Revision 1

#8336

Store at -20C

ALK Activation Antibody Sampler Kit

1 Kit

(9 x 20 microliters)

CST Logo
Orders:

877-616-CELL (2355)

[email protected]

Support:

877-678-TECH (8324)

3 Trask Lane | Danvers | Massachusetts | 01923 | USA

For Research Use Only. Not for Use in Diagnostic Procedures.

Product Includes Product # Quantity Mol. Wt Isotype/Source
Phospho-ALK (Tyr1586) (3B4) Rabbit Monoclonal Antibody334820 µl80 (NPM-ALK) 220 (ALK) kDaRabbit IgG
Phospho-Jak3 (Tyr980/981) (D44E3) Rabbit Monoclonal Antibody503120 µl115 kDaRabbit IgG
Phospho-Jak2 (Tyr1007) (D15E2) Rabbit Monoclonal Antibody440620 µl125 kDaRabbit IgG
Phospho-Stat3 (Tyr705) (D3A7) Rabbit Monoclonal Antibody914520 µl79, 86 kDaRabbit IgG
Phospho-Stat5 (Tyr694) (D47E7) Rabbit Monoclonal Antibody432220 µl90 kDaRabbit IgG
Phospho-p44/42 MAPK (Erk1/2) (Thr202/Tyr204) (D13.14.4E) Rabbit Monoclonal Antibody437020 µl44, 42 kDaRabbit IgG
Phospho-Akt (Ser473) (D9E) Rabbit Monoclonal Antibody406020 µl60 kDaRabbit IgG
Phospho-Src Family (Tyr416) (D49G4) Rabbit Monoclonal Antibody694320 µl60 kDaRabbit IgG
Phospho-PLC gamma1 (Tyr783) (D6M9S) Rabbit Monoclonal Antibody1400820 µl155 kDaRabbit IgG
Anti-rabbit IgG, HRP-linked Antibody7074100 µlGoat

Please visit cellsignal.com for individual component applications, species cross-reactivity, dilutions, protocols, and additional product information.

Description

The ALK Activation Antibody Sampler Kit provides an economical means to evaluate the activation status of multiple members of the ALK pathway, including phosphorylated ALK, Jak2, Jak3, Stat3, Stat5, PLCγ1, Akt, Src, and p44/42 MAPK. The kit includes enough antibody to perform two western blot experiments with each primary antibody.

Storage

Supplied in 10 mM sodium HEPES (pH 7.5), 150 mM NaCl, 100 µg/ml BSA, 50% glycerol and less than 0.02% sodium azide. Store at –20°C. Do not aliquot the antibody.

Background

Anaplastic lymphoma kinase (ALK) is a tyrosine kinase receptor for pleiotrophin (PTN), a growth factor involved in embryonic brain development (1-3). In ALK-expressing cells, PTN induces phosphorylation of both ALK and the downstream effectors IRS-1, Shc, PLCγ, and PI3 kinase (1). ALK was originally discovered as a nucleophosmin (NPM)-ALK fusion protein produced by a translocation (4). Investigators have found that the NPM-ALK fusion protein is a constitutively active, oncogenic tyrosine kinase associated with anaplastic lymphoma (4). Research literature suggests that activation of PLCγ by NPM-ALK may be a crucial step for its mitogenic activity and involved in the pathogenesis of anaplastic lymphomas (5).
A distinct ALK oncogenic fusion protein involving ALK and echinoderm microtubule-associated protein like 4 (EML4) has been described in the research literature from a non-small cell lung cancer (NSCLC) cell line, with corresponding fusion transcripts present in some cases of lung adenocarcinoma. The short, amino-terminal region of the microtubule-associated protein EML4 is fused to the kinase domain of ALK (6-8).

Trademarks and Patents

Cell Signaling Technology is a trademark of Cell Signaling Technology, Inc.

Select antibodies in this kit are sold under a license from Chemicon International, Inc. relating to U.S. Patent No. 5,658,791.

All other trademarks are the property of their respective owners. Visit cellsignal.com/trademarks for more information.

Limited Uses

Except as otherwise expressly agreed in a writing signed by a legally authorized representative of CST, the following terms apply to Products provided by CST, its affiliates or its distributors. Any Customer's terms and conditions that are in addition to, or different from, those contained herein, unless separately accepted in writing by a legally authorized representative of CST, are rejected and are of no force or effect.

Products are labeled with For Research Use Only or a similar labeling statement and have not been approved, cleared, or licensed by the FDA or other regulatory foreign or domestic entity, for any purpose. Customer shall not use any Product for any diagnostic or therapeutic purpose, or otherwise in any manner that conflicts with its labeling statement. Products sold or licensed by CST are provided for Customer as the end-user and solely for research and development uses. Any use of Product for diagnostic, prophylactic or therapeutic purposes, or any purchase of Product for resale (alone or as a component) or other commercial purpose, requires a separate license from CST. Customer shall (a) not sell, license, loan, donate or otherwise transfer or make available any Product to any third party, whether alone or in combination with other materials, or use the Products to manufacture any commercial products, (b) not copy, modify, reverse engineer, decompile, disassemble or otherwise attempt to discover the underlying structure or technology of the Products, or use the Products for the purpose of developing any products or services that would compete with CST products or services, (c) not alter or remove from the Products any trademarks, trade names, logos, patent or copyright notices or markings, (d) use the Products solely in accordance with CST Product Terms of Sale and any applicable documentation, and (e) comply with any license, terms of service or similar agreement with respect to any third party products or services used by Customer in connection with the Products.

Orders: 877-616-CELL (2355) [email protected] Support: 877-678-TECH (8324) [email protected] Web: cellsignal.com
For Research Use Only. Not for Use in Diagnostic Procedures.

