Revision 8

#50513

Store at -20C

CST Logo
Orders:

877-616-CELL (2355)

[email protected]

Support:

877-678-TECH (8324)

3 Trask Lane | Danvers | Massachusetts | 01923 | USA

For Research Use Only. Not for Use in Diagnostic Procedures.

Applications:
W, IHC-Bond, IHC-P, IF-F

Reactivity:
H M R Hm Mk

Sensitivity:
Endogenous

MW (kDa):
42

Source/Isotype:
Rabbit IgG

UniProt ID:
#P62736

Entrez-Gene Id:
59

Product Usage Information

This product is the carrier free version of product #19245. All data were generated using the same antibody clone in the standard formulation which contains BSA and glycerol.

This formulation is ideal for use with technologies requiring specialized or custom antibody labeling, including fluorophores, metals, lanthanides, and oligonucleotides. It is not recommended for ChIP, ChIP-seq, CUT&RUN, or CUT&Tag assays. If you require a carrier-free formulation for chromatin profiling, please contact us. Optimal dilutions/concentrations should be determined by the end user.

BSA and Azide Free antibodies are quality control tested by size exclusion chromatography (SEC) to determine antibody integrity.

Formulation

Supplied in 1X PBS (10 mM Na2HPO4, 3 mM KCl, 2 mM KH2PO4, and 140 mM NaCl (pH 7.8)). BSA and Azide Free.

For standard formulation of this product see product #19245.

Storage

Store at -20°C. This product will freeze at -20°C so it is recommended to aliquot into single-use vials to avoid multiple freeze/thaw cycles. A slight precipitate may be present and can be dissolved by gently vortexing. This will not interfere with antibody performance.

Specificity/Sensitivity

alpha-Smooth Muscle Actin (D4K9N) Rabbit Monoclonal Antibody (BSA and Azide Free) recognizes endogenous levels of total α-smooth muscle protein.

Source / Purification

Monoclonal antibody is produced by immunizing animals with a synthetic peptide corresponding to residues near the amino terminus of human α-smooth muscle actin protein.

Background

Actin proteins are major components of the eukaryotic cytoskeleton. At least six vertebrate actin isoforms have been identified. The cytoplasmic β- and γ-actin proteins are referred to as “non-muscle” actin proteins as they are predominantly expressed in non-muscle cells where they control cell structure and motility (1). The α-cardiac and α-skeletal actin proteins are expressed in striated cardiac and skeletal muscles, respectively. The smooth muscle α-actin and γ-actin proteins are found primarily in vascular smooth muscle and enteric smooth muscle, respectively. The α-smooth muscle actin (ACTA2) is also known as aortic smooth muscle actin. These actin isoforms regulate the contractile potential of muscle cells (1).

Species Reactivity

Species reactivity is determined by testing in at least one approved application (e.g., western blot).

Applications Key

W: Western Blotting IHC-Bond: IHC Leica Bond IHC-P: Immunohistochemistry (Paraffin) IF-F: Immunofluorescence (Frozen)

Cross-Reactivity Key

H: Human M: Mouse R: Rat Hm: Hamster Mk: Monkey

Trademarks and Patents

Cell Signaling Technology is a trademark of Cell Signaling Technology, Inc.

SignalStain is a registered trademark of Cell Signaling Technology, Inc.

All other trademarks are the property of their respective owners. Visit cellsignal.com/trademarks for more information.

Limited Uses

Except as otherwise expressly agreed in a writing signed by a legally authorized representative of CST, the following terms apply to Products provided by CST, its affiliates or its distributors. Any Customer's terms and conditions that are in addition to, or different from, those contained herein, unless separately accepted in writing by a legally authorized representative of CST, are rejected and are of no force or effect.

