Revision 2

#37286

Store at -20C

CST Logo
Orders:

877-616-CELL (2355)

[email protected]

Support:

877-678-TECH (8324)

3 Trask Lane | Danvers | Massachusetts | 01923 | USA

For Research Use Only. Not for Use in Diagnostic Procedures.

Applications:
W, IHC-Bond, IHC-P, IF-IC, FC-FP

Reactivity:
H M R Mk

Sensitivity:
Endogenous

MW (kDa):
11

Source/Isotype:
Rabbit IgG

UniProt ID:
#P62805

Entrez-Gene Id:
8359

Product Usage Information

This product is the carrier free version of product #13534. All data were generated using the same antibody clone in the standard formulation which contains BSA and glycerol.

This formulation is ideal for use with technologies requiring specialized or custom antibody labeling, including fluorophores, metals, lanthanides, and oligonucleotides. It is not recommended for ChIP, ChIP-seq, CUT&RUN or CUT&Tag assays. If you require a carrier free formulation for chromatin profiling, please contact us. Optimal dilutions/concentrations should be determined by the end user.

BSA and Azide Free antibodies are quality control tested by size exclusion chromatography (SEC) to determine antibody integrity.

Formulation

Supplied in 1X PBS (10 mM Na2HPO4, 3 mM KCl, 2 mM KH2PO4, and 140 mM NaCl (pH 7.8)). BSA and Azide Free.

For standard formulation of this product see product #13534

Storage

Store at -20°C. This product will freeze at -20°C so it is recommended to aliquot into single-use vials to avoid multiple freeze/thaw cycles. A slight precipitate may be present and can be dissolved by gently vortexing. This will not interfere with antibody performance.

Specificity/Sensitivity

Acetyl-Histone H4 (Lys16) (E2B8W) Rabbit Monoclonal Antibody (BSA and Azide Free) recognizes endogenous levels of histone H4 protein only when acetylated at Lys16. This antibody does not cross-react with other acetylated histone proteins.

Source / Purification

Monoclonal antibody is produced by immunizing animals with a synthetic peptide corresponding to residues surrounding acetylated Lys16 of human histone H4 protein.

Background

The nucleosome, made up of four core histone proteins (H2A, H2B, H3, and H4), is the primary building block of chromatin. Originally thought to function as a static scaffold for DNA packaging, histones have now been shown to be dynamic proteins, undergoing multiple types of post-translational modifications, including acetylation, phosphorylation, methylation, and ubiquitination (1,2). Histone acetylation occurs mainly on the amino-terminal tail domains of histones H2A (Lys5), H2B (Lys5, 12, 15, and 20), H3 (Lys9, 14, 18, 23, 27, 36, and 56), and H4 (Lys5, 8, 12, and 16) and is important for the regulation of histone deposition, transcriptional activation, DNA replication, recombination, and DNA repair (1-3). Hyper-acetylation of the histone tails neutralizes the positive charge of these domains and is believed to weaken histone-DNA and nucleosome-nucleosome interactions, thereby destabilizing chromatin structure and increasing the accessibility of DNA to various DNA-binding proteins (4,5). In addition, acetylation of specific lysine residues creates docking sites for a protein module called the bromodomain, which binds to acetylated lysine residues (6). Many transcription and chromatin regulatory proteins contain bromodomains and may be recruited to gene promoters, in part, through binding of acetylated histone tails. Histone acetylation is mediated by histone acetyltransferases (HATs), such as CBP/p300, GCN5L2, PCAF, and Tip60, which are recruited to genes by DNA-bound protein factors to facilitate transcriptional activation (3). Deacetylation, which is mediated by histone deacetylases (HDAC and sirtuin proteins), reverses the effects of acetylation and generally facilitates transcriptional repression (7,8).

Species Reactivity

Species reactivity is determined by testing in at least one approved application (e.g., western blot).

Applications Key

W: Western Blotting IHC-Bond: IHC Leica Bond IHC-P: Immunohistochemistry (Paraffin) IF-IC: Immunofluorescence (Immunocytochemistry) FC-FP: Flow Cytometry (Fixed/Permeabilized)

Cross-Reactivity Key

H: Human M: Mouse R: Rat Mk: Monkey

Trademarks and Patents

Cell Signaling Technology is a trademark of Cell Signaling Technology, Inc.