Revision 1

Cell Signaling Technology Logo
Western blot analysis of extracts from NIH/3T3 cells, untreated (-) or stimulated with hPDGF-BB #8912 (5 min; +), and from A-431 cells, untreated (-) or stimulated with hEGF #8916 (5 min; +), using Phospho-PLCγ1 (Tyr783) (D6M9S) Rabbit mAb (upper) and β-Actin (D6A8) Rabbit mAb #8457 (lower).
undefined Image 1: ALK Activation Antibody Sampler Kit
Western blot analysis of Sup-M2 cell lysate, using Phospho-ALK (Tyr1586) (3B4) Rabbit mAb (A and B), and ALK Antibody (C and D).The phospho-specificity of this antibody was characterized by treating the membrane with calf intestinal alkaline phosphatase (CIP) (B and D) after Western transfer.
undefined Image 2: ALK Activation Antibody Sampler Kit
Western blot analysis of extracts from PC-3 cells, untreated or LY294002/wortmannin-treated, and NIH/3T3 cells, serum-starved or PDGF-treated, using Phospho-Akt (Ser473) (D9E) XP® Rabbit mAb (upper) or Akt (pan) (C67E7) Rabbit mAb #4691 (lower).
undefined Image 3: ALK Activation Antibody Sampler Kit
Orders: 877-616-CELL (2355) [email protected] Support: 877-678-TECH (8324) [email protected] Web: cellsignal.com
For Research Use Only. Not for Use in Diagnostic Procedures.

Revision 1

Cell Signaling Technology Logo
Western blot analysis of extracts from UT-7 cells, untreated or treated with erythropoietin (EPO; 3 units/ml for 5 min), TF-1 cells, untreated or treated with Human Granulocyte Macrophage Colony Stimulating Factor #8922 (hGM-CSF; 100 ng/ml for 10 min), and NK-92 cells, untreated or treated with Human Interleukin-2 #8907 (hIL-2; 100 ng/ml for 10 min), using Phospho-Stat5 (Tyr694) (D47E7) XP® Rabbit mAb.
undefined Image 4: ALK Activation Antibody Sampler Kit
Immunohistochemical analysis of paraffin-embedded human urothelial carcinoma using Phospho-p44/42 MAPK (Erk1/2) (Thr202/Tyr204) (D13.14.4E) XP® Rabbit mAb performed on the Leica BOND RX.
undefined Image 5: ALK Activation Antibody Sampler Kit
Western blot analysis of extracts from various cell lines treated with TPA (200nM, 4 hr) or PDGF (100ng/mL, 10 min) as indicated, using Phospho-p44/42 MAPK (Erk1/2) (Thr202/Tyr204) (D13.14.4E) XP® Rabbit mAb (upper), p44/42 MAPK (Erk1/2) (137F5) Rabbit mAb #4695 (middle), or β-Actin (D6A8) Rabbit mAb #8457 (lower).
undefined Image 6: ALK Activation Antibody Sampler Kit
Orders: 877-616-CELL (2355) [email protected] Support: 877-678-TECH (8324) [email protected] Web: cellsignal.com
For Research Use Only. Not for Use in Diagnostic Procedures.

Revision 1

Cell Signaling Technology Logo
Western blot analysis of extracts from UT-7 cells, untreated or treated with erythropoietin (EPO; 3 units/ml; 5 min) and from untreated HEL cells, using Phospho-Jak2 (Tyr1007) (D15E2) Rabbit mAb (upper) or total Jak2 (D2E12) Rabbit mAb #3230 (lower). HEL cells contain a V617F activating mutation in Jak2.
undefined Image 7: ALK Activation Antibody Sampler Kit
Western blot analysis of extracts from NK-92 cells, untreated or treated with Human Interleukin-2 (hIL-2) #8907 (10 ng/ml, 15 minutes), using Phospho-Jak3 (Tyr980/981) (D44E3) Rabbit mAb (upper) or Jak3 Antibody #3775 (lower).
undefined Image 8: ALK Activation Antibody Sampler Kit
Western blot analysis of extracts NIH/3T3 cells, serum-starved or treated with human Platelet-Derived Growth Factor BB hPDGF-BB (100 ng/ml, 15 min), using Phospho-Src Family (Tyr416) (D49G4) Rabbit mAb (upper) or Src (36D10) Rabbit mAb #2109 (lower).
undefined Image 9: ALK Activation Antibody Sampler Kit
Orders: 877-616-CELL (2355) [email protected] Support: 877-678-TECH (8324) [email protected] Web: cellsignal.com
For Research Use Only. Not for Use in Diagnostic Procedures.

Revision 1

Cell Signaling Technology Logo
After the primary antibody is bound to the target protein, a complex with HRP-linked secondary antibody is formed. The LumiGLO® is added and emits light during enzyme catalyzed decomposition.
undefined Image 10: ALK Activation Antibody Sampler Kit
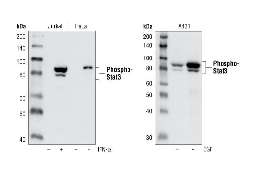
Western blot analysis of extracts from IFN-alpha treated Jurkat cells and HeLa cells (left), as well as EGF treated A431 cells (right), using Phospho-Stat3 (Tyr705) (D3A7) Rabbit Monoclonal Antibody. Note that the basal phospho-Stat3 in A431 is detected by the antibody.
undefined Image 11: ALK Activation Antibody Sampler Kit
Immunoprecipitation of phospho-PLCγ1 (Tyr783) from A-431 cell extracts stimulated with hEGF #8916 using Rabbit (DA1E) mAb IgG XP® Isotype Control #3900 (lane 2) or Phospho-PLCγ1 (Tyr783) (D6M9S) Rabbit mAb (lane 3). Lane 1 is 10% input. Western blot analysis was performed using Phospho-PLCγ1 (Tyr783) (D6M9S) Rabbit mAb.
undefined Image 12: ALK Activation Antibody Sampler Kit
Orders: 877-616-CELL (2355) [email protected] Support: 877-678-TECH (8324) [email protected] Web: cellsignal.com
For Research Use Only. Not for Use in Diagnostic Procedures.

Revision 1

Cell Signaling Technology Logo
Immunoprecipitation of phospho-Akt (Ser473) from Jurkat extracts treated with Calyculin A #9902 (100nM, 30 min). Lane 1 is 10% input, lane 2 is Phospho-Akt (Ser473) (D9E) XP® Rabbit mAb, and lane 3 is Rabbit (DA1E) mAb IgG XP® Isotype Control #3900. Western blot analysis was performed with Phospho-Akt (Ser473) (D9E) XP® Rabbit mAb. Anti-rabbit IgG, HRP-linked Antibody #7074 was used as a secondary antibody.
undefined Image 13: ALK Activation Antibody Sampler Kit
Confocal immunofluorescent analysis of A-431 cells, EGF-treated (left) or untreated (right), using Phospho-Stat5 (Tyr694) XP®(D47E7) Rabbit mAb (green) and Pan-Keratin (C11) Mouse mAb #4545 (red).
undefined Image 14: ALK Activation Antibody Sampler Kit
Western blot analysis of extracts from 293, NIH/3T3 and C6 cells, treated with λ phosphatase or TPA #4174 as indicated, using Phospho-p44/42 MAPK (Erk1/2) (Thr202/Tyr204) (D13.14.4E) XP® Rabbit mAb (upper), or p44/42 MAPK (Erk1/2) (137F5) Rabbit mAb #4695 (lower).
undefined Image 15: ALK Activation Antibody Sampler Kit
Orders: 877-616-CELL (2355) [email protected] Support: 877-678-TECH (8324) [email protected] Web: cellsignal.com
For Research Use Only. Not for Use in Diagnostic Procedures.

