Revision 1

#9933

Store at -20C

Acetyl-Histone Antibody Sampler Kit

1 Kit

(8 x 20 microliters)

CST Logo
Orders:

877-616-CELL (2355)

[email protected]

Support:

877-678-TECH (8324)

3 Trask Lane | Danvers | Massachusetts | 01923 | USA

For Research Use Only. Not for Use in Diagnostic Procedures.

Product Includes Product # Quantity Mol. Wt Isotype/Source
Acetyl-Histone H2B (Lys5) (D5H1S) XP® Rabbit mAb1279920 µl14 kDaRabbit IgG
Acetyl-Histone H2A (Lys5) Antibody257620 µl14 kDaRabbit
Histone H2A (D6O3A) Rabbit mAb1234920 µl14 kDaRabbit IgG
Histone H2B (D2H6) Rabbit mAb1236420 µl14 kDaRabbit IgG
Acetyl-Histone H3 (Lys9) (C5B11) Rabbit mAb964920 µl17 kDaRabbit IgG
Histone H3 (D1H2) XP® Rabbit mAb449920 µl17 kDaRabbit IgG
Acetyl-Histone H4 (Lys8) Antibody259420 µl11 kDaRabbit
Histone H4 (D2X4V) Rabbit mAb1391920 µl11 kDaRabbit IgG
Anti-rabbit IgG, HRP-linked Antibody7074100 µlGoat

Please visit cellsignal.com for individual component applications, species cross-reactivity, dilutions, protocols, and additional product information.

Description

The Acetyl-Histone Antibody Sampler Kit provides a fast and economical means of evaluating the acetylation states of histones H2A, H2B, H3 and H4. The kit contains enough primary and secondary antibodies to perform two Western blot experiments.

Storage

Supplied in 10 mM sodium HEPES (pH 7.5), 150 mM NaCl, 100 µg/ml BSA, 50% glycerol and less than 0.02% sodium azide. Store at –20°C. Do not aliquot the antibody.

Background

Modulation of chromatin structure plays an important role in the regulation of transcription in eukaryotes. The nucleosome, made up of DNA wound around eight core histone proteins (two each of H2A, H2B, H3, and H4), is the primary building block of chromatin (1). The amino-terminal tails of core histones undergo various posttranslational modifications, including acetylation, phosphorylation, methylation, and ubiquitination (2-5). These modifications occur in response to various stimuli and have a direct effect on the accessibility of chromatin to transcription factors and, therefore, gene expression (6). In most species, histone H2B is primarily acetylated at Lys5, 12, 15, and 20 (4,7). Histone H3 is primarily acetylated at Lys9, 14, 18, 23, 27, and 56. Acetylation of H3 at Lys9 appears to have a dominant role in histone deposition and chromatin assembly in some organisms (2,3). Phosphorylation at Ser10, Ser28, and Thr11 of histone H3 is tightly correlated with chromosome condensation during both mitosis and meiosis (8-10). Phosphorylation at Thr3 of histone H3 is highly conserved among many species and is catalyzed by the kinase haspin. Immunostaining with phospho-specific antibodies in mammalian cells reveals mitotic phosphorylation at Thr3 of H3 in prophase and its dephosphorylation during anaphase (11).

Trademarks and Patents

Cell Signaling Technology is a trademark of Cell Signaling Technology, Inc.

U.S. Patent No. 7,429,487, foreign equivalents, and child patents deriving therefrom.

All other trademarks are the property of their respective owners. Visit cellsignal.com/trademarks for more information.

Limited Uses

Except as otherwise expressly agreed in a writing signed by a legally authorized representative of CST, the following terms apply to Products provided by CST, its affiliates or its distributors. Any Customer's terms and conditions that are in addition to, or different from, those contained herein, unless separately accepted in writing by a legally authorized representative of CST, are rejected and are of no force or effect.