All other trademarks are the property of their respective owners. Visit cellsignal.com/trademarks for more information.

Limited Uses

Except as otherwise expressly agreed in a writing signed by a legally authorized representative of CST, the following terms apply to Products provided by CST, its affiliates or its distributors. Any Customer's terms and conditions that are in addition to, or different from, those contained herein, unless separately accepted in writing by a legally authorized representative of CST, are rejected and are of no force or effect.

Products are labeled with For Research Use Only or a similar labeling statement and have not been approved, cleared, or licensed by the FDA or other regulatory foreign or domestic entity, for any purpose. Customer shall not use any Product for any diagnostic or therapeutic purpose, or otherwise in any manner that conflicts with its labeling statement. Products sold or licensed by CST are provided for Customer as the end-user and solely for research and development uses. Any use of Product for diagnostic, prophylactic or therapeutic purposes, or any purchase of Product for resale (alone or as a component) or other commercial purpose, requires a separate license from CST. Customer shall (a) not sell, license, loan, donate or otherwise transfer or make available any Product to any third party, whether alone or in combination with other materials, or use the Products to manufacture any commercial products, (b) not copy, modify, reverse engineer, decompile, disassemble or otherwise attempt to discover the underlying structure or technology of the Products, or use the Products for the purpose of developing any products or services that would compete with CST products or services, (c) not alter or remove from the Products any trademarks, trade names, logos, patent or copyright notices or markings, (d) use the Products solely in accordance with CST Product Terms of Sale and any applicable documentation, and (e) comply with any license, terms of service or similar agreement with respect to any third party products or services used by Customer in connection with the Products.

Orders: 877-616-CELL (2355) [email protected] Support: 877-678-TECH (8324) [email protected] Web: cellsignal.com
For Research Use Only. Not for Use in Diagnostic Procedures.

Revision 2

Cell Signaling Technology Logo
Western blot analysis of extracts from HeLa, C2C12, and C6 cells, untreated (-) or treated with Trichostatin A (TSA) #9950 (1 μM, 18 hr; +), using Acetyl-Histone H4 (Lys16) (E2B8W) Rabbit mAb (upper) or Histone H4 (L64C1) Mouse mAb #2935 (lower). Data were generated using the standard formulation of this product.
Western Blotting Image 1: Acetyl-Histone H4 (Lys16) (E2B8W) Rabbit Monoclonal Antibody (BSA and Azide Free)
Immunohistochemical analysis of paraffin-embedded human urothelial carcinoma using Acetyl-Histone H4 (Lys16) (E2B8W) Rabbit mAb performed on the Leica BOND RX. Data were generated using the standard formulation of this product.
Immunohistochemistry Image 1: Acetyl-Histone H4 (Lys16) (E2B8W) Rabbit Monoclonal Antibody (BSA and Azide Free)
Immunohistochemical analysis of paraffin-embedded human squamous cell lung carcinoma using Acetyl-Histone H4 (Lys16) (E2B8W) Rabbit mAb performed on the Leica BOND RX. Data were generated using the standard formulation of this product.
Immunohistochemistry Image 2: Acetyl-Histone H4 (Lys16) (E2B8W) Rabbit Monoclonal Antibody (BSA and Azide Free)
Orders: 877-616-CELL (2355) [email protected] Support: 877-678-TECH (8324) [email protected] Web: cellsignal.com
For Research Use Only. Not for Use in Diagnostic Procedures.

