Revision 1

#15145

Store at -20C

CST Logo
Orders:

877-616-CELL (2355)

[email protected]

Support:

877-678-TECH (8324)

3 Trask Lane | Danvers | Massachusetts | 01923 | USA

For Research Use Only. Not for Use in Diagnostic Procedures.

Applications:
W, IHC-P

Reactivity:
H M R

Sensitivity:
Endogenous

MW (kDa):
100

Source/Isotype:
Rabbit IgG

UniProt ID:
#O43707

Entrez-Gene Id:
81

Product Usage Information

Application Dilution
Western Blotting 1:1000
Immunohistochemistry (Paraffin) 1:200

Storage

Supplied in 10 mM sodium HEPES (pH 7.5), 150 mM NaCl, 100 µg/ml BSA, 50% glycerol and less than 0.02% sodium azide. Store at –20°C. Do not aliquot the antibody.

Specificity/Sensitivity

alpha-Actinin 4 (D7U5A) Rabbit Monoclonal Antibody  recognizes endogenous levels of total β-arrestin 1 protein. This antibody does not cross-react with β-arrestin 2.

Source / Purification

Monoclonal antibody is produced by immunizing animals with a synthetic peptide corresponding to residues surrounding Ala6 of human α-actinin 4 protein.

Background

α-Actinin belongs to the spectrin family of cytoskeletal proteins. It was first recognized as an actin cross-linking protein, forming an antiparallel homodimer with an actin binding head at the amino terminus of each monomer. The α-actinin protein interacts with a large number of proteins involved in signaling to the cytoskeleton, including those involved in cellular adhesion, migration, and immune cell targeting (1). The interaction of α-actinin with intercellular adhesion molecule-5 (ICAM-5) helps to promote neurite outgrowth (2). In osteoblasts, interaction of α-actinin with integrins stabilizes focal adhesions and may protect cells from apoptosis (3). The cytoskeletal α-actinin isoforms 1 and 4 (ACTN1, ACTN4) are non-muscle proteins that are present in stress fibers, sites of adhesion and intercellular contacts, filopodia, and lamellipodia. The muscle isoforms 2 and 3 (ACTN2, ACTN3) localize to the Z-discs of striated muscle and to dense bodies and plaques in smooth muscle (1).
The ubiquitously expressed α-actinin 4 (ACTN4) protein typically localizes to the cytoskeleton but extracellular stimuli will prompt nuclear translocation in some cells (4). Research studies suggest that ACTN4 can mediate cell signaling and regulate gene expression as a transcriptional coactivator (5,6). Increased expression of ACTN4 protein and amplification of the ACTN4 gene are seen in many cancers and correlates with poor prognosis and metastasis (7). Mutations in the corresponding ACTN4 gene are responsible for focal segmental glomerulosclerosis (FSGS1), a severe renal disorder characterized by reduced kidney function, proteinuria, and progressive kidney failure (8).

Species Reactivity

Species reactivity is determined by testing in at least one approved application (e.g., western blot).

Western Blot Buffer

IMPORTANT: For western blots, incubate membrane with diluted primary antibody in 5% w/v nonfat dry milk, 1X TBS, 0.1% Tween® 20 at 4°C with gentle shaking, overnight.

Applications Key

W: Western Blotting IHC-P: Immunohistochemistry (Paraffin)

Cross-Reactivity Key

H: Human M: Mouse R: Rat

Trademarks and Patents

Cell Signaling Technology is a trademark of Cell Signaling Technology, Inc.

SignalStain is a registered trademark of Cell Signaling Technology, Inc.

All other trademarks are the property of their respective owners. Visit cellsignal.com/trademarks for more information.

Limited Uses

Except as otherwise expressly agreed in a writing signed by a legally authorized representative of CST, the following terms apply to Products provided by CST, its affiliates or its distributors. Any Customer's terms and conditions that are in addition to, or different from, those contained herein, unless separately accepted in writing by a legally authorized representative of CST, are rejected and are of no force or effect.

