Revision 9

#13534

Store at -20C

CST Logo
Orders:

877-616-CELL (2355)

[email protected]

Support:

877-678-TECH (8324)

3 Trask Lane | Danvers | Massachusetts | 01923 | USA

For Research Use Only. Not for Use in Diagnostic Procedures.

Applications:
W, W-S, IP, IHC-Bond, IHC-P, IF-IC, FC-FP, ChIP

Reactivity:
H M R Mk

Sensitivity:
Endogenous

MW (kDa):
11

Source/Isotype:
Rabbit IgG

UniProt ID:
#P62805

Entrez-Gene Id:
8359

Product Usage Information

For optimal ChIP results, use 10 μl of antibody and 10 μg of chromatin (approximately 4 x 106 cells) per IP. This antibody has been validated using SimpleChIP® Enzymatic Chromatin IP Kits.
Application Dilution
Western Blotting 1:1000
Simple Western™ 1:10 - 1:50
Immunoprecipitation 1:50
IHC Leica Bond 1:50
Immunohistochemistry (Paraffin) 1:50
Immunofluorescence (Immunocytochemistry) 1:1600
Flow Cytometry (Fixed/Permeabilized) 1:400 - 1:1600
Chromatin IP 1:50

Storage

Supplied in 10 mM sodium HEPES (pH 7.5), 150 mM NaCl, 100 µg/ml BSA, 50% glycerol and less than 0.02% sodium azide. Store at –20°C. Do not aliquot the antibody.

For a carrier free (BSA and azide free) version of this product see product #37286.

Specificity/Sensitivity

Acetyl-Histone H4 (Lys16) (E2B8W) Rabbit Monoclonal Antibody recognizes endogenous levels of histone H4 protein only when acetylated at Lys16. This antibody does not cross-react with other acetylated histone proteins.

Source / Purification

Monoclonal antibody is produced by immunizing animals with a synthetic peptide corresponding to residues surrounding acetylated Lys16 of human histone H4 protein.

Background

The nucleosome, made up of four core histone proteins (H2A, H2B, H3, and H4), is the primary building block of chromatin. Originally thought to function as a static scaffold for DNA packaging, histones have now been shown to be dynamic proteins, undergoing multiple types of post-translational modifications, including acetylation, phosphorylation, methylation, and ubiquitination (1,2). Histone acetylation occurs mainly on the amino-terminal tail domains of histones H2A (Lys5), H2B (Lys5, 12, 15, and 20), H3 (Lys9, 14, 18, 23, 27, 36, and 56), and H4 (Lys5, 8, 12, and 16) and is important for the regulation of histone deposition, transcriptional activation, DNA replication, recombination, and DNA repair (1-3). Hyper-acetylation of the histone tails neutralizes the positive charge of these domains and is believed to weaken histone-DNA and nucleosome-nucleosome interactions, thereby destabilizing chromatin structure and increasing the accessibility of DNA to various DNA-binding proteins (4,5). In addition, acetylation of specific lysine residues creates docking sites for a protein module called the bromodomain, which binds to acetylated lysine residues (6). Many transcription and chromatin regulatory proteins contain bromodomains and may be recruited to gene promoters, in part, through binding of acetylated histone tails. Histone acetylation is mediated by histone acetyltransferases (HATs), such as CBP/p300, GCN5L2, PCAF, and Tip60, which are recruited to genes by DNA-bound protein factors to facilitate transcriptional activation (3). Deacetylation, which is mediated by histone deacetylases (HDAC and sirtuin proteins), reverses the effects of acetylation and generally facilitates transcriptional repression (7,8).

Species Reactivity

Species reactivity is determined by testing in at least one approved application (e.g., western blot).

Western Blot Buffer

IMPORTANT: For western blots, incubate membrane with diluted primary antibody in 5% w/v BSA, 1X TBS, 0.1% Tween® 20 at 4°C with gentle shaking, overnight.

Applications Key

W: Western Blotting W-S: Simple Western™ IP: Immunoprecipitation IHC-Bond: IHC Leica Bond IHC-P: Immunohistochemistry (Paraffin) IF-IC: Immunofluorescence (Immunocytochemistry) FC-FP: Flow Cytometry (Fixed/Permeabilized) ChIP: Chromatin IP

Cross-Reactivity Key

H: Human M: Mouse R: Rat Mk: Monkey

Trademarks and Patents

Cell Signaling Technology is a trademark of Cell Signaling Technology, Inc.

