Revision 3

#97279

Store at -20C

CST Logo
Orders:

877-616-CELL (2355)

[email protected]

Support:

877-678-TECH (8324)

3 Trask Lane | Danvers | Massachusetts | 01923 | USA

For Research Use Only. Not for Use in Diagnostic Procedures.

Applications:
W, IHC-P, IF-F, IF-IC, FC-FP

Reactivity:
H M

Sensitivity:
Endogenous

MW (kDa):
50,58,65

Source/Isotype:
Rabbit IgG

UniProt ID:
#Q9UKT9

Entrez-Gene Id:
22806

Product Usage Information

This product is the carrier free version of product #15103. All data were generated using the same antibody clone in the standard formulation which contains BSA and glycerol.

This formulation is ideal for use with technologies requiring specialized or custom antibody labeling, including fluorophores, metals, lanthanides, and oligonucleotides. It is not recommended for ChIP, ChIP-seq, CUT&RUN or CUT&Tag assays. If you require a carrier free formulation for chromatin profiling, please contact us. Optimal dilutions/concentrations should be determined by the end user.

BSA and Azide Free antibodies are quality control tested by size exclusion chromatography (SEC) to determine antibody integrity.

Formulation

Supplied in 1X PBS (10 mM Na2HPO4, 3 mM KCl, 2 mM KH2PO4, and 140 mM NaCl (pH 7.8)). BSA and Azide Free.

For standard formulation of this product see product #15103.

Storage

Store at -20°C. This product will freeze at -20°C so it is recommended to aliquot into single-use vials to avoid multiple freeze/thaw cycles. A slight precipitate may be present and can be dissolved by gently vortexing. This will not interfere with antibody performance.

Specificity/Sensitivity

Aiolos (D1C1E) Rabbit Monoclonal Antibody (BSA and Azide Free) recognizes endogenous levels of total Aiolos protein.

Source / Purification

Monoclonal antibody is produced by immunizing animals with a synthetic peptide corresponding to residues surrounding Pro46 of human Aiolos protein.

Background

Aiolos is an Ikaros family transcription factor composed of several zinc fingers that mediate DNA binding and homodimerization or heterodimerization with other Ikaros family members (1). Multiple Aiolos isoforms are generated through alternative splicing of the portion of the transcript encoding the amino-terminal zinc fingers (2). Aiolos is expressed by lymphoid tissues, with highest expression levels seen in mature B and T cells (1). Ikaros family proteins control lymphocyte development by recruiting chromatin remodeling complexes to DNA (3). B cells from mice lacking Aiolos have a reduced threshold for activation, increased proliferation, and elevated levels of IgG and IgE. In addition, Aiolos mice develop B cell lymphomas (4). In T cells, Aiolos contributes to Th17 cell differentiation by suppressing IL-2 expression (5). Aberrant expression of Aiolos in transformed epithelial cells promotes anchorage independence through downregulation of adhesion-related genes (6). Alterations in the Aiolos gene are observed in near haploid acute lymphoblastic leukemia, and the genetic locus containing Aiolos is linked to increased susceptibility to rheumatoid arthritis and systemic lupus erythematosus (7-9).

Species Reactivity

Species reactivity is determined by testing in at least one approved application (e.g., western blot).

Applications Key

W: Western Blotting IHC-P: Immunohistochemistry (Paraffin) IF-F: Immunofluorescence (Frozen) IF-IC: Immunofluorescence (Immunocytochemistry) FC-FP: Flow Cytometry (Fixed/Permeabilized)

Cross-Reactivity Key

H: Human M: Mouse

Trademarks and Patents

Cell Signaling Technology is a trademark of Cell Signaling Technology, Inc.

Alexa Fluor is a registered trademark of Life Technologies Corporation.

All other trademarks are the property of their respective owners. Visit cellsignal.com/trademarks for more information.

Limited Uses

Except as otherwise expressly agreed in a writing signed by a legally authorized representative of CST, the following terms apply to Products provided by CST, its affiliates or its distributors. Any Customer's terms and conditions that are in addition to, or different from, those contained herein, unless separately accepted in writing by a legally authorized representative of CST, are rejected and are of no force or effect.

Products are labeled with For Research Use Only or a similar labeling statement and have not been approved, cleared, or licensed by the FDA or other regulatory foreign or domestic entity, for any purpose. Customer shall not use any Product for any diagnostic or therapeutic purpose, or otherwise in any manner that conflicts with its labeling statement. Products sold or licensed by CST are provided for Customer as the end-user and solely for research and development uses. Any use of Product for diagnostic, prophylactic or therapeutic purposes, or any purchase of Product for resale (alone or as a component) or other commercial purpose, requires a separate license from CST. Customer shall (a) not sell, license, loan, donate or otherwise transfer or make available any Product to any third party, whether alone or in combination with other materials, or use the Products to manufacture any commercial products, (b) not copy, modify, reverse engineer, decompile, disassemble or otherwise attempt to discover the underlying structure or technology of the Products, or use the Products for the purpose of developing any products or services that would compete with CST products or services, (c) not alter or remove from the Products any trademarks, trade names, logos, patent or copyright notices or markings, (d) use the Products solely in accordance with CST Product Terms of Sale and any applicable documentation, and (e) comply with any license, terms of service or similar agreement with respect to any third party products or services used by Customer in connection with the Products.

Orders: 877-616-CELL (2355) [email protected] Support: 877-678-TECH (8324) [email protected] Web: cellsignal.com
For Research Use Only. Not for Use in Diagnostic Procedures.

