Revision 1

#45365

Store at -20C

CST Logo
Orders:

877-616-CELL (2355)

[email protected]

Support:

877-678-TECH (8324)

3 Trask Lane | Danvers | Massachusetts | 01923 | USA

For Research Use Only. Not for Use in Diagnostic Procedures.

Applications:
W, IHC-P

Reactivity:
H

Sensitivity:
Endogenous

MW (kDa):
10

Source/Isotype:
Rabbit IgG

UniProt ID:
#P07108

Entrez-Gene Id:
1622

Product Usage Information

Application Dilution
Western Blotting 1:1000
Immunohistochemistry (Paraffin) 1:250 - 1:1000

Storage

Supplied in 10 mM sodium HEPES (pH 7.5), 150 mM NaCl, 100 µg/mL BSA, 50% glycerol, and less than 0.02% sodium azide. Store at –20°C. Do not aliquot the antibody.

Specificity/Sensitivity

ACBP/DBI (E6K8G) Rabbit Monoclonal Antibody recognizes endogenous levels of total ACBP/DBI protein.

Source / Purification

Monoclonal antibody is produced by immunizing animals with a recombinant human ACBP/DBI protein.

Background

Acyl-CoA-binding protein (ACBP) binds to long-chain acyl-CoA molecules and regulates lipid metabolism. This protein is also known as diazepam-binding inhibitor (DBI) and binds to the benzodiazepine-binding site of the γ-aminobutyric acid (GABA) type A receptor (GABAAR), regulating its activity (1). ACBP/DBI is highly expressed in glioblastoma and promotes glioblastoma growth by providing long-chain acyl-CoA molecules to mitochondria for fatty acid oxidation. Reduced ACBP/DBI expression leads to slower proliferation of glioblastoma (2,3). In addition, ACBP/DBI is a regulator of neural progenitor and stem cell proliferation in adult mouse neurogenic niches (4,5). Studies show that ACBP/DBI modulates embryonic neurogenesis of excitatory and inhibitory neurons through GABA signaling (6).

Species Reactivity

Species reactivity is determined by testing in at least one approved application (e.g., western blot).

Western Blot Buffer

IMPORTANT: For western blots, incubate membrane with diluted primary antibody in 5% w/v BSA, 1X TBS, 0.1% Tween® 20 at 4°C with gentle shaking, overnight.

Applications Key

W: Western Blotting IHC-P: Immunohistochemistry (Paraffin)

Cross-Reactivity Key

H: Human

Trademarks and Patents

Cell Signaling Technology is a trademark of Cell Signaling Technology, Inc.

All other trademarks are the property of their respective owners. Visit cellsignal.com/trademarks for more information.

Limited Uses

Except as otherwise expressly agreed in a writing signed by a legally authorized representative of CST, the following terms apply to Products provided by CST, its affiliates or its distributors. Any Customer's terms and conditions that are in addition to, or different from, those contained herein, unless separately accepted in writing by a legally authorized representative of CST, are rejected and are of no force or effect.

Products are labeled with For Research Use Only or a similar labeling statement and have not been approved, cleared, or licensed by the FDA or other regulatory foreign or domestic entity, for any purpose. Customer shall not use any Product for any diagnostic or therapeutic purpose, or otherwise in any manner that conflicts with its labeling statement. Products sold or licensed by CST are provided for Customer as the end-user and solely for research and development uses. Any use of Product for diagnostic, prophylactic or therapeutic purposes, or any purchase of Product for resale (alone or as a component) or other commercial purpose, requires a separate license from CST. Customer shall (a) not sell, license, loan, donate or otherwise transfer or make available any Product to any third party, whether alone or in combination with other materials, or use the Products to manufacture any commercial products, (b) not copy, modify, reverse engineer, decompile, disassemble or otherwise attempt to discover the underlying structure or technology of the Products, or use the Products for the purpose of developing any products or services that would compete with CST products or services, (c) not alter or remove from the Products any trademarks, trade names, logos, patent or copyright notices or markings, (d) use the Products solely in accordance with CST Product Terms of Sale and any applicable documentation, and (e) comply with any license, terms of service or similar agreement with respect to any third party products or services used by Customer in connection with the Products.

Orders: 877-616-CELL (2355) [email protected] Support: 877-678-TECH (8324) [email protected] Web: cellsignal.com
For Research Use Only. Not for Use in Diagnostic Procedures.

