Revision 1

#9955

Store at -20C

4E-BP Antibody Sampler Kit

1 Kit

(6 x 20 microliters)

CST Logo
Orders:

877-616-CELL (2355)

[email protected]

Support:

877-678-TECH (8324)

3 Trask Lane | Danvers | Massachusetts | 01923 | USA

For Research Use Only. Not for Use in Diagnostic Procedures.

Product Includes Product # Quantity Mol. Wt Isotype/Source
Phospho-4E-BP1 (Thr37/46) (236B4) Rabbit Monoclonal Antibody285520 µl15 to 20 kDaRabbit IgG
Non-phospho-4E-BP1 (Thr46) (87D12) Rabbit Monoclonal Antibody492320 µl15-20 kDaRabbit IgG
Phospho-4E-BP1 (Ser65) Antibody945120 µl15 to 20 kDaRabbit
4E-BP1 (53H11) Rabbit Monoclonal Antibody964420 µl15-20 kDaRabbit IgG
4E-BP2 Antibody284520 µl15 to 20 kDaRabbit
Phospho-4E-BP1 (Thr70) Antibody945520 µl15 to 20 kDaRabbit
Anti-rabbit IgG, HRP-linked Antibody7074100 µlGoat

Please visit cellsignal.com for individual component applications, species cross-reactivity, dilutions, protocols, and additional product information.

Description

The 4E-BP Antibody Sampler Kit provides an economical means to investigate regulation of cap-dependent translation within the cell. The kit contains primary and secondary antibodies to perform two Western blots with each antibody.

Storage

Supplied in 10 mM sodium HEPES (pH 7.5), 150 mM NaCl, 100 µg/ml BSA, 50% glycerol and less than 0.02% sodium azide. Store at –20°C. Do not aliquot the antibody.

Background

Translation repressor protein 4E-BP1 (also known as PHAS-1) inhibits cap-dependent translation by binding to the translation initiation factor eIF4E. Hyperphosphorylation of 4E-BP1 disrupts this interaction and results in activation of cap-dependent translation (1). Both the PI3 kinase/Akt pathway and FRAP/mTOR kinase regulate 4E-BP1 activity (2,3). Multiple 4E-BP1 residues are phosphorylated in vivo (4). While phosphorylation by FRAP/mTOR at Thr37 and Thr46 does not prevent the binding of 4E-BP1 to eIF4E, it is thought to prime 4E-BP1 for subsequent phosphorylation at Ser65 and Thr70 (5).
4E-BP2 and 4E-BP3 share high sequence homology with 4E-BP1, including conservation of the major FRAP/mTOR-dependent phosphorylation sites. Preliminary data suggests that phosphorylation of 4E-BP2 is regulated in a similar manner to that of 4E-BP1, although phosphorylation of this protein has not been as extensively studied (6).

Trademarks and Patents

Cell Signaling Technology is a trademark of Cell Signaling Technology, Inc.

All other trademarks are the property of their respective owners. Visit cellsignal.com/trademarks for more information.

Limited Uses

Except as otherwise expressly agreed in a writing signed by a legally authorized representative of CST, the following terms apply to Products provided by CST, its affiliates or its distributors. Any Customer's terms and conditions that are in addition to, or different from, those contained herein, unless separately accepted in writing by a legally authorized representative of CST, are rejected and are of no force or effect.

Products are labeled with For Research Use Only or a similar labeling statement and have not been approved, cleared, or licensed by the FDA or other regulatory foreign or domestic entity, for any purpose. Customer shall not use any Product for any diagnostic or therapeutic purpose, or otherwise in any manner that conflicts with its labeling statement. Products sold or licensed by CST are provided for Customer as the end-user and solely for research and development uses. Any use of Product for diagnostic, prophylactic or therapeutic purposes, or any purchase of Product for resale (alone or as a component) or other commercial purpose, requires a separate license from CST. Customer shall (a) not sell, license, loan, donate or otherwise transfer or make available any Product to any third party, whether alone or in combination with other materials, or use the Products to manufacture any commercial products, (b) not copy, modify, reverse engineer, decompile, disassemble or otherwise attempt to discover the underlying structure or technology of the Products, or use the Products for the purpose of developing any products or services that would compete with CST products or services, (c) not alter or remove from the Products any trademarks, trade names, logos, patent or copyright notices or markings, (d) use the Products solely in accordance with CST Product Terms of Sale and any applicable documentation, and (e) comply with any license, terms of service or similar agreement with respect to any third party products or services used by Customer in connection with the Products.

