Revision 4

#81284

Store at -20C

CST Logo
Orders:

877-616-CELL (2355)

[email protected]

Support:

877-678-TECH (8324)

3 Trask Lane | Danvers | Massachusetts | 01923 | USA

For Research Use Only. Not for Use in Diagnostic Procedures.

Applications:
W, IP, IHC-P, IF-IC, FC-FP

Reactivity:
H Mk

Sensitivity:
Endogenous

MW (kDa):
110, 150

Source/Isotype:
Rabbit IgG

UniProt ID:
#P55265

Entrez-Gene Id:
103

Product Usage Information

Application Dilution
Western Blotting 1:1000
Immunoprecipitation 1:50
Immunohistochemistry (Paraffin) 1:100 - 1:400
Immunofluorescence (Immunocytochemistry) 1:800 - 1:1600
Flow Cytometry (Fixed/Permeabilized) 1:100 - 1:400

Storage

Supplied in 10 mM sodium HEPES (pH 7.5), 150 mM NaCl, 100 µg/ml BSA, 50% glycerol and less than 0.02% sodium azide. Store at –20°C. Do not aliquot the antibody.

For a carrier free (BSA and azide free) version of this product see product #95404.

Specificity/Sensitivity

ADAR1 (E6X9R) Rabbit Monoclonal Antibody recognizes endogenous levels of total ADAR1 protein.

Source / Purification

Monoclonal antibody is produced by immunizing animals with a synthetic peptide corresponding to residues surrounding Leu419 of human ADAR1 protein.

Background

Post-transcriptional processing of RNAs, such as RNA editing, is an important mechanism by which diversity in RNA and protein is achieved that is not otherwise encoded by the genome (1,2). The most common form of RNA editing is the conversion of adenosine (A) into inosine (I) on double-stranded RNA by the adenosine deaminase acting on RNA (ADAR) family of proteins (1-3). Since inosine base pairs with cytidine, it is interpreted as a guanosine by the splicing and translational machinery, leading to alteration in the protein sequence, as well as generation of splicing isoforms (1,4-6). A-to-I editing can also influence RNA sequence recognition by RNA-binding proteins and non-coding RNA, such as miRNAs, affecting subsequent RNA processing, stability, and protein expression levels (2).

ADAR1 is ubiquitously expressed with two known isoforms, ADAR1L (p150) and ADAR1S (p110), resulting from transcription using alternative promoters and start codons. ADAR1S is constitutively expressed in the nucleus, while ADAR1L is interferon-inducible and present in both the nucleus and the cytoplasm. The induction of ADAR1L in response to cellular stress and viral infection suggests a role for RNA editing in the innate immune response (1,7). In addition, ADAR1 is essential in mammalian development, particularly in hematopoiesis and suppression of interferon signaling to protect hematopoietic stem cells from destruction in fetal liver and adult bone marrow (8,9).

Species Reactivity

Species reactivity is determined by testing in at least one approved application (e.g., western blot).

Western Blot Buffer

IMPORTANT: For western blots, incubate membrane with diluted primary antibody in 5% w/v BSA, 1X TBS, 0.1% Tween® 20 at 4°C with gentle shaking, overnight.

Applications Key

W: Western Blotting IP: Immunoprecipitation IHC-P: Immunohistochemistry (Paraffin) IF-IC: Immunofluorescence (Immunocytochemistry) FC-FP: Flow Cytometry (Fixed/Permeabilized)

Cross-Reactivity Key

H: Human Mk: Monkey

Trademarks and Patents

Cell Signaling Technology is a trademark of Cell Signaling Technology, Inc.

Alexa Fluor is a registered trademark of Life Technologies Corporation.

All other trademarks are the property of their respective owners. Visit cellsignal.com/trademarks for more information.

Limited Uses

Except as otherwise expressly agreed in a writing signed by a legally authorized representative of CST, the following terms apply to Products provided by CST, its affiliates or its distributors. Any Customer's terms and conditions that are in addition to, or different from, those contained herein, unless separately accepted in writing by a legally authorized representative of CST, are rejected and are of no force or effect.

Products are labeled with For Research Use Only or a similar labeling statement and have not been approved, cleared, or licensed by the FDA or other regulatory foreign or domestic entity, for any purpose. Customer shall not use any Product for any diagnostic or therapeutic purpose, or otherwise in any manner that conflicts with its labeling statement. Products sold or licensed by CST are provided for Customer as the end-user and solely for research and development uses. Any use of Product for diagnostic, prophylactic or therapeutic purposes, or any purchase of Product for resale (alone or as a component) or other commercial purpose, requires a separate license from CST. Customer shall (a) not sell, license, loan, donate or otherwise transfer or make available any Product to any third party, whether alone or in combination with other materials, or use the Products to manufacture any commercial products, (b) not copy, modify, reverse engineer, decompile, disassemble or otherwise attempt to discover the underlying structure or technology of the Products, or use the Products for the purpose of developing any products or services that would compete with CST products or services, (c) not alter or remove from the Products any trademarks, trade names, logos, patent or copyright notices or markings, (d) use the Products solely in accordance with CST Product Terms of Sale and any applicable documentation, and (e) comply with any license, terms of service or similar agreement with respect to any third party products or services used by Customer in connection with the Products.

Orders: 877-616-CELL (2355) [email protected] Support: 877-678-TECH (8324) [email protected] Web: cellsignal.com
For Research Use Only. Not for Use in Diagnostic Procedures.