Products are labeled with For Research Use Only or a similar labeling statement and have not been approved, cleared, or licensed by the FDA or other regulatory foreign or domestic entity, for any purpose. Customer shall not use any Product for any diagnostic or therapeutic purpose, or otherwise in any manner that conflicts with its labeling statement. Products sold or licensed by CST are provided for Customer as the end-user and solely for research and development uses. Any use of Product for diagnostic, prophylactic or therapeutic purposes, or any purchase of Product for resale (alone or as a component) or other commercial purpose, requires a separate license from CST. Customer shall (a) not sell, license, loan, donate or otherwise transfer or make available any Product to any third party, whether alone or in combination with other materials, or use the Products to manufacture any commercial products, (b) not copy, modify, reverse engineer, decompile, disassemble or otherwise attempt to discover the underlying structure or technology of the Products, or use the Products for the purpose of developing any products or services that would compete with CST products or services, (c) not alter or remove from the Products any trademarks, trade names, logos, patent or copyright notices or markings, (d) use the Products solely in accordance with CST Product Terms of Sale and any applicable documentation, and (e) comply with any license, terms of service or similar agreement with respect to any third party products or services used by Customer in connection with the Products.

Orders: 877-616-CELL (2355) [email protected] Support: 877-678-TECH (8324) [email protected] Web: cellsignal.com
For Research Use Only. Not for Use in Diagnostic Procedures.

Revision 1

Cell Signaling Technology Logo
Western blot analysis of extracts from various cell lines using Histone H2A (D6O3A) Rabbit mAb.
undefined Image 1: Acetyl-Histone Antibody Sampler Kit
Western blot analysis of extracts from various cell lines using Histone H2B (D2H6) Rabbit mAb.
undefined Image 2: Acetyl-Histone Antibody Sampler Kit
Western blot analysis of extracts from HeLa and C6 cells, untreated (-) or treated with Trichostatin A (TSA) #9950 (1 μM, 18hr; +), using Acetyl-Histone H2B (Lys5) (D5H1S) XP® Rabbit mAb (upper) or Histone H2B (D2H6) Rabbit mAb #12364 (lower).
undefined Image 3: Acetyl-Histone Antibody Sampler Kit
Orders: 877-616-CELL (2355) [email protected] Support: 877-678-TECH (8324) [email protected] Web: cellsignal.com
For Research Use Only. Not for Use in Diagnostic Procedures.

Revision 1

Cell Signaling Technology Logo
Western blot analysis of extracts from various cell lines using Histone H4 (D2X4V) Rabbit mAb.
undefined Image 4: Acetyl-Histone Antibody Sampler Kit
Western blot analysis of extracts from various cell lines, untreated or TSA-treated (400 nM for 12 hours), using #2576 Acetyl-Histone H2A (Lys5) Antibody.
undefined Image 5: Acetyl-Histone Antibody Sampler Kit
Western blot analysis of extracts from various cell lines, untreated or TSA-treated (400 nM TSA for 12 hours), using Acetyl-Histone H4 (Lys8) Antibody.
undefined Image 6: Acetyl-Histone Antibody Sampler Kit
Orders: 877-616-CELL (2355) [email protected] Support: 877-678-TECH (8324) [email protected] Web: cellsignal.com
For Research Use Only. Not for Use in Diagnostic Procedures.

Revision 1

Cell Signaling Technology Logo
Western blot analysis of extracts from various cell lines using Histone H3 (D1H2) XP® Rabbit mAb.
undefined Image 7: Acetyl-Histone Antibody Sampler Kit
Immunohistochemical analysis of paraffin-embedded human breast carcinoma using Histone H3 (D1H2) XP® Rabbit mAb.
undefined Image 8: Acetyl-Histone Antibody Sampler Kit
After the primary antibody is bound to the target protein, a complex with HRP-linked secondary antibody is formed. The LumiGLO® is added and emits light during enzyme catalyzed decomposition.
undefined Image 9: Acetyl-Histone Antibody Sampler Kit
Orders: 877-616-CELL (2355) [email protected] Support: 877-678-TECH (8324) [email protected] Web: cellsignal.com
For Research Use Only. Not for Use in Diagnostic Procedures.

Revision 1

Cell Signaling Technology Logo
Western blot analysis of lysates from HeLa and NIH/3T3 cells, untreated or TSA-treated (400 nM for 18 hours) using Acetyl-Histone H3 (Lys9) (C5B11) Rabbit mAb.
undefined Image 10: Acetyl-Histone Antibody Sampler Kit
CUT&Tag was performed with HeLa cells and Acetyl-Histone H3 (Lys9) (C5B11) Rabbit mAb, using CUT&Tag Assay Kit #77552. DNA library was prepared using CUT&Tag Dual Index Primers and PCR Master Mix for Illumina Systems #47415. The figure shows binding across GAPDH, a known target gene of H3K9ac (see our ChIP-qPCR figure).
undefined Image 11: Acetyl-Histone Antibody Sampler Kit
Confocal immunofluorescent analysis of HeLa cells using Histone H2A (D6O3A) Rabbit mAb (green). Actin filaments were labeled with DY-554 phalloidin (red).
undefined Image 12: Acetyl-Histone Antibody Sampler Kit
Orders: 877-616-CELL (2355) [email protected] Support: 877-678-TECH (8324) [email protected] Web: cellsignal.com
For Research Use Only. Not for Use in Diagnostic Procedures.