Orders: 877-616-CELL (2355) [email protected] Support: 877-678-TECH (8324) [email protected] Web: cellsignal.com
For Research Use Only. Not for Use in Diagnostic Procedures.

Revision 1

Cell Signaling Technology Logo
Western blot analysis of extracts from A673 cells, untreated or nocodazole-treated (100 ng/ml, 16 hrs), using 4E-BP2 Antibody (upper) or 4E-BP1 Antibody #9452 (lower). Extracts were treated with lambda phosphatase NEB#P0753 (10,000 U/ml for 1 hour) to dephosphorylate both proteins.
undefined Image 1: 4E-BP Antibody Sampler Kit
Western blot analysis of extracts from 293T cells using 4E-BP1 Antibody #9452 (upper) and Phospho-4E-BP1 (Thr37/46) Antibody #2855 (lower). The cells were starved for 24 hours in serum-free medium and underwent a 1 hour amino acid deprivation. Amino acids were replenished for 1 hour. Cells were then either untreated (-) or treated with 100 nM insulin (+) for 30 minutes.
undefined Image 2: 4E-BP Antibody Sampler Kit
Western blot analysis of extracts from COS cells, treated with λ phosphatase or 20% FBS as indicated, using Non-phospho-4E-BP1 (Thr46) (87D12) Rabbit mAb (upper), Phospho-4E-BP1 (Thr37/46) Antibody #9459 (middle), and 4E-BP1 Antibody #9452 (lower).
undefined Image 3: 4E-BP Antibody Sampler Kit
Orders: 877-616-CELL (2355) [email protected] Support: 877-678-TECH (8324) [email protected] Web: cellsignal.com
For Research Use Only. Not for Use in Diagnostic Procedures.

Revision 1

Cell Signaling Technology Logo
After the primary antibody is bound to the target protein, a complex with HRP-linked secondary antibody is formed. The LumiGLO® is added and emits light during enzyme catalyzed decomposition.
undefined Image 4: 4E-BP Antibody Sampler Kit
Western blot analysis of extracts from 293 cells using 4E-BP1 Antibody #9644 (lower) and Phospho-4E-BP1 (Ser65) Antibody #9451 (upper). The cells were starved for 24 hours in serum-free medium and underwent a 1 hour amino acid deprivation. Amino acids were replenished for 1 hour. Cells were then either untreated (-) or treated with 100 nM insulin (+) for 30 minutes.
undefined Image 5: 4E-BP Antibody Sampler Kit
Western blot analysis of extracts from 293 cells, untreated or treated with 20% FBS for the indicated number of minutes, using Phospho-4E-BP1 (Thr70) Antibody (upper) or 4E-BP1 Antibody #9452 (lower).
undefined Image 6: 4E-BP Antibody Sampler Kit
Orders: 877-616-CELL (2355) [email protected] Support: 877-678-TECH (8324) [email protected] Web: cellsignal.com
For Research Use Only. Not for Use in Diagnostic Procedures.

Revision 1

Cell Signaling Technology Logo
Western blot analysis of extracts from control HeLa cells (Lane 1) or HeLa cells with a targeted mutation in the gene encoding 4E-BP1 (Lane 2) using 4E-BP1 (53H11) Rabbit mAb (upper) or β-actin (13E5) Rabbit mAb #4970 (lower). The change in 4E-BP1 molecular weight in the mutated HeLa cells confirms the specificity of the antibody for 4E-BP1.
undefined Image 7: 4E-BP Antibody Sampler Kit
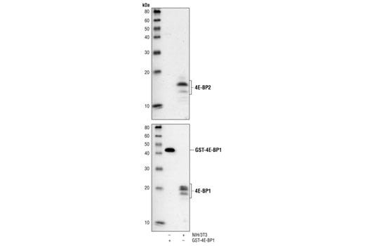
Western blot analysis of bacterially expressed GST-4E-BP1 and of extracts from NIH/3T3 cells, using 4E-BP2 Antibody and 4E-BP1 Antibody #9452.
undefined Image 8: 4E-BP Antibody Sampler Kit
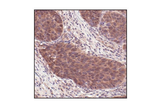
Immunohistochemical analysis of paraffin-embedded human colon carcinoma using Phospho-4E-BP1 (Thr37/46) (236B4) Rabbit mAb.
undefined Image 9: 4E-BP Antibody Sampler Kit
Orders: 877-616-CELL (2355) [email protected] Support: 877-678-TECH (8324) [email protected] Web: cellsignal.com
For Research Use Only. Not for Use in Diagnostic Procedures.