Revision 1

Cell Signaling Technology Logo
Immunohistochemical analysis of paraffin-embedded human squamous cell carcinoma of the skin using Phospho-p44/42 MAPK (Erk1/2) (Thr202/Tyr204) (D13.14.4E) XP® Rabbit mAb performed on the Leica BOND RX.
undefined Image 16: ALK Activation Antibody Sampler Kit
Simple Western™ analysis of lysates (1 mg/mL) from 3T3+PDGF cells using Phospho-Src Family (Tyr416) (D49G4) Rabbit mAb #6943. The virtual lane view (left) shows the target band (as indicated) at 1:10 and 1:50 dilutions of primary antibody. The corresponding electropherogram view (right) plots chemiluminescence by molecular weight along the capillary at 1:10 (blue line) and 1:50 (green line) dilutions of primary antibody. This experiment was performed under reducing conditions on the Jess™ Simple Western instrument from ProteinSimple, a BioTechne brand, using the 12-230 kDa separation module.
undefined Image 17: ALK Activation Antibody Sampler Kit
Immunoprecipitation of phospho-Stat3 (Tyr705) from U266 extracts treated with human IFN-alpha (50 ng/ml, 15 min). Lane 1 is 10% input, lane 2 is Rabbit (DA1E) Monoclonal Antibody IgG Isotype Control #3900, and lane 3 is Phospho-Stat3 (Tyr705) (D3A7) Rabbit Monoclonal Antibody. Western blot analysis was performed using Phospho-Stat3 (Tyr705) (3E2) Mouse Monoclonal Antibody #9138. Anti-mouse IgG, HRP-linked Antibody #7076 was used as a secondary antibody.
undefined Image 18: ALK Activation Antibody Sampler Kit
Orders: 877-616-CELL (2355) [email protected] Support: 877-678-TECH (8324) [email protected] Web: cellsignal.com
For Research Use Only. Not for Use in Diagnostic Procedures.

Revision 1

Cell Signaling Technology Logo
Immunohistochemical analysis of paraffin-embedded human lung carcinoma using Phospho-Akt (Ser473) (D9E) XP® Rabbit mAb.
undefined Image 19: ALK Activation Antibody Sampler Kit
Flow cytometric analysis of TF-1 cells, untreated (blue, low) or treated with hGM-CSF #8922 (50 ng/ml, 15 min; green, positive) using Phospho-Stat5 (Tyr694) (D47E7) XP® Rabbit mAb (solid lines) or concentration-matched Rabbit (DA1E) mAb IgG XP® Isotype Control #3900 (dashed lines). Anti-rabbit IgG (H+L), F(ab')2 Fragment (Alexa Fluor® 488 Conjugate) #4412 was used as a secondary antibody.
undefined Image 20: ALK Activation Antibody Sampler Kit
Immunohistochemical analysis of paraffin-embedded human breast carcinoma using Phospho-p44/42 MAPK (Erk1/2) (Thr202/Tyr204) (D13.14.4E) XP® Rabbit mAb.
undefined Image 21: ALK Activation Antibody Sampler Kit
Orders: 877-616-CELL (2355) [email protected] Support: 877-678-TECH (8324) [email protected] Web: cellsignal.com
For Research Use Only. Not for Use in Diagnostic Procedures.

Revision 1

Cell Signaling Technology Logo
Immunohistochemical analysis of paraffin-embedded human endometrioid adenocarcinoma using Phospho-p44/42 MAPK (Erk1/2) (Thr202/Tyr204) (D13.14.4E) XP® Rabbit mAb performed on the Leica BOND RX.
undefined Image 22: ALK Activation Antibody Sampler Kit
Immunohistochemical analysis of paraffin-embedded human prostate adenocarcinoma using Phospho-Stat3 (Tyr705) (D3A7) Rabbit Monoclonal Antibody performed on the Leica® BOND™ Rx.
undefined Image 23: ALK Activation Antibody Sampler Kit
Flow cytometric analysis of NIH/3T3 cells, untreated (blue) or treated with mPDGFbb (200ng/mL, 15 min; green) using Phospho-PLCγ1 (Tyr783) (D6M9S) Rabbit mAb (solid lines) or concentration-matched Rabbit (DA1E) mAb IgG XP® Isotype Control #3900 (dashed lines). Anti-rabbit IgG (H+L), F(ab')2 Fragment (Alexa Fluor® 488 Conjugate) #4412 was used as a secondary antibody.
undefined Image 24: ALK Activation Antibody Sampler Kit
Orders: 877-616-CELL (2355) [email protected] Support: 877-678-TECH (8324) [email protected] Web: cellsignal.com
For Research Use Only. Not for Use in Diagnostic Procedures.

Revision 1

Cell Signaling Technology Logo
Immunohistochemical analysis of paraffin-embedded human breast carcinoma using Phospho-Akt (Ser473) (D9E) XP® Rabbit mAb.
undefined Image 25: ALK Activation Antibody Sampler Kit
Immunohistochemical analysis of paraffin-embedded human lung carcinoma, untreated (left) or λ phosphatase-treated (right), using Phospho-p44/42 MAPK (Erk1/2) (Thr202/Tyr204) (D13.14.4E) XP® Rabbit mAb.
undefined Image 26: ALK Activation Antibody Sampler Kit
Immunohistochemical analysis of paraffin-embedded human prostate adenocarcinoma using Phospho-p44/42 MAPK (Erk1/2) (Thr202/Tyr204) (D13.14.4E) XP® Rabbit mAb performed on the Leica BOND RX.
undefined Image 27: ALK Activation Antibody Sampler Kit
Orders: 877-616-CELL (2355) [email protected] Support: 877-678-TECH (8324) [email protected] Web: cellsignal.com
For Research Use Only. Not for Use in Diagnostic Procedures.

