Revision 4

#72107

Store at -20C

CST Logo
Orders:

877-616-CELL (2355)

[email protected]

Support:

877-678-TECH (8324)

3 Trask Lane | Danvers | Massachusetts | 01923 | USA

For Research Use Only. Not for Use in Diagnostic Procedures.

Applications:
W, IP, IHC-P

Reactivity:
H

Sensitivity:
Endogenous

MW (kDa):
150

Source/Isotype:
Rabbit IgG

UniProt ID:
#P55265

Entrez-Gene Id:
103

Product Usage Information

Application Dilution
Western Blotting 1:1000
Immunoprecipitation 1:100
Immunohistochemistry (Paraffin) 1:50 - 1:200

Storage

Supplied in 10 mM sodium HEPES (pH 7.5), 150 mM NaCl, 100 µg/mL BSA, 50% glycerol, and less than 0.02% sodium azide. Store at –20°C. Do not aliquot the antibody.

For a carrier free (BSA and azide free) version of this product see product #47864.

Specificity/Sensitivity

ADAR1 p150 Isoform (E6U1U) Rabbit Monoclonal Antibody recognizes endogenous levels of total ADAR1 p150 protein. This antibody does not detect ADAR1 p110 protein.

Source / Purification

Monoclonal antibody is produced by immunizing animals with a synthetic peptide corresponding to residues surrounding Gly58 of human ADAR1 protein.

Background

Post-transcriptional processing of RNAs, such as RNA editing, is an important mechanism by which diversity in RNA and protein is achieved that is not otherwise encoded by the genome (1,2). The most common form of RNA editing is the conversion of adenosine (A) into inosine (I) on double-stranded RNA by the adenosine deaminase acting on RNA (ADAR) family of proteins (1-3). Since inosine base pairs with cytidine, it is interpreted as a guanosine by the splicing and translational machinery, leading to alteration in the protein sequence, as well as generation of splicing isoforms (1,4-6). A-to-I editing can also influence RNA sequence recognition by RNA-binding proteins and non-coding RNA, such as miRNAs, affecting subsequent RNA processing, stability, and protein expression levels (2).

ADAR1 is ubiquitously expressed with two known isoforms, ADAR1L (p150) and ADAR1S (p110), resulting from transcription using alternative promoters and start codons. ADAR1S is constitutively expressed in the nucleus, while ADAR1L is interferon-inducible and present in both the nucleus and the cytoplasm. The induction of ADAR1L in response to cellular stress and viral infection suggests a role for RNA editing in the innate immune response (1,7). In addition, ADAR1 is essential in mammalian development, particularly in hematopoiesis and suppression of interferon signaling to protect hematopoietic stem cells from destruction in fetal liver and adult bone marrow (8,9).

Species Reactivity

Species reactivity is determined by testing in at least one approved application (e.g., western blot).

Western Blot Buffer

IMPORTANT: For western blots, incubate membrane with diluted primary antibody in 5% w/v BSA, 1X TBS, 0.1% Tween® 20 at 4°C with gentle shaking, overnight.

Applications Key

W: Western Blotting IP: Immunoprecipitation IHC-P: Immunohistochemistry (Paraffin)

Cross-Reactivity Key

H: Human

Trademarks and Patents

Cell Signaling Technology is a trademark of Cell Signaling Technology, Inc.

All other trademarks are the property of their respective owners. Visit cellsignal.com/trademarks for more information.

Limited Uses

Except as otherwise expressly agreed in a writing signed by a legally authorized representative of CST, the following terms apply to Products provided by CST, its affiliates or its distributors. Any Customer's terms and conditions that are in addition to, or different from, those contained herein, unless separately accepted in writing by a legally authorized representative of CST, are rejected and are of no force or effect.

Products are labeled with For Research Use Only or a similar labeling statement and have not been approved, cleared, or licensed by the FDA or other regulatory foreign or domestic entity, for any purpose. Customer shall not use any Product for any diagnostic or therapeutic purpose, or otherwise in any manner that conflicts with its labeling statement. Products sold or licensed by CST are provided for Customer as the end-user and solely for research and development uses. Any use of Product for diagnostic, prophylactic or therapeutic purposes, or any purchase of Product for resale (alone or as a component) or other commercial purpose, requires a separate license from CST. Customer shall (a) not sell, license, loan, donate or otherwise transfer or make available any Product to any third party, whether alone or in combination with other materials, or use the Products to manufacture any commercial products, (b) not copy, modify, reverse engineer, decompile, disassemble or otherwise attempt to discover the underlying structure or technology of the Products, or use the Products for the purpose of developing any products or services that would compete with CST products or services, (c) not alter or remove from the Products any trademarks, trade names, logos, patent or copyright notices or markings, (d) use the Products solely in accordance with CST Product Terms of Sale and any applicable documentation, and (e) comply with any license, terms of service or similar agreement with respect to any third party products or services used by Customer in connection with the Products.

