Revision 2

#96075

Store at -20C

CST Logo
Orders:

877-616-CELL (2355)

[email protected]

Support:

877-678-TECH (8324)

3 Trask Lane | Danvers | Massachusetts | 01923 | USA

For Research Use Only. Not for Use in Diagnostic Procedures.

Applications:
W, IHC-P, IF-IC, FC-FP, ELISA

Reactivity:
H M R Mk Z

Sensitivity:
Endogenous

MW (kDa):
17

Source/Isotype:
Rabbit IgG

UniProt ID:
#P68431

Entrez-Gene Id:
8350

Product Usage Information

This product is the carrier free version of product #9649. All data were generated using the same antibody clone in the standard formulation which contains BSA and glycerol.

This formulation is ideal for use with technologies requiring specialized or custom antibody labeling, including fluorophores, metals, lanthanides, and oligonucleotides. It is not recommended for ChIP, ChIP-seq, CUT&RUN or CUT&Tag assays. If you require a carrier free formulation for chromatin profiling, please contact us. Optimal dilutions/concentrations should be determined by the end user.

BSA and Azide Free antibodies are quality control tested by size exclusion chromatography (SEC) to determine antibody integrity.

Formulation

Supplied in 1X PBS (10 mM Na2HPO4, 3 mM KCl, 2 mM KH2PO4, and 140 mM NaCl (pH 7.8)). BSA and Azide Free.

For standard formulation of this product see product #9649

Storage

Store at -20°C. This product will freeze at -20°C so it is recommended to aliquot into single-use vials to avoid multiple freeze/thaw cycles. A slight precipitate may be present and can be dissolved by gently vortexing. This will not interfere with antibody performance.

Specificity/Sensitivity

Acetyl-Histone H3 (Lys9) (C5B11) Rabbit Monoclonal Antibody (BSA and Azide Free) detects endogenous levels of histone H3 only when acetylated on Lys9. This antibody does not cross-react with other acetylated histones.

Species predicted to react based on 100% sequence homology

S. cerevisiae

Source / Purification

Monoclonal antibody is produced by immunizing animals with a synthetic peptide corresponding to the amino terminus of histone H3 in which Lys9 is acetylated.

Background

Modulation of chromatin structure plays an important role in the regulation of transcription in eukaryotes. The nucleosome, made up of DNA wound around eight core histone proteins (two each of H2A, H2B, H3, and H4), is the primary building block of chromatin (1). The amino-terminal tails of core histones undergo various posttranslational modifications, including acetylation, phosphorylation, methylation, and ubiquitination (2-5). These modifications occur in response to various stimuli and have a direct effect on the accessibility of chromatin to transcription factors and, therefore, gene expression (6). In most species, histone H2B is primarily acetylated at Lys5, 12, 15, and 20 (4,7). Histone H3 is primarily acetylated at Lys9, 14, 18, 23, 27, and 56. Acetylation of H3 at Lys9 appears to have a dominant role in histone deposition and chromatin assembly in some organisms (2,3). Phosphorylation at Ser10, Ser28, and Thr11 of histone H3 is tightly correlated with chromosome condensation during both mitosis and meiosis (8-10). Phosphorylation at Thr3 of histone H3 is highly conserved among many species and is catalyzed by the kinase haspin. Immunostaining with phospho-specific antibodies in mammalian cells reveals mitotic phosphorylation at Thr3 of H3 in prophase and its dephosphorylation during anaphase (11).

Species Reactivity

Species reactivity is determined by testing in at least one approved application (e.g., western blot).

Applications Key

W: Western Blotting IHC-P: Immunohistochemistry (Paraffin) IF-IC: Immunofluorescence (Immunocytochemistry) FC-FP: Flow Cytometry (Fixed/Permeabilized) ELISA: ELISA

Cross-Reactivity Key

H: Human M: Mouse R: Rat Mk: Monkey Z: Zebrafish

Trademarks and Patents

Cell Signaling Technology is a trademark of Cell Signaling Technology, Inc.

U.S. Patent No. 7,429,487, foreign equivalents, and child patents deriving therefrom.

All other trademarks are the property of their respective owners. Visit cellsignal.com/trademarks for more information.

Limited Uses

Except as otherwise expressly agreed in a writing signed by a legally authorized representative of CST, the following terms apply to Products provided by CST, its affiliates or its distributors. Any Customer's terms and conditions that are in addition to, or different from, those contained herein, unless separately accepted in writing by a legally authorized representative of CST, are rejected and are of no force or effect.