Revision 1

Cell Signaling Technology Logo
Confocal immunofluorescent analysis of 293 shRNA Scramble cells either serum starved (far left); serum starved and treated with U0126 #9903 (10 μM, 2 hr), LY294002 #9901 (50 μM, 2 hr), and Rapamycin #9904 (10 nM, 2 hr) (center, left); serum starved and treated with l phosphatase (10,000 U/mL, 2 hr) ) (center, right); and 293 shRNA 4E-BP1/2 KO treated with U0126 #9903 (10 μM, 2 hr), LY294002 #9901 (50 μM, 2 hr), and Rapamycin #9904 (10 nM, 2 hr) (far right), using Non-phospho-4E-BP1 (Thr46) (87D12) Rabbit mAb (green). Red = Propidium Iodide (PI)/RNase Staining Solution.
undefined Image 10: 4E-BP Antibody Sampler Kit
Flow cytometric analysis of HEK-293 cells, treated with Insulin (100 nM, 30 min) (blue) or treated with U0126 #9903 (10 µm, 2 hr), LY294002 #9901 (50 µM, 2 hr), and Rapamycin #9904 (10 µM, 2 hr) (green), using Non-phospho-4E-BP1 (Thr46) (87D12) Rabbit mAb (solid lines) or concentration-matched Rabbit (DA1E) mAb IgG XP® Isotype Control #3900 (dashed lines) post-fixation/permeabilization. Anti-rabbit IgG F(ab')2 Fragment (Alexa Fluor® 488 Conjugate) #4412 was used as a secondary antibody
undefined Image 11: 4E-BP Antibody Sampler Kit
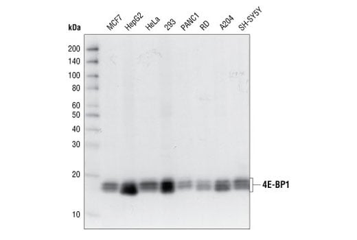
Western blot analysis of extracts from various cell lines using 4E-BP1 (53H11) Rabbit mAb.
undefined Image 12: 4E-BP Antibody Sampler Kit
Orders: 877-616-CELL (2355) [email protected] Support: 877-678-TECH (8324) [email protected] Web: cellsignal.com
For Research Use Only. Not for Use in Diagnostic Procedures.

Revision 1

Cell Signaling Technology Logo
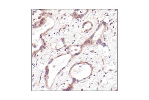
Immunohistochemical analysis of paraffin-embedded human colon carcinoma, showing cytoplasmic and nuclear localization, using 4E-BP2 Antibody.
undefined Image 13: 4E-BP Antibody Sampler Kit
Immunohistochemical analysis of paraffin-embedded human lymphoma using Phospho-4E-BP1 (Thr37/46) (236B4) Rabbit mAb.
undefined Image 14: 4E-BP Antibody Sampler Kit
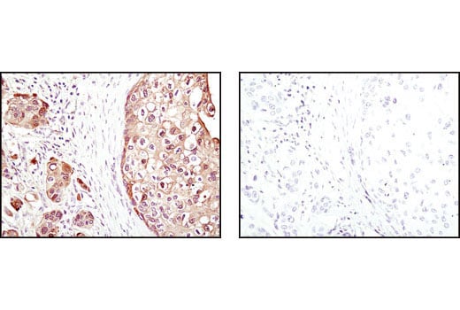
Immunohistochemical analysis of paraffin-embedded human breast carcinoma using 4E-BP1 (53H11) Rabbit mAb in the presence of control peptide (left) or 4E-BP1 blocking peptide #1053 (right).
undefined Image 15: 4E-BP Antibody Sampler Kit
Orders: 877-616-CELL (2355) [email protected] Support: 877-678-TECH (8324) [email protected] Web: cellsignal.com
For Research Use Only. Not for Use in Diagnostic Procedures.

