Revision 7

#9441

Store at -20C

CST Logo
Orders:

877-616-CELL (2355)

[email protected]

Support:

877-678-TECH (8324)

3 Trask Lane | Danvers | Massachusetts | 01923 | USA

For Research Use Only. Not for Use in Diagnostic Procedures.

Applications:
W, IP, IHC-P, IF-IC, ChIP, E-P

Reactivity:
All

Sensitivity:
Endogenous

Source/Isotype:
Rabbit

Product Usage Information

For optimal ChIP results, use 10 μl of antibody and 10 μg of chromatin (approximately 4 x 106 cells) per IP. This antibody has been validated using SimpleChIP® Enzymatic Chromatin IP Kits.
Application Dilution
Western Blotting 1:1000
Immunoprecipitation 1:100
Immunohistochemistry (Paraffin) 1:300 - 1:1200
Immunofluorescence (Immunocytochemistry) 1:100 - 1:400
Chromatin IP 1:25
Peptide ELISA (DELFIA) 1:2000

Storage

Supplied in 10 mM sodium HEPES (pH 7.5), 150 mM NaCl, 100 µg/ml BSA and 50% glycerol. Store at –20°C. Do not aliquot the antibody.

Specificity/Sensitivity

Acetylated-Lysine Antibody detects proteins posttranslationally modified by acetylation on the epsilon-amine groups of lysine residues. This antibody recognizes acetylated lysine in a wide range of sequence contexts. This antibody has been demonstrated to recognize acetylated histones, p53, CBP, PCAF and chemically acetylated BSA. This antibody has been shown to react with as little as 0.04 ng of chemically acetylated BSA while not recognizing up to 25 µg of nonacetylated BSA.

Source / Purification

Polyclonal antibodies are produced by immunizing animals with a synthetic acetylated lysine-containing peptide. Antibodies are purified by protein A and peptide affinity chromatography.

Background

Acetylation of lysine, like phosphorylation of serine, threonine or tyrosine, is an important reversible modification controlling protein activity. The conserved amino-terminal domains of the four core histones (H2A, H2B, H3, and H4) contain lysines that are acetylated by histone acetyltransferases (HATs) and deacetylated by histone deacetylases (HDACs) (1). Signaling resulting in acetylation/deacetylation of histones, transcription factors, and other proteins affects a diverse array of cellular processes including chromatin structure and gene activity, cell growth, differentiation, and apoptosis (2-6). Recent proteomic surveys suggest that acetylation of lysine residues may be a widespread and important form of post-translational protein modification that affects thousands of proteins involved in control of cell cycle and metabolism, longevity, actin polymerization, and nuclear transport (7,8). The regulation of protein acetylation status is impaired in cancer and polyglutamine diseases (9), and HDACs have become promising targets for anti-cancer drugs currently in development (10).

Species Reactivity

Species reactivity is determined by testing in at least one approved application (e.g., western blot).

Western Blot Buffer

IMPORTANT: For western blots, incubate membrane with diluted primary antibody in 5% w/v BSA, 1X TBS, 0.1% Tween® 20 at 4°C with gentle shaking, overnight.

Applications Key

W: Western Blotting IP: Immunoprecipitation IHC-P: Immunohistochemistry (Paraffin) IF-IC: Immunofluorescence (Immunocytochemistry) ChIP: Chromatin IP E-P: Peptide ELISA (DELFIA)

Cross-Reactivity Key

All: All Species Expected

Trademarks and Patents

Cell Signaling Technology is a trademark of Cell Signaling Technology, Inc.

Alexa Fluor is a registered trademark of Life Technologies Corporation.

All other trademarks are the property of their respective owners. Visit cellsignal.com/trademarks for more information.

Limited Uses

Except as otherwise expressly agreed in a writing signed by a legally authorized representative of CST, the following terms apply to Products provided by CST, its affiliates or its distributors. Any Customer's terms and conditions that are in addition to, or different from, those contained herein, unless separately accepted in writing by a legally authorized representative of CST, are rejected and are of no force or effect.

Products are labeled with For Research Use Only or a similar labeling statement and have not been approved, cleared, or licensed by the FDA or other regulatory foreign or domestic entity, for any purpose. Customer shall not use any Product for any diagnostic or therapeutic purpose, or otherwise in any manner that conflicts with its labeling statement. Products sold or licensed by CST are provided for Customer as the end-user and solely for research and development uses. Any use of Product for diagnostic, prophylactic or therapeutic purposes, or any purchase of Product for resale (alone or as a component) or other commercial purpose, requires a separate license from CST. Customer shall (a) not sell, license, loan, donate or otherwise transfer or make available any Product to any third party, whether alone or in combination with other materials, or use the Products to manufacture any commercial products, (b) not copy, modify, reverse engineer, decompile, disassemble or otherwise attempt to discover the underlying structure or technology of the Products, or use the Products for the purpose of developing any products or services that would compete with CST products or services, (c) not alter or remove from the Products any trademarks, trade names, logos, patent or copyright notices or markings, (d) use the Products solely in accordance with CST Product Terms of Sale and any applicable documentation, and (e) comply with any license, terms of service or similar agreement with respect to any third party products or services used by Customer in connection with the Products.