Revision 1

Cell Signaling Technology Logo
Immunohistochemical analysis of paraffin-embedded human neuroendocrine lung carcinoma using Phospho-Stat3 (Tyr705) (D3A7) Rabbit Monoclonal Antibody performed on the Leica® BOND™ Rx.
undefined Image 28: ALK Activation Antibody Sampler Kit
Immunohistochemical analysis of paraffin-embedded PTEN heterozygous mutant mouse endometrium using Phospho-Akt (Ser473) (D9E) XP® Rabbit mAb. (Tissue section courtesy of Dr. Sabina Signoretti, Brigham and Women's Hospital, Harvard Medical School, Boston, MA.)
undefined Image 29: ALK Activation Antibody Sampler Kit
Immunohistochemical analysis using Phospho-p44/42 MAPK (Erk1/2) (Thr202/Tyr204) (D13.14.4E) XP® Rabbit mAb on SignalSlide™ Phospho-p44/42 MAPK (Thr202/Tyr204) IHC Controls #8103 (paraffin-embedded NIH/3T3 cells, treated with U0126 #9903 (left) or TPA #4174 (right).
undefined Image 30: ALK Activation Antibody Sampler Kit
Orders: 877-616-CELL (2355) [email protected] Support: 877-678-TECH (8324) [email protected] Web: cellsignal.com
For Research Use Only. Not for Use in Diagnostic Procedures.

Revision 1

Cell Signaling Technology Logo
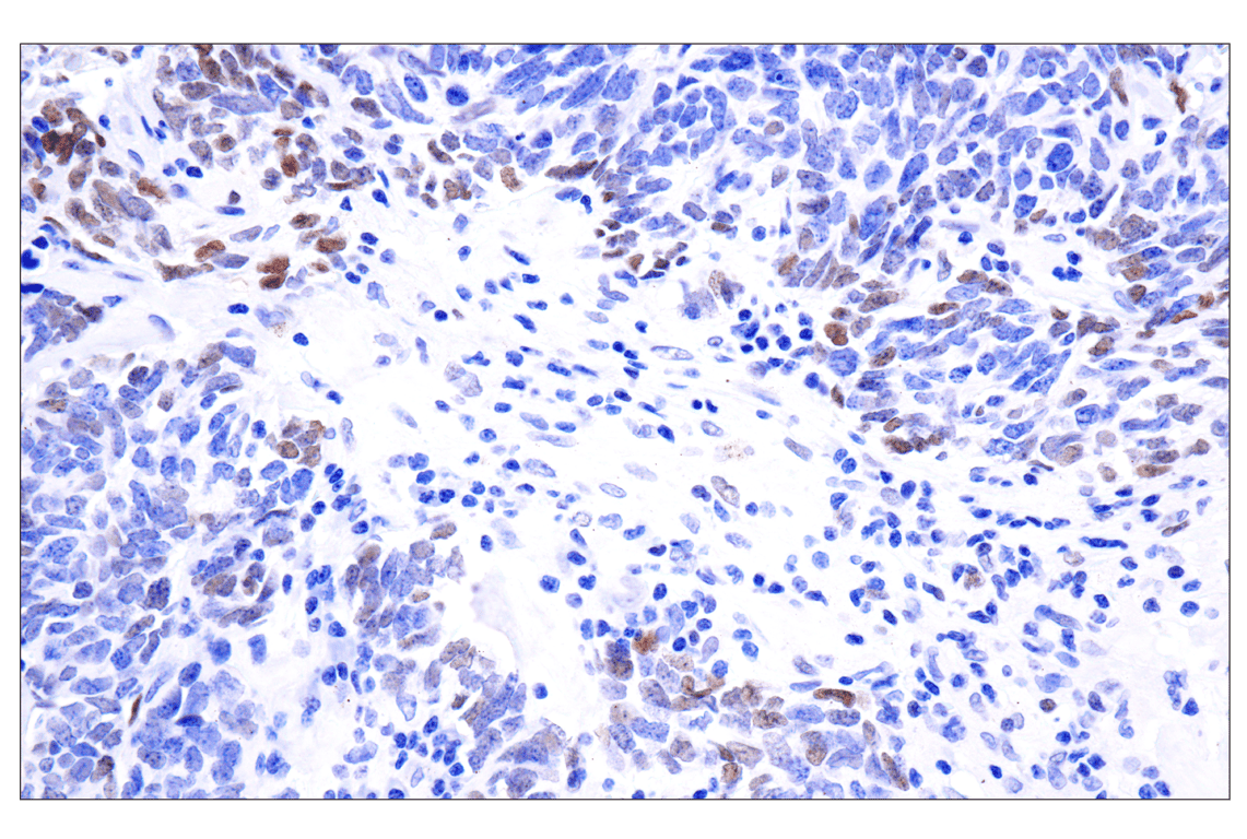
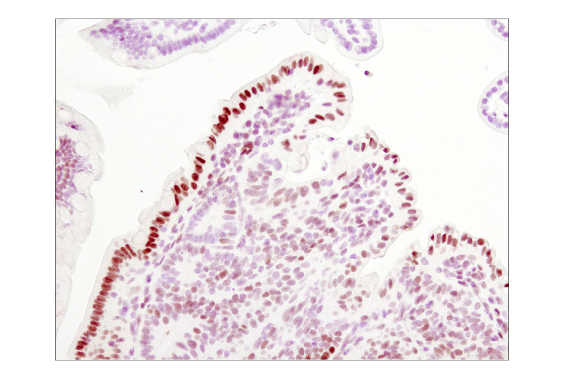
Immunohistochemical analysis of paraffin-embedded Apc (min/+) mouse intestine, using Phosho-Stat3 (Tyr705) (D3A7) Rabbit Monoclonal Antibody.
undefined Image 31: ALK Activation Antibody Sampler Kit
Immunohistochemical analysis of paraffin-embedded MDA-MB-468 xenograft using Phospho-Akt (Ser473) (D9E) XP® Rabbit mAb (left) or PTEN (138G6) Rabbit mAb #9559 (right). Note the presence of P-Akt staining in the PTEN deficient MDA-MB-468 cells.
undefined Image 32: ALK Activation Antibody Sampler Kit
Confocal immunofluorescent analysis of Drosophila egg chambers, untreated (top) or λ phosphatase-treated (bottom), using Phospho-p44/42 MAPK (Erk1/2) (Thr202/Tyr204) (D13.14.4E) XP® Rabbit mAb #4370 (green) and S6 Ribosomal Protein (54D2) Mouse mAb #2317 (red). Blue pseudocolor = DRAQ5® #4084 (fluorescent DNA dye).
undefined Image 33: ALK Activation Antibody Sampler Kit
Orders: 877-616-CELL (2355) [email protected] Support: 877-678-TECH (8324) [email protected] Web: cellsignal.com
For Research Use Only. Not for Use in Diagnostic Procedures.