SimpleChIP is a registered trademark of Cell Signaling Technology, Inc.

All other trademarks are the property of their respective owners. Visit cellsignal.com/trademarks for more information.

Limited Uses

Except as otherwise expressly agreed in a writing signed by a legally authorized representative of CST, the following terms apply to Products provided by CST, its affiliates or its distributors. Any Customer's terms and conditions that are in addition to, or different from, those contained herein, unless separately accepted in writing by a legally authorized representative of CST, are rejected and are of no force or effect.

Products are labeled with For Research Use Only or a similar labeling statement and have not been approved, cleared, or licensed by the FDA or other regulatory foreign or domestic entity, for any purpose. Customer shall not use any Product for any diagnostic or therapeutic purpose, or otherwise in any manner that conflicts with its labeling statement. Products sold or licensed by CST are provided for Customer as the end-user and solely for research and development uses. Any use of Product for diagnostic, prophylactic or therapeutic purposes, or any purchase of Product for resale (alone or as a component) or other commercial purpose, requires a separate license from CST. Customer shall (a) not sell, license, loan, donate or otherwise transfer or make available any Product to any third party, whether alone or in combination with other materials, or use the Products to manufacture any commercial products, (b) not copy, modify, reverse engineer, decompile, disassemble or otherwise attempt to discover the underlying structure or technology of the Products, or use the Products for the purpose of developing any products or services that would compete with CST products or services, (c) not alter or remove from the Products any trademarks, trade names, logos, patent or copyright notices or markings, (d) use the Products solely in accordance with CST Product Terms of Sale and any applicable documentation, and (e) comply with any license, terms of service or similar agreement with respect to any third party products or services used by Customer in connection with the Products.

Orders: 877-616-CELL (2355) [email protected] Support: 877-678-TECH (8324) [email protected] Web: cellsignal.com
For Research Use Only. Not for Use in Diagnostic Procedures.

Revision 9

Cell Signaling Technology Logo
Western blot analysis of extracts from HeLa, C2C12, and C6 cells, untreated (-) or treated with Trichostatin A (TSA) #9950 (1 μM, 18 hr; +), using Acetyl-Histone H4 (Lys16) (E2B8W) Rabbit mAb (upper) or Histone H4 (L64C1) Mouse mAb #2935 (lower).
Western Blotting Image 1: Acetyl-Histone H4 (Lys16) (E2B8W) Rabbit Monoclonal Antibody

Simple Western™ analysis of lysates (1 mg/mL) from HeLa cells treated with Trichostatin A (1uM, 18 Hours overnight) using Acetyl-Histone H4 (Lys16) (E2B8W) Rabbit mAb #13534. The virtual lane view (left) shows the target band (as indicated) at 1:10 and 1:50 dilutions of primary antibody. The corresponding electropherogram view (right) plots chemiluminescence by molecular weight along the capillary at 1:10 (blue line) and 1:50 (green line) dilutions of primary antibody. This experiment was performed under reducing conditions on the Jess™ Simple Western instrument from ProteinSimple, a BioTechne brand, using the 12-230 kDa separation module.