Revision 1

Cell Signaling Technology Logo
Immunohistochemical analysis of paraffin-embedded mouse prostate using Histone H2B (D2H6) Rabbit mAb.
undefined Image 13: Acetyl-Histone Antibody Sampler Kit
Immunoprecipitation of acetylated histone H2B from HeLa cell extracts treated with Trichostatin A (TSA) #9950 (1 μM, 18hr) using Rabbit (DA1E) mAb IgG XP® Isotype Control #3900 (lane 2) or Acetyl-Histone H2B (D5H1S) XP® Rabbit mAb (lane 3). Lane 1 is 10% input. Western blot analysis was performed using Acetyl-Histone H2B (D5H1S) XP® Rabbit mAb.
undefined Image 14: Acetyl-Histone Antibody Sampler Kit
Immunohistochemical analysis of paraffin-embedded human breast ductal carcinoma in situ using Histone H4 (D2X4V) Rabbit mAb.
undefined Image 15: Acetyl-Histone Antibody Sampler Kit
Orders: 877-616-CELL (2355) [email protected] Support: 877-678-TECH (8324) [email protected] Web: cellsignal.com
For Research Use Only. Not for Use in Diagnostic Procedures.

Revision 1

Cell Signaling Technology Logo
Immunohistochemical staining of paraffin-embedded human breast carcinoma, showing nuclear localization, using Acetyl-Histone H2A (Lys5) Antibody.
undefined Image 16: Acetyl-Histone Antibody Sampler Kit
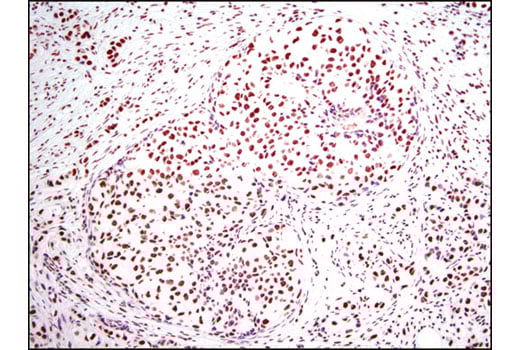
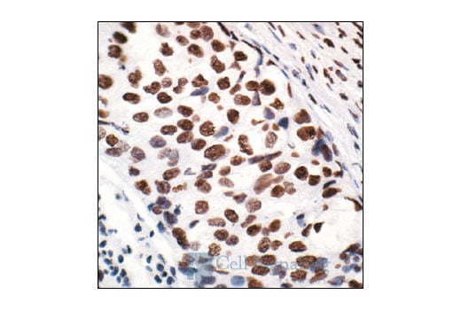
Immunohistochemical analysis of paraffin-embedded 4T1 syngeneic mammary tumor using Histone H3 (D1H2) XP® Rabbit mAb.
undefined Image 17: Acetyl-Histone Antibody Sampler Kit
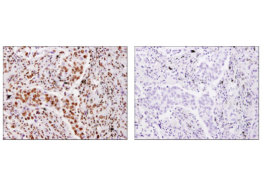
Immunohistochemical analysis of paraffin-embedded human gastic carcinoma using Acetyl-Histone H3 (K9) Rabbit mAb in the presence of non-acetyl-peptide (left) or K9 acetyl-peptide (right).
undefined Image 18: Acetyl-Histone Antibody Sampler Kit
Orders: 877-616-CELL (2355) [email protected] Support: 877-678-TECH (8324) [email protected] Web: cellsignal.com
For Research Use Only. Not for Use in Diagnostic Procedures.