Products are labeled with For Research Use Only or a similar labeling statement and have not been approved, cleared, or licensed by the FDA or other regulatory foreign or domestic entity, for any purpose. Customer shall not use any Product for any diagnostic or therapeutic purpose, or otherwise in any manner that conflicts with its labeling statement. Products sold or licensed by CST are provided for Customer as the end-user and solely for research and development uses. Any use of Product for diagnostic, prophylactic or therapeutic purposes, or any purchase of Product for resale (alone or as a component) or other commercial purpose, requires a separate license from CST. Customer shall (a) not sell, license, loan, donate or otherwise transfer or make available any Product to any third party, whether alone or in combination with other materials, or use the Products to manufacture any commercial products, (b) not copy, modify, reverse engineer, decompile, disassemble or otherwise attempt to discover the underlying structure or technology of the Products, or use the Products for the purpose of developing any products or services that would compete with CST products or services, (c) not alter or remove from the Products any trademarks, trade names, logos, patent or copyright notices or markings, (d) use the Products solely in accordance with CST Product Terms of Sale and any applicable documentation, and (e) comply with any license, terms of service or similar agreement with respect to any third party products or services used by Customer in connection with the Products.

Orders: 877-616-CELL (2355) [email protected] Support: 877-678-TECH (8324) [email protected] Web: cellsignal.com
For Research Use Only. Not for Use in Diagnostic Procedures.

Revision 8

Cell Signaling Technology Logo
Western blotting analysis of extracts from various human, mouse, and rat tissues using α-Smooth Muscle Actin (D4K9N) XP® Rabbit mAb (upper) and GAPDH #5174 (lower). As expected, skeletal muscle samples are negative for α-smooth muscle actin. Data were generated using the standard formulation of this product.
Western Blotting Image 1: alpha-Smooth Muscle Actin (D4K9N) Rabbit Monoclonal Antibody (BSA and Azide Free)
Immunohistochemical analysis of paraffin-embedded human endometrioid carcinoma using alpha-Smooth Muscle Actin (D4K9N) XP® Rabbit mAb performed on the Leica® Bond™ Rx. Data were generated using the standard formulation of this antibody.
Immunohistochemistry Image 1: alpha-Smooth Muscle Actin (D4K9N) Rabbit Monoclonal Antibody (BSA and Azide Free)
Immunohistochemical analysis of paraffin-embedded human appendix using α-Smooth Muscle Actin (D4K9N) XP® Rabbit mAb. Data were generated using the standard formulation of this product.
Immunohistochemistry Image 1: alpha-Smooth Muscle Actin (D4K9N) Rabbit Monoclonal Antibody (BSA and Azide Free)
Orders: 877-616-CELL (2355) [email protected] Support: 877-678-TECH (8324) [email protected] Web: cellsignal.com
For Research Use Only. Not for Use in Diagnostic Procedures.

Revision 8

Cell Signaling Technology Logo
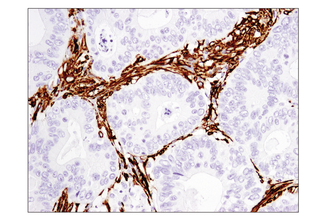
Immunohistochemical analysis of paraffin-embedded human ductal carcinoma of the breast using α-Smooth Muscle Actin (D4K9N) XP® Rabbit mAb. Data were generated using the standard formulation of this product.
Immunohistochemistry Image 2: alpha-Smooth Muscle Actin (D4K9N) Rabbit Monoclonal Antibody (BSA and Azide Free)
Immunohistochemical analysis of paraffin-embedded human colon carcinoma using α-Smooth Muscle Actin (D4K9N) XP® Rabbit mAb. Data were generated using the standard formulation of this product.
Immunohistochemistry Image 3: alpha-Smooth Muscle Actin (D4K9N) Rabbit Monoclonal Antibody (BSA and Azide Free)
Immunohistochemical analysis of paraffin-embedded human non-small cell lung carcinoma using α-Smooth Muscle Actin (D4K9N) XP® Rabbit mAb. Data were generated using the standard formulation of this product.
Immunohistochemistry Image 4: alpha-Smooth Muscle Actin (D4K9N) Rabbit Monoclonal Antibody (BSA and Azide Free)
Orders: 877-616-CELL (2355) [email protected] Support: 877-678-TECH (8324) [email protected] Web: cellsignal.com
For Research Use Only. Not for Use in Diagnostic Procedures.