Western Blotting Image 1: Acetyl-Histone H4 (Lys16) (E2B8W) Rabbit Monoclonal Antibody
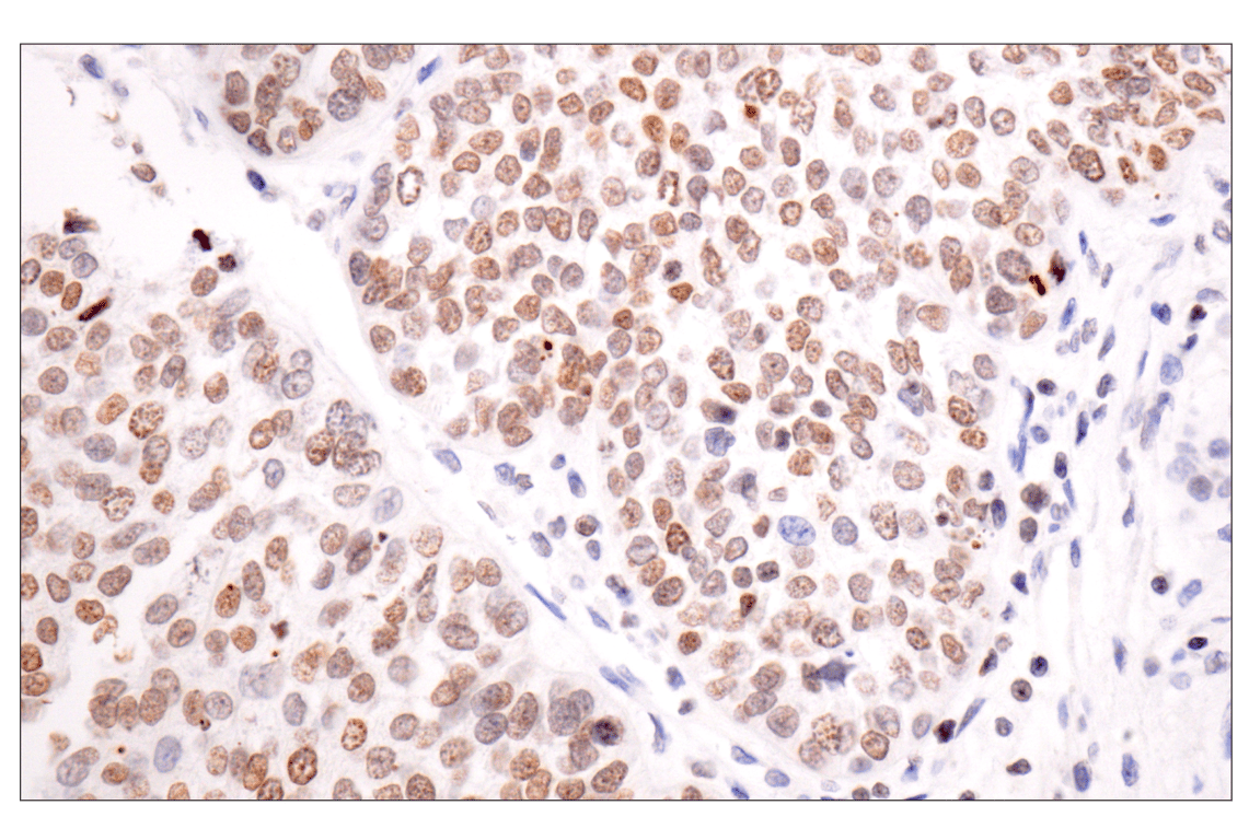
Immunohistochemical analysis of paraffin-embedded human urothelial carcinoma using Acetyl-Histone H4 (Lys16) (E2B8W) Rabbit mAb performed on the Leica BOND RX.
Immunohistochemistry Image 1: Acetyl-Histone H4 (Lys16) (E2B8W) Rabbit Monoclonal Antibody
Orders: 877-616-CELL (2355) [email protected] Support: 877-678-TECH (8324) [email protected] Web: cellsignal.com
For Research Use Only. Not for Use in Diagnostic Procedures.

Revision 9

Cell Signaling Technology Logo

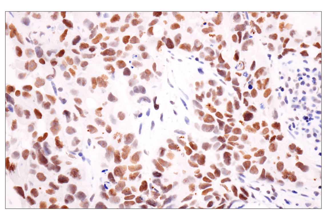
Immunohistochemical analysis of paraffin-embedded human squamous cell lung carcinoma using Acetyl-Histone H4 (Lys16) (E2B8W) Rabbit mAb performed on the Leica BOND RX.

Immunohistochemistry Image 2: Acetyl-Histone H4 (Lys16) (E2B8W) Rabbit Monoclonal Antibody

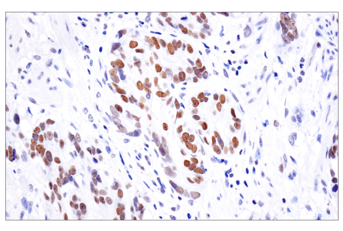
Immunohistochemical analysis of paraffin-embedded human colon carcinoma using Acetyl-Histone H4 (Lys16) (E2B8W) Rabbit mAb performed on the Leica BOND RX.

