Revision 3

#74512

Store at -20C

CST Logo
Orders:

877-616-CELL (2355)

[email protected]

Support:

877-678-TECH (8324)

3 Trask Lane | Danvers | Massachusetts | 01923 | USA

For Research Use Only. Not for Use in Diagnostic Procedures.

Applications:
W, IHC-Bond, IHC-P

Reactivity:
H

Sensitivity:
Endogenous

MW (kDa):
120-135

Source/Isotype:
Mouse IgG1

UniProt ID:
#Q9BYF1

Entrez-Gene Id:
59272

Product Usage Information

Application Dilution
Western Blotting 1:2000
IHC Leica Bond 1:400 - 1:1600
Immunohistochemistry (Paraffin) 1:200 - 1:800

Storage

Supplied in PBS (pH 7.3), 1% BSA, 0.02% sodium azide, and 50% glycerol. Stable for 12 months when stored at –20°C. Do not aliquot the antibody.

Specificity/Sensitivity

ACE2 (OTI1G4) Mouse Monoclonal Antibody recognizes endogenous levels of ACE2 protein.

Source / Purification

Monoclonal antibody is produced by immunizing animals with recombinant protein corresponding to amino acids 18-237 of human ACE2 protein.

Background

ACE2 is a carboxypeptidase that catalyses the conversion of angiotensin I to angiotensin 1-9, or of angiotensin II to the vasodilator angiotensin 1-7 (1). ACE2 is a critical component in the renin-angiotensin system (RAS). ACE2 is predominantly expressed in vascular endothelial cells of the heart and kidney and Leydig and Sertoli cells of the testis (2,3). The unique expression pattern of ACE2 determines its essential role in the regulation of cardiovascular and kidney functions, as well as fertility. ACE2 protein is localized mainly in the extracellular space with its carboxy-terminal end attached to the membrane via its transmembrane domain. Active ACE2 enzyme is secreted by cleavage at the amino terminus. Research studies have shown that ACE2 expression is elevated in human failing heart (4). ACE2 has also been identified as the receptor for SARS and SARS-CoV-2 coronaviruses (5-7).

Species Reactivity

Species reactivity is determined by testing in at least one approved application (e.g., western blot).

Western Blot Buffer

IMPORTANT: For western blots, incubate membrane with diluted primary antibody in 5% w/v nonfat dry milk, 1X TBS, 0.1% Tween® 20 at 4°C with gentle shaking, overnight.

Applications Key

W: Western Blotting IHC-Bond: IHC Leica Bond IHC-P: Immunohistochemistry (Paraffin)

Cross-Reactivity Key

H: Human

Trademarks and Patents

Cell Signaling Technology is a trademark of Cell Signaling Technology, Inc.

SignalStain is a registered trademark of Cell Signaling Technology, Inc.

All other trademarks are the property of their respective owners. Visit cellsignal.com/trademarks for more information.

Limited Uses

Except as otherwise expressly agreed in a writing signed by a legally authorized representative of CST, the following terms apply to Products provided by CST, its affiliates or its distributors. Any Customer's terms and conditions that are in addition to, or different from, those contained herein, unless separately accepted in writing by a legally authorized representative of CST, are rejected and are of no force or effect.

Products are labeled with For Research Use Only or a similar labeling statement and have not been approved, cleared, or licensed by the FDA or other regulatory foreign or domestic entity, for any purpose. Customer shall not use any Product for any diagnostic or therapeutic purpose, or otherwise in any manner that conflicts with its labeling statement. Products sold or licensed by CST are provided for Customer as the end-user and solely for research and development uses. Any use of Product for diagnostic, prophylactic or therapeutic purposes, or any purchase of Product for resale (alone or as a component) or other commercial purpose, requires a separate license from CST. Customer shall (a) not sell, license, loan, donate or otherwise transfer or make available any Product to any third party, whether alone or in combination with other materials, or use the Products to manufacture any commercial products, (b) not copy, modify, reverse engineer, decompile, disassemble or otherwise attempt to discover the underlying structure or technology of the Products, or use the Products for the purpose of developing any products or services that would compete with CST products or services, (c) not alter or remove from the Products any trademarks, trade names, logos, patent or copyright notices or markings, (d) use the Products solely in accordance with CST Product Terms of Sale and any applicable documentation, and (e) comply with any license, terms of service or similar agreement with respect to any third party products or services used by Customer in connection with the Products.