Orders: 877-616-CELL (2355) [email protected] Support: 877-678-TECH (8324) [email protected] Web: cellsignal.com
For Research Use Only. Not for Use in Diagnostic Procedures.

Revision 4

Cell Signaling Technology Logo
Western blot analysis of extracts from control HCT 116 cells (lane 1) or CRISPR/Cas9 ADAR1 knockout (KO) HCT 116 cells (lane 2) using ADAR1 p150 Isoform (E6U1U) Rabbit mAb (upper), ADAR1 (E6X9R) XP® Rabbit mAb #81284 (middle), or α-Actinin (D6F6) XP® Rabbit mAb #6487 (lower).
Western Blotting Image 1: ADAR1 p150 Isoform (E6U1U) Rabbit Monoclonal Antibody
Western blot analysis of extracts from HeLa cells, untreated (-) or treated with Universal Type 1 IFN protein (hIFN-type 1) (1,000 U/mL; +), using ADAR1 p150 Isoform (E6U1U) Rabbit mAb (upper), ADAR1 (E6X9R) XP® Rabbit mAb #81284 (middle), or GAPDH (D16H11) XP® Rabbit mAb #5174 (lower).
Western Blotting Image 2: ADAR1 p150 Isoform (E6U1U) Rabbit Monoclonal Antibody
Western blot analysis of extracts from NTERA-2 cl.D1, HeLa, and KMS-11 cells using ADAR1 p150 Isoform (E6U1U) Rabbit mAb.
Western Blotting Image 3: ADAR1 p150 Isoform (E6U1U) Rabbit Monoclonal Antibody
Orders: 877-616-CELL (2355) [email protected] Support: 877-678-TECH (8324) [email protected] Web: cellsignal.com
For Research Use Only. Not for Use in Diagnostic Procedures.