Revision 1

Cell Signaling Technology Logo
Western blot analysis of extracts from HuH-7, SU-DHL-4, and KYSE-70 cells using ACBP/DBI (E6K8G) XP® Rabbit mAb (upper) or GAPDH (D16H11) XP® Rabbit mAb #5174 (lower). Lower expression of ACBP/DBI protein in KYSE-70 cells is consistent with the predicted expression pattern.
Western Blotting Image 1: ACBP/DBI (E6K8G) Rabbit Monoclonal Antibody
Western blot analysis of extracts from 293T cells, mock transfected (-) or transfected with a construct expressing Myc/DDK-tagged human ACBP/DBI protein (hACBP/DBI-Myc/DDK; +), using ACBP/DBI (E6K8G) XP® Rabbit mAb (upper), Myc-Tag (71D10) Rabbit mAb #2278 (middle), or GAPDH (D16H11) XP® Rabbit mAb #5174 (lower).
Western Blotting Image 2: ACBP/DBI (E6K8G) Rabbit Monoclonal Antibody
Immunohistochemical analysis of paraffin-embedded human renal cell carcinoma using ACBP/DBI (E6K8G) XP® Rabbit mAb.
Immunohistochemistry Image 1: ACBP/DBI (E6K8G) Rabbit Monoclonal Antibody
Orders: 877-616-CELL (2355) [email protected] Support: 877-678-TECH (8324) [email protected] Web: cellsignal.com
For Research Use Only. Not for Use in Diagnostic Procedures.

Revision 1

Cell Signaling Technology Logo
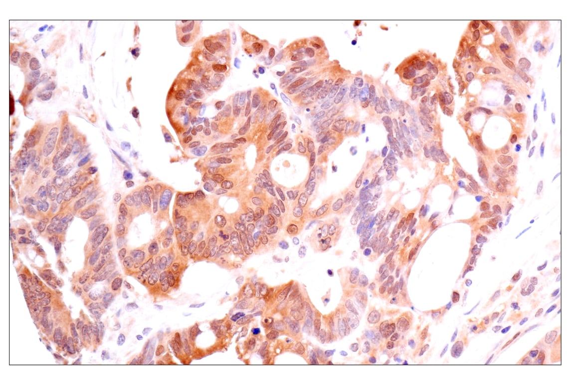
Immunohistochemical analysis of paraffin-embedded human colon carcinoma using ACBP/DBI (E6K8G) XP® Rabbit mAb.
Immunohistochemistry Image 2: ACBP/DBI (E6K8G) Rabbit Monoclonal Antibody
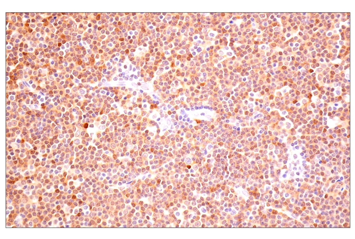
Immunohistochemical analysis of paraffin-embedded human B-cell non-Hodgkin lymphoma using ACBP/DBI (E6K8G) XP® Rabbit mAb.
Immunohistochemistry Image 3: ACBP/DBI (E6K8G) Rabbit Monoclonal Antibody
Immunohistochemical analysis of paraffin-embedded normal human small intestine using ACBP/DBI (E6K8G) XP® Rabbit mAb.
Immunohistochemistry Image 4: ACBP/DBI (E6K8G) Rabbit Monoclonal Antibody
Orders: 877-616-CELL (2355) [email protected] Support: 877-678-TECH (8324) [email protected] Web: cellsignal.com
For Research Use Only. Not for Use in Diagnostic Procedures.