Revision 1

Cell Signaling Technology Logo
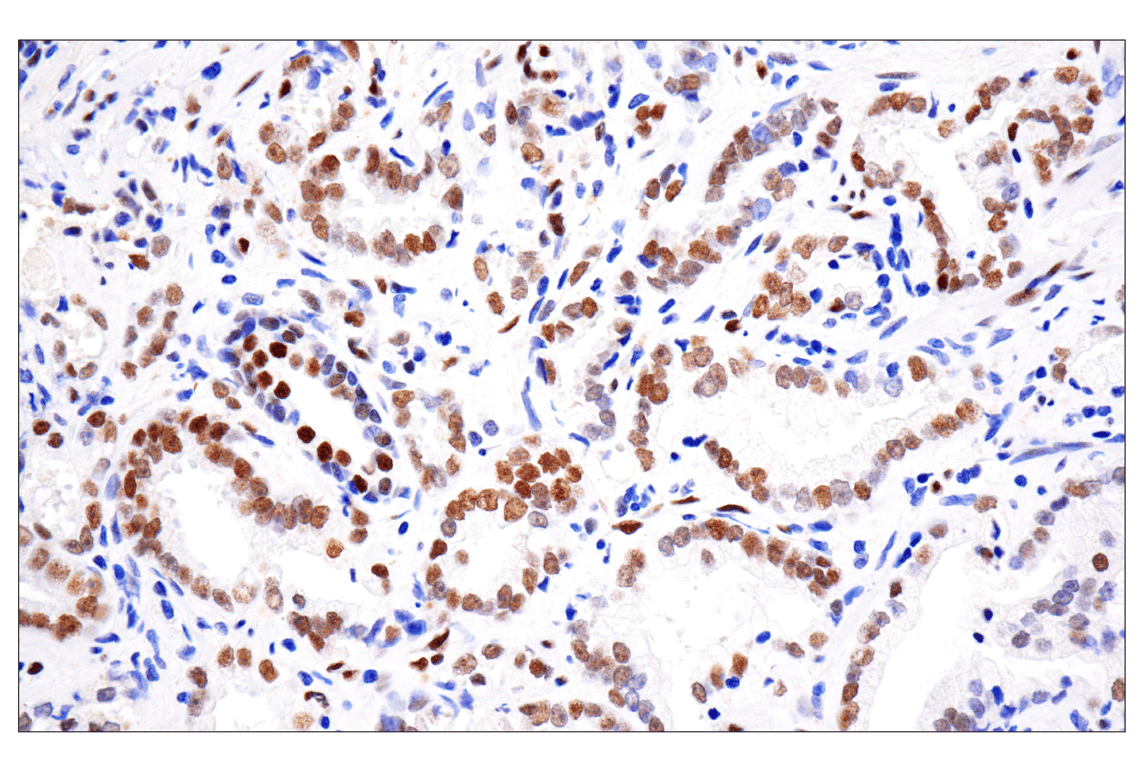
Immunnohistochemical analysis of paraffin-embedded human lung carcinoma, showing nuclear localization, using Phospho-Stat3 (Tyr705) (D3A7) Rabbit Monoclonal Antibody.
undefined Image 34: ALK Activation Antibody Sampler Kit
Immunohistochemical analysis of paraffin-embedded human breast carcinoma comparing SignalStain® Antibody Diluent #8112 (left) to TBST/5% normal goat serum (right) using Phospho-Akt (Ser473) (D9E) XP® Rabbit mAb #4060.
undefined Image 35: ALK Activation Antibody Sampler Kit
Confocal immunofluorescent analysis of HT1080 cells, starved overnight then treated with U0126 #9903 (10 uM, 2 h; left) or PDBu (Phorbol 12,13-Dibutyrate) #12808 (100 nM, 15 m; right) using Phospho-p44/42 MAPK (Erk1/2) (Thr202/Tyr204) (D13.14.4E) XP® Rabbit mAb #4370 (green) and β-Actin (8H10D10) Mouse mAb #3700 (red). Blue pseudocolor = DRAQ5® #4084 (fluorescent DNA dye).
undefined Image 36: ALK Activation Antibody Sampler Kit
Orders: 877-616-CELL (2355) [email protected] Support: 877-678-TECH (8324) [email protected] Web: cellsignal.com
For Research Use Only. Not for Use in Diagnostic Procedures.