Revision 4

Cell Signaling Technology Logo
Immunoprecipitation of ADAR1 p150 protein from HCT 116 cell extracts. Lane 1 is 10% input, lane 2 is Rabbit (DA1E) mAb IgG XP® Isotype Control #3900, and lane 3 is ADAR1 p150 Isoform (E6U1U) Rabbit mAb. Western blot analysis was performed using ADAR1 p150 Isoform (E6U1U) Rabbit mAb. Anti-rabbit IgG, HRP-linked Antibody #7074 was used as a secondary antibody.
Immunoprecipitation Image 1: ADAR1 p150 Isoform (E6U1U) Rabbit Monoclonal Antibody
Immunohistochemical analysis of paraffin-embedded human endometrioid adenocarcinoma using ADAR1 p150 Isoform (E6U1U) Rabbit mAb.
Immunohistochemistry Image 1: ADAR1 p150 Isoform (E6U1U) Rabbit Monoclonal Antibody
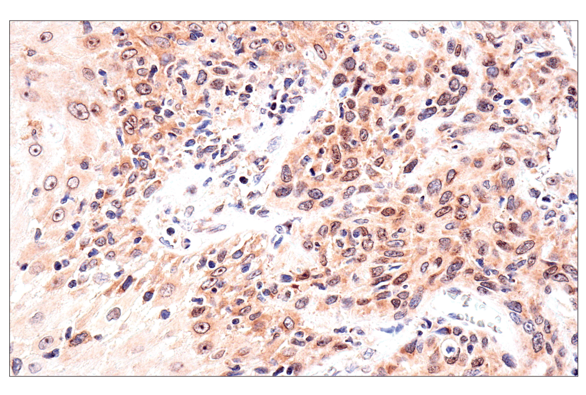
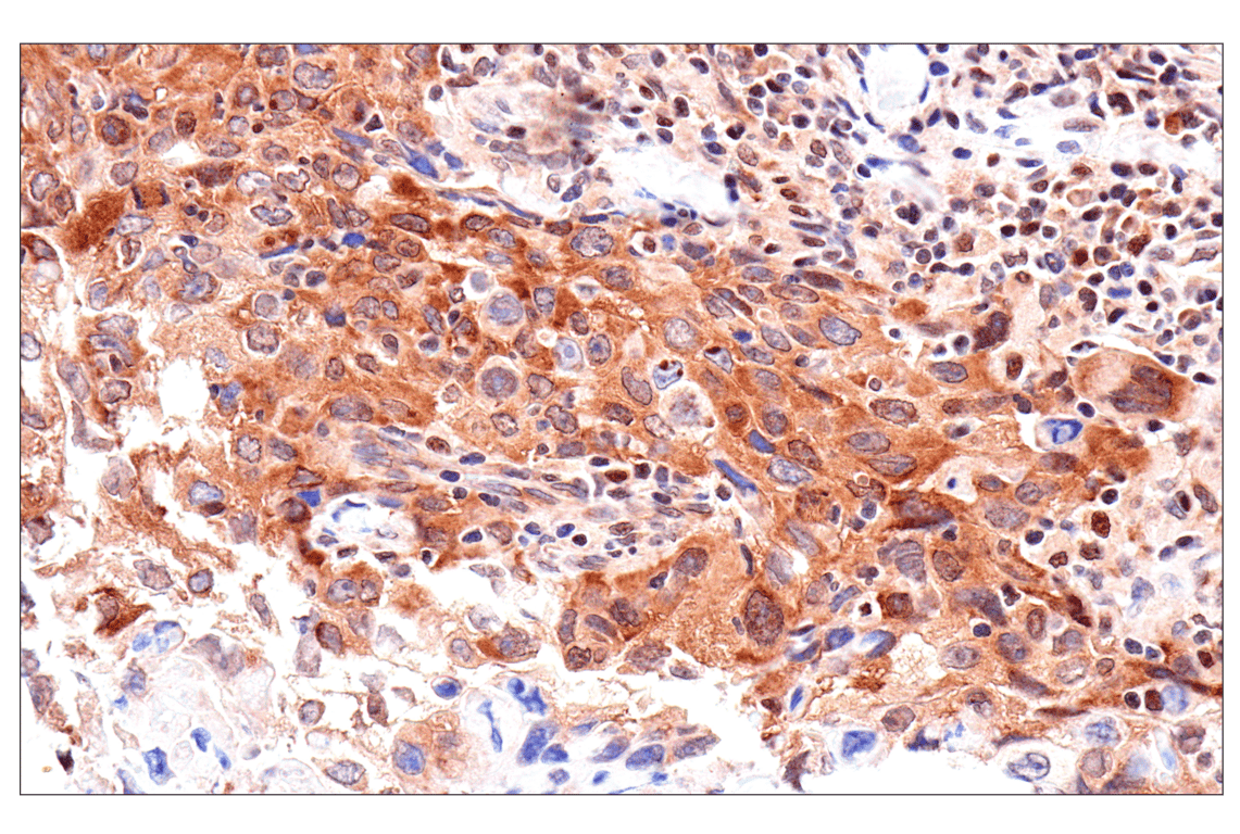
Immunohistochemical analysis of paraffin-embedded human oropharyngeal squamous cell carcinoma using ADAR1 p150 Isoform (E6U1U) Rabbit mAb.
Immunohistochemistry Image 2: ADAR1 p150 Isoform (E6U1U) Rabbit Monoclonal Antibody
Orders: 877-616-CELL (2355) [email protected] Support: 877-678-TECH (8324) [email protected] Web: cellsignal.com
For Research Use Only. Not for Use in Diagnostic Procedures.