Revision 1

Cell Signaling Technology Logo
Immunohistochemical analysis of paraffin-embedded human tonsil using ACBP/DBI (E6K8G) XP® Rabbit mAb.
Immunohistochemistry Image 5: ACBP/DBI (E6K8G) Rabbit Monoclonal Antibody
Immunohistochemical analysis of paraffin-embedded normal human placenta using ACBP/DBI (E6K8G) XP® Rabbit mAb.
Immunohistochemistry Image 6: ACBP/DBI (E6K8G) Rabbit Monoclonal Antibody
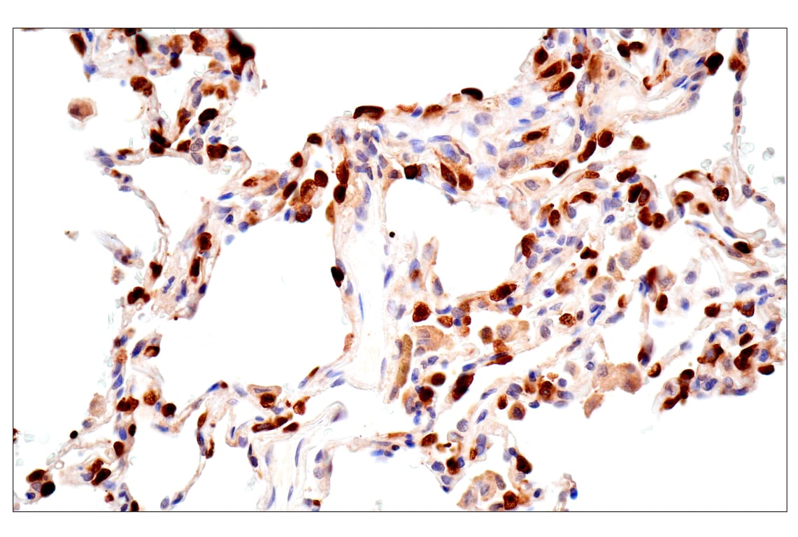
Immunohistochemical analysis of paraffin-embedded normal human lung using ACBP/DBI (E6K8G) XP® Rabbit mAb.
Immunohistochemistry Image 7: ACBP/DBI (E6K8G) Rabbit Monoclonal Antibody
Orders: 877-616-CELL (2355) [email protected] Support: 877-678-TECH (8324) [email protected] Web: cellsignal.com
For Research Use Only. Not for Use in Diagnostic Procedures.

Revision 1

Cell Signaling Technology Logo
Immunohistochemical analysis of paraffin-embedded normal human gall bladder using ACBP/DBI (E6K8G) XP® Rabbit mAb.
Immunohistochemistry Image 8: ACBP/DBI (E6K8G) Rabbit Monoclonal Antibody
Immunohistochemical analysis of paraffin-embedded normal human esophagus using ACBP/DBI (E6K8G) XP® Rabbit mAb.
Immunohistochemistry Image 9: ACBP/DBI (E6K8G) Rabbit Monoclonal Antibody
Immunohistochemical analysis of paraffin-embedded normal human skin (left), normal kidney (middle), or esophageal carcinoma (right) using ACBP/DBI (E6K8G) XP® Rabbit mAb (top) or ACBP/DBI (E4V8V) XP® Rabbit mAb #40487 (bottom). These two antibodies detect unique epitopes on human ACBP/DBI protein. The similar staining patterns obtained with both antibodies help to confirm the specificity of the staining.
Immunohistochemistry Image 10: ACBP/DBI (E6K8G) Rabbit Monoclonal Antibody
Orders: 877-616-CELL (2355) [email protected] Support: 877-678-TECH (8324) [email protected] Web: cellsignal.com
For Research Use Only. Not for Use in Diagnostic Procedures.

Revision 1

Cell Signaling Technology Logo
Immunohistochemical analysis of paraffin-embedded normal human liver using ACBP/DBI (E6K8G) XP® Rabbit mAb.
Immunohistochemistry Image 11: ACBP/DBI (E6K8G) Rabbit Monoclonal Antibody
Immunohistochemical analysis of paraffin-embedded human papillary thyroid carcinoma using ACBP/DBI (E6K8G) XP® Rabbit mAb (left) compared to concentration-matched Rabbit (DA1E) mAb IgG XP® Isotype Control #3900 (right).
Immunohistochemistry Image 12: ACBP/DBI (E6K8G) Rabbit Monoclonal Antibody
Immunohistochemical analysis of paraffin-embedded HuH-7 cell pellet (left, high-expressing) or KYSE-70 cell pellet (right, low-expressing) using ACBP/DBI (E6K8G) XP® Rabbit mAb.
Immunohistochemistry Image 13: ACBP/DBI (E6K8G) Rabbit Monoclonal Antibody
Orders: 877-616-CELL (2355) [email protected] Support: 877-678-TECH (8324) [email protected] Web: cellsignal.com
For Research Use Only. Not for Use in Diagnostic Procedures.