Revision 4

#54135

Store at -20C

CST Logo
Orders:

877-616-CELL (2355)

[email protected]

Support:

877-678-TECH (8324)

3 Trask Lane | Danvers | Massachusetts | 01923 | USA

For Research Use Only. Not for Use in Diagnostic Procedures.

Applications:
W, IP, IHC-P, FC-FP

Reactivity:
H

Sensitivity:
Endogenous

MW (kDa):
55

Source/Isotype:
Rabbit IgG

UniProt ID:
#P00352

Entrez-Gene Id:
216

Product Usage Information

Application Dilution
Western Blotting 1:1000
Immunoprecipitation 1:100
Immunohistochemistry (Paraffin) 1:200
Flow Cytometry (Fixed/Permeabilized) 1:200

Storage

Supplied in 10 mM sodium HEPES (pH 7.5), 150 mM NaCl, 100 µg/ml BSA, 50% glycerol and less than 0.02% sodium azide. Store at –20°C. Do not aliquot the antibody.

For a carrier free (BSA and azide free) version of this product see product #90686.

Specificity/Sensitivity

ALDH1A1 (D9Q8E) Rabbit Monoclonal Antibody recognizes endogenous levels of total ALDH1A1 protein.

Source / Purification

Monoclonal antibody is produced by immunizing animals with a synthetic peptide corresponding to residues surrounding Leu336 of human ALDH1A1 protein.

Background

The aldehyde dehydrogenase family is a large group of enzymes that oxidize aldehydes formed through metabolic processes to their carboxylic acids (1). ALDH1A1 is a liver cytosolic isoform of acetaldehyde dehydrogenase and is involved in the major pathway of alcohol metabolism along with alcohol dehydrogenase (2). ALDH1A1 is also known as retinal dehydrogenase 1 and is involved in retinol metabolism, converting retinol to retinoic acid (3). Recent studies suggest that control of retinoid signaling through ALDH1A1 may influence hematopoietic stem cell differentiation (4). There has been recent interest in ALDH1 isoforms as predictive biomarkers in disease. Several studies have suggested that ALDH1A1 is a potential marker for cancer stem cells and chemoresistance in several tumor types, such as melanoma (5), lung cancer (6), and glioblastoma (7).

Species Reactivity

Species reactivity is determined by testing in at least one approved application (e.g., western blot).

Western Blot Buffer

IMPORTANT: For western blots, incubate membrane with diluted primary antibody in 5% w/v BSA, 1X TBS, 0.1% Tween® 20 at 4°C with gentle shaking, overnight.

Applications Key

W: Western Blotting IP: Immunoprecipitation IHC-P: Immunohistochemistry (Paraffin) FC-FP: Flow Cytometry (Fixed/Permeabilized)

Cross-Reactivity Key

H: Human

Trademarks and Patents

Cell Signaling Technology is a trademark of Cell Signaling Technology, Inc.

Alexa Fluor is a registered trademark of Life Technologies Corporation.

All other trademarks are the property of their respective owners. Visit cellsignal.com/trademarks for more information.

Limited Uses

Except as otherwise expressly agreed in a writing signed by a legally authorized representative of CST, the following terms apply to Products provided by CST, its affiliates or its distributors. Any Customer's terms and conditions that are in addition to, or different from, those contained herein, unless separately accepted in writing by a legally authorized representative of CST, are rejected and are of no force or effect.

Products are labeled with For Research Use Only or a similar labeling statement and have not been approved, cleared, or licensed by the FDA or other regulatory foreign or domestic entity, for any purpose. Customer shall not use any Product for any diagnostic or therapeutic purpose, or otherwise in any manner that conflicts with its labeling statement. Products sold or licensed by CST are provided for Customer as the end-user and solely for research and development uses. Any use of Product for diagnostic, prophylactic or therapeutic purposes, or any purchase of Product for resale (alone or as a component) or other commercial purpose, requires a separate license from CST. Customer shall (a) not sell, license, loan, donate or otherwise transfer or make available any Product to any third party, whether alone or in combination with other materials, or use the Products to manufacture any commercial products, (b) not copy, modify, reverse engineer, decompile, disassemble or otherwise attempt to discover the underlying structure or technology of the Products, or use the Products for the purpose of developing any products or services that would compete with CST products or services, (c) not alter or remove from the Products any trademarks, trade names, logos, patent or copyright notices or markings, (d) use the Products solely in accordance with CST Product Terms of Sale and any applicable documentation, and (e) comply with any license, terms of service or similar agreement with respect to any third party products or services used by Customer in connection with the Products.

Orders: 877-616-CELL (2355) [email protected] Support: 877-678-TECH (8324) [email protected] Web: cellsignal.com
For Research Use Only. Not for Use in Diagnostic Procedures.

Revision 4

Cell Signaling Technology Logo
Western blot analysis of extracts from various cell lines using ALDH1A1 (D9Q8E) XP® Rabbit mAb.
Western Blotting Image 1: ALDH1A1 (D9Q8E) Rabbit Monoclonal Antibody
Immunohistochemical analysis of paraffin-embedded human colon carcinoma using ALDH1A1 (D9Q8E) XP® Rabbit mAb.
Immunohistochemistry Image 1: ALDH1A1 (D9Q8E) Rabbit Monoclonal Antibody
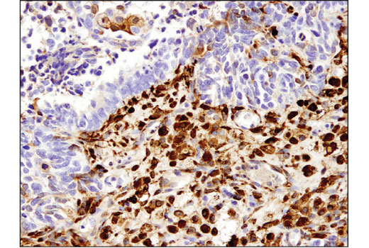
Immunohistochemical analysis of paraffin-embedded human ovarian carcinoma using ALDH1A1 (D9Q8E) XP® Rabbit mAb.
Immunohistochemistry Image 2: ALDH1A1 (D9Q8E) Rabbit Monoclonal Antibody
Orders: 877-616-CELL (2355) [email protected] Support: 877-678-TECH (8324) [email protected] Web: cellsignal.com
For Research Use Only. Not for Use in Diagnostic Procedures.

Revision 4

Cell Signaling Technology Logo
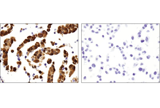
Immunohistochemical analysis of paraffin-embedded Hep G2 (left) and MCF7 (right) cell pellets using ALDH1A1 (D9Q8E) XP® Rabbit mAb.
Immunohistochemistry Image 3: ALDH1A1 (D9Q8E) Rabbit Monoclonal Antibody
Flow cytometric analysis of HeLa cells (blue) and ACHN cells (green) using ALDH1A1 (D9Q8E) XP® Rabbit mAb. Anti-rabbit IgG (H+L), F(ab')2 Fragment (Alexa Fluor® 488 Conjugate) #4412 was used as a secondary antibody.
Flow Cytometry Image 1: ALDH1A1 (D9Q8E) Rabbit Monoclonal Antibody
Orders: 877-616-CELL (2355) [email protected] Support: 877-678-TECH (8324) [email protected] Web: cellsignal.com
For Research Use Only. Not for Use in Diagnostic Procedures.