Revision 1

Cell Signaling Technology Logo
CUT&Tag was performed with HeLa cells (Untreated) and Acetyl-Histone H3 (Lys9) (C5B11) Rabbit mAb, using CUT&Tag Assay Kit #77552. DNA library was prepared using CUT&Tag Dual Index Primers and PCR Master Mix for Illumina Systems #47415. The figures show binding across chromosome 12 (upper), including GAPDH (lower), a known target gene of H3K9ac (see our ChIP-qPCR figure).
undefined Image 19: Acetyl-Histone Antibody Sampler Kit
Chromatin immunoprecipitations were performed with cross-linked chromatin from HeLa cells and either Histone H2A (D6O3A) Rabbit mAb or Normal Rabbit IgG #2729 using SimpleChIP® Enzymatic Chromatin IP Kit (Magnetic Beads) #9003. The enriched DNA was quantified by real-time PCR using SimpleChIP® Human GAPDH Exon 1 Primers #5516, SimpleChIP® Human RPL30 Exon 3 Primers #7014, SimpleChIP® Human MYT-1 Exon 1 Primers #4493, and SimpleChIP® Human α Satellite Repeat Primers #4486. The amount of immunoprecipitated DNA in each sample is represented as signal relative to the total amount of input chromatin, which is equivalent to one.
undefined Image 20: Acetyl-Histone Antibody Sampler Kit
Immunohistochemical analysis of paraffin-embedded human breast carcinoma using Histone H2B (D2H6) Rabbit mAb.
undefined Image 21: Acetyl-Histone Antibody Sampler Kit
Orders: 877-616-CELL (2355) [email protected] Support: 877-678-TECH (8324) [email protected] Web: cellsignal.com
For Research Use Only. Not for Use in Diagnostic Procedures.

Revision 1

Cell Signaling Technology Logo
Immunohistochemical analysis of paraffin-embedded human breast carcinoma using Acetyl-Histone H2B (Lys5) (D5H1S) XP® Rabbit mAb.
undefined Image 22: Acetyl-Histone Antibody Sampler Kit
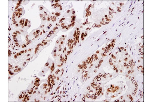
Immunohistochemical analysis of paraffin-embedded human colon carcinoma using Histone H4 (D2X4V) Rabbit mAb.
undefined Image 23: Acetyl-Histone Antibody Sampler Kit
Confocal immunofluorescent analysis of HeLa cells using Histone H3 (D1H2) XP® Rabbit mAb (green) and β-Tubulin (9F3) Rabbit mAb (Alexa Fluor® 555 Conjugate) #2116 (red).
undefined Image 24: Acetyl-Histone Antibody Sampler Kit
Orders: 877-616-CELL (2355) [email protected] Support: 877-678-TECH (8324) [email protected] Web: cellsignal.com
For Research Use Only. Not for Use in Diagnostic Procedures.

Revision 1

Cell Signaling Technology Logo
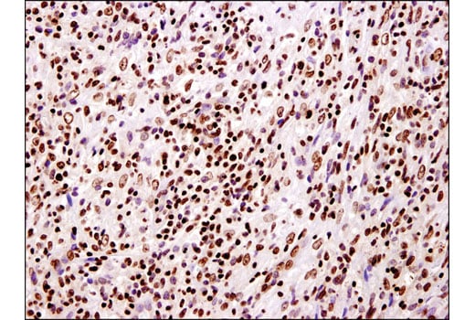
Immunohistochemical analysis of paraffin-embedded LL/2 syngeneic tumor using Histone H3 (D1H2) XP® Rabbit mAb.
undefined Image 25: Acetyl-Histone Antibody Sampler Kit
Immunohistochemical analysis of paraffin-embedded human colon carcinoma using Histone H2B (D2H6) Rabbit mAb in the presence of control peptide (left) or antigen-specific peptide (right).
undefined Image 26: Acetyl-Histone Antibody Sampler Kit
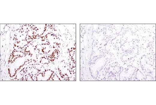
Immunohistochemical analysis of paraffin-embedded human colon carcinoma using Acetyl-Histone H2B (Lys5) (D5H1S) XP® Rabbit mAb in the presence of non-acetyl peptide (left) or Lys5 acetyl peptide (right).
undefined Image 27: Acetyl-Histone Antibody Sampler Kit
Orders: 877-616-CELL (2355) [email protected] Support: 877-678-TECH (8324) [email protected] Web: cellsignal.com
For Research Use Only. Not for Use in Diagnostic Procedures.