Revision 2

Cell Signaling Technology Logo
Immunohistochemical analysis of paraffin-embedded human colon carcinoma using Acetyl-Histone H4 (Lys16) (E2B8W) Rabbit mAb performed on the Leica BOND RX. Data were generated using the standard formulation of this product.
Immunohistochemistry Image 3: Acetyl-Histone H4 (Lys16) (E2B8W) Rabbit Monoclonal Antibody (BSA and Azide Free)
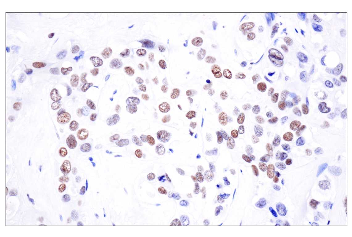
Immunohistochemical analysis of paraffin-embedded human esophageal carcinoma using Acetyl-Histone H4 (Lys16) (E2B8W) Rabbit mAb. Data were generated using the standard formulation of this product.
Immunohistochemistry Image 1: Acetyl-Histone H4 (Lys16) (E2B8W) Rabbit Monoclonal Antibody (BSA and Azide Free)
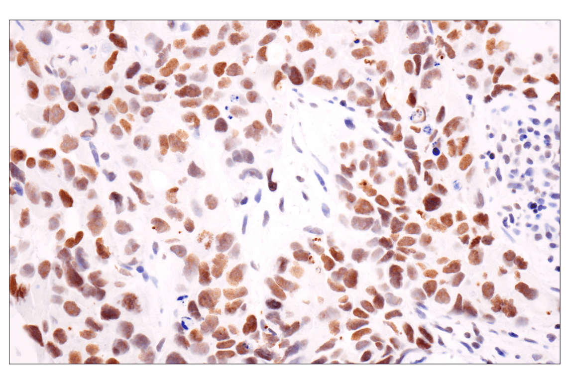
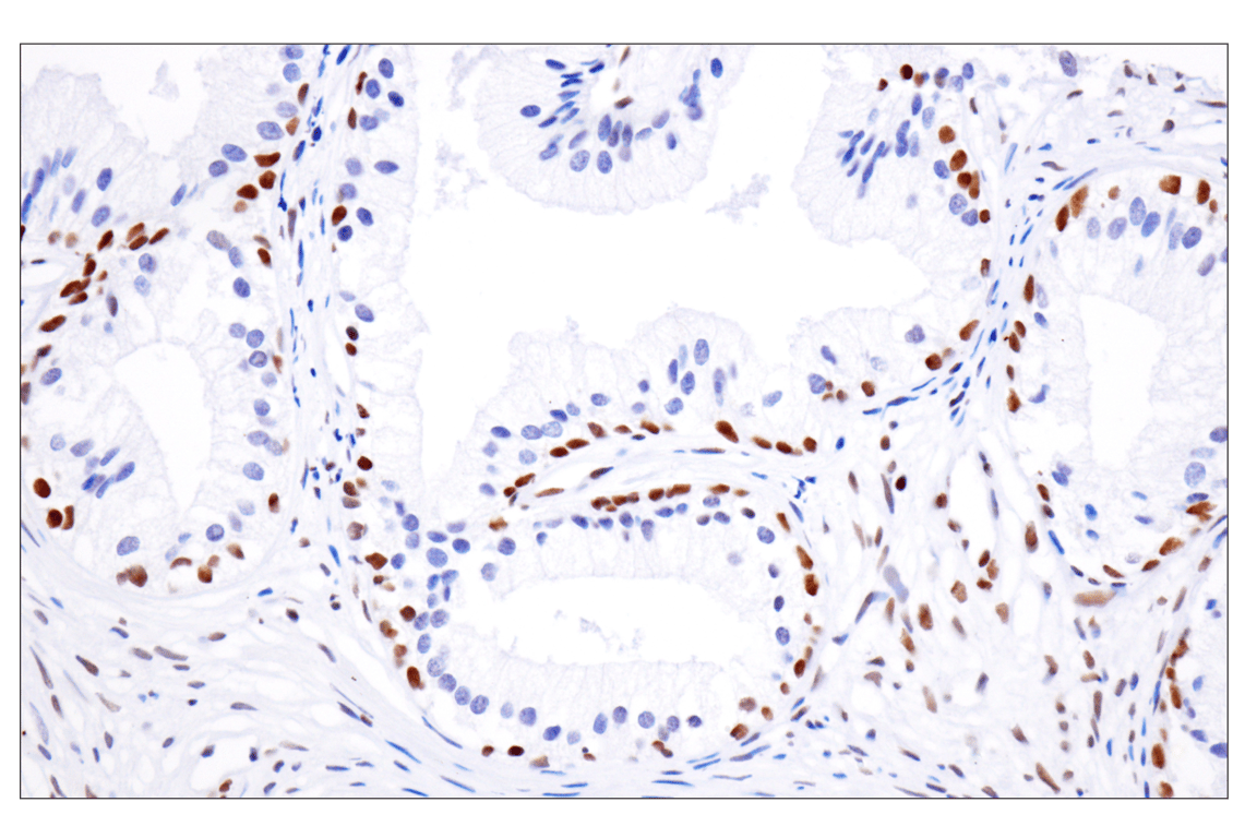
Immunohistochemical analysis of paraffin-embedded human colon carcinoma using Acetyl-Histone H4 (Lys16) (E2B8W) Rabbit mAb. Data were generated using the standard formulation of this product.
Immunohistochemistry Image 2: Acetyl-Histone H4 (Lys16) (E2B8W) Rabbit Monoclonal Antibody (BSA and Azide Free)
Orders: 877-616-CELL (2355) [email protected] Support: 877-678-TECH (8324) [email protected] Web: cellsignal.com
For Research Use Only. Not for Use in Diagnostic Procedures.