Products are labeled with For Research Use Only or a similar labeling statement and have not been approved, cleared, or licensed by the FDA or other regulatory foreign or domestic entity, for any purpose. Customer shall not use any Product for any diagnostic or therapeutic purpose, or otherwise in any manner that conflicts with its labeling statement. Products sold or licensed by CST are provided for Customer as the end-user and solely for research and development uses. Any use of Product for diagnostic, prophylactic or therapeutic purposes, or any purchase of Product for resale (alone or as a component) or other commercial purpose, requires a separate license from CST. Customer shall (a) not sell, license, loan, donate or otherwise transfer or make available any Product to any third party, whether alone or in combination with other materials, or use the Products to manufacture any commercial products, (b) not copy, modify, reverse engineer, decompile, disassemble or otherwise attempt to discover the underlying structure or technology of the Products, or use the Products for the purpose of developing any products or services that would compete with CST products or services, (c) not alter or remove from the Products any trademarks, trade names, logos, patent or copyright notices or markings, (d) use the Products solely in accordance with CST Product Terms of Sale and any applicable documentation, and (e) comply with any license, terms of service or similar agreement with respect to any third party products or services used by Customer in connection with the Products.

Orders: 877-616-CELL (2355) [email protected] Support: 877-678-TECH (8324) [email protected] Web: cellsignal.com
For Research Use Only. Not for Use in Diagnostic Procedures.

Revision 2

Cell Signaling Technology Logo
Western blot analysis of lysates from HeLa and NIH/3T3 cells, untreated or TSA-treated (400 nM for 18 hours) using Acetyl-Histone H3 (Lys9) (C5B11) Rabbit mAb. Data were generated using the standard formulation of this product.
Western Blotting Image 1: Acetyl-Histone H3 (Lys9) (C5B11) Rabbit Monoclonal Antibody (BSA and Azide Free)
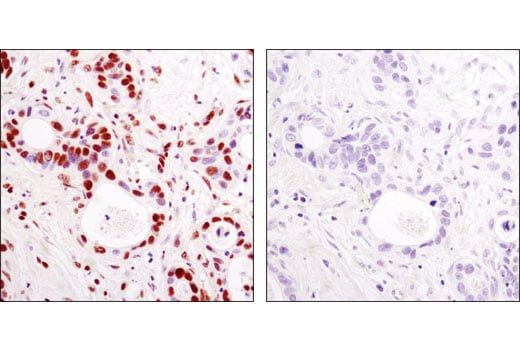
Immunohistochemical analysis of paraffin-embedded human gastic carcinoma using Acetyl-Histone H3 (K9) Rabbit mAb in the presence of non-acetyl-peptide (left) or K9 acetyl-peptide (right). Data were generated using the standard formulation of this product.
Immunohistochemistry Image 1: Acetyl-Histone H3 (Lys9) (C5B11) Rabbit Monoclonal Antibody (BSA and Azide Free)
Confocal immunofluorescent analysis of HeLa cells, untreated (left) or treated with TSA #9950 (right), using Acetyl-Histone H3 (Lys9) (C5B11) Rabbit mAb (green). Actin filaments have been labeled with Alexa Fluor® 555 phalloidin (red). Data were generated using the standard formulation of this product.
Immunofluorescence Image 1: Acetyl-Histone H3 (Lys9) (C5B11) Rabbit Monoclonal Antibody (BSA and Azide Free)
Orders: 877-616-CELL (2355) [email protected] Support: 877-678-TECH (8324) [email protected] Web: cellsignal.com
For Research Use Only. Not for Use in Diagnostic Procedures.

Revision 2

Cell Signaling Technology Logo
Flow cytometric analysis of untreated HeLa cells using Acetyl-Histone H3 (Lys9) (C5B11) Rabbit mAb #9649 versus propidium iodide (DNA content). Note positive staining in cycling cells (box). Data were generated using the standard formulation of this product.
Flow Cytometry Image 1: Acetyl-Histone H3 (Lys9) (C5B11) Rabbit Monoclonal Antibody (BSA and Azide Free)
Data using Acetyl-Histone H3 (Lys9) Matched Antibody Pair #31712 are shown. The two antibodies function as a capture-target-detection sandwich (#60932 and #96075, respectively) to detect endogenous protein expression in positive and negative controls.
ELISA Image 1: Acetyl-Histone H3 (Lys9) (C5B11) Rabbit Monoclonal Antibody (BSA and Azide Free)
Data using Acetyl-Histone H3 (Lys9) Matched Antibody Pair #84766 are shown. The two antibodies function as a capture-target-detection sandwich (#96075 and #74150, respectively) to detect endogenous protein expression in positive and negative controls.
ELISA Image 2: Acetyl-Histone H3 (Lys9) (C5B11) Rabbit Monoclonal Antibody (BSA and Azide Free)
Orders: 877-616-CELL (2355) [email protected] Support: 877-678-TECH (8324) [email protected] Web: cellsignal.com
For Research Use Only. Not for Use in Diagnostic Procedures.