Revision 1

Cell Signaling Technology Logo
Immunohistochemical analysis of paraffin-embedded mouse colon using Histone H4 (D2X4V) Rabbit mAb.
undefined Image 28: Acetyl-Histone Antibody Sampler Kit
Flow cytometric analysis of HeLa cells using Histone H3 (D1H2) XP® Rabbit mAb (solid line) or a concentration-matched Rabbit (DA1E) mAb IgG XP® Isotype Control #3900 (dashed line). Anti-rabbit IgG (H+L), F(ab')2 Fragment (Alexa Fluor® 488 Conjugate) #4412 was used as a secondary antibody.
undefined Image 29: Acetyl-Histone Antibody Sampler Kit
Immunohistochemical analysis of paraffin-embedded mouse brain using Histone H3 (D1H2) XP® Rabbit mAb.
undefined Image 30: Acetyl-Histone Antibody Sampler Kit
Orders: 877-616-CELL (2355) [email protected] Support: 877-678-TECH (8324) [email protected] Web: cellsignal.com
For Research Use Only. Not for Use in Diagnostic Procedures.

Revision 1

Cell Signaling Technology Logo
Chromatin immunoprecipitations were performed with cross-linked chromatin from HeLa cells and either Histone H2B (D2H6) Rabbit mAb or Normal Rabbit IgG #2729 using SimpleChIP® Enzymatic Chromatin IP Kit (Magnetic Beads) #9003. The enriched DNA was quantified by real-time PCR using SimpleChIP® Human GAPDH Exon 1 Primers #5516, SimpleChIP® Human RPL30 Exon 3 Primers #7014, SimpleChIP® Human MYT-1 Exon 1 Primers #4493, and SimpleChIP® Human α Satellite Repeat Primers #4486. The amount of immunoprecipitated DNA in each sample is represented as signal relative to the total amount of input chromatin, which is equivalent to one.
undefined Image 31: Acetyl-Histone Antibody Sampler Kit
Confocal immunofluorescent analysis of HeLa cells, untreated (right) or treated with Trichostatin A (TSA) #9950 (left), using Acetyl-Histone H2B (Lys5) (D5H1S) XP® Rabbit mAb (green). Actin filaments were labeled with DY-554 phalloidin (red). Blue pseudocolor = DRAQ5® #4084 (fluorescent DNA dye).
undefined Image 32: Acetyl-Histone Antibody Sampler Kit
Immunohistochemical analysis of paraffin-embedded human non-small cell lung carcinoma using Histone H4 (D2X4V) Rabbit mAb in the presence of control peptide (left) or antigen-specific peptide (right).
undefined Image 33: Acetyl-Histone Antibody Sampler Kit
Orders: 877-616-CELL (2355) [email protected] Support: 877-678-TECH (8324) [email protected] Web: cellsignal.com
For Research Use Only. Not for Use in Diagnostic Procedures.