Revision 4

Cell Signaling Technology Logo
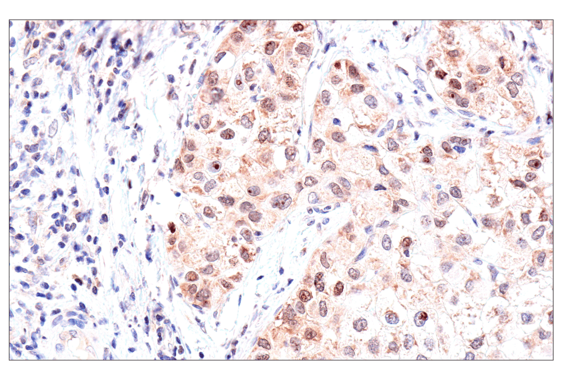
Immunohistochemical analysis of paraffin-embedded human hepatocellular carcinoma using ADAR1 p150 Isoform (E6U1U) Rabbit mAb.
Immunohistochemistry Image 3: ADAR1 p150 Isoform (E6U1U) Rabbit Monoclonal Antibody
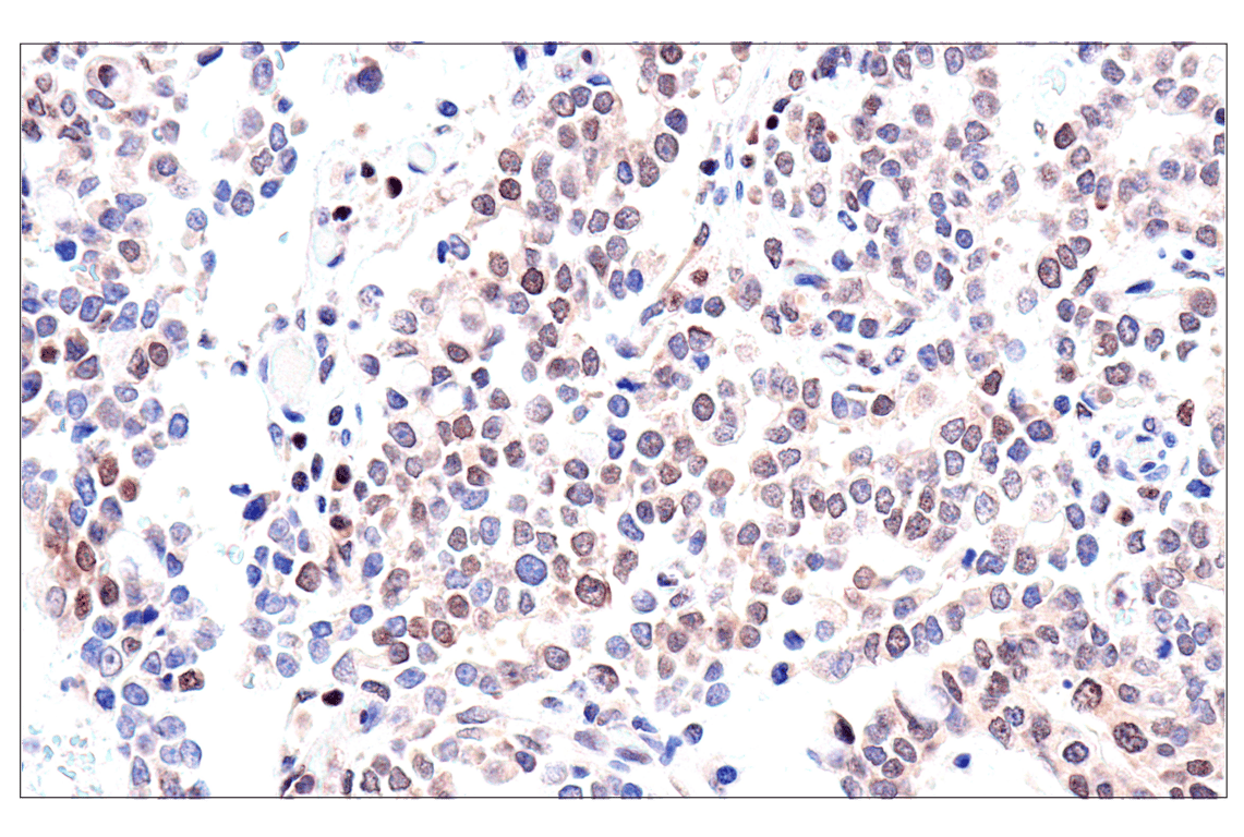
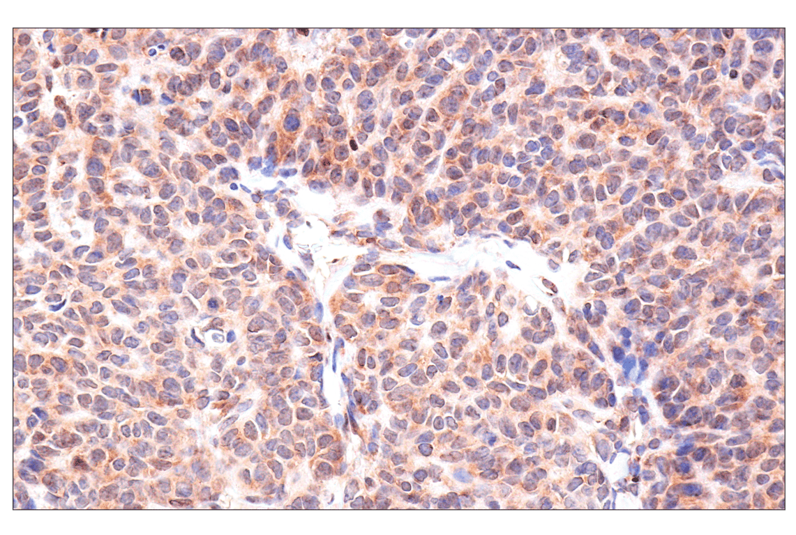
Immunohistochemical analysis of paraffin-embedded human urothelial carcinoma using ADAR1 p150 Isoform (E6U1U) Rabbit mAb.
Immunohistochemistry Image 4: ADAR1 p150 Isoform (E6U1U) Rabbit Monoclonal Antibody
Immunohistochemical analysis of paraffin-embedded human granulosa cell tumor of the ovary using ADAR1 p150 Isoform (E6U1U) Rabbit mAb.
Immunohistochemistry Image 5: ADAR1 p150 Isoform (E6U1U) Rabbit Monoclonal Antibody
Orders: 877-616-CELL (2355) [email protected] Support: 877-678-TECH (8324) [email protected] Web: cellsignal.com
For Research Use Only. Not for Use in Diagnostic Procedures.

