Revision 3

#13062

Store at -20C

CST Logo
Orders:

877-616-CELL (2355)

[email protected]

Support:

877-678-TECH (8324)

3 Trask Lane | Danvers | Massachusetts | 01923 | USA

For Research Use Only. Not for Use in Diagnostic Procedures.

Applications:
W, IHC-P, IF-IC, FC-FP

Reactivity:
H

Sensitivity:
Endogenous

MW (kDa):
18

Source/Isotype:
Rabbit IgG

UniProt ID:
#O95994

Entrez-Gene Id:
10551

Product Usage Information

Application Dilution
Western Blotting 1:1000
Immunohistochemistry (Paraffin) 1:800
Immunofluorescence (Immunocytochemistry) 1:100
Flow Cytometry (Fixed/Permeabilized) 1:50

Storage

Supplied in 10 mM sodium HEPES (pH 7.5), 150 mM NaCl, 100 µg/ml BSA, 50% glycerol and less than 0.02% sodium azide. Store at –20°C. Do not aliquot the antibody.

For a carrier free (BSA and azide free) version of this product see product #86533.

Specificity/Sensitivity

AGR2 (D9V2F) Rabbit Monoclonal Antibody recognizes endogenous levels of total AGR2 protein.

Species predicted to react based on 100% sequence homology

Monkey, Xenopus

Source / Purification

Monoclonal antibody is produced by immunizing animals with a synthetic peptide corresponding to residues surrounding Ala29 of human AGR2 protein.

Background

Anterior gradient homolog 2 (AGR2) is a member of the protein disulfide isomerase (PDI) family of proteins and a homolog of the Xenopus laevis cement gland protein (1). In normal human tissues, AGR2 is expressed most abundantly in intestinal cells. Research studies have found AGR2 is overexpressed in a number of adenocarcinomas, including those derived from breast, pancreas, ovary, prostate and esophagus (2-4). In vitro and in vivo studies have shown that AGR2 positively regulates cell growth and division, while its overexpression can promote cell transformation (5,6). The latter functions of AGR2 were shown to involve YAP1-mediated up-regulation of amphiregulin expression, implicating AGR2 in both the EGF and Hippo kinase signaling pathways (6).

Species Reactivity

Species reactivity is determined by testing in at least one approved application (e.g., western blot).

Western Blot Buffer

IMPORTANT: For western blots, incubate membrane with diluted primary antibody in 5% w/v nonfat dry milk, 1X TBS, 0.1% Tween® 20 at 4°C with gentle shaking, overnight.

Applications Key

W: Western Blotting IHC-P: Immunohistochemistry (Paraffin) IF-IC: Immunofluorescence (Immunocytochemistry) FC-FP: Flow Cytometry (Fixed/Permeabilized)

Cross-Reactivity Key

H: Human

Trademarks and Patents

Cell Signaling Technology is a trademark of Cell Signaling Technology, Inc.

Alexa Fluor is a registered trademark of Life Technologies Corporation.

All other trademarks are the property of their respective owners. Visit cellsignal.com/trademarks for more information.

Limited Uses

Except as otherwise expressly agreed in a writing signed by a legally authorized representative of CST, the following terms apply to Products provided by CST, its affiliates or its distributors. Any Customer's terms and conditions that are in addition to, or different from, those contained herein, unless separately accepted in writing by a legally authorized representative of CST, are rejected and are of no force or effect.

Products are labeled with For Research Use Only or a similar labeling statement and have not been approved, cleared, or licensed by the FDA or other regulatory foreign or domestic entity, for any purpose. Customer shall not use any Product for any diagnostic or therapeutic purpose, or otherwise in any manner that conflicts with its labeling statement. Products sold or licensed by CST are provided for Customer as the end-user and solely for research and development uses. Any use of Product for diagnostic, prophylactic or therapeutic purposes, or any purchase of Product for resale (alone or as a component) or other commercial purpose, requires a separate license from CST. Customer shall (a) not sell, license, loan, donate or otherwise transfer or make available any Product to any third party, whether alone or in combination with other materials, or use the Products to manufacture any commercial products, (b) not copy, modify, reverse engineer, decompile, disassemble or otherwise attempt to discover the underlying structure or technology of the Products, or use the Products for the purpose of developing any products or services that would compete with CST products or services, (c) not alter or remove from the Products any trademarks, trade names, logos, patent or copyright notices or markings, (d) use the Products solely in accordance with CST Product Terms of Sale and any applicable documentation, and (e) comply with any license, terms of service or similar agreement with respect to any third party products or services used by Customer in connection with the Products.

