Revision 1

#3289

Store at -20C

CST Logo
Orders:

877-616-CELL (2355)

[email protected]

Support:

877-678-TECH (8324)

3 Trask Lane | Danvers | Massachusetts | 01923 | USA

For Research Use Only. Not for Use in Diagnostic Procedures.

Applications:
W, IP, IHC-P

Reactivity:
H

Sensitivity:
Endogenous

MW (kDa):
78

Source/Isotype:
Rabbit

UniProt ID:
#P09917

Entrez-Gene Id:
240

Product Usage Information

Application Dilution
Western Blotting 1:1000
Immunoprecipitation 1:50
Immunohistochemistry (Paraffin) 1:50

Storage

Supplied in 10 mM sodium HEPES (pH 7.5), 150 mM NaCl, 100 µg/ml BSA, 50% glycerol and less than 0.02% sodium azide. Store at –20°C. Do not aliquot the antibody.

Specificity/Sensitivity

5-Lipoxygenase (C49G1) Rabbit Monoclonal Antibody detects endogenous levels of total 5-lipoxygenase protein. Expression of 5-Lipoxygenasae is very low in most tissues and cell lines, except in whole blood, bone marrow, lung and macrophage cell lines.

Species predicted to react based on 100% sequence homology

Mouse, Rat, Monkey

Source / Purification

Monoclonal antibody is produced by immunizing animals with a synthetic peptide corresponding to residues surrounding Ile168 of human 5-lipoxygenase protein.

Background

5-Lipoxygenase (5-LO, ALOX5) is an important catalytic enzyme responsible for the biosynthesis of leukotriene LTA4 from arachidonic acid (1,2). Leukotriene synthesis also requires 5-lipoxygenase-activating protein (FLAP, ALOX5AP), a nuclear membrane-bound protein that binds arachidonic acid and is thought to activate 5-LO. A number of related leukotrienes (i.e. B4, C4, D4) are derived from LTA4 and together these lipid mediators function in immune reaction regulation. 5-LO is primarily expressed in polymorphonuclear leukocytes, peripheral blood monocytes, macrophages, and mast cells (1,3). Overexpression of 5-LO protein is seen in certain cancer cells and is associated with poor diagnosis (1,4). Depending upon the cell type, 5-LO is localized to either the cytosol or the nucleus of quiescent cells (5). Following stimulation, 5-LO translocates to the nucleus and associates with FLAP to catalyze LTA4 synthesis (2,3). Phosphorylation of specific residues can regulate 5-LO enzymatic activity. Phosphorylation of 5-LO at Ser523 by PKA family kinases inhibits oxygenase activity (6,7) while MAPKAP2 and ERK family kinase phosphorylation at Ser271 and Ser663 stimulates 5-LO enzymatic activity in vivo (8,9).

Species Reactivity

Species reactivity is determined by testing in at least one approved application (e.g., western blot).

Western Blot Buffer

IMPORTANT: For western blots, incubate membrane with diluted primary antibody in 5% w/v BSA, 1X TBS, 0.1% Tween® 20 at 4°C with gentle shaking, overnight.

Applications Key

W: Western Blotting IP: Immunoprecipitation IHC-P: Immunohistochemistry (Paraffin)

Cross-Reactivity Key

H: Human

Trademarks and Patents

Cell Signaling Technology is a trademark of Cell Signaling Technology, Inc.

U.S. Patent No. 7,429,487, foreign equivalents, and child patents deriving therefrom.

All other trademarks are the property of their respective owners. Visit cellsignal.com/trademarks for more information.

Limited Uses

Except as otherwise expressly agreed in a writing signed by a legally authorized representative of CST, the following terms apply to Products provided by CST, its affiliates or its distributors. Any Customer's terms and conditions that are in addition to, or different from, those contained herein, unless separately accepted in writing by a legally authorized representative of CST, are rejected and are of no force or effect.

Products are labeled with For Research Use Only or a similar labeling statement and have not been approved, cleared, or licensed by the FDA or other regulatory foreign or domestic entity, for any purpose. Customer shall not use any Product for any diagnostic or therapeutic purpose, or otherwise in any manner that conflicts with its labeling statement. Products sold or licensed by CST are provided for Customer as the end-user and solely for research and development uses. Any use of Product for diagnostic, prophylactic or therapeutic purposes, or any purchase of Product for resale (alone or as a component) or other commercial purpose, requires a separate license from CST. Customer shall (a) not sell, license, loan, donate or otherwise transfer or make available any Product to any third party, whether alone or in combination with other materials, or use the Products to manufacture any commercial products, (b) not copy, modify, reverse engineer, decompile, disassemble or otherwise attempt to discover the underlying structure or technology of the Products, or use the Products for the purpose of developing any products or services that would compete with CST products or services, (c) not alter or remove from the Products any trademarks, trade names, logos, patent or copyright notices or markings, (d) use the Products solely in accordance with CST Product Terms of Sale and any applicable documentation, and (e) comply with any license, terms of service or similar agreement with respect to any third party products or services used by Customer in connection with the Products.

Orders: 877-616-CELL (2355) [email protected] Support: 877-678-TECH (8324) [email protected] Web: cellsignal.com
For Research Use Only. Not for Use in Diagnostic Procedures.

Revision 1

Cell Signaling Technology Logo
Western blot analysis of extracts from human RL cells using 5-Lipoxygenase (49G1) Rabbit mAb.
Western Blotting Image 1: 5-Lipoxygenase (C49G1) Rabbit Monoclonal Antibody
Western blot analysis of extracts from COS cells transfected with 5-LO using 5-Lipoxygenase (49G1) Rabbit mAb.
Western Blotting Image 2: 5-Lipoxygenase (C49G1) Rabbit Monoclonal Antibody
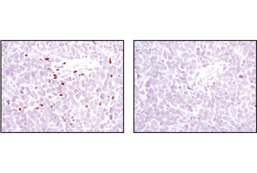
Immunohistochemical analysis of paraffin-embedded non-Hodgkin's lymphoma, using 5-Lipoxygenase (C49G1) Rabbit mAb in the presence of control peptide (left) or antigen specific peptide (right).
Immunohistochemistry Image 1: 5-Lipoxygenase (C49G1) Rabbit Monoclonal Antibody
Orders: 877-616-CELL (2355) [email protected] Support: 877-678-TECH (8324) [email protected] Web: cellsignal.com
For Research Use Only. Not for Use in Diagnostic Procedures.