Revision 4

Cell Signaling Technology Logo
Immunohistochemical analysis of paraffin-embedded human esophageal adenocarcinoma using ADAR1 p150 Isoform (E6U1U) Rabbit mAb.
Immunohistochemistry Image 6: ADAR1 p150 Isoform (E6U1U) Rabbit Monoclonal Antibody
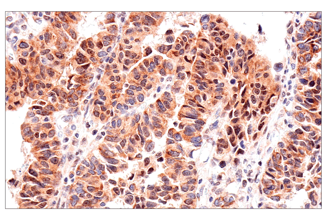
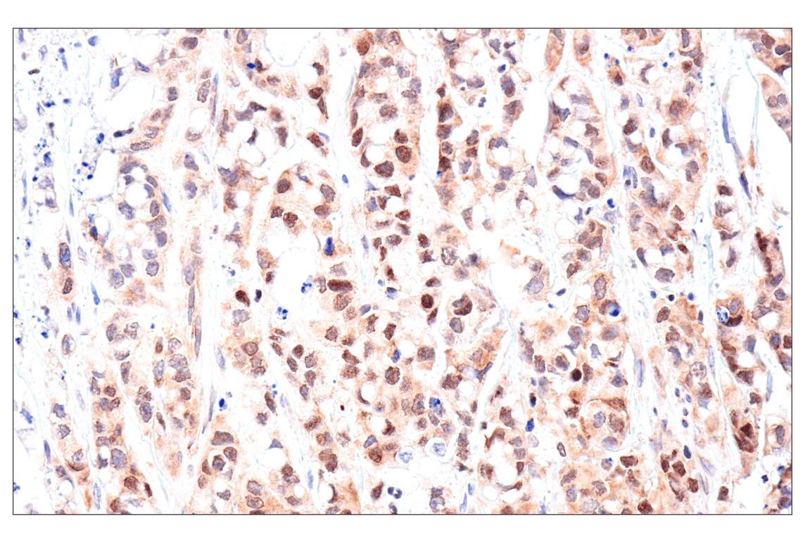
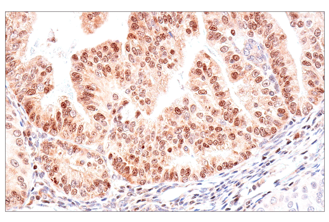
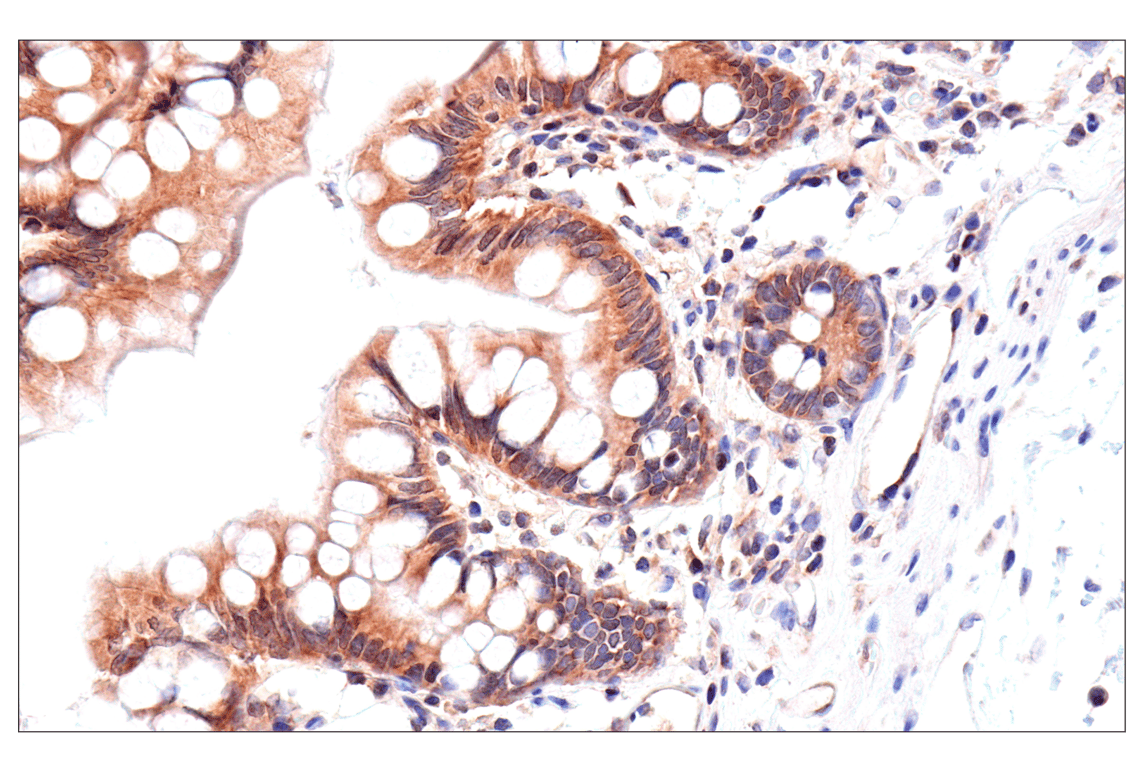
Immunohistochemical analysis of paraffin-embedded human colon adenocarcinoma using ADAR1 p150 Isoform (E6U1U) Rabbit mAb.
Immunohistochemistry Image 7: ADAR1 p150 Isoform (E6U1U) Rabbit Monoclonal Antibody
Immunohistochemical analysis of paraffin-embedded human squamous cell carcinoma of the skin using ADAR1 p150 Isoform (E6U1U) Rabbit mAb.
Immunohistochemistry Image 8: ADAR1 p150 Isoform (E6U1U) Rabbit Monoclonal Antibody
Orders: 877-616-CELL (2355) [email protected] Support: 877-678-TECH (8324) [email protected] Web: cellsignal.com
For Research Use Only. Not for Use in Diagnostic Procedures.