Orders: 877-616-CELL (2355) [email protected] Support: 877-678-TECH (8324) [email protected] Web: cellsignal.com
For Research Use Only. Not for Use in Diagnostic Procedures.

Revision 3

Cell Signaling Technology Logo
Western blot analysis of extracts from various cell lines using AGR2 (D9V2F) XP® Rabbit mAb (upper) and β-Actin (D6A8) Rabbit mAb #8457 (lower).
Western Blotting Image 1: AGR2 (D9V2F) Rabbit Monoclonal Antibody
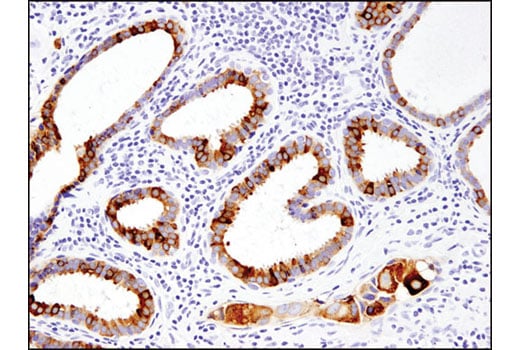
Immunohistochemical analysis of paraffin-embedded human breast adenocarcinoma using AGR2 (D9V2F) XP® Rabbit mAb.
Immunohistochemistry Image 1: AGR2 (D9V2F) Rabbit Monoclonal Antibody
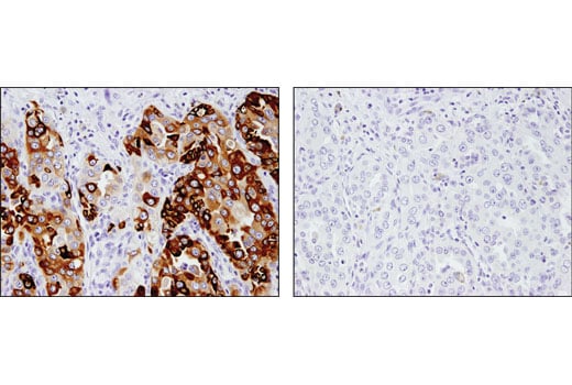
Immunohistochemical analysis of paraffin-embedded human non-small cell lung carcinoma using AGR2 (D9V2F) XP® Rabbit mAb in the presence of control peptide (left) and antigen-specific peptide (right).
Immunohistochemistry Image 2: AGR2 (D9V2F) Rabbit Monoclonal Antibody
Orders: 877-616-CELL (2355) [email protected] Support: 877-678-TECH (8324) [email protected] Web: cellsignal.com
For Research Use Only. Not for Use in Diagnostic Procedures.

Revision 3

Cell Signaling Technology Logo
Confocal immunofluorescent analysis of MCF7 cells (positive, left) and IGROV-1 cells (negative, right) using AGR2 (D9V2F) XP® Rabbit mAb (green) and β-Actin (8H10D10) Mouse mAb #3700 (red). Blue pseudocolor= DRAQ5® #4084 (fluorescent DNA dye).
Immunofluorescence Image 1: AGR2 (D9V2F) Rabbit Monoclonal Antibody
Flow cytometric analysis of HeLa (blue) and MCF7 (green) cells using AGR2 (D9V2F) XP® Rabbit mAb. Anti-rabbit IgG (H+L), F(ab')2 Fragment (Alexa Fluor® 647 Conjugate) #4414 was used as a secondary antibody.
Flow Cytometry Image 1: AGR2 (D9V2F) Rabbit Monoclonal Antibody
Orders: 877-616-CELL (2355) [email protected] Support: 877-678-TECH (8324) [email protected] Web: cellsignal.com
For Research Use Only. Not for Use in Diagnostic Procedures.