Revision 1

Cell Signaling Technology Logo
Immunohistochemical analysis of paraffin-embedded human lung adenocarcinoma using Phospho-p44/42 MAPK (Erk1/2) (Thr202/Tyr204) (D13.14.4E) XP® Rabbit mAb.
undefined Image 37: ALK Activation Antibody Sampler Kit
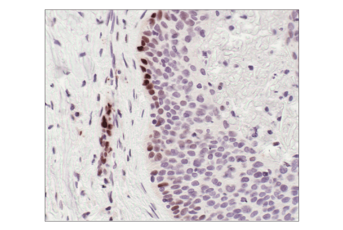
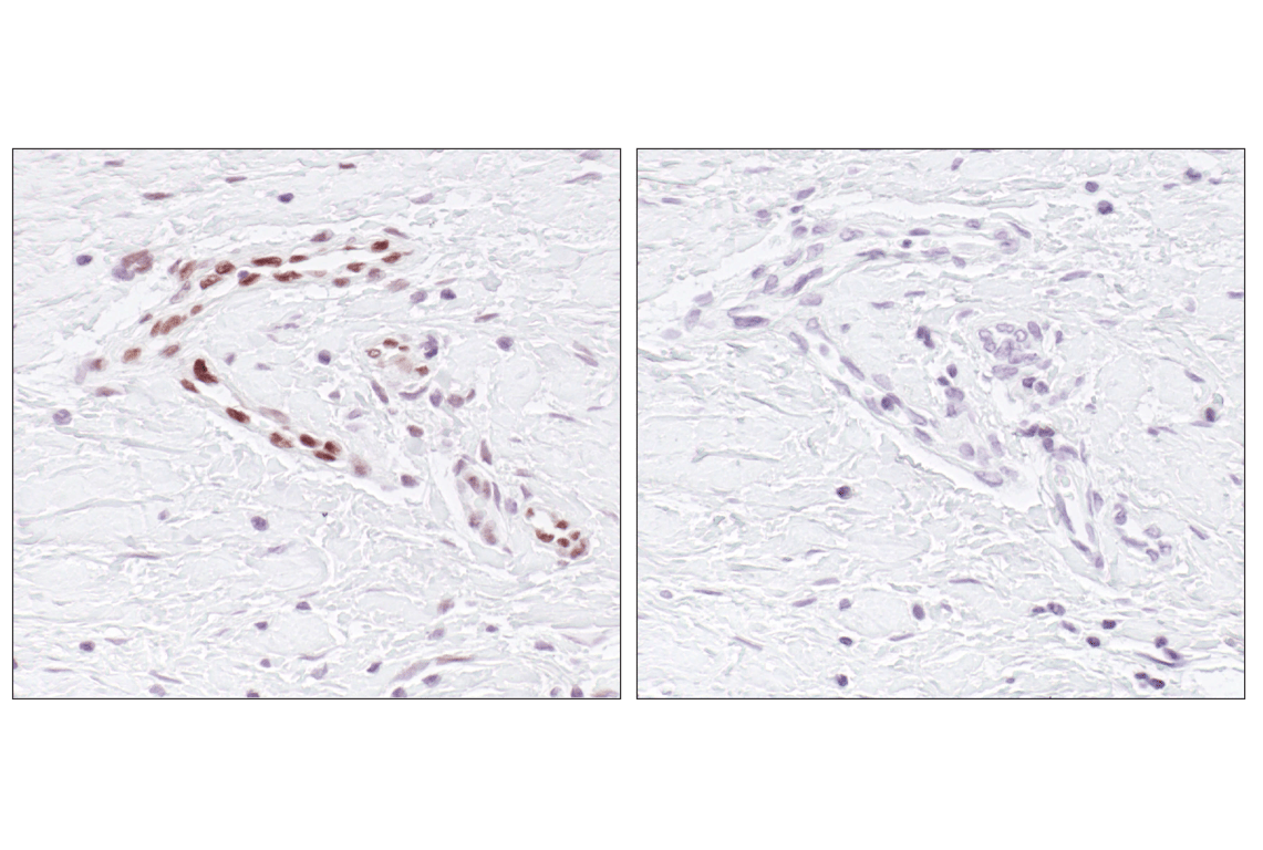
Immunohistochemical analysis of paraffin embedded human breast carcinoma, specifically endothelial cells, untreated (left) or lambda phosphatase treated (right), using Phospho-Stat3 (Tyr705) (D3A7) Rabbit Monoclonal Antibody.
undefined Image 38: ALK Activation Antibody Sampler Kit
Immunohistochemical analysis of paraffin-embedded U-87MG xenograft, untreated (left) or lambda phosphatase-treated (right), using Phospho-Akt (Ser473) (D9E) XP® Rabbit mAb.
undefined Image 39: ALK Activation Antibody Sampler Kit
Orders: 877-616-CELL (2355) [email protected] Support: 877-678-TECH (8324) [email protected] Web: cellsignal.com
For Research Use Only. Not for Use in Diagnostic Procedures.

Revision 1

Cell Signaling Technology Logo
Flow cytometric analysis of Jurkat cells, treated with U0126 (10 µM, 2 hrs; green) or treated with TPA #4174 (200 nM, 30 min; blue) using Phospho-p44/42 MAPK (Erk1/2) (Thr202/Tyr204) (D13.14.4E) XP® Rabbit mAb (solid lines) or concentration-matched Rabbit (DA1E) mAb IgG XP® Isotype Control #3900 (dashed lines). Anti-rabbit IgG (H+L), F(ab')2 Fragment (Alexa Fluor® 488 Conjugate) #4412 was used as a secondary antibody.
undefined Image 40: ALK Activation Antibody Sampler Kit
Immunohistochemical analysis of paraffin-embedded 4T1 syngeneic tumor using Phospho-p44/42 MAPK (Erk1/2) (Thr202/Tyr204) (D13.14.4E) XP® Rabbit mAb.
undefined Image 41: ALK Activation Antibody Sampler Kit
Immunohistochemical analysis using Phospho-Stat3 (Tyr705) (D3A7) Rabbit Monoclonal Antibody on SignalSlide® HeLa -/+ IFNa IHC Controls #55861 (paraffin-embedded HeLa cell pellets, untreated (left) or treated with Human Interferon-α1 (hIFN-α1 (right)).
undefined Image 42: ALK Activation Antibody Sampler Kit
Orders: 877-616-CELL (2355) [email protected] Support: 877-678-TECH (8324) [email protected] Web: cellsignal.com
For Research Use Only. Not for Use in Diagnostic Procedures.

Revision 1

Cell Signaling Technology Logo
Immunohistochemical analysis using Phospho-Akt (Ser473) (D9E) XP® Rabbit mAb on SignalSlide® Phospho-Akt (Ser473) IHC Controls #8101 (paraffin-embedded LNCaP cells, untreated (left) or LY294002-treated (right)).
undefined Image 43: ALK Activation Antibody Sampler Kit
Confocal immunofluorescent analysis of HeLa cells, IFN-alpha treated (left) or untreated (right), labeled with Phospho-Stat3 (Tyr705) (D3A7) Rabbit Monoclonal Antibody (green).
undefined Image 44: ALK Activation Antibody Sampler Kit
Flow cytometric analysis of U266 cells, untreated (blue) or treated with IFN-alpha (50 ng/ml, 15 min; green) using Phospho-Stat3 (Tyr705) (D3A7) Rabbit Monoclonal Antibody (solid lines) or concentration matched Rabbit (DA1E) Monoclonal Antibody IgG Isotype Control #3900 (dashed lines). Anti-rabbit IgG (H+L), F(ab')2 Fragment (Alexa Fluor® 488 Conjugate) #4412 was used as a secondary antibody.
undefined Image 45: ALK Activation Antibody Sampler Kit
Orders: 877-616-CELL (2355) [email protected] Support: 877-678-TECH (8324) [email protected] Web: cellsignal.com
For Research Use Only. Not for Use in Diagnostic Procedures.

