Revision 1

#2148

Store at -20C

CST Logo
Orders:

877-616-CELL (2355)

[email protected]

Support:

877-678-TECH (8324)

3 Trask Lane | Danvers | Massachusetts | 01923 | USA

For Research Use Only. Not for Use in Diagnostic Procedures.

Applications:
W, IHC-P, IF-IC, FC-FP

Reactivity:
H M R Mk Z B

Sensitivity:
Endogenous

MW (kDa):
55, 52

Source/Isotype:
Rabbit

UniProt ID:
#P07437, #P68363

Entrez-Gene Id:
203068, 10376

Product Usage Information

Application Dilution
Western Blotting 1:1000
Immunohistochemistry (Paraffin) 1:100
Immunofluorescence (Immunocytochemistry) 1:50
Flow Cytometry (Fixed/Permeabilized) 1:50

Storage

Supplied in 10 mM sodium HEPES (pH 7.5), 150 mM NaCl, 100 µg/ml BSA and 50% glycerol. Store at –20°C. Do not aliquot the antibody.

Specificity/Sensitivity

The alpha/beta-Tubulin Antibody detects endogenous levels of both α- and β-tubulin total protein, and does cross-react with both recombinant α- and β-tubulin.

Source / Purification

Polyclonal antibodies are produced by immunizing animals with a synthetic peptide corresponding to the sequence of human α- and β-tubulin. Antibodies are purified by protein A and peptide affinity chromatography.

Background

The cytoskeleton consists of three types of cytosolic fibers: microtubules, microfilaments (actin filaments), and intermediate filaments. Globular tubulin subunits comprise the microtubule building block, with α/β-tubulin heterodimers forming the tubulin subunit common to all eukaryotic cells. γ-tubulin is required to nucleate polymerization of tubulin subunits to form microtubule polymers. Many cell movements are mediated by microtubule action, including the beating of cilia and flagella, cytoplasmic transport of membrane vesicles, chromosome alignment during meiosis/mitosis, and nerve-cell axon migration. These movements result from competitive microtubule polymerization and depolymerization or through the actions of microtubule motor proteins (1).

Species Reactivity

Species reactivity is determined by testing in at least one approved application (e.g., western blot).

Western Blot Buffer

IMPORTANT: For western blots, incubate membrane with diluted primary antibody in 5% w/v BSA, 1X TBS, 0.1% Tween® 20 at 4°C with gentle shaking, overnight.

Applications Key

W: Western Blotting IHC-P: Immunohistochemistry (Paraffin) IF-IC: Immunofluorescence (Immunocytochemistry) FC-FP: Flow Cytometry (Fixed/Permeabilized)

Cross-Reactivity Key

H: Human M: Mouse R: Rat Mk: Monkey Z: Zebrafish B: Bovine

Trademarks and Patents

Cell Signaling Technology is a trademark of Cell Signaling Technology, Inc.

All other trademarks are the property of their respective owners. Visit cellsignal.com/trademarks for more information.

Limited Uses

Except as otherwise expressly agreed in a writing signed by a legally authorized representative of CST, the following terms apply to Products provided by CST, its affiliates or its distributors. Any Customer's terms and conditions that are in addition to, or different from, those contained herein, unless separately accepted in writing by a legally authorized representative of CST, are rejected and are of no force or effect.

Products are labeled with For Research Use Only or a similar labeling statement and have not been approved, cleared, or licensed by the FDA or other regulatory foreign or domestic entity, for any purpose. Customer shall not use any Product for any diagnostic or therapeutic purpose, or otherwise in any manner that conflicts with its labeling statement. Products sold or licensed by CST are provided for Customer as the end-user and solely for research and development uses. Any use of Product for diagnostic, prophylactic or therapeutic purposes, or any purchase of Product for resale (alone or as a component) or other commercial purpose, requires a separate license from CST. Customer shall (a) not sell, license, loan, donate or otherwise transfer or make available any Product to any third party, whether alone or in combination with other materials, or use the Products to manufacture any commercial products, (b) not copy, modify, reverse engineer, decompile, disassemble or otherwise attempt to discover the underlying structure or technology of the Products, or use the Products for the purpose of developing any products or services that would compete with CST products or services, (c) not alter or remove from the Products any trademarks, trade names, logos, patent or copyright notices or markings, (d) use the Products solely in accordance with CST Product Terms of Sale and any applicable documentation, and (e) comply with any license, terms of service or similar agreement with respect to any third party products or services used by Customer in connection with the Products.