Orders: 877-616-CELL (2355) [email protected] Support: 877-678-TECH (8324) [email protected] Web: cellsignal.com
For Research Use Only. Not for Use in Diagnostic Procedures.

Revision 7

Cell Signaling Technology Logo
Western blot analysis of extracts from COS cells, untreated or TSA-treated, grown in 10% FBS (lanes 1 and 2) or serum starved for 18 hours (lanes 3 and 4), using Acetylated-Lysine Antibody (upper) or p44/42 MAP Kinase Antibody #9102 (lower).
Western Blotting Image 1: Acetylated-Lysine Antibody
Specificity and sensitivity of Acetylated-Lysine Antibody assayed on acetylated BSA (4; 1; 0.2; 0.04 or 0.008 ng in lanes 1-5) or nonacetylated BSA (25,000; 5,000; 1,000 or 200 ng in lanes 6-9).
Western Blotting Image 2: Acetylated-Lysine Antibody
Immunoprecipitation of proteins containing acetylated-lysine from Hela cells treated with TSA (1uM, 18hrs). Lane 1 is 10% input, lane 2 is Normal Rabbit IgG #2729, and lane 3 is Acetylated-Lysine Antibody #9441. Western blot analysis was performed using Acetyl-Histone H3 (Lys27) (D5E4) XP® Rabbit mAb #8173. Anti-rabbit IgG, HRP-linked Antibody #7074 was used as a secondary antibody.
Immunoprecipitation Image 1: Acetylated-Lysine Antibody
Orders: 877-616-CELL (2355) [email protected] Support: 877-678-TECH (8324) [email protected] Web: cellsignal.com
For Research Use Only. Not for Use in Diagnostic Procedures.

Revision 7

Cell Signaling Technology Logo
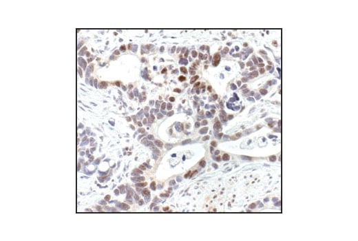
Immunohistochemical analysis of paraffin-embedded human colon carcinoma using Acetylated-Lysine Antibody.
Immunohistochemistry Image 1: Acetylated-Lysine Antibody
Immunohistochemical staining of a paraffin-embedded human breast tumor section showing nuclear and cytoplasmic localization of proteins with acetylated lysine residues using Acetylated-Lysine Antibody.
Immunohistochemistry Image 2: Acetylated-Lysine Antibody
Immunohistochemical analysis of paraffin-embedded NIH/3T3 untreated (left) or TSA-treated (right) using Acetylated-Lysine Antibody.
Immunohistochemistry Image 3: Acetylated-Lysine Antibody
Orders: 877-616-CELL (2355) [email protected] Support: 877-678-TECH (8324) [email protected] Web: cellsignal.com
For Research Use Only. Not for Use in Diagnostic Procedures.

Revision 7

Cell Signaling Technology Logo
Confocal immunofluorescent analysis of NIH/3T3 cells, untreated (left) or SAHA-treated (right), labeled with Acetylated-Lysine Antibody (green). Actin filaments have been labeled with Alexa Fluor R 555 phalloidin (red). Blue pseudocolor = DRAQ5® #4084 (fluorescent DNA dye).
Immunofluorescence Image 1: Acetylated-Lysine Antibody
Chromatin immunoprecipitations were performed with cross-linked chromatin from HeLa cells and either Acetylated-Lysine Antibody or Normal Rabbit IgG #2729, using SimpleChIP® Enzymatic Chromatin IP Kit (Agarose Beads) #9002. The enriched DNA was quantified by real-time PCR, using SimpleChIP® Human GAPDH Exon 1 Primers #5516, SimpleChIP® Human RPL30 Exon 3 Primers #7014, SimpleChIP® Human MyoD1 Exon 1 Primers #4490, and SimpleChIP® Human MYT-1 Exon 1 Primers #4493. The amount of immunoprecipitated DNA in each sample is represented as signal relative to the total amount of input chromatin, which is equivalent to one.
Chromatin Immunoprecipitation Image 1: Acetylated-Lysine Antibody
Orders: 877-616-CELL (2355) [email protected] Support: 877-678-TECH (8324) [email protected] Web: cellsignal.com
For Research Use Only. Not for Use in Diagnostic Procedures.