Revision 3

Cell Signaling Technology Logo
Western blot analysis of extracts from U-937 cells and RPMI-8226 cells, untreated (-) or lenalidomide-treated (2 μM, 24 hr; +), using Aiolos (D1C1E) Rabbit mAb (upper) and β-Actin (D6A8) Rabbit mAb #8547 (lower). Data were generated using the standard formulation of this product.
Western Blotting Image 1: Aiolos (D1C1E) Rabbit Monoclonal Antibody (BSA and Azide Free)
Western blot analysis of extracts from various cell lines using Aiolos (D1C1E) Rabbit mAb. Data were generated using the standard formulation of this product.
Western Blotting Image 2: Aiolos (D1C1E) Rabbit Monoclonal Antibody (BSA and Azide Free)
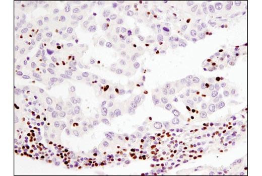
Immunohistochemical analysis of paraffin-embedded human non-small cell lung carcinoma using Aiolos (D1C1E) Rabbit mAb. Data were generated using the standard formulation of this product.
Immunohistochemistry Image 1: Aiolos (D1C1E) Rabbit Monoclonal Antibody (BSA and Azide Free)
Orders: 877-616-CELL (2355) [email protected] Support: 877-678-TECH (8324) [email protected] Web: cellsignal.com
For Research Use Only. Not for Use in Diagnostic Procedures.

Revision 3

Cell Signaling Technology Logo
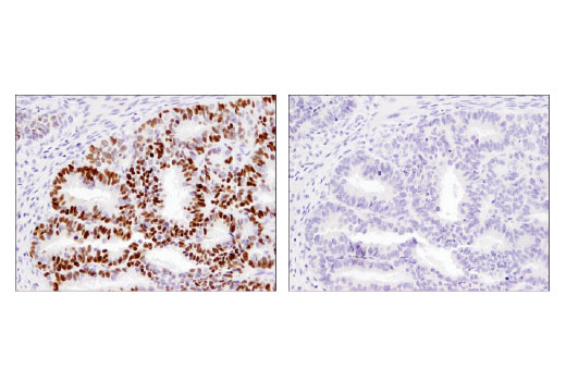
Immunohistochemical analysis of paraffin-embedded human ovarian carcinoma using Aiolos (D1C1E) Rabbit mAb in the presence of control peptide (left) or antigen-specific peptide (right). Data were generated using the standard formulation of this product.
Immunohistochemistry Image 2: Aiolos (D1C1E) Rabbit Monoclonal Antibody (BSA and Azide Free)
Confocal immunofluorescent analysis of lymphoid follicle in fixed frozen mouse colon labeled with Aiolos (D1C1E) Rabbit Monoclonal Antibody (green), F4/80 (BM8.1) Rat Monoclonal Antibody #71299 (red), and ProLong Gold Antifade Reagent with DAPI #8961 (blue). Data were generated using the standard formulation of this product.
Immunofluorescence Image 1: Aiolos (D1C1E) Rabbit Monoclonal Antibody (BSA and Azide Free)
Confocal immunofluorescent analysis of fixed frozen mouse spleen labeled with Aiolos (D1C1E) Rabbit Monoclonal Antibody (green), F4/80 (BM8.1) Rat Monoclonal Antibody #71299 (red), and ProLong Gold Antifade Reagent with DAPI #8961 (blue). Data were generated using the standard formulation of this product.
Immunofluorescence Image 2: Aiolos (D1C1E) Rabbit Monoclonal Antibody (BSA and Azide Free)
Orders: 877-616-CELL (2355) [email protected] Support: 877-678-TECH (8324) [email protected] Web: cellsignal.com
For Research Use Only. Not for Use in Diagnostic Procedures.

Revision 3

Cell Signaling Technology Logo
Confocal immunofluorescent analysis of an MJ [G11] cell pellet (left, positive) and MCF7 cells (right, negative) using Aiolos (D1C1E) Rabbit Monoclonal Antibody (green) and ProLong Gold Antifade Reagent with DAPI #8961 (blue). Data were generated using the standard formulation of this product.
Immunofluorescence Image 1: Aiolos (D1C1E) Rabbit Monoclonal Antibody (BSA and Azide Free)
Flow cytometric analysis of U-937 cells (blue), untreated RPMI-8226 cells (green), or lenalidomide-treated RPMI-8226 cells (2 μM, 24 hr; red), using Aiolos (D1C1E) Rabbit mAb. Anti-rabbit IgG (H+L), F(ab')2 Fragment (Alexa Fluor® 488 Conjugate) #4412 was used as a secondary antibody. Data were generated using the standard formulation of this product.
Flow Cytometry Image 1: Aiolos (D1C1E) Rabbit Monoclonal Antibody (BSA and Azide Free)
Flow cytometric analysis of fixed (2% formaldehyde) and permeabilized (0.1% Triton™ X-100) mouse splenocytes using Aiolos (D1C1E) Rabbit mAb and co-stained with a CD19 antibody. Anti-rabbit IgG (H+L), F(ab')2 Fragment (PE Conjugate) was used as a secondary antibody. Data were generated using the standard formulation of this product.
Flow Cytometry Image 2: Aiolos (D1C1E) Rabbit Monoclonal Antibody (BSA and Azide Free)
Orders: 877-616-CELL (2355) [email protected] Support: 877-678-TECH (8324) [email protected] Web: cellsignal.com
For Research Use Only. Not for Use in Diagnostic Procedures.