Revision 4

#42235

Store at -20C

CST Logo
Orders:

877-616-CELL (2355)

[email protected]

Support:

877-678-TECH (8324)

3 Trask Lane | Danvers | Massachusetts | 01923 | USA

For Research Use Only. Not for Use in Diagnostic Procedures.

Applications:
W, IHC-P, IF-IC, FC-FP, ELISA

Reactivity:
H M R Mk

Sensitivity:
Endogenous

MW (kDa):
15-20

Source/Isotype:
Rabbit IgG

UniProt ID:
#Q13541

Entrez-Gene Id:
1978

Product Usage Information

This product is the carrier free version of product #9644. All data were generated using the same antibody clone in the standard formulation which contains BSA and glycerol.

This formulation is ideal for use with technologies requiring specialized or custom antibody labeling, including fluorophores, metals, lanthanides, and oligonucleotides. It is not recommended for ChIP, ChIP-seq, CUT&RUN or CUT&Tag assays. If you require a carrier free formulation for chromatin profiling, please contact us. Optimal dilutions/concentrations should be determined by the end user.

BSA and Azide Free antibodies are quality control tested by size exclusion chromatography (SEC) to determine antibody integrity.

Formulation

Supplied in 1X PBS (10 mM Na2HPO4, 3 mM KCl, 2 mM KH2PO4, and 140 mM NaCl (pH 7.8)). BSA and Azide Free.

For standard formulation of this product see product #9644

Storage

Store at -20°C. This product will freeze at -20°C so it is recommended to aliquot into single-use vials to avoid multiple freeze/thaw cycles. A slight precipitate may be present and can be dissolved by gently vortexing. This will not interfere with antibody performance.

Specificity/Sensitivity

4E-BP1 (53H11) Rabbit Monoclonal Antibody (BSA and Azide Free) detects endogenous levels of total 4E-BP1 protein.

Source / Purification

4E-BP1 (53H11) Rabbit mAb is produced by immunizing rabbits with a synthetic peptide corresponding to residues surrounding Ser112 of human 4E-BP1.

Background

Translation repressor protein 4E-BP1 (also known as PHAS-1) inhibits cap-dependent translation by binding to the translation initiation factor eIF4E. Hyperphosphorylation of 4E-BP1 disrupts this interaction and results in activation of cap-dependent translation (1). Both the PI3 kinase/Akt pathway and FRAP/mTOR kinase regulate 4E-BP1 activity (2,3). Multiple 4E-BP1 residues are phosphorylated in vivo (4). While phosphorylation by FRAP/mTOR at Thr37 and Thr46 does not prevent the binding of 4E-BP1 to eIF4E, it is thought to prime 4E-BP1 for subsequent phosphorylation at Ser65 and Thr70 (5).

Species Reactivity

Species reactivity is determined by testing in at least one approved application (e.g., western blot).

Applications Key

W: Western Blotting IHC-P: Immunohistochemistry (Paraffin) IF-IC: Immunofluorescence (Immunocytochemistry) FC-FP: Flow Cytometry (Fixed/Permeabilized) ELISA: ELISA

Cross-Reactivity Key

H: Human M: Mouse R: Rat Mk: Monkey

Trademarks and Patents

Cell Signaling Technology is a trademark of Cell Signaling Technology, Inc.

All other trademarks are the property of their respective owners. Visit cellsignal.com/trademarks for more information.

Limited Uses

Except as otherwise expressly agreed in a writing signed by a legally authorized representative of CST, the following terms apply to Products provided by CST, its affiliates or its distributors. Any Customer's terms and conditions that are in addition to, or different from, those contained herein, unless separately accepted in writing by a legally authorized representative of CST, are rejected and are of no force or effect.