Revision 4

Cell Signaling Technology Logo
Western blot analysis of extracts from various cell lines using ADAR1 (E6X9R) XP® Rabbit mAb (upper) and β-Actin (D6A8) Rabbit mAb #8457 (lower). As expected, the HCT 116 ADAR1 knockout (KO) cells do not show expression of ADAR1.
Western Blotting Image 1: ADAR1 (E6X9R) Rabbit Monoclonal Antibody
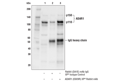
Immunoprecipitation of ADAR1 from HCT 116 cell extracts. Lane 1 is 10% input, lane 2 is Rabbit (DA1E) mAb IgG XP® Isotype Control #3900, and lane 3 is ADAR1 (E6X9R) XP® Rabbit mAb. Western blot analysis was performed using ADAR1 (E6X9R) XP® Rabbit mAb.
Immunoprecipitation Image 1: ADAR1 (E6X9R) Rabbit Monoclonal Antibody
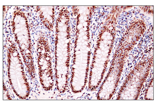
Immunohistochemical analysis of paraffin-embedded human appendix using ADAR1 (E6X9R) XP® Rabbit mAb.
Immunohistochemistry Image 1: ADAR1 (E6X9R) Rabbit Monoclonal Antibody
Orders: 877-616-CELL (2355) [email protected] Support: 877-678-TECH (8324) [email protected] Web: cellsignal.com
For Research Use Only. Not for Use in Diagnostic Procedures.

Revision 4

Cell Signaling Technology Logo
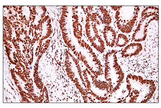
Immunohistochemical analysis of paraffin-embedded human colon carcinoma using ADAR1 (E6X9R) XP® Rabbit mAb.
Immunohistochemistry Image 2: ADAR1 (E6X9R) Rabbit Monoclonal Antibody
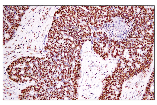
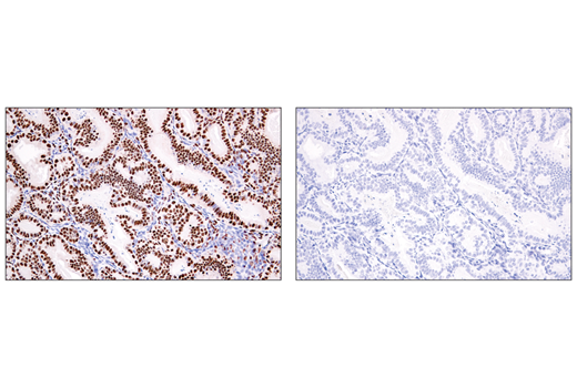
Immunohistochemical analysis of paraffin-embedded human endometrioid adenocarcinoma using ADAR1 (E6X9R) XP® Rabbit mAb (left) compared to concentration-matched Rabbit (DA1E) mAb IgG XP® Isotype Control #3900 (right).
Immunohistochemistry Image 3: ADAR1 (E6X9R) Rabbit Monoclonal Antibody
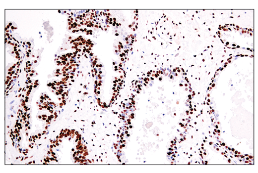
Immunohistochemical analysis of paraffin-embedded human lung adenocarcinoma using ADAR1 (E6X9R) XP® Rabbit mAb.
Immunohistochemistry Image 4: ADAR1 (E6X9R) Rabbit Monoclonal Antibody
Orders: 877-616-CELL (2355) [email protected] Support: 877-678-TECH (8324) [email protected] Web: cellsignal.com
For Research Use Only. Not for Use in Diagnostic Procedures.

Revision 4

Cell Signaling Technology Logo
Immunohistochemical analysis of paraffin-embedded HCT 116 cell pellet, wild-type (left, positive) or ADAR1 knockout (right, low-expressing), using ADAR1 (E6X9R) XP® Rabbit mAb.
Immunohistochemistry Image 5: ADAR1 (E6X9R) Rabbit Monoclonal Antibody
Immunohistochemical analysis of paraffin-embedded normal human prostate using ADAR1 (E6X9R) XP® Rabbit mAb.
Immunohistochemistry Image 6: ADAR1 (E6X9R) Rabbit Monoclonal Antibody
Confocal immunofluorescent analysis of HCT 116 cells, either wild-type (left, positive) or ADAR1 knockout (right, negative), using ADAR1 (E6X9R) XP® Rabbit mAb (green). Actin filaments were labeled with DyLight™ 650 Phalloidin #12956 (red).
Immunofluorescence Image 1: ADAR1 (E6X9R) Rabbit Monoclonal Antibody
Orders: 877-616-CELL (2355) [email protected] Support: 877-678-TECH (8324) [email protected] Web: cellsignal.com
For Research Use Only. Not for Use in Diagnostic Procedures.

Revision 4

Cell Signaling Technology Logo
Flow cytometric analysis of HCT 116 cells, wild-type (green) or ADAR1 knockout (blue), using ADAR1 (E6X9R) XP® Rabbit mAb (solid lines) or a concentration-matched Rabbit (DA1E) mAb IgG XP® Isotype Control #3900 (dashed lines). Anti-rabbit IgG (H+L), F(ab')2 Fragment (Alexa Fluor® 488 Conjugate) #4412 was used as a secondary antibody.
Flow Cytometry Image 1: ADAR1 (E6X9R) Rabbit Monoclonal Antibody
Orders: 877-616-CELL (2355) [email protected] Support: 877-678-TECH (8324) [email protected] Web: cellsignal.com
For Research Use Only. Not for Use in Diagnostic Procedures.