Revision 1

Cell Signaling Technology Logo
Confocal immunofluorescent analysis of C2C12 cells, LY294002-treated (left) or insulin-treated (right), using Phospho-Akt (Ser473) (D9E) XP® Rabbit mAb (green). Actin filaments have been labeled with Alexa Fluor® 555 phalloidin #8953 (red). Blue pseudocolor = DRAQ5®#4084 (fluorescent DNA dye).
undefined Image 46: ALK Activation Antibody Sampler Kit
Chromatin immunoprecipitations were performed with cross-linked chromatin from Hep G2 cells starved overnight and treated with IL-6 (100 ng/ml) for 30 minutes and Phospho-Stat3 (Tyr705) (D3A7) Rabbit Monoclonal Antibody, using SimpleChIP® Plus Enzymatic Chromatin IP Kit (Magnetic Beads) #9005. DNA Libraries were prepared using DNA Library Prep Kit for Illumina® (ChIP-seq, CUT&RUN) #56795. The figure shows binding across IRF1, a known target gene of Phospho-Sata3 (see additional figure containing ChIP-qPCR data). For additional ChIP-seq tracks, please download the product datasheet.
undefined Image 47: ALK Activation Antibody Sampler Kit
Flow cytometric analysis of Jurkat cells, untreated (green) or treated with LY294002 #9901, Wortmannin #9951, and U0126 #9903 (50 μM, 1 μM, and 10 μM, 2 hr; blue) using Phospho-Akt (Ser473) (D9E) XP® Rabbit mAb (solid lines) or concentration-matched Rabbit (DA1E) mAb IgG XP® Isotype Control #3900 (dashed lines). Anti-rabbit IgG (H+L), F(ab')2 Fragment (Alexa Fluor® 488 Conjugate) #4412 was used as a secondary antibody.
undefined Image 48: ALK Activation Antibody Sampler Kit
Orders: 877-616-CELL (2355) [email protected] Support: 877-678-TECH (8324) [email protected] Web: cellsignal.com
For Research Use Only. Not for Use in Diagnostic Procedures.

Revision 1

Cell Signaling Technology Logo
Immunoprecipitation of Phospho-p44/42 MAPK (Erk1/2) (Thr202/Tyr204) from 3T3 cell extracts. Cells were treated with TPA, (200 nM, 15 min). Lane 1 is 10% input, lane 2 is Rabbit (DA1E) mAb IgG XP® Isotype Control #3900, and lane 3 is Phospho-p44/42 MAPK (Erk1/2) (Thr202/Tyr204) (D13.14.4E) XP® Rabbit mAb. Western blot was performed using Phosphop44/42 MAPK (Erk1/2) (Thr202/Tyr204) (D13.14.4E) XP® Rabbit mAb. Mouse Anti-rabbit IgG (Light-Chain Specific) (D4W3E) mAb #45262 was used as a secondary antibody.
undefined Image 49: ALK Activation Antibody Sampler Kit
Chromatin immunoprecipitations were performed with cross-linked chromatin from Hep G2 cells starved overnight and treated with IL-6 (100 ng/ml) for 30 minutes and Phospho-Stat3 (Tyr705) (D3A7) Rabbit Monoclonal Antibody, using SimpleChIP® Plus Enzymatic Chromatin IP Kit (Magnetic Beads) #9005. DNA Libraries were prepared using SimpleChIP® ChIP-seq DNA Library Prep Kit for Illumina® #56795. The figure shows binding across chromosome 5 (upper), including IRF1 (lower), a known target gene of Phospho-Stat3 (see additional figure containing ChIP-qPCR data).
undefined Image 50: ALK Activation Antibody Sampler Kit
Chromatin immunoprecipitations were performed with cross-linked chromatin from Hep G2 cells starved overnight and treated with IL-6 (100 ng/ml) for 30 minutes, and either Phospho-Stat3 (Tyr705) (D3A7) Rabbit Monoclonal Antibody or of Normal Rabbit IgG #2729 using SimpleChIP® Enzymatic Chromatin IP Kit (Magnetic Beads) #9003. The enriched DNA was quantified by real-time PCR using human IRF-1 promoter primers, SimpleChIP® Human c-Fos Promoter Primers #4663, and SimpleChIP® Human α Satellite Repeat Primers #4486. The amount of immunoprecipitated DNA in each sample is represented as signal relative to the total amount of input chromatin, which is equivalent to one.
undefined Image 51: ALK Activation Antibody Sampler Kit
Orders: 877-616-CELL (2355) [email protected] Support: 877-678-TECH (8324) [email protected] Web: cellsignal.com
For Research Use Only. Not for Use in Diagnostic Procedures.

Revision 1

Cell Signaling Technology Logo
Simple Western™ analysis of lysates (0.1 mg/mL) from serum-starved A431 cells treated with hEGF (100 ng/mL, 5 min.) using Phospho-PLCγ1 (Tyr783) (D6M9S) Rabbit mAb #14008. The virtual lane view (left) shows a single target band (as indicated) at 1:50 and 1:250 dilutions of primary antibody. The corresponding electropherogram view (right) plots chemiluminescence by molecular weight along the capillary at 1:50 (blue line) and 1:250 (green line) dilutions of primary antibody. This experiment was performed under reducing conditions on the Jess™ Simple Western instrument from ProteinSimple, a BioTechne brand, using the 12-230 kDa separation module.
undefined Image 52: ALK Activation Antibody Sampler Kit
Simple Western™ analysis of lysates (0.1 mg/mL) from Jurkat cells treated with Calyculin A (100 uM, 30 min) using Phospho-Akt (Ser473) (D9E) XP® Rabbit mAb #4060. The virtual lane view (left) shows a single target band (as indicated) at 1:10 and 1:50 dilutions of primary antibody. The corresponding electropherogram view (right) plots chemiluminescence by molecular weight along the capillary at 1:10 (blue line) and 1:50 (green line) dilutions of primary antibody. This experiment was performed under reducing conditions on the Jess™ Simple Western instrument from ProteinSimple, a BioTechne brand, using the 12-230 kDa separation module.
undefined Image 53: ALK Activation Antibody Sampler Kit

Western blot analysis of extracts from various cell lines, untreated (-) or treated (+) as indicated with human insulin (100 nM, 20 min), mouse PDGF-BB (100 ng/ml, 20 min), or human Insulin-like Growth Factor I (hIGF-I) (100 ng/ml; 5 min), using Phospho-Akt (Ser473) (D9E) XP® Rabbit mAb (upper) or Akt (pan) (C67E7) Rabbit mAb #4691 (lower).

undefined Image 54: ALK Activation Antibody Sampler Kit
Orders: 877-616-CELL (2355) [email protected] Support: 877-678-TECH (8324) [email protected] Web: cellsignal.com
For Research Use Only. Not for Use in Diagnostic Procedures.