Revision 2

Cell Signaling Technology Logo
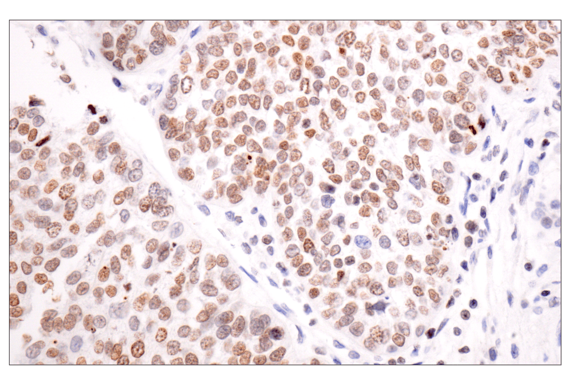
Immunohistochemical analysis of paraffin-embedded human ductal breast carcinoma using Acetyl-Histone H4 (Lys16) (E2B8W) Rabbit mAb. Data were generated using the standard formulation of this product.
Immunohistochemistry Image 3: Acetyl-Histone H4 (Lys16) (E2B8W) Rabbit Monoclonal Antibody (BSA and Azide Free)
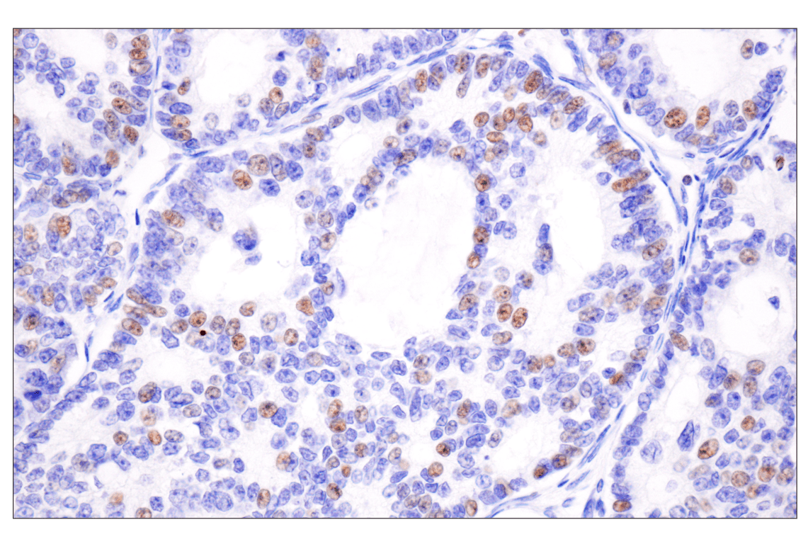
Immunohistochemical analysis of paraffin-embedded human prostate carcinoma using Acetyl-Histone H4 (Lys16) (E2B8W) Rabbit mAb. Data were generated using the standard formulation of this product.
Immunohistochemistry Image 4: Acetyl-Histone H4 (Lys16) (E2B8W) Rabbit Monoclonal Antibody (BSA and Azide Free)
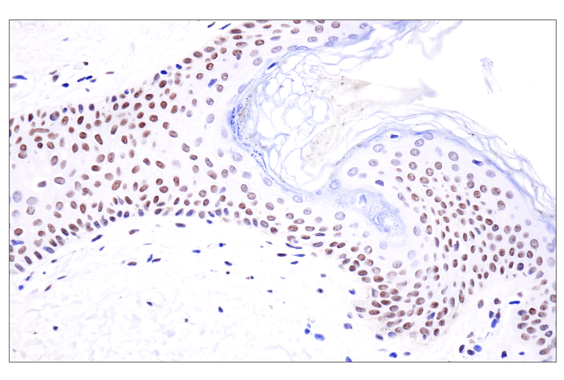
Immunohistochemical analysis of paraffin-embedded normal human skin using Acetyl-Histone H4 (Lys16) (E2B8W) Rabbit mAb. Data were generated using the standard formulation of this product.
Immunohistochemistry Image 5: Acetyl-Histone H4 (Lys16) (E2B8W) Rabbit Monoclonal Antibody (BSA and Azide Free)
Orders: 877-616-CELL (2355) [email protected] Support: 877-678-TECH (8324) [email protected] Web: cellsignal.com
For Research Use Only. Not for Use in Diagnostic Procedures.