Immunohistochemistry Image 3: Acetyl-Histone H4 (Lys16) (E2B8W) Rabbit Monoclonal Antibody

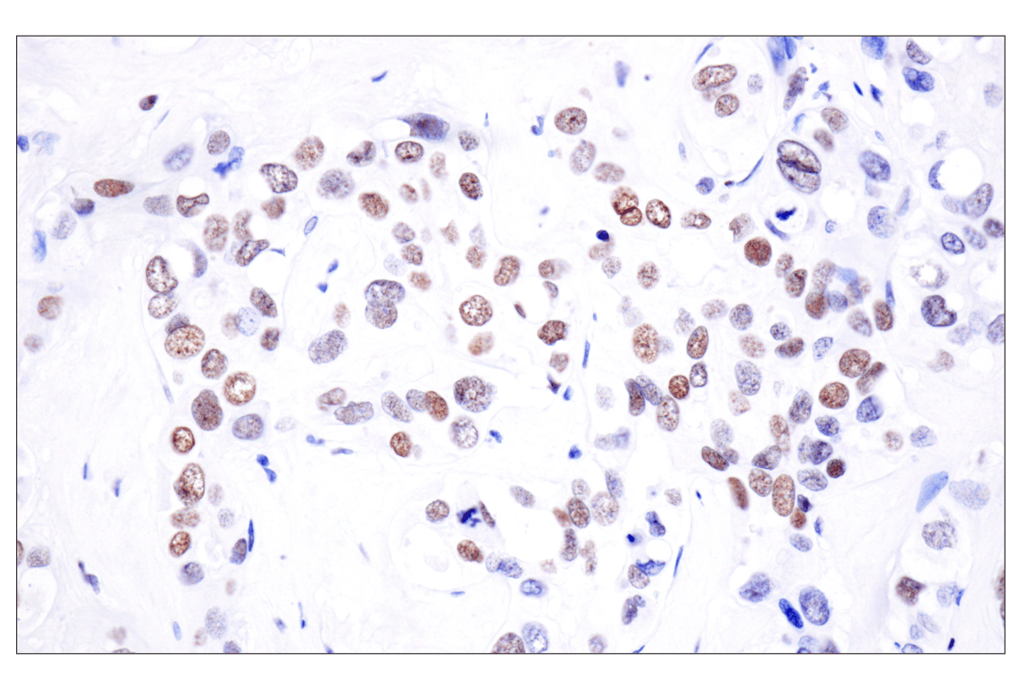
Immunohistochemical analysis of paraffin-embedded human esophageal carcinoma using Acetyl-Histone H4 (Lys16) (E2B8W) Rabbit mAb.

Immunohistochemistry Image 1: Acetyl-Histone H4 (Lys16) (E2B8W) Rabbit Monoclonal Antibody
Orders: 877-616-CELL (2355) [email protected] Support: 877-678-TECH (8324) [email protected] Web: cellsignal.com
For Research Use Only. Not for Use in Diagnostic Procedures.

Revision 9

Cell Signaling Technology Logo

Immunohistochemical analysis of paraffin-embedded human colon carcinoma using Acetyl-Histone H4 (Lys16) (E2B8W) Rabbit mAb.

Immunohistochemistry Image 2: Acetyl-Histone H4 (Lys16) (E2B8W) Rabbit Monoclonal Antibody
Immunohistochemical analysis of paraffin-embedded human ductal breast carcinoma using Acetyl-Histone H4 (Lys16) (E2B8W) Rabbit mAb.
Immunohistochemistry Image 3: Acetyl-Histone H4 (Lys16) (E2B8W) Rabbit Monoclonal Antibody
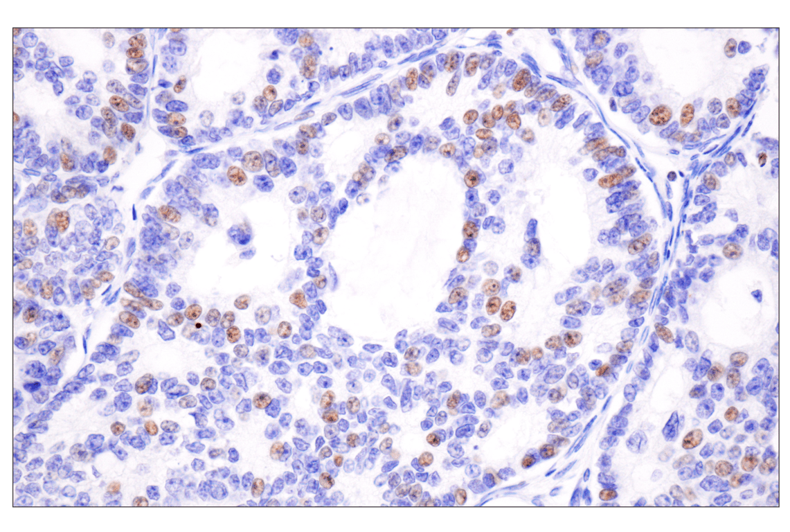
Immunohistochemical analysis of paraffin-embedded human prostate carcinoma using Acetyl-Histone H4 (Lys16) (E2B8W) Rabbit mAb.
Immunohistochemistry Image 4: Acetyl-Histone H4 (Lys16) (E2B8W) Rabbit Monoclonal Antibody
Orders: 877-616-CELL (2355) [email protected] Support: 877-678-TECH (8324) [email protected] Web: cellsignal.com
For Research Use Only. Not for Use in Diagnostic Procedures.