Orders: 877-616-CELL (2355) [email protected] Support: 877-678-TECH (8324) [email protected] Web: cellsignal.com
For Research Use Only. Not for Use in Diagnostic Procedures.

Revision 3

Cell Signaling Technology Logo
Western blot analysis of extracts from human testis tissue, Hep G2 cells, and IGROV-1 cells using ACE2 (OTI1G4) Mouse mAb (upper) or GAPDH (D16H11) XP® Rabbit mAb #5174 (lower). As expected, Hep G2 cells are negative for ACE2 expression.
Western Blotting Image 1: ACE2 (OTI1G4) Mouse Monoclonal Antibody
Immunohistochemical analysis of paraffin-embedded normal human renal cell carcinoma using ACE2 (OTI1G4) Mouse mAb performed on the Leica® BOND™ Rx.
Immunohistochemistry Image 1: ACE2 (OTI1G4) Mouse Monoclonal Antibody
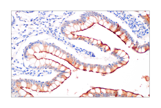
Immunohistochemical analysis of paraffin-embedded normal human small intestine using ACE2 (OTI1G4) Mouse mAb performed on the Leica® BOND™ Rx.
Immunohistochemistry Image 2: ACE2 (OTI1G4) Mouse Monoclonal Antibody
Orders: 877-616-CELL (2355) [email protected] Support: 877-678-TECH (8324) [email protected] Web: cellsignal.com
For Research Use Only. Not for Use in Diagnostic Procedures.

Revision 3

Cell Signaling Technology Logo
Immunohistochemical analysis of paraffin-embedded normal human testis using ACE2 (OTI1G4) Mouse mAb performed on the Leica® BOND™ Rx.
Immunohistochemistry Image 3: ACE2 (OTI1G4) Mouse Monoclonal Antibody
Immunohistochemical analysis of paraffin-embedded IGROV-1 cell pellet (left, positive) or Hep G2 cell pellet (right, negative) using ACE2 (OTI1G4) Mouse mAb.
Immunohistochemistry Image 1: ACE2 (OTI1G4) Mouse Monoclonal Antibody
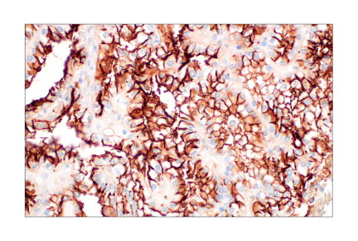
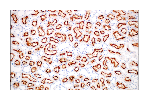
Immunohistochemical analysis of paraffin-embedded normal human kidney using ACE2 (OTI1G4) Mouse mAb.
Immunohistochemistry Image 2: ACE2 (OTI1G4) Mouse Monoclonal Antibody
Orders: 877-616-CELL (2355) [email protected] Support: 877-678-TECH (8324) [email protected] Web: cellsignal.com
For Research Use Only. Not for Use in Diagnostic Procedures.

Revision 3

Cell Signaling Technology Logo
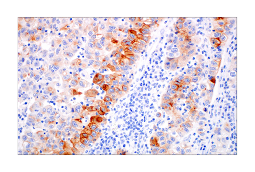
Immunohistochemical analysis of paraffin-embedded human non-small cell lung carcinoma using ACE2 (OTI1G4) Mouse mAb.
Immunohistochemistry Image 3: ACE2 (OTI1G4) Mouse Monoclonal Antibody
Immunohistochemical analysis of paraffin-embedded human renal cell carcinoma using ACE2 (OTI1G4) Mouse mAb (left) compared to concentration-matched Mouse (G3A1) mAb IgG1 Isotype Control #5415 (right).
Immunohistochemistry Image 4: ACE2 (OTI1G4) Mouse Monoclonal Antibody
Orders: 877-616-CELL (2355) [email protected] Support: 877-678-TECH (8324) [email protected] Web: cellsignal.com
For Research Use Only. Not for Use in Diagnostic Procedures.