Revision 4

#94274

Store at -20C

CST Logo
Orders:

877-616-CELL (2355)

[email protected]

Support:

877-678-TECH (8324)

3 Trask Lane | Danvers | Massachusetts | 01923 | USA

For Research Use Only. Not for Use in Diagnostic Procedures.

Applications:
W, IHC-P, IF-IC

Reactivity:
H

Sensitivity:
Endogenous

MW (kDa):
75-120

Source/Isotype:
Rabbit IgG

UniProt ID:
#P08195

Entrez-Gene Id:
6520

Product Usage Information

Application Dilution
Western Blotting 1:1000
Immunohistochemistry (Paraffin) 1:300
Immunofluorescence (Immunocytochemistry) 1:100

Storage

Supplied in 10 mM sodium HEPES (pH 7.5), 150 mM NaCl, 100 µg/ml BSA, 50% glycerol and less than 0.02% sodium azide. Store at –20°C. Do not aliquot the antibody.

Specificity/Sensitivity

4F2hc/SLC3A2 (D5U4G) Rabbit Monoclonal Antibody recognizes endogenous levels of total 4F2hc/SLC3A2 protein. This antibody is predicted to detect multiple isoforms of 4F2hc/SLC3A2.

Source / Purification

Monoclonal antibody is produced by immunizing animals with a synthetic peptide corresponding to residues surrounding Ala629 of human 4F2hc/SLC3A2 protein.

Background

4F2hc is a transmembrane protein that belongs to the solute carrier family. 4F2hc forms heterodimeric complexes with various amino acid transporters such as LAT1 and LAT2 and regulates uptake of amino acids (1-5). 4F2hc is one of the earliest expressed antigens on the surface of activated human lymphocytes (6), hence it is also named CD98. 4F2hc is expressed in all cell types with the exception of platelets, and is expressed at highest levels in the tubules of the kidney and the gastrointestinal tract (7,8). It is localized at the plasma membrane when associated with LAT1 or LAT2 (9) and at the apical membrane of placenta (10). Research studies have shown that 4F2hc is highly expressed in various tumors including glioma (11), ovarian cancer (12), and astrocytomas (13), and it has been implicated in tumor progression and correlated with poor outcome in patients with pulmonary neuroendocrine tumors (14). 4F2hc is also involved in integrin trafficking through association with β1 and β4 integrins, and regulates keratinocyte adhesion and differentiation (15).

Species Reactivity

Species reactivity is determined by testing in at least one approved application (e.g., western blot).

Western Blot Buffer

IMPORTANT: For western blots, incubate membrane with diluted primary antibody in 5% w/v BSA, 1X TBS, 0.1% Tween® 20 at 4°C with gentle shaking, overnight.

Applications Key

W: Western Blotting IHC-P: Immunohistochemistry (Paraffin) IF-IC: Immunofluorescence (Immunocytochemistry)

Cross-Reactivity Key

H: Human

Trademarks and Patents

Cell Signaling Technology is a trademark of Cell Signaling Technology, Inc.

All other trademarks are the property of their respective owners. Visit cellsignal.com/trademarks for more information.

Limited Uses

Except as otherwise expressly agreed in a writing signed by a legally authorized representative of CST, the following terms apply to Products provided by CST, its affiliates or its distributors. Any Customer's terms and conditions that are in addition to, or different from, those contained herein, unless separately accepted in writing by a legally authorized representative of CST, are rejected and are of no force or effect.

Products are labeled with For Research Use Only or a similar labeling statement and have not been approved, cleared, or licensed by the FDA or other regulatory foreign or domestic entity, for any purpose. Customer shall not use any Product for any diagnostic or therapeutic purpose, or otherwise in any manner that conflicts with its labeling statement. Products sold or licensed by CST are provided for Customer as the end-user and solely for research and development uses. Any use of Product for diagnostic, prophylactic or therapeutic purposes, or any purchase of Product for resale (alone or as a component) or other commercial purpose, requires a separate license from CST. Customer shall (a) not sell, license, loan, donate or otherwise transfer or make available any Product to any third party, whether alone or in combination with other materials, or use the Products to manufacture any commercial products, (b) not copy, modify, reverse engineer, decompile, disassemble or otherwise attempt to discover the underlying structure or technology of the Products, or use the Products for the purpose of developing any products or services that would compete with CST products or services, (c) not alter or remove from the Products any trademarks, trade names, logos, patent or copyright notices or markings, (d) use the Products solely in accordance with CST Product Terms of Sale and any applicable documentation, and (e) comply with any license, terms of service or similar agreement with respect to any third party products or services used by Customer in connection with the Products.