Products are labeled with For Research Use Only or a similar labeling statement and have not been approved, cleared, or licensed by the FDA or other regulatory foreign or domestic entity, for any purpose. Customer shall not use any Product for any diagnostic or therapeutic purpose, or otherwise in any manner that conflicts with its labeling statement. Products sold or licensed by CST are provided for Customer as the end-user and solely for research and development uses. Any use of Product for diagnostic, prophylactic or therapeutic purposes, or any purchase of Product for resale (alone or as a component) or other commercial purpose, requires a separate license from CST. Customer shall (a) not sell, license, loan, donate or otherwise transfer or make available any Product to any third party, whether alone or in combination with other materials, or use the Products to manufacture any commercial products, (b) not copy, modify, reverse engineer, decompile, disassemble or otherwise attempt to discover the underlying structure or technology of the Products, or use the Products for the purpose of developing any products or services that would compete with CST products or services, (c) not alter or remove from the Products any trademarks, trade names, logos, patent or copyright notices or markings, (d) use the Products solely in accordance with CST Product Terms of Sale and any applicable documentation, and (e) comply with any license, terms of service or similar agreement with respect to any third party products or services used by Customer in connection with the Products.

Orders: 877-616-CELL (2355) [email protected] Support: 877-678-TECH (8324) [email protected] Web: cellsignal.com
For Research Use Only. Not for Use in Diagnostic Procedures.

Revision 4

Cell Signaling Technology Logo
Western blot analysis of extracts from control HeLa cells (Lane 1) or HeLa cells with a targeted mutation in the gene encoding 4E-BP1 (Lane 2) using 4E-BP1 (53H11) Rabbit mAb (upper) or β-actin (13E5) Rabbit mAb #4970 (lower). The change in 4E-BP1 molecular weight in the mutated HeLa cells confirms the specificity of the antibody for 4E-BP1. Data were generated using the standard formulation of this product.
Western Blotting Image 1: 4E-BP1 (53H11) Rabbit Monoclonal Antibody (BSA and Azide Free)
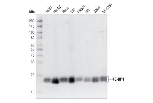
Western blot analysis of extracts from various cell lines using 4E-BP1 (53H11) Rabbit mAb. Data were generated using the standard formulation of this product.
Western Blotting Image 2: 4E-BP1 (53H11) Rabbit Monoclonal Antibody (BSA and Azide Free)
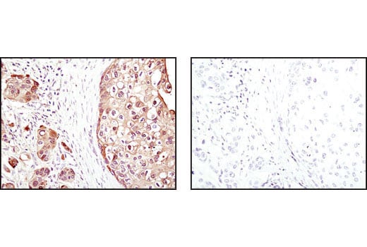
Immunohistochemical analysis of paraffin-embedded human breast carcinoma using 4E-BP1 (53H11) Rabbit mAb in the presence of control peptide (left) or 4E-BP1 blocking peptide #1053 (right). Data were generated using the standard formulation of this product.
Immunohistochemistry Image 1: 4E-BP1 (53H11) Rabbit Monoclonal Antibody (BSA and Azide Free)
Orders: 877-616-CELL (2355) [email protected] Support: 877-678-TECH (8324) [email protected] Web: cellsignal.com
For Research Use Only. Not for Use in Diagnostic Procedures.