Orders: 877-616-CELL (2355) [email protected] Support: 877-678-TECH (8324) [email protected] Web: cellsignal.com
For Research Use Only. Not for Use in Diagnostic Procedures.

Revision 1

Cell Signaling Technology Logo
Western blot analysis of extracts from HeLa, NIH/3T3, C6 and COS-7 cells, using α/β-Tubulin Antibody.
Western Blotting Image 1: alpha/beta-Tubulin Antibody
Western blot analysis of recombinant alpha-tubulin and beta-tubulin GST-fusion proteins, and extracts from NIH/3T3 and C6 cells, using α/β-Tubulin Antibody (left) and GST Antibody #2622 (right).
Western Blotting Image 2: alpha/beta-Tubulin Antibody
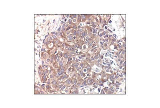
Immunohistochemical analysis of paraffin-embedded human breast carcinoma using α/β-Tubulin Antibody.
Immunohistochemistry Image 1: alpha/beta-Tubulin Antibody
Orders: 877-616-CELL (2355) [email protected] Support: 877-678-TECH (8324) [email protected] Web: cellsignal.com
For Research Use Only. Not for Use in Diagnostic Procedures.

Revision 1

Cell Signaling Technology Logo
Immunohistochemical analysis of paraffin-embedded human colon carcinoma, showing cytoplasmic localization, using α/β-Tubulin Antibody.
Immunohistochemistry Image 2: alpha/beta-Tubulin Antibody
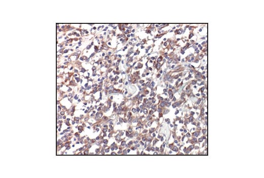
Immunohistochemical analysis of paraffin-embedded human MALToma using α/β-Tubulin Antibody.
Immunohistochemistry Image 3: alpha/beta-Tubulin Antibody
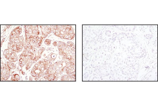
Immunohistochemical analysis of paraffin-embedded human breast carcinoma using β-Tubulin (9F3) Rabbit mAb #2128 in the presence of control peptide (left) or β-Tubulin Blocking Peptide (right).
Immunohistochemistry Image 4: alpha/beta-Tubulin Antibody
Orders: 877-616-CELL (2355) [email protected] Support: 877-678-TECH (8324) [email protected] Web: cellsignal.com
For Research Use Only. Not for Use in Diagnostic Procedures.

Revision 1

Cell Signaling Technology Logo
Confocal microscopic images of NIH/3T3 cells showing cytoskeletal stain with α/β-Tubulin Antibody (A) compared to an isotype control (B).
Immunofluorescence Image 1: alpha/beta-Tubulin Antibody
Confocal immunofluorescent analysis of NIH-3T3 cells, using α/β-Tubulin Antibody (green) and Phospho-Histone H3 (Ser10) (6G3) Mouse mAb #9706 (red) showing different stages of the cell cycle.
Immunofluorescence Image 2: alpha/beta-Tubulin Antibody
Flow cytometric analysis of C6 cells using α/β-Tubulin Antibody (blue) compared to a nonspecific negative control antibody (red).
Flow Cytometry Image 1: alpha/beta-Tubulin Antibody
Orders: 877-616-CELL (2355) [email protected] Support: 877-678-TECH (8324) [email protected] Web: cellsignal.com
For Research Use Only. Not for Use in Diagnostic Procedures.