Revision 8

Cell Signaling Technology Logo
Immunohistochemical analysis of paraffin-embedded human prostate carcinoma using α-Smooth Muscle Actin (D4K9N) XP® Rabbit mAb. Data were generated using the standard formulation of this product.
Immunohistochemistry Image 5: alpha-Smooth Muscle Actin (D4K9N) Rabbit Monoclonal Antibody (BSA and Azide Free)
Immunohistochemical analysis of paraffin-embedded mouse small intestine using α-Smooth Muscle Actin (D4K9N) XP® Rabbit mAb. Data were generated using the standard formulation of this product.
Immunohistochemistry Image 6: alpha-Smooth Muscle Actin (D4K9N) Rabbit Monoclonal Antibody (BSA and Azide Free)
Immunohistochemical analysis of paraffin-embedded mouse skeletal muscle using α-Smooth Muscle Actin (D4K9N) XP® Rabbit mAb. Data were generated using the standard formulation of this product.
Immunohistochemistry Image 7: alpha-Smooth Muscle Actin (D4K9N) Rabbit Monoclonal Antibody (BSA and Azide Free)
Orders: 877-616-CELL (2355) [email protected] Support: 877-678-TECH (8324) [email protected] Web: cellsignal.com
For Research Use Only. Not for Use in Diagnostic Procedures.

Revision 8

Cell Signaling Technology Logo
Immunohistochemical analysis of paraffin-embedded rhesus monkey kidney using alpha-Smooth Muscle Actin (D4K9N) XP® Rabbit mAb. Data were generated using the standard formulation of this antibody.
Immunohistochemistry Image 8: alpha-Smooth Muscle Actin (D4K9N) Rabbit Monoclonal Antibody (BSA and Azide Free)
Immunohistochemical analysis of paraffin-embedded rhesus monkey spleen using alpha-Smooth Muscle Actin (D4K9N) XP® Rabbit mAb. Data were generated using the standard formulation of this antibody.
Immunohistochemistry Image 9: alpha-Smooth Muscle Actin (D4K9N) Rabbit Monoclonal Antibody (BSA and Azide Free)
Immunohistochemical analysis of paraffin-embedded rat colon using alpha-Smooth Muscle Actin (D4K9N) XP® Rabbit mAb. Data were generated using the standard formulation of this antibody.
Immunohistochemistry Image 10: alpha-Smooth Muscle Actin (D4K9N) Rabbit Monoclonal Antibody (BSA and Azide Free)
Orders: 877-616-CELL (2355) [email protected] Support: 877-678-TECH (8324) [email protected] Web: cellsignal.com
For Research Use Only. Not for Use in Diagnostic Procedures.

Revision 8

Cell Signaling Technology Logo
Immunohistochemical analysis of paraffin-embedded rat brain using alpha-Smooth Muscle Actin (D4K9N) XP® Rabbit mAb. Data were generated using the standard formulation of this antibody.
Immunohistochemistry Image 11: alpha-Smooth Muscle Actin (D4K9N) Rabbit Monoclonal Antibody (BSA and Azide Free)
Immunohistochemical analysis of paraffin-embedded Syrian hamster ovary using alpha-Smooth Muscle Actin (D4K9N) XP® Rabbit mAb. Data were generated using the standard formulation of this antibody.
Immunohistochemistry Image 12: alpha-Smooth Muscle Actin (D4K9N) Rabbit Monoclonal Antibody (BSA and Azide Free)
Immunohistochemical analysis of paraffin-embedded Syrian hamster uterus using alpha-Smooth Muscle Actin (D4K9N) XP® Rabbit mAb. Data were generated using the standard formulation of this antibody.
Immunohistochemistry Image 13: alpha-Smooth Muscle Actin (D4K9N) Rabbit Monoclonal Antibody (BSA and Azide Free)
Orders: 877-616-CELL (2355) [email protected] Support: 877-678-TECH (8324) [email protected] Web: cellsignal.com
For Research Use Only. Not for Use in Diagnostic Procedures.

Revision 8

Cell Signaling Technology Logo
Confocal immunofluorescent analysis of fixed frozen mouse small intestine (left) and skeletal muscle (right) using α-Smooth Muscle Actin (D4K9N) XP® Rabbit mAb (green), DyLight™ 554 Phalloidin #13054 (red), and DRAQ5® #4084 (fluorescent DNA dye) (blue). Data were generated using the standard formulation of this product.
Immunofluorescence Image 1: alpha-Smooth Muscle Actin (D4K9N) Rabbit Monoclonal Antibody (BSA and Azide Free)
Orders: 877-616-CELL (2355) [email protected] Support: 877-678-TECH (8324) [email protected] Web: cellsignal.com
For Research Use Only. Not for Use in Diagnostic Procedures.