Revision 4

Cell Signaling Technology Logo
Immunohistochemical analysis of paraffin-embedded human hepatocellular carcinoma using 4E-BP1 (53H11) Rabbit mAb. Data were generated using the standard formulation of this product.
Immunohistochemistry Image 2: 4E-BP1 (53H11) Rabbit Monoclonal Antibody (BSA and Azide Free)
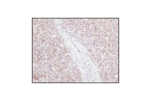
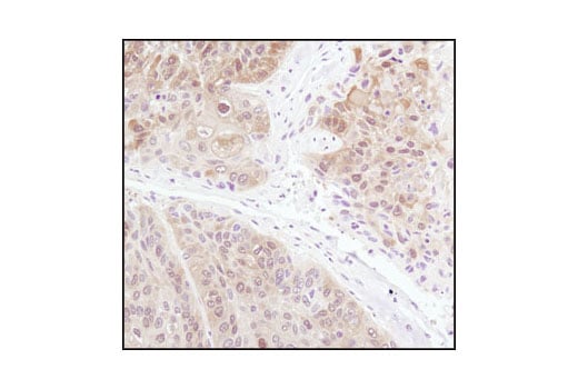
Immunohistochemical analysis of paraffin-embedded human lung carcinoma using 4E-BP1 (53H11) Rabbit mAb. Data were generated using the standard formulation of this product.
Immunohistochemistry Image 3: 4E-BP1 (53H11) Rabbit Monoclonal Antibody (BSA and Azide Free)
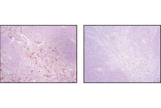
Immunohistochemical analysis of paraffin-embedded mouse spleen, 4E-BP1/2 wild type (left) or 4E-BP1 knockout (right), using 4E-BP1 (53H11) Rabbit mAb. 4E-BP wild type and knockout tissues kindly provided by Dr. Nahum Sonenberg, McGill University. Data were generated using the standard formulation of this product.
Immunohistochemistry Image 4: 4E-BP1 (53H11) Rabbit Monoclonal Antibody (BSA and Azide Free)
Orders: 877-616-CELL (2355) [email protected] Support: 877-678-TECH (8324) [email protected] Web: cellsignal.com
For Research Use Only. Not for Use in Diagnostic Procedures.

Revision 4

Cell Signaling Technology Logo
Confocal immunofluorescent analysis of HeLa cells using 4E-BP1 (53H11) Rabbit mAb (green). Actin filaments have been labeled with Alexa Fluor® 555 phalloidin (red). Blue pseudocolor = DRAQ5® #4084 (fluorescent DNA dye). Data were generated using the standard formulation of this product.
Immunofluorescence Image 1: 4E-BP1 (53H11) Rabbit Monoclonal Antibody (BSA and Azide Free)
Confocal immunofluorescent analysis of 293 cells, expressing either nontargeting shRNA (left) or shRNA targeting 4E-BP1/2 (right), using 4E-BP1 (53H11) Rabbit mAb #9644 (green). Red = Propidium Iodide (PI)/RNase Staining Solution #4084. Data were generated using the standard formulation of this product.
Immunofluorescence Image 2: 4E-BP1 (53H11) Rabbit Monoclonal Antibody (BSA and Azide Free)
Flow cytometric analysis of 293 cells, transfected with control shRNA (green) or 4E-BP1-specific shRNA (blue) using 4E-BP1 (53H11) Rabbit mAb (solid lines) or concentration-matched Rabbit (DA1E) mAb IgG XP® Isotype Control #3900 (dashed lines). Anti-rabbit IgG (H+L), F(ab')₂ Fragment (Alexa Fluor® 488 Conjugate) #4412 was used as a secondary antibody. Data were generated using the standard formulation of this product.
Flow Cytometry Image 1: 4E-BP1 (53H11) Rabbit Monoclonal Antibody (BSA and Azide Free)
Orders: 877-616-CELL (2355) [email protected] Support: 877-678-TECH (8324) [email protected] Web: cellsignal.com
For Research Use Only. Not for Use in Diagnostic Procedures.

Revision 4

Cell Signaling Technology Logo
Data using Phospho-4E-BP1 (Thr37/46) Matched Antibody Pair #67864 are shown. The two antibodies function as a capture-target-detection sandwich (#42235 and #39788, respectively) to detect endogenous protein expression in positive and negative controls.
ELISA Image 1: 4E-BP1 (53H11) Rabbit Monoclonal Antibody (BSA and Azide Free)
Data using Phospho-4E-BP1 (Ser65) Matched Antibody Pair #99459 are shown. The two antibodies function as a capture-target-detection sandwich (#42235 and #27899, respectively) to detect endogenous protein expression in cells treated with amino acid (AA) replenishment and untreated cells.
ELISA Image 2: 4E-BP1 (53H11) Rabbit Monoclonal Antibody (BSA and Azide Free)
Orders: 877-616-CELL (2355) [email protected] Support: 877-678-TECH (8324) [email protected] Web: cellsignal.com
For Research Use Only. Not for Use in Diagnostic Procedures.