Revision 9

Cell Signaling Technology Logo
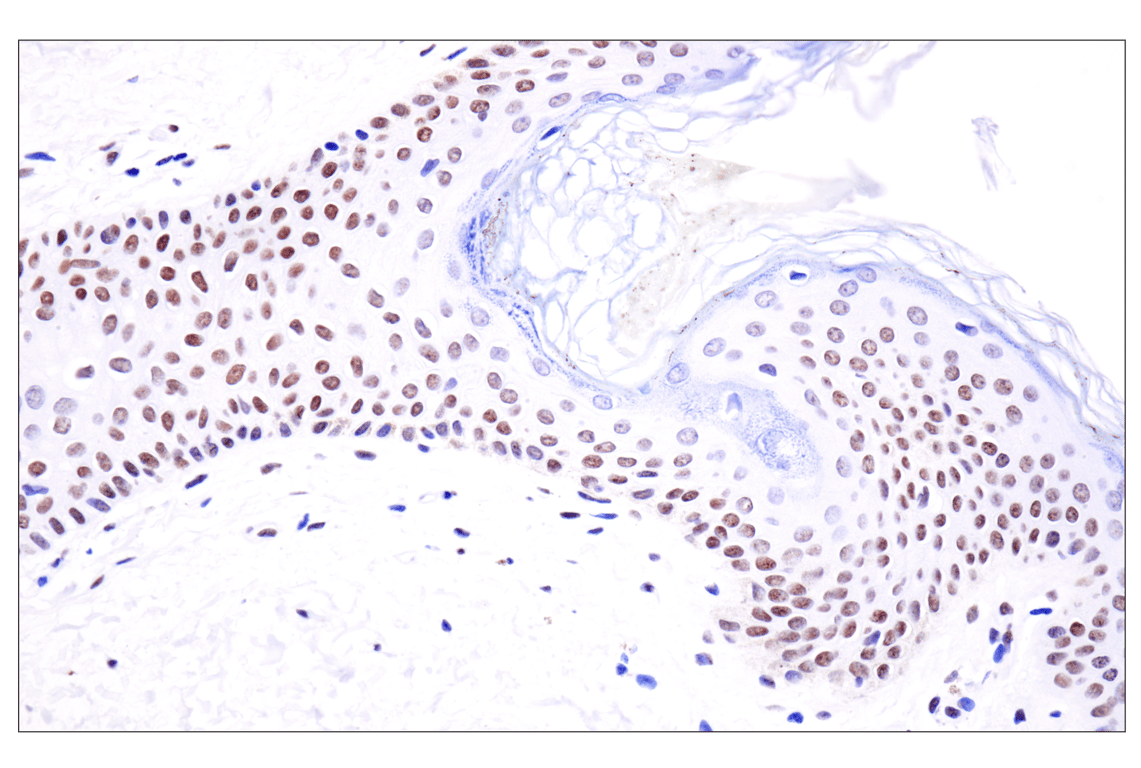
Immunohistochemical analysis of paraffin-embedded normal human skin using Acetyl-Histone H4 (Lys16) (E2B8W) Rabbit mAb.
Immunohistochemistry Image 5: Acetyl-Histone H4 (Lys16) (E2B8W) Rabbit Monoclonal Antibody
Immunohistochemical analysis of paraffin-embedded normal human spleen using Acetyl-Histone H4 (Lys16) (E2B8W) Rabbit mAb.
Immunohistochemistry Image 6: Acetyl-Histone H4 (Lys16) (E2B8W) Rabbit Monoclonal Antibody
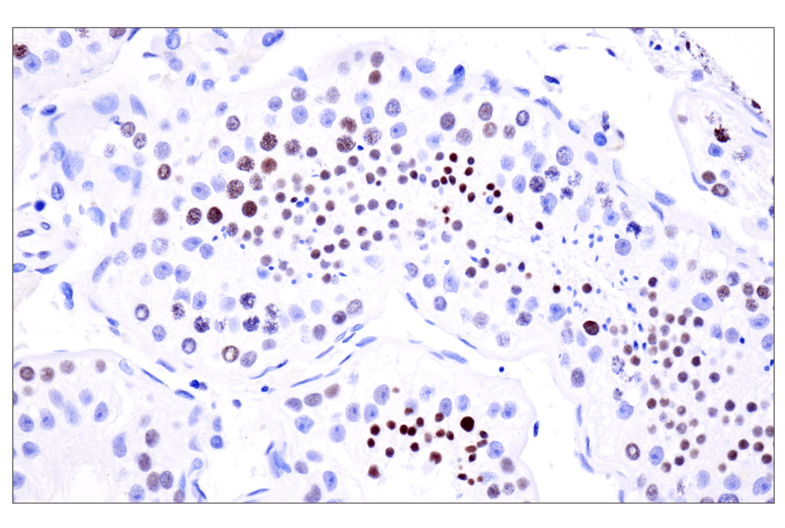
Immunohistochemical analysis of paraffin-embedded normal human testis using Acetyl-Histone H4 (Lys16) (E2B8W) Rabbit mAb.
Immunohistochemistry Image 7: Acetyl-Histone H4 (Lys16) (E2B8W) Rabbit Monoclonal Antibody
Orders: 877-616-CELL (2355) [email protected] Support: 877-678-TECH (8324) [email protected] Web: cellsignal.com
For Research Use Only. Not for Use in Diagnostic Procedures.