Revision 1

Cell Signaling Technology Logo
Western blot analysis of extracts from MCF-7 cells, untreated (-) or treated with hIGF-1 (100 ng/ml, 10 min; +), using Akt (pan) (E7J2C) Mouse mAb #58295 (Panel A) and Phospho-Akt (Ser473) (D9E) XP® Rabbit mAb #4060 (Panel B). Anti-mouse IgG (H+L) (DyLight 680 Conjugate) #5470 (red) and Anti-rabbit IgG (H+L) (DyLight 800 4X PEG Conjugate) #5151 (green) were used as secondary antibodies.
undefined Image 55: ALK Activation Antibody Sampler Kit
Simple Western™ analysis of lysates (1 mg/mL) from serum-starved NK-92 cells treated with hIL-2 (10 ng/mL, O/N) using Phospho-Stat5 (Tyr694) (D47E7) XP® Rabbit mAb #4322. The virtual lane view (left) shows the target band (as indicated) at 1:10 and 1:50 dilutions of primary antibody. The corresponding electropherogram view (right) plots chemiluminescence by molecular weight along the capillary at 1:10 (blue line) and 1:50 (green line) dilutions of primary antibody. This experiment was performed under reducing conditions on the Jess™ Simple Western instrument from ProteinSimple, a BioTechne brand, using the 12-230 kDa separation module.
undefined Image 56: ALK Activation Antibody Sampler Kit
Simple Western™ analysis of lysates (0.1 mg/mL) from serum-starved HeLa cells treated with TPA (400 nM, 4 hours) using Phospho-p44/42 MAPK (Erk1/2) (Thr202/Tyr204) (D13.14.4E) XP® Rabbit mAb #4370. The virtual lane view (left) shows the target bands (as indicated) at 1:10 and 1:50 dilutions of primary antibody. The corresponding electropherogram view (right) plots chemiluminescence by molecular weight along the capillary at 1:10 (blue line) and 1:50 (green line) dilutions of primary antibody. This experiment was performed under reducing conditions on the Jess™ Simple Western instrument from ProteinSimple, a BioTechne brand, using the 12-230 kDa separation module.
undefined Image 57: ALK Activation Antibody Sampler Kit
Orders: 877-616-CELL (2355) [email protected] Support: 877-678-TECH (8324) [email protected] Web: cellsignal.com
For Research Use Only. Not for Use in Diagnostic Procedures.

Revision 1

Cell Signaling Technology Logo
Western blot analysis of extracts from Jurkat cells, treated with U0126 (10 µM, 1 hour) (negative control) or treated with TPA (200 nM, 20 min) (positive control), using p44/42 MAPK (Erk1/2) (L34F12) Mouse mAb #4696 (Panel A) and Phospho-p44/42 MAPK (Erk1/2) (Thr202/Tyr204) (D13.14.4E) XP® Rabbit mAb #4370 (Panel B). Anti-mouse IgG (H+L) (DyLight 680 Conjugate) #5470 (red) and Anti-rabbit IgG (H+L) (DyLight 800 4X PEG Conjugate) #5151 (green) were used as secondary antibodies.
undefined Image 58: ALK Activation Antibody Sampler Kit
Western blot analysis of extracts from HeLa cells, untreated or treated with IFN-alpha (#36000, 100 ng/mL, 5 min) or IFN-gamma (#80385, 100 ng/mL, 30 min); using Phospho-Stat3 (Tyr705) (D3A7) Rabbit Monoclonal Antibody #9145 (upper), Stat3 (D3Z2G) Rabbit Monoclonal Antibody #12640 (middle), and beta-Actin (D6A8) Rabbit Monoclonal antibody #8457 (lower).
undefined Image 59: ALK Activation Antibody Sampler Kit
Simple Western™ analysis of lysates (0.1 mg/mL) from serum-starved HeLa cells treated with IFN-alpha (100 ng/mL, 5 min) using Phospho-Stat3 (Tyr705) (D3A7) Rabbit Monoclonal Antibody #9145. The virtual lane view (left) shows a single target band (as indicated) at 1:10 and 1:50 dilutions of primary antibody. The corresponding electropherogram view (right) plots chemiluminescence by molecular weight along the capillary at 1:10 (blue line) and 1:50 (green line) dilutions of primary antibody. This experiment was performed under reducing conditions on the Jess™ Simple Western instrument from ProteinSimple, a BioTechne brand, using the 12-230 kDa separation module.
undefined Image 60: ALK Activation Antibody Sampler Kit
Orders: 877-616-CELL (2355) [email protected] Support: 877-678-TECH (8324) [email protected] Web: cellsignal.com
For Research Use Only. Not for Use in Diagnostic Procedures.

Revision 1

Cell Signaling Technology Logo
Western blot analysis of extracts from HeLa cells, untreated (-) or treated with INF-alpha (100 ng/ml, 5 min; +), using Stat3 (124H6) Mouse Monoclonal Antibody #9139 (Panel A) and Phospho-Stat3 (Tyr705) (D3A7) Rabbit Monoclonal #9145 (Panel B). Anti-mouse IgG (H+L) (DyLight® 680 Conjugate) #5470 (red) and Anti-rabbit IgG (H+L) (DyLight® 800 4X PEG Conjugate) #5151 (green) were used as secondary antibodies.
undefined Image 61: ALK Activation Antibody Sampler Kit
Orders: 877-616-CELL (2355) [email protected] Support: 877-678-TECH (8324) [email protected] Web: cellsignal.com
For Research Use Only. Not for Use in Diagnostic Procedures.