Revision 2

Cell Signaling Technology Logo
Immunohistochemical analysis of paraffin-embedded normal human spleen using Acetyl-Histone H4 (Lys16) (E2B8W) Rabbit mAb. Data were generated using the standard formulation of this product.
Immunohistochemistry Image 6: Acetyl-Histone H4 (Lys16) (E2B8W) Rabbit Monoclonal Antibody (BSA and Azide Free)
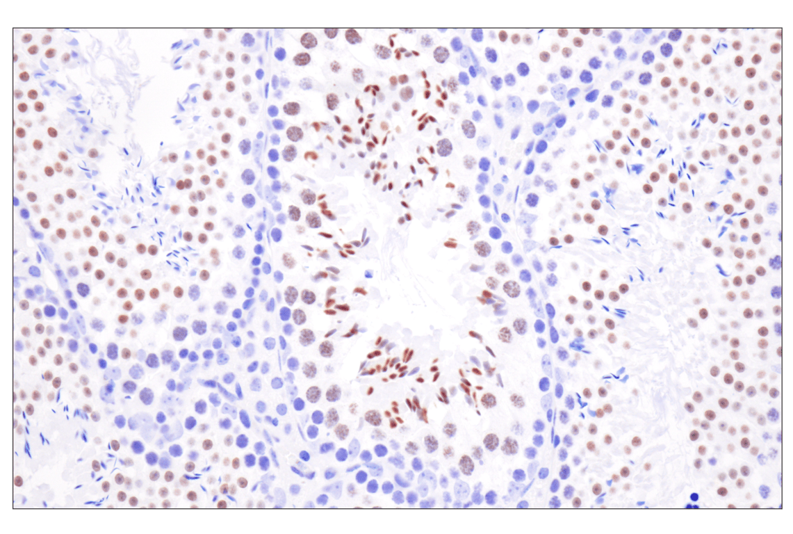
Immunohistochemical analysis of paraffin-embedded normal human testis using Acetyl-Histone H4 (Lys16) (E2B8W) Rabbit mAb. Data were generated using the standard formulation of this product.
Immunohistochemistry Image 7: Acetyl-Histone H4 (Lys16) (E2B8W) Rabbit Monoclonal Antibody (BSA and Azide Free)
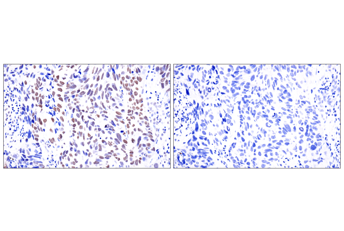
Immunohistochemical analysis of paraffin-embedded human urothelial carcinoma using Acetyl-Histone H4 (Lys16) (E2B8W) Rabbit mAb in the presence of non-acetyl-peptide (left) or K16 acetyl-peptide (right). Data were generated using the standard formulation of this product.
Immunohistochemistry Image 8: Acetyl-Histone H4 (Lys16) (E2B8W) Rabbit Monoclonal Antibody (BSA and Azide Free)
Orders: 877-616-CELL (2355) [email protected] Support: 877-678-TECH (8324) [email protected] Web: cellsignal.com
For Research Use Only. Not for Use in Diagnostic Procedures.