Revision 9

Cell Signaling Technology Logo
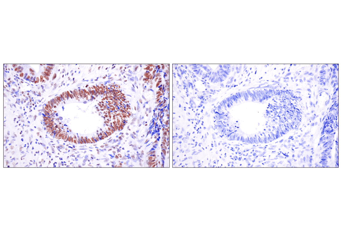
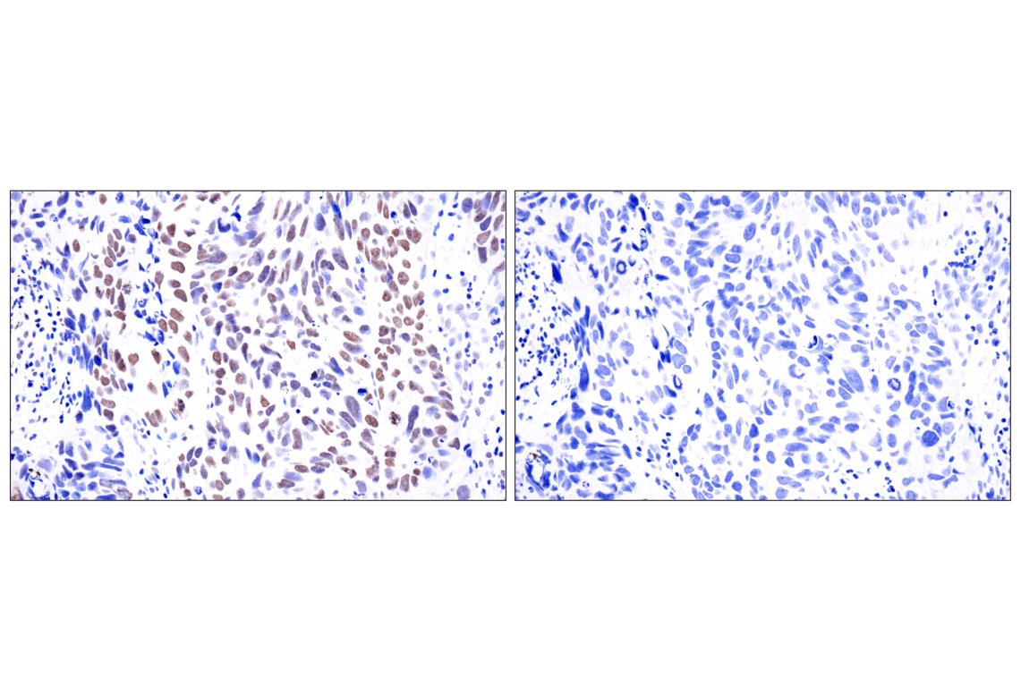
Immunohistochemical analysis of paraffin-embedded human urothelial carcinoma using Acetyl-Histone H4 (Lys16) (E2B8W) Rabbit mAb in the presence of non-acetyl-peptide (left) or K16 acetyl-peptide (right).
Immunohistochemistry Image 8: Acetyl-Histone H4 (Lys16) (E2B8W) Rabbit Monoclonal Antibody
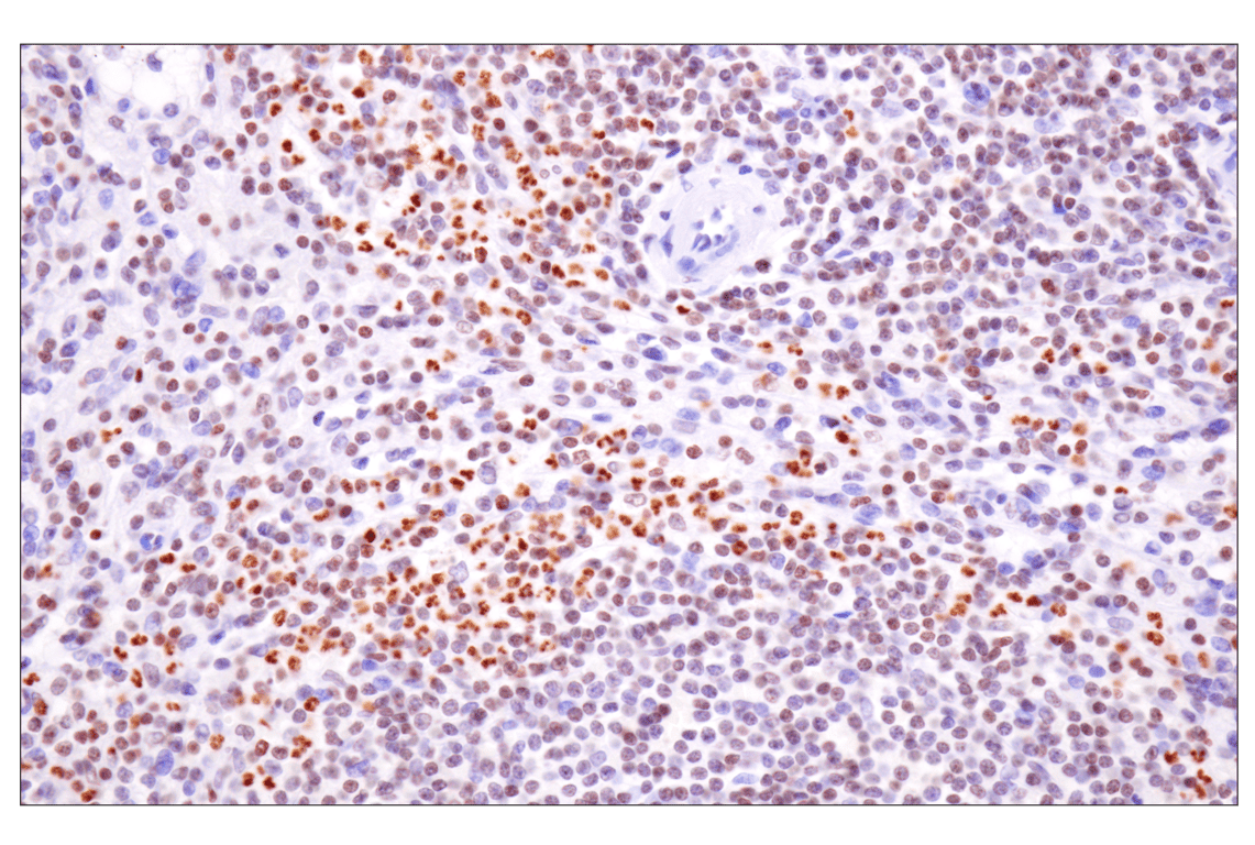
Immunohistochemical analysis of paraffin-embedded A20 syngeneic tumor using Acetyl-Histone H4 (Lys16) (E2B8W) Rabbit mAb.
Immunohistochemistry Image 9: Acetyl-Histone H4 (Lys16) (E2B8W) Rabbit Monoclonal Antibody
Immunohistochemical analysis of paraffin-embedded mouse colon using Acetyl-Histone H4 (Lys16) (E2B8W) Rabbit mAb.
Immunohistochemistry Image 10: Acetyl-Histone H4 (Lys16) (E2B8W) Rabbit Monoclonal Antibody
Orders: 877-616-CELL (2355) [email protected] Support: 877-678-TECH (8324) [email protected] Web: cellsignal.com
For Research Use Only. Not for Use in Diagnostic Procedures.