Revision 4

Cell Signaling Technology Logo
Immunohistochemical analysis of paraffin-embedded normal human small intestine using ADAR1 p150 Isoform (E6U1U) Rabbit mAb.
Immunohistochemistry Image 9: ADAR1 p150 Isoform (E6U1U) Rabbit Monoclonal Antibody
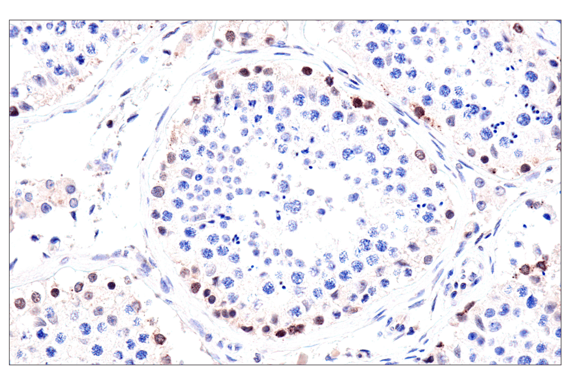
Immunohistochemical analysis of paraffin-embedded normal human testis using ADAR1 p150 Isoform (E6U1U) Rabbit mAb.
Immunohistochemistry Image 10: ADAR1 p150 Isoform (E6U1U) Rabbit Monoclonal Antibody
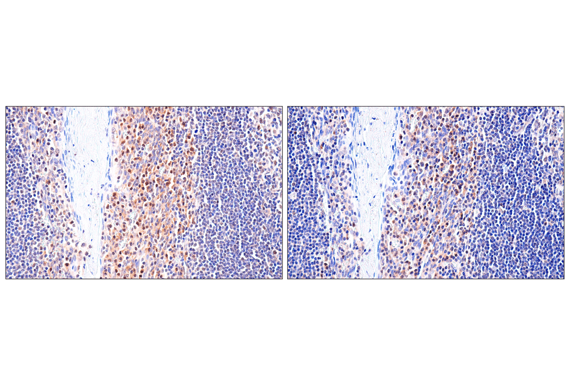
Immunohistochemical analysis of paraffin-embedded human tonsil using ADAR1 p150 Isoform (E6U1U) Rabbit mAb (left) or an ADAR p150 Isoform Rabbit mAb (right). These two antibodies detect unique, non-overlapping epitopes on human ADAR1 p150 Isoform. The similar staining patterns obtained with both antibodies help to confirm the specificity of the staining. 
Immunohistochemistry Image 11: ADAR1 p150 Isoform (E6U1U) Rabbit Monoclonal Antibody
Orders: 877-616-CELL (2355) [email protected] Support: 877-678-TECH (8324) [email protected] Web: cellsignal.com
For Research Use Only. Not for Use in Diagnostic Procedures.