Orders: 877-616-CELL (2355) [email protected] Support: 877-678-TECH (8324) [email protected] Web: cellsignal.com
For Research Use Only. Not for Use in Diagnostic Procedures.

Revision 4

Cell Signaling Technology Logo
Western blot analysis of extracts from various cell lines using 4F2hc/SLC3A2 (D5U4G) XP® Rabbit mAb (upper) and β-actin (D6A8) Rabbit mAb #8457 (lower).
Western Blotting Image 1: 4F2hc/SLC3A2 (D5U4G) Rabbit Monoclonal Antibody
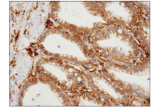
Immunohistochemical analysis of paraffin-embedded human colon carcinoma using 4F2hc/SLC3A2 (D5U4G) XP® Rabbit mAb.
Immunohistochemistry Image 1: 4F2hc/SLC3A2 (D5U4G) Rabbit Monoclonal Antibody
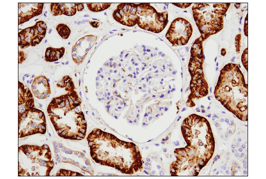
Immunohistochemical analysis of paraffin-embedded normal human kidney using 4F2hc/SLC3A2 (D5U4G) XP® Rabbit mAb.
Immunohistochemistry Image 2: 4F2hc/SLC3A2 (D5U4G) Rabbit Monoclonal Antibody
Orders: 877-616-CELL (2355) [email protected] Support: 877-678-TECH (8324) [email protected] Web: cellsignal.com
For Research Use Only. Not for Use in Diagnostic Procedures.

Revision 4

Cell Signaling Technology Logo
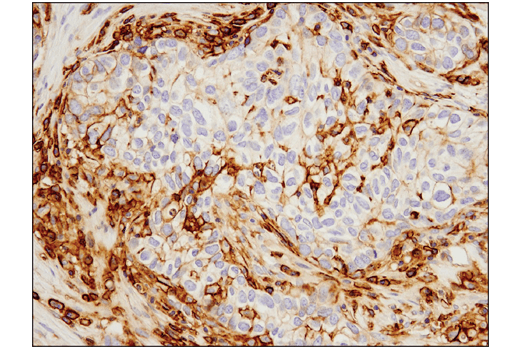
Immunohistochemical analysis of paraffin-embedded human ovarian carcinoma using 4F2hc/SLC3A2 (D5U4G) XP® Rabbit mAb.
Immunohistochemistry Image 3: 4F2hc/SLC3A2 (D5U4G) Rabbit Monoclonal Antibody
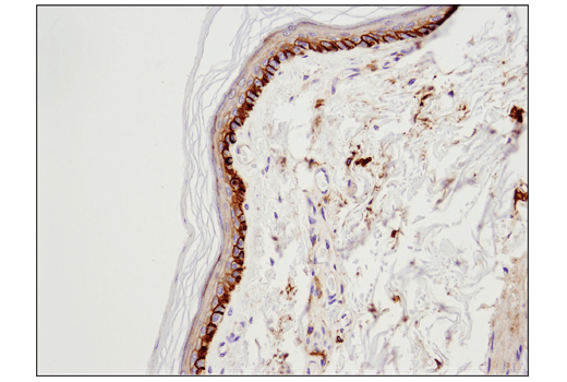
Immunohistochemical analysis of paraffin-embedded normal human skin using 4F2hc/SLC3A2 (D5U4G) XP® Rabbit mAb.
Immunohistochemistry Image 4: 4F2hc/SLC3A2 (D5U4G) Rabbit Monoclonal Antibody
Confocal immunofluorescent analysis of HeLa cells (left, high-expressing) or SH-SY5Y cells (right, low-expressing) using 4F2hc/SLC3A2 (D5U4G) XP® Rabbit mAb (green). Blue pseudocolor = DRAQ5® #4084 (fluorescent DNA dye).
Immunofluorescence Image 1: 4F2hc/SLC3A2 (D5U4G) Rabbit Monoclonal Antibody
Orders: 877-616-CELL (2355) [email protected] Support: 877-678-TECH (8324) [email protected] Web: cellsignal.com
For Research Use Only. Not for Use in Diagnostic Procedures.