Revision 1

Cell Signaling Technology Logo
Immunohistochemical analysis of paraffin-embedded human lung carcinoma, using 4E-BP2 Antibody.
undefined Image 16: 4E-BP Antibody Sampler Kit
Immunohistochemical analysis of paraffin-embedded LNCaP cells, untreated (left) or LY294002-treated (right), using Phospho-4E-BP1 (Thr37/46) (236B4) Rabbit mAb on SignalSlide (TM) Phospho-Akt (Ser473) IHC Controls #8101.
undefined Image 17: 4E-BP Antibody Sampler Kit
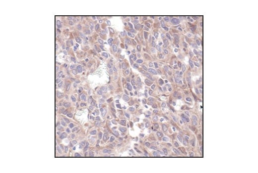
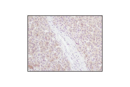
Immunohistochemical analysis of paraffin-embedded human hepatocellular carcinoma using 4E-BP1 (53H11) Rabbit mAb.
undefined Image 18: 4E-BP Antibody Sampler Kit
Orders: 877-616-CELL (2355) [email protected] Support: 877-678-TECH (8324) [email protected] Web: cellsignal.com
For Research Use Only. Not for Use in Diagnostic Procedures.

Revision 1

Cell Signaling Technology Logo
Immunohistochemical analysis of paraffin-embedded human follicular carcinoma (thyroid), using 4E-BP2 Antibody.
undefined Image 19: 4E-BP Antibody Sampler Kit
Immunohistochemical analysis of paraffin-embedded human colon carcinoma using Phospho-4E-BP1 (Thr37/46) (236B4) Rabbit mAb in the presence of control peptide (left) or Phospho-4E-BP1 (Thr37/46) Blocking Peptide #1052 (right).
undefined Image 20: 4E-BP Antibody Sampler Kit
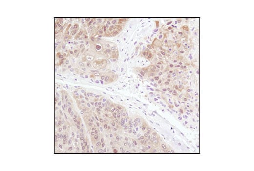
Immunohistochemical analysis of paraffin-embedded human lung carcinoma using 4E-BP1 (53H11) Rabbit mAb.
undefined Image 21: 4E-BP Antibody Sampler Kit
Orders: 877-616-CELL (2355) [email protected] Support: 877-678-TECH (8324) [email protected] Web: cellsignal.com
For Research Use Only. Not for Use in Diagnostic Procedures.

Revision 1

Cell Signaling Technology Logo
Immunohistochemical analysis of paraffin-embedded mouse spleen, 4E-BP1/2 wild type (left) or 4E-BP1 knockout (right), using 4E-BP1 (53H11) Rabbit mAb. 4E-BP wild type and knockout tissues kindly provided by Dr. Nahum Sonenberg, McGill University.
undefined Image 22: 4E-BP Antibody Sampler Kit
Confocal immunofluorescent analysis of HeLa cells using 4E-BP1 (53H11) Rabbit mAb (green). Actin filaments have been labeled with Alexa Fluor® 555 phalloidin (red). Blue pseudocolor = DRAQ5® #4084 (fluorescent DNA dye).
undefined Image 23: 4E-BP Antibody Sampler Kit
Confocal immunofluorescent analysis of 293 cells, expressing either non-targeting shRNA (top) or shRNA targeting 4E-BP1/2 (bottom), using Phospho-4E-BP1 (Thr37/46) (236B4) Rabbit mAb (green). To confirm phospho-specificity, cells were treated with an inhibitor cocktail consisting of LY294002 #9901, U0126 #9903, and Rapamycin #9904 (50 μM; 10 μm; 10 nM; 2 hr) (left), stimulated with insulin (100 nM, 30 min; middle), or processed with λ-phosphatase following insulin stimulation (right). Red = Propidium Iodide (PI)/RNase Staining Solution (#4087).
undefined Image 24: 4E-BP Antibody Sampler Kit
Orders: 877-616-CELL (2355) [email protected] Support: 877-678-TECH (8324) [email protected] Web: cellsignal.com
For Research Use Only. Not for Use in Diagnostic Procedures.

