Revision 6

#42078

Store at -20C

CST Logo
Orders:

877-616-CELL (2355)

[email protected]

Support:

877-678-TECH (8324)

3 Trask Lane | Danvers | Massachusetts | 01923 | USA

For Research Use Only. Not for Use in Diagnostic Procedures.

Applications:
W, IP, IHC-P

Reactivity:
H M

Sensitivity:
Endogenous

MW (kDa):
65-80

Source/Isotype:
Rabbit IgG

UniProt ID:
#Q9UNQ0

Entrez-Gene Id:
9429

Product Usage Information

Application Dilution
Western Blotting 1:1000
Immunoprecipitation 1:50
Immunohistochemistry (Paraffin) 1:175 - 1:700

Storage

Supplied in 10 mM sodium HEPES (pH 7.5), 150 mM NaCl, 100 µg/ml BSA, 50% glycerol and less than 0.02% sodium azide. Store at –20°C. Do not aliquot the antibody.

For a carrier free (BSA and azide free) version of this product see product #61474.

Specificity/Sensitivity

ABCG2 (D5V2K) Rabbit Monoclonal Antibody recognizes endogenous levels of total ABCG2 protein.

Source / Purification

Monoclonal antibody is produced by immunizing animals with a synthetic peptide corresponding to residues surrounding Asp175 of human ABCG2 protein.

Background

ABCG2 (BCRP1/ABCP/MXR) is a member of the ATP-binding cassette transporter family that functions as ATP-dependent transporters for a wide variety of chemical compounds and are associated with drug-resistance in cancer cells (1-6). ABCG2 is a heavily glycosylated transmembrane protein with six transmembrane spanning regions consistent with it functioning as a half-transporter. The ABC family can exist as either full-length transporters or as half-transporters that form functional transporters through homo- or heterodimerization. High expression of ABCG2 was found in placenta as well as cell lines selected for resistance to a number of chemotherapeutic drugs, including mitoxantrone, doxorubicin, topotecan and flavopiridol. In rodents, the highest expression of ABCG2 was found in kidney (8). ABCG2 expression has also been observed in stem cell populations, particularly in hematopoietic and neuronal stem cells and is downregulated with differentiation (9-11).

Species Reactivity

Species reactivity is determined by testing in at least one approved application (e.g., western blot).

Western Blot Buffer

IMPORTANT: For western blots, incubate membrane with diluted primary antibody in 5% w/v BSA, 1X TBS, 0.1% Tween® 20 at 4°C with gentle shaking, overnight.

Applications Key

W: Western Blotting IP: Immunoprecipitation IHC-P: Immunohistochemistry (Paraffin)

Cross-Reactivity Key

H: Human M: Mouse

Trademarks and Patents

Cell Signaling Technology is a trademark of Cell Signaling Technology, Inc.

Alexa Fluor is a registered trademark of Life Technologies Corporation.

All other trademarks are the property of their respective owners. Visit cellsignal.com/trademarks for more information.

Limited Uses

Except as otherwise expressly agreed in a writing signed by a legally authorized representative of CST, the following terms apply to Products provided by CST, its affiliates or its distributors. Any Customer's terms and conditions that are in addition to, or different from, those contained herein, unless separately accepted in writing by a legally authorized representative of CST, are rejected and are of no force or effect.

Products are labeled with For Research Use Only or a similar labeling statement and have not been approved, cleared, or licensed by the FDA or other regulatory foreign or domestic entity, for any purpose. Customer shall not use any Product for any diagnostic or therapeutic purpose, or otherwise in any manner that conflicts with its labeling statement. Products sold or licensed by CST are provided for Customer as the end-user and solely for research and development uses. Any use of Product for diagnostic, prophylactic or therapeutic purposes, or any purchase of Product for resale (alone or as a component) or other commercial purpose, requires a separate license from CST. Customer shall (a) not sell, license, loan, donate or otherwise transfer or make available any Product to any third party, whether alone or in combination with other materials, or use the Products to manufacture any commercial products, (b) not copy, modify, reverse engineer, decompile, disassemble or otherwise attempt to discover the underlying structure or technology of the Products, or use the Products for the purpose of developing any products or services that would compete with CST products or services, (c) not alter or remove from the Products any trademarks, trade names, logos, patent or copyright notices or markings, (d) use the Products solely in accordance with CST Product Terms of Sale and any applicable documentation, and (e) comply with any license, terms of service or similar agreement with respect to any third party products or services used by Customer in connection with the Products.

Orders: 877-616-CELL (2355) [email protected] Support: 877-678-TECH (8324) [email protected] Web: cellsignal.com
For Research Use Only. Not for Use in Diagnostic Procedures.

