CELL (2355) [email protected] Support: 877-678-TECH (8324) [email protected] Web: cellsignal.com
For Research Use Only. Not for Use in Diagnostic Procedures.

Revision 6

Cell Signaling Technology Logo
Confocal immunofluorescent analysis of primary human CD8+ T cells treated with anti-CD3 and anti-CD28 in the presence of human interleukin-2 (left, positive) and HeLa cells (right, negative) using 4-1BB/CD137/TNFRSF9 (D2Z4Y) Rabbit mAb (green). Blue pseudocolor = DRAQ5® #4084 (fluorescent DNA dye).
Immunofluorescence Image 1: 4-1BB/CD137/TNFRSF9 (D2Z4Y) Rabbit Monoclonal Antibody
Flow cytometric analysis of human peripheral blood mononuclear cells (green), treated with anti-CD3 (10 μg/ml, 72h) and anti-CD28 (5 μg/ml, 72h), using 4-1BB/CD137/TNFRSF9 (D2Z4Y) Rabbit mAb (solid lines) or concentration-matched Rabbit (DA1E) mAb IgG XP® Isotype control #3900 (dashed lines) co-stained with a CD8 antibody. Anti-rabbit IgG (H+L), F(ab')2 Fragment (Alexa Fluor® 488 Conjugate) #4412 was used as a secondary antibody. Analysis was performed on CD8+ cells.
Flow Cytometry Image 1: 4-1BB/CD137/TNFRSF9 (D2Z4Y) Rabbit Monoclonal Antibody
Flow cytometric analysis of Jurkat cells (blue) and HDLM-2 cells (green), using 4-1BB/CD137/TNFRSF9 (D2Z4Y) Rabbit mAb (solid lines) or concentration-matched Rabbit (DA1E) mAb IgG XP® Isotype control #3900 (dashed lines). Anti-rabbit IgG (H+L), F(ab')2 Fragment (Alexa Fluor® 488 Conjugate) #4412 was used as a secondary antibody.
Flow Cytometry Image 2: 4-1BB/CD137/TNFRSF9 (D2Z4Y) Rabbit Monoclonal Antibody
Orders: 877-616-CELL (2355) [email protected] Support: 877-678-TECH (8324) [email protected] Web: cellsignal.com
For Research Use Only. Not for Use in Diagnostic Procedures.