Revision 4

Cell Signaling Technology Logo
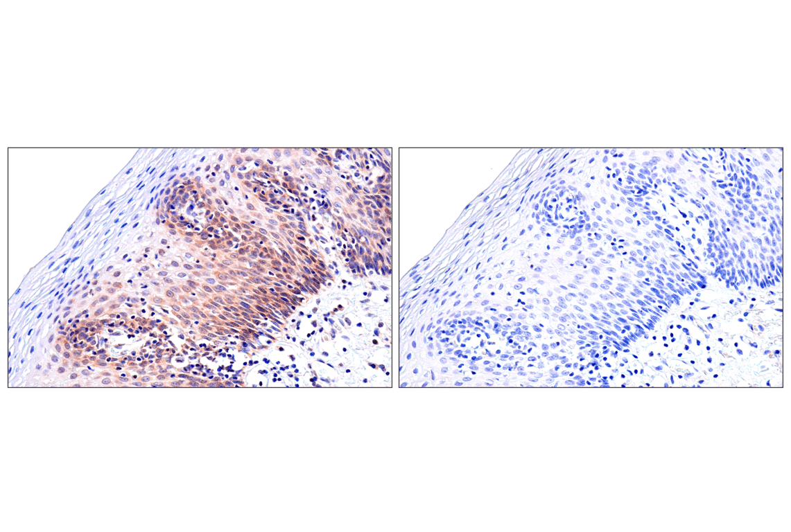
Immunohistochemical analysis of paraffin-embedded normal human esophagus using ADAR1 p150 Isoform (E6U1U) Rabbit mAb (left) compared to concentration-matched Rabbit (DA1E) mAb IgG XP® Isotype Control #3900 (right).
Immunohistochemistry Image 12: ADAR1 p150 Isoform (E6U1U) Rabbit Monoclonal Antibody
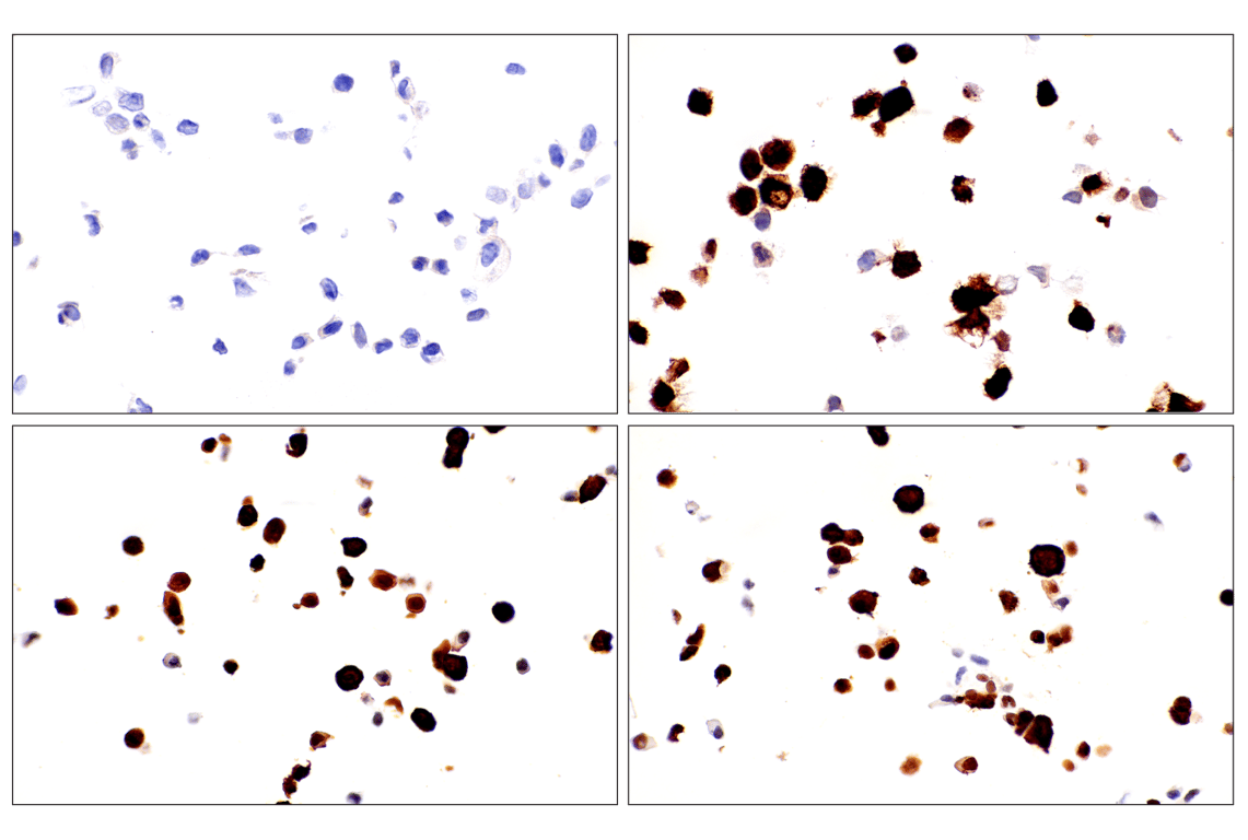
Immunohistochemical analysis of paraffin-embedded CRISPR/Cas9 ADAR1 knockout (KO) HCT 116 cell pellet, ADAR1 p110 Isoform-transfected (left) or ADAR1 p150 Isoform-transfected (right), using ADAR1 p150 Isoform (E6U1U) Rabbit mAb (top) or ADAR1 (E6X9R) XP® Rabbit mAb #81284 (bottom).
Immunohistochemistry Image 13: ADAR1 p150 Isoform (E6U1U) Rabbit Monoclonal Antibody
Immunohistochemical analysis of paraffin-embedded HCT 116 cell pellets, control (left, positive) or CRISPR/Cas9 ADAR1 knockout (KO) (right, negative), using ADAR1 p150 Isoform (E6U1U) Rabbit mAb.
Immunohistochemistry Image 14: ADAR1 p150 Isoform (E6U1U) Rabbit Monoclonal Antibody
Orders: 877-616-CELL (2355) [email protected] Support: 877-678-TECH (8324) [email protected] Web: cellsignal.com
For Research Use Only. Not for Use in Diagnostic Procedures.

Revision 4

Cell Signaling Technology Logo
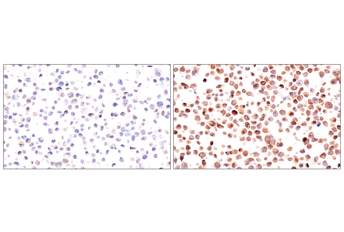
Immunohistochemical analysis of paraffin-embedded HeLa cell pellets, untreated (left) or treated with Universal Type 1 IFN (1,000 U/mL, 24 hr; right), using ADAR1 p150 Isoform (E6U1U) Rabbit mAb.
Immunohistochemistry Image 15: ADAR1 p150 Isoform (E6U1U) Rabbit Monoclonal Antibody
Orders: 877-616-CELL (2355) [email protected] Support: 877-678-TECH (8324) [email protected] Web: cellsignal.com
For Research Use Only. Not for Use in Diagnostic Procedures.