Revision 6

Cell Signaling Technology Logo
Western blot analysis of extracts from RPMI 8226 and A549 cells and human placenta using ABCG2 (D5V2K) XP® Rabbit mAb.
Western Blotting Image 1: ABCG2 (D5V2K) Rabbit Monoclonal Antibody
Immunoprecipitation of ABCG2 from A549 cell extracts. Lane 1 is 10% input, lane 2 is Rabbit (DA1E) mAb IgG XP® Isotype Control #3900, and lane 3 is ABCG2 (D5V2K) XP® Rabbit mAb. Western blot analysis was performed using ABCG2 (D5V2K) XP® Rabbit mAb.
Immunoprecipitation Image 1: ABCG2 (D5V2K) Rabbit Monoclonal Antibody
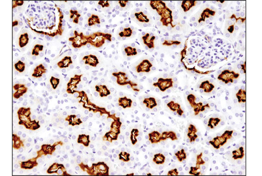
Immunohistochemical analysis of paraffin-embedded mouse kidney using ABCG2 (D5V2K) XP® Rabbit mAb.
Immunohistochemistry Image 1: ABCG2 (D5V2K) Rabbit Monoclonal Antibody
Orders: 877-616-CELL (2355) [email protected] Support: 877-678-TECH (8324) [email protected] Web: cellsignal.com
For Research Use Only. Not for Use in Diagnostic Procedures.

Revision 6

Cell Signaling Technology Logo
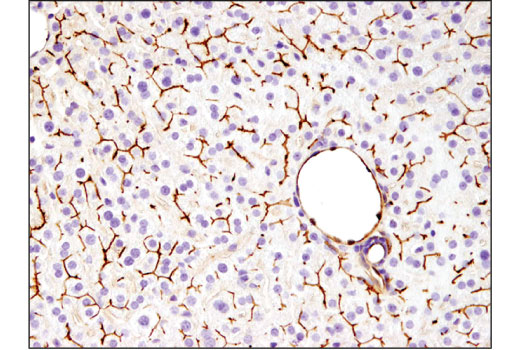
Immunohistochemical analysis of paraffin-embedded mouse liver using ABCG2 (D5V2K) XP® Rabbit mAb.
Immunohistochemistry Image 2: ABCG2 (D5V2K) Rabbit Monoclonal Antibody
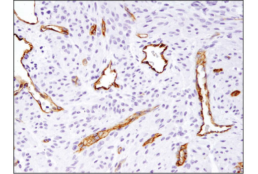
Immunohistochemical analysis of paraffin-embedded human ovarian carcinoma using ABCG2 (D5V2K) XP® Rabbit mAb.
Immunohistochemistry Image 3: ABCG2 (D5V2K) Rabbit Monoclonal Antibody
Immunohistochemical analysis of paraffin-embedded A549 (left) and A-204 (right) cell pellets using ABCG2 (D5V2K) XP® Rabbit mAb.
Immunohistochemistry Image 4: ABCG2 (D5V2K) Rabbit Monoclonal Antibody
Orders: 877-616-CELL (2355) [email protected] Support: 877-678-TECH (8324) [email protected] Web: cellsignal.com
For Research Use Only. Not for Use in Diagnostic Procedures.

Revision 6

Cell Signaling Technology Logo
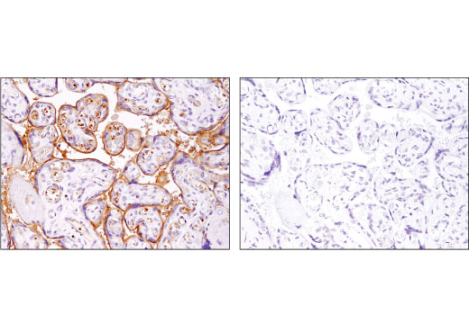
Immunohistochemical analysis of paraffin-embedded human placenta using ABCG2 (D5V2K) XP® Rabbit mAb in the presence of control peptide (left) and antigen-specific peptide (right).
Immunohistochemistry Image 5: ABCG2 (D5V2K) Rabbit Monoclonal Antibody
Immunohistochemical analysis of paraffin-embedded normal human uterus using ABCG2 (D5V2K) XP® Rabbit mAb.
Immunohistochemistry Image 6: ABCG2 (D5V2K) Rabbit Monoclonal Antibody
Orders: 877-616-CELL (2355) [email protected] Support: 877-678-TECH (8324) [email protected] Web: cellsignal.com
For Research Use Only. Not for Use in Diagnostic Procedures.