Revision 1

Cell Signaling Technology Logo
Confocal immunofluorescent analysis of 293 cells, expressing either nontargeting shRNA (left) or shRNA targeting 4E-BP1/2 (right), using 4E-BP1 (53H11) Rabbit mAb #9644 (green). Red = Propidium Iodide (PI)/RNase Staining Solution #4084.
undefined Image 25: 4E-BP Antibody Sampler Kit
Flow cytometric analysis of 293 cells, transfected with control shRNA (green) or 4E-BP1-specific shRNA (blue) using 4E-BP1 (53H11) Rabbit mAb (solid lines) or concentration-matched Rabbit (DA1E) mAb IgG XP® Isotype Control #3900 (dashed lines). Anti-rabbit IgG (H+L), F(ab')₂ Fragment (Alexa Fluor® 488 Conjugate) #4412 was used as a secondary antibody.
undefined Image 26: 4E-BP Antibody Sampler Kit
Flow cytometric analysis of Jurkat cells, untreated (green) or treated with LY294002 #9901, Wortmannin #9951, and U0126 #9903 (50 μM, 1 μM, and 10 μM, 2 hr; blue) using Phospho-4E-BP1 (Thr36/46) (236B4) Rabbit mAb (solid lines) or concentration-matched Rabbit (DA1E) mAb IgG XP® Isotype Control #3900 (dashed lines). Anti-rabbit IgG (H+L), F(ab')2 Fragment (Alexa Fluor® 488 Conjugate) #4412 was used as a secondary antibody.
undefined Image 27: 4E-BP Antibody Sampler Kit
Orders: 877-616-CELL (2355) [email protected] Support: 877-678-TECH (8324) [email protected] Web: cellsignal.com
For Research Use Only. Not for Use in Diagnostic Procedures.

Revision 1

Cell Signaling Technology Logo
Simple Western™ analysis of lysates (0.1 mg/mL) from 3T3 cells using Phospho-4E-BP1 (Thr37/46) (236B4) Rabbit mAb #2855. The virtual lane view (left) shows the target band (as indicated) at 1:10 and 1:50 dilutions of primary antibody. The corresponding electropherogram view (right) plots chemiluminescence by molecular weight along the capillary at 1:10 (blue line) and 1:50 (green line) dilutions of primary antibody. This experiment was performed under reducing conditions on the Jess™ Simple Western instrument from ProteinSimple, a BioTechne brand, using the 12-230 kDa separation module.
undefined Image 28: 4E-BP Antibody Sampler Kit
Flow cytometric analysis of HEK-293 cells treated with insulin (100 nM, 30 min), and then treated post-fixation/permeabilization with λ phosphatase (green) or untreated (blue), using Non-phospho-4E-BP1 (Thr46) (87D12) Rabbit mAb (solid lines) or concentration-matched Rabbit (DA1E) mAb IgG XP® Isotype Control #3900 (dashed lines). Anti-rabbit IgG F(ab')2 Fragment (Alexa Fluor® 488 Conjugate) #4412 was used as a secondary antibody.
undefined Image 29: 4E-BP Antibody Sampler Kit
Immunoprecipitation of Phospho-4E-BP1 (Ser65) from MCF-7 cell extracts. Cells were starved for 24 hours in serum-free medium and underwent a 1 hour amino acid deprivation. Amino acids were replenished for 1 hour. Cells were then treated with 100 nM insulin for 30 minutes. Lane 1 is 10% input, lane 2 is Normal Rabbit IgG #2729, and lane 3 is Phospho-4E-BP1 (Ser65) Antibody. Western blot was performed using Phospho-4E-BP1 (Ser65) Antibody #9451.
undefined Image 30: 4E-BP Antibody Sampler Kit
Orders: 877-616-CELL (2355) [email protected] Support: 877-678-TECH (8324) [email protected] Web: cellsignal.com
For Research Use Only. Not for Use in Diagnostic Procedures.

Revision 1

Cell Signaling Technology Logo
Simple Western™ analysis of lysates (0.1 mg/mL) from HepG2 cells using 4E-BP1 (53H11) Rabbit mAb #9644. The virtual lane view (left) shows the target band (as indicated) at 1:50 and 1:250 dilutions of primary antibody. The corresponding electropherogram view (right) plots chemiluminescence by molecular weight along the capillary at 1:50 (blue line) and 1:250 (green line) dilutions of primary antibody. This experiment was performed under reducing conditions on the Jess™ Simple Western instrument from ProteinSimple, a BioTechne brand, using the 2-40 kDa separation module.
undefined Image 31: 4E-BP Antibody Sampler Kit
Orders: 877-616-CELL (2355) [email protected] Support: 877-678-TECH (8324) [email protected] Web: cellsignal.com
For Research Use Only. Not for Use in Diagnostic Procedures.