Revision 10

#88439

Store at -20C

CST Logo
Orders:

877-616-CELL (2355)

[email protected]

Support:

877-678-TECH (8324)

3 Trask Lane | Danvers | Massachusetts | 01923 | USA

For Research Use Only. Not for Use in Diagnostic Procedures.

Applications:
W, IHC-P, IF-IC

Reactivity:
H

Sensitivity:
Endogenous

MW (kDa):
450

Source/Isotype:
Rabbit IgG

UniProt ID:
#Q12888

Entrez-Gene Id:
7158

Product Usage Information

Application Dilution
Western Blotting 1:1000
Immunohistochemistry (Paraffin) 1:200 - 1:800
Immunofluorescence (Immunocytochemistry) 1:1600 - 1:6400

Storage

Supplied in 10 mM sodium HEPES (pH 7.5), 150 mM NaCl, 100 µg/ml BSA, 50% glycerol and less than 0.02% sodium azide. Store at –20°C. Do not aliquot the antibody.

For a carrier free (BSA and azide free) version of this product see product #60721.

Specificity/Sensitivity

53BP1 (E7N5D) Rabbit Monoclonal Antibody recognizes endogenous levels of total 53BP1 protein.

Source / Purification

Monoclonal antibody is produced by immunizing animals with a synthetic peptide corresponding to residues surrounding Gly1190 of human 53BP1 protein.

Background

p53-binding protein 1 (53BP1) was originally identified as a p53 binding partner that could enhance the transcriptional activity of p53 (1,2). 53BP1 consists of two BRCA1 carboxy terminal (BRCT) domains that allow for binding to p53 and a separate domain responsible for binding to phosphorylated histone H2A.X (3). 53BP1 rapidly translocates to nuclear foci following treatment of cells with ionizing radiation (IR) or radiomimetic agents that cause DNA double strand breaks (DSBs) (4,5). Because of this localization to DSBs and homology to the yeast protein Rad9, a role for 53BP1 in DSB repair has been proposed. Recruitment of 53BP1 to sites of DNA damage has been demonstrated to be independent of ATM, NBS1, and DNA-PK (4) and retention of 53BP1 at DNA breaks requires phosphorylated H2A.X (6). In cells lacking 53BP1, phosphorylation of ATM substrates is reduced, suggesting that 53BP1 is upstream of ATM (7). In response to IR, phosphorylation of 53BP1 at serines 6, 25, 29, and 784 by ATM has been demonstrated, but phosphorylation at these sites is not required for localization of 53BP1 to sites of DSBs (6). Phosphorylation of 53BP1 at Ser1618 has been reported to be enriched in human cells arrested in mitosis (8).

Species Reactivity

Species reactivity is determined by testing in at least one approved application (e.g., western blot).

Western Blot Buffer

IMPORTANT: For western blots, incubate membrane with diluted primary antibody in 5% w/v BSA, 1X TBS, 0.1% Tween® 20 at 4°C with gentle shaking, overnight.

Applications Key

W: Western Blotting IHC-P: Immunohistochemistry (Paraffin) IF-IC: Immunofluorescence (Immunocytochemistry)

Cross-Reactivity Key

H: Human

Trademarks and Patents

Cell Signaling Technology is a trademark of Cell Signaling Technology, Inc.

SignalStain is a registered trademark of Cell Signaling Technology, Inc.

All other trademarks are the property of their respective owners. Visit cellsignal.com/trademarks for more information.

Limited Uses

Except as otherwise expressly agreed in a writing signed by a legally authorized representative of CST, the following terms apply to Products provided by CST, its affiliates or its distributors. Any Customer's terms and conditions that are in addition to, or different from, those contained herein, unless separately accepted in writing by a legally authorized representative of CST, are rejected and are of no force or effect.

Products are labeled with For Research Use Only or a similar labeling statement and have not been approved, cleared, or licensed by the FDA or other regulatory foreign or domestic entity, for any purpose. Customer shall not use any Product for any diagnostic or therapeutic purpose, or otherwise in any manner that conflicts with its labeling statement. Products sold or licensed by CST are provided for Customer as the end-user and solely for research and development uses. Any use of Product for diagnostic, prophylactic or therapeutic purposes, or any purchase of Product for resale (alone or as a component) or other commercial purpose, requires a separate license from CST. Customer shall (a) not sell, license, loan, donate or otherwise transfer or make available any Product to any third party, whether alone or in combination with other materials, or use the Products to manufacture any commercial products, (b) not copy, modify, reverse engineer, decompile, disassemble or otherwise attempt to discover the underlying structure or technology of the Products, or use the Products for the purpose of developing any products or services that would compete with CST products or services, (c) not alter or remove from the Products any trademarks, trade names, logos, patent or copyright notices or markings, (d) use the Products solely in accordance with CST Product Terms of Sale and any applicable documentation, and (e) comply with any license, terms of service or similar agreement with respect to any third party products or services used by Customer in connection with the Products.

Orders: 877-616-CELL (2355) [email protected] Support: 877-678-TECH (8324) [email protected] Web: cellsignal.com
For Research Use Only. Not for Use in Diagnostic Procedures.