Revision 9

Cell Signaling Technology Logo
Immunohistochemical analysis of paraffin-embedded mouse testis using Acetyl-Histone H4 (Lys16) (E2B8W) Rabbit mAb.
Immunohistochemistry Image 11: Acetyl-Histone H4 (Lys16) (E2B8W) Rabbit Monoclonal Antibody
Immunohistochemical analysis of paraffin-embedded mouse endometrium using Acetyl-Histone H4 (Lys16) (E2B8W) Rabbit mAb.
Immunohistochemistry Image 12: Acetyl-Histone H4 (Lys16) (E2B8W) Rabbit Monoclonal Antibody
Immunohistochemical analysis of paraffin-embedded human colon carcinoma using Acetyl-Histone H4 (Lys16) (E2B8W) Rabbit mAb (left) compared to concentration-matched Rabbit (DA1E) mAb IgG XP® Isotype Control #3900 (right).
Immunohistochemistry Image 13: Acetyl-Histone H4 (Lys16) (E2B8W) Rabbit Monoclonal Antibody
Orders: 877-616-CELL (2355) [email protected] Support: 877-678-TECH (8324) [email protected] Web: cellsignal.com
For Research Use Only. Not for Use in Diagnostic Procedures.

Revision 9

Cell Signaling Technology Logo
Immunohistochemical analysis of paraffin-embedded T-47D cell pellets, untreated (left) or treated with Trichostatin A (TSA) #9950 (1 μM, 6 hr, right), using Acetyl-Histone H4 (Lys16) (E2B8W) Rabbit mAb.
Immunohistochemistry Image 14: Acetyl-Histone H4 (Lys16) (E2B8W) Rabbit Monoclonal Antibody
Confocal immunofluorescent analysis of HeLa cells, untreated (left) or treated with Trichostatin A (TSA) #9950 (1 μM, overnight; right) using Acetyl-Histone H4 (Lys16) (E2B8W) Rabbit mAb (green). Actin filaments were labeled with DyLight™ 554 Phalloidin #13054 (red).
Immunofluorescence Image 1: Acetyl-Histone H4 (Lys16) (E2B8W) Rabbit Monoclonal Antibody
Flow cytometric analysis of HeLa cells, untreated (blue) or treated with Trichostatin A (TSA) #9950 (1 uM, Overnight; green) using Acetyl-Histone H4 (Lys16) (E2B8W) Rabbit mAb. Anti-rabbit IgG (H+L), F(ab')2 Fragment (Alexa Fluor® 488 Conjugate) #4412 was used as a secondary antibody.
Flow Cytometry Image 1: Acetyl-Histone H4 (Lys16) (E2B8W) Rabbit Monoclonal Antibody
Orders: 877-616-CELL (2355) [email protected] Support: 877-678-TECH (8324) [email protected] Web: cellsignal.com
For Research Use Only. Not for Use in Diagnostic Procedures.

Revision 9

Cell Signaling Technology Logo
Chromatin immunoprecipitations were performed with cross-linked chromatin from HeLa cells and either Acetyl-Histone H4 (Lys16) (E2B8W) Rabbit mAb or Normal Rabbit IgG #2729 using SimpleChIP® Enzymatic Chromatin IP Kit (Magnetic Beads) #9003. The enriched DNA was quantified by real-time PCR using SimpleChIP® Human GAPDH Exon 1 Primers, SimpleChIP® Human RPL30 Exon 3 Primers #7014, and SimpleChIP® Human α Satellite Repeat Primers #4486. The amount of immunoprecipitated DNA in each sample is represented as signal relative to the total amount of input chromatin, which is equivalent to one.
Chromatin Immunoprecipitation Image 1: Acetyl-Histone H4 (Lys16) (E2B8W) Rabbit Monoclonal Antibody
Orders: 877-616-CELL (2355) [email protected] Support: 877-678-TECH (8324) [email protected] Web: cellsignal.com
For Research Use Only. Not for Use in Diagnostic Procedures.