Products are labeled with For Research Use Only or a similar labeling statement and have not been approved, cleared, or licensed by the FDA or other regulatory foreign or domestic entity, for any purpose. Customer shall not use any Product for any diagnostic or therapeutic purpose, or otherwise in any manner that conflicts with its labeling statement. Products sold or licensed by CST are provided for Customer as the end-user and solely for research and development uses. Any use of Product for diagnostic, prophylactic or therapeutic purposes, or any purchase of Product for resale (alone or as a component) or other commercial purpose, requires a separate license from CST. Customer shall (a) not sell, license, loan, donate or otherwise transfer or make available any Product to any third party, whether alone or in combination with other materials, or use the Products to manufacture any commercial products, (b) not copy, modify, reverse engineer, decompile, disassemble or otherwise attempt to discover the underlying structure or technology of the Products, or use the Products for the purpose of developing any products or services that would compete with CST products or services, (c) not alter or remove from the Products any trademarks, trade names, logos, patent or copyright notices or markings, (d) use the Products solely in accordance with CST Product Terms of Sale and any applicable documentation, and (e) comply with any license, terms of service or similar agreement with respect to any third party products or services used by Customer in connection with the Products.

Orders: 877-616-CELL (2355) [email protected] Support: 877-678-TECH (8324) [email protected] Web: cellsignal.com
For Research Use Only. Not for Use in Diagnostic Procedures.

Revision 1

Cell Signaling Technology Logo
Western blot analysis of extracts from various cell lines using α-Actinin 4 (D7U5A) Rabbit mAb.
Western Blotting Image 1: alpha-Actinin 4 (D7U5A) Rabbit Monoclonal Antibody 
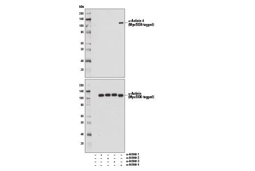
Western blot analysis of extracts from 293T cells, mock transfected (-) or transfected with constructs expressing Myc/DDK-tagged full-length human α-actinin proteins (+), using α-Actinin 4 (D7U5A) Rabbit mAb (upper) and Myc-Tag (71D10) Rabbit mAb #2278 (lower).
Western Blotting Image 2: alpha-Actinin 4 (D7U5A) Rabbit Monoclonal Antibody 
Immunohistochemical analysis of paraffin-embedded A549 cell pellet (left, high-expressing) or MOLT-4 cell pellet (right, low-expressing) using using α-Actinin 4 (D7U5A) Rabbit mAb.
Immunohistochemistry Image 1: alpha-Actinin 4 (D7U5A) Rabbit Monoclonal Antibody 
Orders: 877-616-CELL (2355) [email protected] Support: 877-678-TECH (8324) [email protected] Web: cellsignal.com
For Research Use Only. Not for Use in Diagnostic Procedures.

Revision 1

Cell Signaling Technology Logo
Immunohistochemical analysis of paraffin-embedded human serous papillary carcinoma of the ovary using α-Actinin 4 (D7U5A) Rabbit mAb (left) compared to concentration matched Rabbit (DA1E) mAb IgG XP® Isotype Control #3900 (right).
Immunohistochemistry Image 2: alpha-Actinin 4 (D7U5A) Rabbit Monoclonal Antibody 
Immunohistochemical analysis of paraffin-embedded human skin (left) or skeletal muscle (right) using using α-Actinin 4 (D7U5A) Rabbit mAb. Note the lack of staining in skeletal myocytes.
Immunohistochemistry Image 3: alpha-Actinin 4 (D7U5A) Rabbit Monoclonal Antibody 
Immunohistochemical analysis of paraffin-embedded mouse small intestine using α-Actinin 4 (D7U5A) Rabbit mAb.
Immunohistochemistry Image 4: alpha-Actinin 4 (D7U5A) Rabbit Monoclonal Antibody 
Orders: 877-616-CELL (2355) [email protected] Support: 877-678-TECH (8324) [email protected] Web: cellsignal.com
For Research Use Only. Not for Use in Diagnostic Procedures.