Revision 10

Cell Signaling Technology Logo
Western blot analysis of extracts from control HCT 116 cells (lane 1) or CRISPR/Cas9 53BP1 knockout (KO) HCT 116 cells (lane 2) using 53BP1 (E7N5D) XP® Rabbit mAb (upper) or α-Actinin (D6F6) XP® Rabbit mAb #6487 (lower).
Western Blotting Image 1: 53BP1 (E7N5D) Rabbit Monoclonal Antibody
Immunohistochemical analysis of paraffin-embedded HCT 116 cell pellet wild-type (left, positive) or 53BP1 knockdown (right, low-expressing) using 53BP1 (E7N5D) XP® Rabbit mAb.
Immunohistochemistry Image 1: 53BP1 (E7N5D) Rabbit Monoclonal Antibody
Immunohistochemical analysis of paraffin-embedded human esophageal adenocarcinoma using 53BP1 (E7N5D) XP® Rabbit mAb.
Immunohistochemistry Image 2: 53BP1 (E7N5D) Rabbit Monoclonal Antibody
Orders: 877-616-CELL (2355) [email protected] Support: 877-678-TECH (8324) [email protected] Web: cellsignal.com
For Research Use Only. Not for Use in Diagnostic Procedures.

Revision 10

Cell Signaling Technology Logo
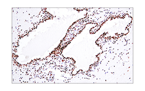
Immunohistochemical analysis of paraffin-embedded human adenoid cystic carcinoma of the trachea using 53BP1 (E7N5D) XP® Rabbit mAb.
Immunohistochemistry Image 3: 53BP1 (E7N5D) Rabbit Monoclonal Antibody
Immunohistochemical analysis of paraffin-embedded human squamous carcinoma of the tongue using 53BP1 (E7N5D) XP® Rabbit mAb.
Immunohistochemistry Image 4: 53BP1 (E7N5D) Rabbit Monoclonal Antibody
Immunohistochemical analysis of paraffin-embedded human colon carcinoma using 53BP1 (E7N5D) XP® Rabbit mAb (left) compared to concentration-matched Rabbit (DA1E) mAb IgG XP® Isotype Control #3900 (right).
Immunohistochemistry Image 5: 53BP1 (E7N5D) Rabbit Monoclonal Antibody
Orders: 877-616-CELL (2355) [email protected] Support: 877-678-TECH (8324) [email protected] Web: cellsignal.com
For Research Use Only. Not for Use in Diagnostic Procedures.

Revision 10

Cell Signaling Technology Logo
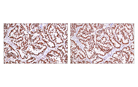
Immunohistochemical analysis of paraffin-embedded human endometrioid adenocarcinoma using 53BP1 (E7N5D) XP® Rabbit mAb (left) or 53BP1 Rabbit mAb (right). These two antibodies detect independent, unique epitopes on human 53BP1. The similar staining patterns obtained with both antibodies help to confirm the specificity of the staining.
Immunohistochemistry Image 6: 53BP1 (E7N5D) Rabbit Monoclonal Antibody
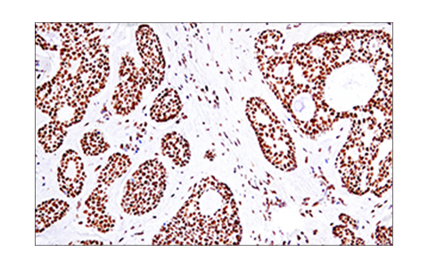
Immunohistochemical analysis of paraffin-embedded human prostate carcinoma using 53BP1 (E7N5D) XP® Rabbit mAb.
Immunohistochemistry Image 7: 53BP1 (E7N5D) Rabbit Monoclonal Antibody
Confocal immunofluorescent analysis of HCT 116 cells, either wild-type (left) or 53BP1 knockdown (right), using 53BP1 (E7N5D) XP® Rabbit mAb (green). Actin filaments were labeled with DyLight™ 554 Phalloidin #13054 (red). Samples were mounted in ProLong® Gold Antifade Reagent with DAPI #8961 (blue).
Immunofluorescence Image 1: 53BP1 (E7N5D) Rabbit Monoclonal Antibody
Orders: 877-616-CELL (2355) [email protected] Support: 877-678-TECH (8324) [email protected] Web: cellsignal.com
For Research Use Only. Not for Use in Diagnostic Procedures.

Revision 10

Cell Signaling Technology Logo
Confocal immunofluorescent analysis of HeLa cells either untreated (left) or treated with Actinomycin D #15021 (5 µg/mL, 2 hr) (right) using 53BP1 (E7N5D) XP® Rabbit mAb (green), DyLight™ 554 Phalloidin #13054 (red), and DAPI #4083 (blue).
Immunofluorescence Image 2: 53BP1 (E7N5D) Rabbit Monoclonal Antibody
Orders: 877-616-CELL (2355) [email protected] Support: 877-678-TECH (8324) [email protected] Web: cellsignal.com
For Research Use Only. Not for Use in Diagnostic Procedures.