Revision 1

#4026

Store at -20C

CST Logo
Orders:

877-616-CELL (2355)

[email protected]

Support:

877-678-TECH (8324)

3 Trask Lane | Danvers | Massachusetts | 01923 | USA

For Research Use Only. Not for Use in Diagnostic Procedures.

Applications:
W, IF-IC

Reactivity:
H M R Hm Mk Dg

Sensitivity:
Endogenous

MW (kDa):
43

Source/Isotype:
Rabbit

UniProt ID:
#Q9NVD7

Entrez-Gene Id:
55742

Product Usage Information

Application Dilution
Western Blotting 1:1000
Immunofluorescence (Immunocytochemistry) 1:400

Storage

Supplied in 10 mM sodium HEPES (pH 7.5), 150 mM NaCl, 100 µg/ml BSA and 50% glycerol. Store at –20°C. Do not aliquot the antibody.

Specificity/Sensitivity

alpha-Parvin Antibody detects endogenous levels of total α-parvin protein.

Source / Purification

Polyclonal antibodies are produced by immunizing animals with a synthetic peptide corresponding to residues near the amino terminus of human α-parvin. Antibodies are purified by peptide affinity chromatography.

Background

The extracellular matrix (ECM) is a complex structure of secreted macromolecules surrounding mammalian organs and tissues. Controlled interactions between cells and the ECM are important in proliferation, migration, survival, polarity, and differentiation. Cells contact the ECM primarily through heterodimeric integral membrane proteins called integrins. Integrins connect the ECM to the cytoskeleton, and therefore the cell signaling machinery, through protein complexes called focal adhesions (1).
The ILK/PINCH/Parvin (IPP) complex is composed of three highly conserved proteins recruited to sites of ECM contact as pre-assembled structures. The IPP acts at the interface of the integrin/actin connection to regulate formation of focal adhesions and integrin signaling. All three proteins contain multiple protein binding domains allowing them to function as adaptor proteins in the formation of focal adhesions. ILK (integrin-linked kinase) also has a catalytic (protein Ser/Thr kinase) domain, and may or may not function as a kinase in vivo. Roles for IPP proteins outside of the IPP complex have been proposed, including regulation of gene expression (2,3).
The parvin family consists of 3 members, α-parvin/actopaxin, β-parvin/affixin, and γ-parvin. α-parvin and β-parvin are expressed ubiquitously, while expression of γ-parvin is restricted to hematopoietic cells (4). α-parvin binds to f-actin both directly and via interaction with the focal adhesion protein paxillin (5). α-parvin regulates cell spreading and motility through interactions with the cofilin kinase TESK1 (6), and with the GTPase activating protein CdGAP (7). Phosphorylation of α-parvin during mitosis may have a role in the regulation of actin dynamics during the cell cycle (8).

Species Reactivity

Species reactivity is determined by testing in at least one approved application (e.g., western blot).

Western Blot Buffer

IMPORTANT: For western blots, incubate membrane with diluted primary antibody in 5% w/v BSA, 1X TBS, 0.1% Tween® 20 at 4°C with gentle shaking, overnight.

Applications Key

W: Western Blotting IF-IC: Immunofluorescence (Immunocytochemistry)

Cross-Reactivity Key

H: Human M: Mouse R: Rat Hm: Hamster Mk: Monkey Dg: Dog

Trademarks and Patents

Cell Signaling Technology is a trademark of Cell Signaling Technology, Inc.

All other trademarks are the property of their respective owners. Visit cellsignal.com/trademarks for more information.

Limited Uses

Except as otherwise expressly agreed in a writing signed by a legally authorized representative of CST, the following terms apply to Products provided by CST, its affiliates or its distributors. Any Customer's terms and conditions that are in addition to, or different from, those contained herein, unless separately accepted in writing by a legally authorized representative of CST, are rejected and are of no force or effect.

Products are labeled with For Research Use Only or a similar labeling statement and have not been approved, cleared, or licensed by the FDA or other regulatory foreign or domestic entity, for any purpose. Customer shall not use any Product for any diagnostic or therapeutic purpose, or otherwise in any manner that conflicts with its labeling statement. Products sold or licensed by CST are provided for Customer as the end-user and solely for research and development uses. Any use of Product for diagnostic, prophylactic or therapeutic purposes, or any purchase of Product for resale (alone or as a component) or other commercial purpose, requires a separate license from CST. Customer shall (a) not sell, license, loan, donate or otherwise transfer or make available any Product to any third party, whether alone or in combination with other materials, or use the Products to manufacture any commercial products, (b) not copy, modify, reverse engineer, decompile, disassemble or otherwise attempt to discover the underlying structure or technology of the Products, or use the Products for the purpose of developing any products or services that would compete with CST products or services, (c) not alter or remove from the Products any trademarks, trade names, logos, patent or copyright notices or markings, (d) use the Products solely in accordance with CST Product Terms of Sale and any applicable documentation, and (e) comply with any license, terms of service or similar agreement with respect to any third party products or services used by Customer in connection with the Products.

Orders: 877-616-CELL (2355) [email protected] Support: 877-678-TECH (8324) [email protected] Web: cellsignal.com
For Research Use Only. Not for Use in Diagnostic Procedures.

Revision 1

Cell Signaling Technology Logo
Western blot analysis of extracts from various cell types using α-Parvin Antibody. In lane 2, HeLa cells were isolated in mitosis by mitotic shake-off following nocodozole treatment (100 ng/mL for 4 hours).
Western Blotting Image 1: alpha-Parvin Antibody
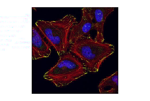
Confocal immunofluorescent analysis of HeLa cells using α-Parvin Antibody (green). Actin filaments have been labeled with DY-554 phalloidin (red). Blue pseudocolor = DRAQ5® #4084 (fluorescent DNA dye).
Immunofluorescence Image 1: alpha-Parvin Antibody
Orders: 877-616-CELL (2355) [email protected] Support: 877-678-TECH (8324) [email protected] Web: cellsignal.com
For Research Use Only. Not for Use in Diagnostic Procedures.