Revision 1

#2574

Store at -20C

CST Logo
Orders:

877-616-CELL (2355)

[email protected]

Support:

877-678-TECH (8324)

3 Trask Lane | Danvers | Massachusetts | 01923 | USA

For Research Use Only. Not for Use in Diagnostic Procedures.

Applications:
W, IP, IHC-P

Reactivity:
H M R Mk

Sensitivity:
Endogenous

MW (kDa):
14

Source/Isotype:
Rabbit

UniProt ID:
#P33778

Entrez-Gene Id:
3018

Product Usage Information

Application Dilution
Western Blotting 1:1000
Immunoprecipitation 1:50
Immunohistochemistry (Paraffin) 1:100

Storage

Supplied in 10 mM sodium HEPES (pH 7.5), 150 mM NaCl, 100 µg/ml BSA and 50% glycerol. Store at –20°C. Do not aliquot the antibody.

Specificity/Sensitivity

Acetyl-Histone H2B (Lys5) Antibody detects endogenous levels of histone H2B only when acetylated at lysine 5. This antibody does not cross-react with other acetylated histones.

Source / Purification

Polyclonal antibodies are produced by immunizing animals with a synthetic acetylated peptide corresponding to residues surrounding Lys5 of human histone H2B. Antibodies are purified by protein A and peptide affinity chromatography.

Background

The nucleosome, made up of four core histone proteins (H2A, H2B, H3, and H4), is the primary building block of chromatin. Originally thought to function as a static scaffold for DNA packaging, histones have now been shown to be dynamic proteins, undergoing multiple types of post-translational modifications, including acetylation, phosphorylation, methylation, and ubiquitination (1,2). The p300/CBP histone acetyltransferases acetylate multiple lysine residues in the amino terminal tail of histone H2B (Lys5, 12, 15, and 20) at gene promoters during transcriptional activation (1-3). Hyper-acetylation of the histone tails neutralizes the positive charge of these domains and is believed to weaken histone-DNA and nucleosome-nucleosome interactions, thereby destabilizing chromatin structure and increasing the access of DNA to various DNA-binding proteins (4,5). In addition, acetylation of specific lysine residues creates docking sites that facilitate recruitment of many transcription and chromatin regulatory proteins that contain a bromodomain, which binds to acetylated lysine residues (6). Histone H2B is mono-ubiquitinated at Lys120 during transcriptional activation by the RAD6 E2 protein in conjunction with the BRE1A/BRE1B E3 ligase (also known as RNF20/RNF40) (7). Mono-ubiquitinated histone H2B Lys120 is associated with the transcribed region of active genes and stimulates transcriptional elongation by facilitating FACT-dependent chromatin remodeling (7-9). In addition, it is essential for subsequent methylation of histone H3 Lys4 and Lys79, two additional histone modifications that regulate transcriptional initiation and elongation (10). In response to metabolic stress, AMPK is recruited to responsive genes and phosphorylates histone H2B at Lys36, both at promoters and in transcribed regions of genes, and may regulate transcriptional elongation (11). In response to multiple apoptotic stimuli, histone H2B is phosphorylated at Ser14 by the Mst1 kinase (12). Upon induction of apoptosis, Mst1 is cleaved and activated by caspase-3, leading to global phosphorylation of histone H2B during chromatin condensation. Interestingly, histone H2B is rapidly phosphorylated at irradiation-induced DNA damage foci in mouse embryonic fibroblasts (13). In this case, phosphorylation at Ser14 is rapid, depends on prior phosphorylation of H2AX Ser139, and occurs in the absence of apoptosis, suggesting that Ser14 phosphorylation may have distinct roles in DNA-damage repair and apoptosis.

Species Reactivity

Species reactivity is determined by testing in at least one approved application (e.g., western blot).

Western Blot Buffer

IMPORTANT: For western blots, incubate membrane with diluted primary antibody in 5% w/v BSA, 1X TBS, 0.1% Tween® 20 at 4°C with gentle shaking, overnight.

Applications Key

W: Western Blotting IP: Immunoprecipitation IHC-P: Immunohistochemistry (Paraffin)

Cross-Reactivity Key

H: Human M: Mouse R: Rat Mk: Monkey

Trademarks and Patents

Cell Signaling Technology is a trademark of Cell Signaling Technology, Inc.

All other trademarks are the property of their respective owners. Visit cellsignal.com/trademarks for more information.

Limited Uses

Except as otherwise expressly agreed in a writing signed by a legally authorized representative of CST, the following terms apply to Products provided by CST, its affiliates or its distributors. Any Customer's terms and conditions that are in addition to, or different from, those contained herein, unless separately accepted in writing by a legally authorized representative of CST, are rejected and are of no force or effect.

Products are labeled with For Research Use Only or a similar labeling statement and have not been approved, cleared, or licensed by the FDA or other regulatory foreign or domestic entity, for any purpose. Customer shall not use any Product for any diagnostic or therapeutic purpose, or otherwise in any manner that conflicts with its labeling statement. Products sold or licensed by CST are provided for Customer as the end-user and solely for research and development uses. Any use of Product for diagnostic, prophylactic or therapeutic purposes, or any purchase of Product for resale (alone or as a component) or other commercial purpose, requires a separate license from CST. Customer shall (a) not sell, license, loan, donate or otherwise transfer or make available any Product to any third party, whether alone or in combination with other materials, or use the Products to manufacture any commercial products, (b) not copy, modify, reverse engineer, decompile, disassemble or otherwise attempt to discover the underlying structure or technology of the Products, or use the Products for the purpose of developing any products or services that would compete with CST products or services, (c) not alter or remove from the Products any trademarks, trade names, logos, patent or copyright notices or markings, (d) use the Products solely in accordance with CST Product Terms of Sale and any applicable documentation, and (e) comply with any license, terms of service or similar agreement with respect to any third party products or services used by Customer in connection with the Products.

Orders: 877-616-CELL (2355) [email protected] Support: 877-678-TECH (8324) [email protected] Web: cellsignal.com
For Research Use Only. Not for Use in Diagnostic Procedures.

Revision 1

Cell Signaling Technology Logo
Western blot analysis of extracts from various cell lines, untreated or TSA-treated (400 nM for 12 hours), using Acetyl-Histone H2B (Lys5) Antibody.
Western Blotting Image 1: Acetyl-Histone H2B (Lys5) Antibody
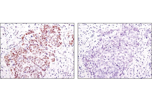
Immunohistochemical analysis of paraffin-embedded human lung carcinoma using Acetyl-Histone H2B (K5) Rabbit Antibody in the presence of non-acetyl peptide (left) or K5 acetyl-peptide (right).
Immunohistochemistry Image 1: Acetyl-Histone H2B (Lys5) Antibody
Orders: 877-616-CELL (2355) [email protected] Support: 877-678-TECH (8324) [email protected] Web: cellsignal.com
For Research Use Only. Not for Use in Diagnostic Procedures.