Revision 1

Cell Signaling Technology Logo
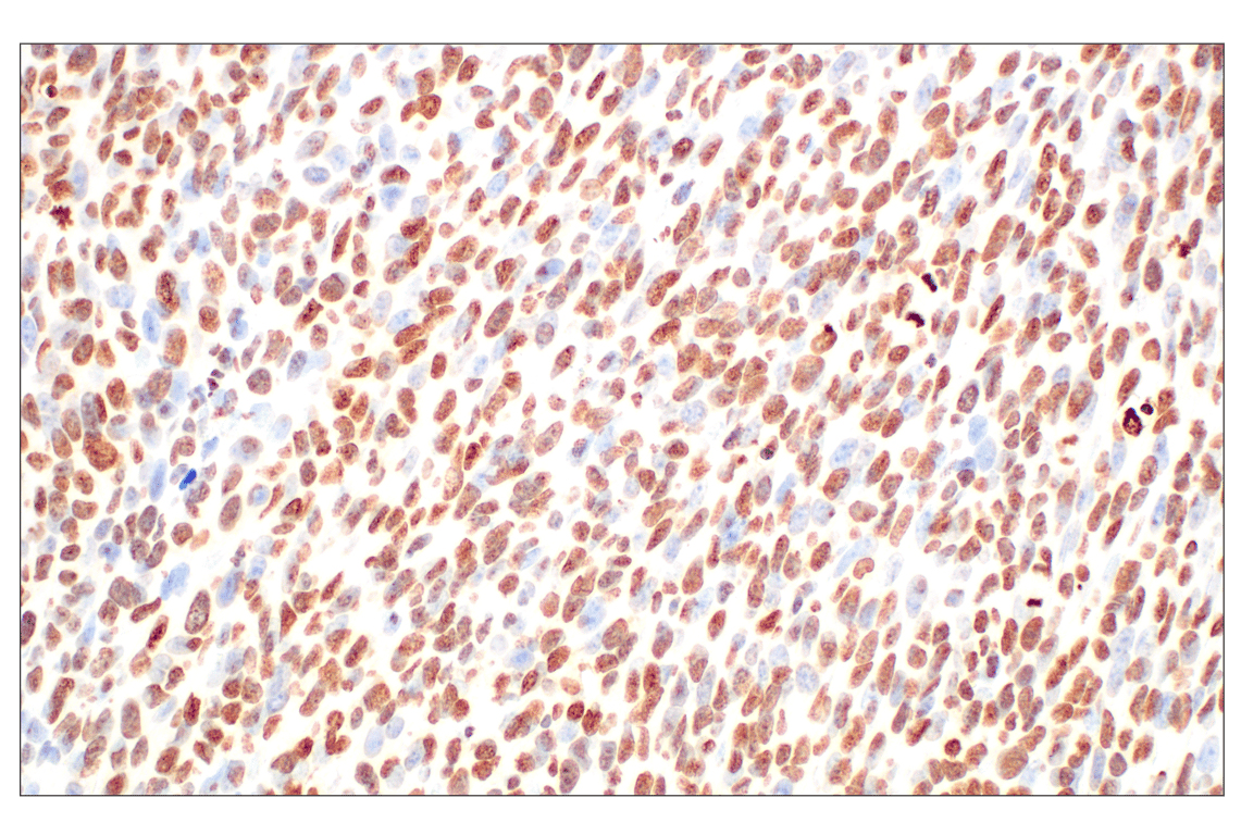
Immunohistochemical analysis of paraffin-embedded rhesus monkey liver using Histone H3 (D1H2) XP® Rabbit mAb.
undefined Image 34: Acetyl-Histone Antibody Sampler Kit
Chromatin immunoprecipitations were performed with cross-linked chromatin from HeLa cells and either Acetyl-Histone H2B (Lys5) (D5H1S) XP® Rabbit mAb or Normal Rabbit IgG #2729 using SimpleChIP® Enzymatic Chromatin IP Kit (Magnetic Beads) #9003. The enriched DNA was quantified by real-time PCR using SimpleChIP® Human GAPDH Exon 1 Primers #5516, SimpleChIP® Human RPL30 Exon 3 Primers #7014, SimpleChIP® Human MyoD1 Exon 1 Primers #4490, and SimpleChIP® Human α Satellite Repeat Primers #4486. The amount of immunoprecipitated DNA in each sample is represented as signal relative to the total amount of input chromatin, which is equivalent to one.
undefined Image 35: Acetyl-Histone Antibody Sampler Kit
Confocal immunofluorescent analysis of HeLa cells using Histone H4 (D2X4V) Rabbit mAb (green) and Cox IV (4D11-B3-E8) Mouse mAb #11967 (red).
undefined Image 36: Acetyl-Histone Antibody Sampler Kit
Orders: 877-616-CELL (2355) [email protected] Support: 877-678-TECH (8324) [email protected] Web: cellsignal.com
For Research Use Only. Not for Use in Diagnostic Procedures.

Revision 1

Cell Signaling Technology Logo
Confocal immunofluorescent analysis of HeLa cells, untreated (left) or treated with TSA #9950 (right), using Acetyl-Histone H3 (Lys9) (C5B11) Rabbit mAb (green). Actin filaments have been labeled with Alexa Fluor® 555 phalloidin (red).
undefined Image 37: Acetyl-Histone Antibody Sampler Kit
Flow cytometric analysis of untreated HeLa cells using Acetyl-Histone H3 (Lys9) (C5B11) Rabbit mAb #9649 versus propidium iodide (DNA content). Note positive staining in cycling cells (box).
undefined Image 38: Acetyl-Histone Antibody Sampler Kit
Chromatin immunoprecipitations were performed with cross-linked chromatin from HeLa cells and Acetyl-Histone H3 (Lys9) (C5B11) Rabbit mAb, using SimpleChIP® Enzymatic Chromatin IP Kit (Magnetic Beads) #9005. DNA Libraries were prepared using DNA Library Prep Kit for Illumina® (ChIP-seq, CUT&RUN) #56795. The figure shows binding across GAPDH, a known target gene of H3K9Ac (see additional figure containing ChIP-qPCR data).
undefined Image 39: Acetyl-Histone Antibody Sampler Kit
Orders: 877-616-CELL (2355) [email protected] Support: 877-678-TECH (8324) [email protected] Web: cellsignal.com
For Research Use Only. Not for Use in Diagnostic Procedures.