Revision 2

Cell Signaling Technology Logo
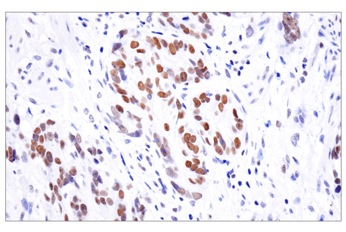
Immunohistochemical analysis of paraffin-embedded A20 syngeneic tumor using Acetyl-Histone H4 (Lys16) (E2B8W) Rabbit mAb. Data were generated using the standard formulation of this product.
Immunohistochemistry Image 9: Acetyl-Histone H4 (Lys16) (E2B8W) Rabbit Monoclonal Antibody (BSA and Azide Free)
Immunohistochemical analysis of paraffin-embedded mouse colon using Acetyl-Histone H4 (Lys16) (E2B8W) Rabbit mAb. Data were generated using the standard formulation of this product.
Immunohistochemistry Image 10: Acetyl-Histone H4 (Lys16) (E2B8W) Rabbit Monoclonal Antibody (BSA and Azide Free)
Immunohistochemical analysis of paraffin-embedded mouse testis using Acetyl-Histone H4 (Lys16) (E2B8W) Rabbit mAb. Data were generated using the standard formulation of this product.
Immunohistochemistry Image 11: Acetyl-Histone H4 (Lys16) (E2B8W) Rabbit Monoclonal Antibody (BSA and Azide Free)
Orders: 877-616-CELL (2355) [email protected] Support: 877-678-TECH (8324) [email protected] Web: cellsignal.com
For Research Use Only. Not for Use in Diagnostic Procedures.

Revision 2

Cell Signaling Technology Logo
mmunohistochemical analysis of paraffin-embedded mouse endometrium using Acetyl-Histone H4 (Lys16) (E2B8W) Rabbit mAb. Data were generated using the standard formulation of this product.
Immunohistochemistry Image 12: Acetyl-Histone H4 (Lys16) (E2B8W) Rabbit Monoclonal Antibody (BSA and Azide Free)
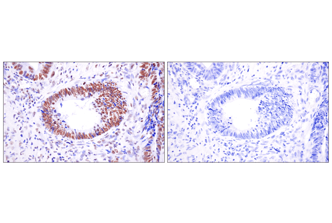
Immunohistochemical analysis of paraffin-embedded human colon carcinoma using Acetyl-Histone H4 (Lys16) (E2B8W) Rabbit mAb (left) compared to concentration-matched Rabbit (DA1E) mAb IgG XP® Isotype Control #3900 (right). Data were generated using the standard formulation of this product.
Immunohistochemistry Image 13: Acetyl-Histone H4 (Lys16) (E2B8W) Rabbit Monoclonal Antibody (BSA and Azide Free)
Immunohistochemical analysis of paraffin-embedded T-47D cell pellets, untreated (left) or treated with Trichostatin A (TSA) #9950 (1 μM, 6 hr, right), using Acetyl-Histone H4 (Lys16) (E2B8W) Rabbit mAb. Data were generated using the standard formulation of this product.
Immunohistochemistry Image 14: Acetyl-Histone H4 (Lys16) (E2B8W) Rabbit Monoclonal Antibody (BSA and Azide Free)
Orders: 877-616-CELL (2355) [email protected] Support: 877-678-TECH (8324) [email protected] Web: cellsignal.com
For Research Use Only. Not for Use in Diagnostic Procedures.

Revision 2

Cell Signaling Technology Logo
Confocal immunofluorescent analysis of HeLa cells, untreated (left) or treated with Trichostatin A (TSA) #9950 (1 μM, overnight; right) using Acetyl-Histone H4 (Lys16) (E2B8W) Rabbit mAb (green). Actin filaments were labeled with DyLight™ 554 Phalloidin #13054 (red). Data were generated using the standard formulation of this product.
Immunofluorescence Image 1: Acetyl-Histone H4 (Lys16) (E2B8W) Rabbit Monoclonal Antibody (BSA and Azide Free)
Flow cytometric analysis of HeLa cells, untreated (blue) or treated with Trichostatin A (TSA) #9950 (1 uM, Overnight; green) using Acetyl-Histone H4 (Lys16) (E2B8W) Rabbit mAb. Anti-rabbit IgG (H+L), F(ab')2 Fragment (Alexa Fluor® 488 Conjugate) #4412 was used as a secondary antibody. Data were generated using the standard formulation of this product.
Flow Cytometry Image 1: Acetyl-Histone H4 (Lys16) (E2B8W) Rabbit Monoclonal Antibody (BSA and Azide Free)
Orders: 877-616-CELL (2355) [email protected] Support: 877-678-TECH (8324) [email protected] Web: cellsignal.com
For Research Use Only. Not for Use in Diagnostic Procedures.