Revision 1

Cell Signaling Technology Logo
Chromatin immunoprecipitations were performed with cross-linked chromatin from HeLa cells and Acetyl-Histone H3 (Lys9) (C5B11) Rabbit mAb, using SimpleChIP® Enzymatic Chromatin IP Kit (Magnetic Beads) #9005. DNA Libraries were prepared using DNA Library Prep Kit for Illumina® (ChIP-seq, CUT&RUN) #56795. The figure shows binding across chromosome 12 (upper), including GAPDH (lower), a known target gene of H3K9Ac (see additional figure containing ChIP-qPCR data).
undefined Image 40: Acetyl-Histone Antibody Sampler Kit
Chromatin immunoprecipitations were performed with cross-linked chromatin from HeLa cells and either Acetyl-Histone H3 (Lys9) (C5B11) Rabbit mAb or Normal Rabbit IgG #2729 using SimpleChIP® Enzymatic Chromatin IP Kit (Magnetic Beads) #9003. The enriched DNA was quantified by real-time PCR using SimpleChIP® Human RPL30 Exon 3 Primers #7014, SimpleChIP® Human GAPDH Exon 1 Primers #5516, SimpleChIP® Human MyoD1 Exon 1 Primers #4490, and SimpleChIP® Human α Satellite Repeat Primers #4486. The amount of immunoprecipitated DNA in each sample is represented as signal relative to the total amount of input chromatin, which is equivalent to one.
undefined Image 41: Acetyl-Histone Antibody Sampler Kit
CUT&RUN was performed with HeLa cells and Acetyl-Histone H3 (Lys9) (C5B11) Rabbit mAb, using CUT&RUN Assay Kit #86652. DNA Libraries were prepared using DNA Library Prep Kit for Illumina® (ChIP-seq, CUT&RUN) #56795. The figure shows binding across GAPDH, a known target gene of H3K9Ac (see additional figure containing CUT&RUN-qPCR data).
undefined Image 42: Acetyl-Histone Antibody Sampler Kit
Orders: 877-616-CELL (2355) [email protected] Support: 877-678-TECH (8324) [email protected] Web: cellsignal.com
For Research Use Only. Not for Use in Diagnostic Procedures.

Revision 1

Cell Signaling Technology Logo
CUT&RUN was performed with HeLa cells and Acetyl-Histone H3 (Lys9) (C5B11) Rabbit mAb, using CUT&RUN Assay Kit #86652. DNA Libraries were prepared using DNA Library Prep Kit for Illumina® (ChIP-seq, CUT&RUN) #56795. The figures show binding across chromosome 12 (upper), including GAPDH (lower), a known target gene of H3K9Ac (see additional figure containing CUT&RUN-qPCR data).
undefined Image 43: Acetyl-Histone Antibody Sampler Kit
CUT&RUN was performed with HeLa cells and either Acetyl-Histone H3 (Lys9) (C5B11) Rabbit mAb or Rabbit (DA1E) mAb IgG XP® Isotype Control (CUT&RUN) #66362, using CUT&RUN Assay Kit #86652. The enriched DNA was quantified by real-time PCR using SimpleChIP® Human RPL30 Exon 3 Primers #7014, SimpleChIP® Human GAPDH Exon 1 Primers #5516, and SimpleChIP® Human α Satellite Repeat Primers #4486. The amount of immunoprecipitated DNA in each sample is represented as signal relative to the total amount of input chromatin, which is equivalent to one.
undefined Image 44: Acetyl-Histone Antibody Sampler Kit
Orders: 877-616-CELL (2355) [email protected] Support: 877-678-TECH (8324) [email protected] Web: cellsignal.com
For Research Use Only. Not for Use in Diagnostic Procedures.