Revision 3

#9784

Store at -20C

Alzheimer's Disease Antibody Sampler Kit

1 Kit

(8 x 20 microliters)

CST Logo
Orders:

877-616-CELL (2355)

[email protected]

Support:

877-678-TECH (8324)

3 Trask Lane | Danvers | Massachusetts | 01923 | USA

For Research Use Only. Not for Use in Diagnostic Procedures.

Product Includes Product # Quantity Mol. Wt Isotype/Source
beta-Amyloid (D54D2) Rabbit Monoclonal Antibody824320 µl5 kDaRabbit IgG
Neurofilament-L (C28E10) Rabbit Monoclonal Antibody283720 µl70 kDaRabbit IgG
Tau (Tau46) Mouse Monoclonal Antibody401920 µl50-80 kDaMouse IgG1
BACE1 (D10E5) Rabbit Monoclonal Antibody560620 µl70 kDaRabbit IgG
APP/beta-Amyloid (NAB228) Mouse Monoclonal Antibody245020 µl100 to 140 kDaMouse IgG2a
alpha-Synuclein (Syn204) Mouse Monoclonal Antibody264720 µl18 kDaMouse IgG2a
GSK-3 alpha/beta (D75D3) Rabbit Monoclonal Antibody567620 µl51, 46 kDaRabbit IgG
Phospho-GSK-3 alpha (Ser21) (36E9) Rabbit Monoclonal Antibody931620 µl51 kDaRabbit IgG
Anti-rabbit IgG, HRP-linked Antibody7074100 µlGoat
Anti-mouse IgG, HRP-linked Antibody7076100 µlHorse

Please visit cellsignal.com for individual component applications, species cross-reactivity, dilutions, protocols, and additional product information.

Description

The Alzheimer's Disease Antibody Sampler Kit provides an economical means of evaluating Alzheimer's disease-related signaling. The kit contains enough primary and secondary antibodies to perform two western blot experiments per primary antibody.

Storage

Supplied in 10 mM sodium HEPES (pH 7.5), 150 mM NaCl, 100 µg/ml BSA, 50% glycerol and less than 0.02% sodium azide. Store at –20°C. Do not aliquot the antibody.

Background

Alzheimer's disease (AD) is one of the most common neurodegenerative diseases worldwide. Clinically, it is characterized by the presence of extracellular amyloid plaques and intracellular neurofibrillary tangles, which results in neuronal dysfunction and cell death. Central to this disease is the differential processing of the integral transmembrane glycoprotein Amyloid β (A4) precursor protein (APP) that exists as several isoforms (1). The amino acid sequence of APP contains the amyloid domain, which can be released by a two-step proteolytic cleavage (1). β-secretase (BACE) is an aspartic acid proteinase that catalyses the initial step in APP processing by cleaving and releasing a soluble, extracellular APP-β (sAPPβ) ectodomain and generating a membrane-bound, carboxy-terminal fragment consisting of 99 amino acids (CTF99). Additional processing of CTF99 by γ-secretase generates the amyloid β-peptide (Aβ) that forms aggregates in the brains of AD patients. BACE is an attractive target for inhibitors in AD therapy since it catalyses the first and rate limiting step in amyloidogenic APP processing (2). Pro-BACE-1 is synthesized in the ER before it is transported to the trans-Golgi network to undergo maturation (3). The extracellular deposition and accumulation of the released Aβ fragments and an α-synuclein fragment known as the non- Aβ fragment, form the main components of amyloid plaques in AD. GSK-3α regulates the production of Aβ peptides. Administration of therapeutic concentrations of lithium, a GSK-3 inhibitor, attenuates Aβ production by specifically inhibiting the cleavage of APP by γ-secretase, thereby blocking accumulation of Aβ peptides in the brains of mice that overproduce APP (4). AD is also characterized by the presence of neurofibrillary tangles. These tangles are the result of hyperphosphorylation and oligomerization of the microtubule associated protein Tau and lead to apoptosis of the neuron. In particular, phosphorylation of Tau Ser396 by GSK-3

Trademarks and Patents

Cell Signaling Technology is a trademark of Cell Signaling Technology, Inc.

U.S. Patent No. 7,429,487, foreign equivalents, and child patents deriving therefrom.

All other trademarks are the property of their respective owners. Visit cellsignal.com/trademarks for more information.

Limited Uses

Except as otherwise expressly agreed in a writing signed by a legally authorized representative of CST, the following terms apply to Products provided by CST, its affiliates or its distributors. Any Customer's terms and conditions that are in addition to, or different from, those contained herein, unless separately accepted in writing by a legally authorized representative of CST, are rejected and are of no force or effect.

Products are labeled with For Research Use Only or a similar labeling statement and have not been approved, cleared, or licensed by the FDA or other regulatory foreign or domestic entity, for any purpose. Customer shall not use any Product for any diagnostic or therapeutic purpose, or otherwise in any manner that conflicts with its labeling statement. Products sold or licensed by CST are provided for Customer as the end-user and solely for research and development uses. Any use of Product for diagnostic, prophylactic or therapeutic purposes, or any purchase of Product for resale (alone or as a component) or other commercial purpose, requires a separate license from CST. Customer shall (a) not sell, license, loan, donate or otherwise transfer or make available any Product to any third party, whether alone or in combination with other materials, or use the Products to manufacture any commercial products, (b) not copy, modify, reverse engineer, decompile, disassemble or otherwise attempt to discover the underlying structure or technology of the Products, or use the Products for the purpose of developing any products or services that would compete with CST products or services, (c) not alter or remove from the Products any trademarks, trade names, logos, patent or copyright notices or markings, (d) use the Products solely in accordance with CST Product Terms of Sale and any applicable documentation, and (e) comply with any license, terms of service or similar agreement with respect to any third party products or services used by Customer in connection with the Products.

Orders: 877-616-CELL (2355) [email protected] Support: 877-678-TECH (8324) [email protected] Web: cellsignal.com
For Research Use Only. Not for Use in Diagnostic Procedures.

Revision 3

Cell Signaling Technology Logo
Western blot analysis of extracts from HeLa and SK-N-MC cells, using APP/beta-Amyloid (NAB228) Mouse mAb.
undefined Image 1: Alzheimer's Disease Antibody Sampler Kit
Dual immunohistochemical analysis of paraffin-embedded human Alzheimer's brain using APP/β-Amyloid (NAB228) Mouse mAb (red) and Iba1/AIF-1 (E4O4W) XP® Rabbit mAb #17198 (brown).
undefined Image 2: Alzheimer's Disease Antibody Sampler Kit
Western blot analysis of extracts from human cerebellum and HeLa cells, using α-Synuclein (Syn204) Mouse mAb.
undefined Image 3: Alzheimer's Disease Antibody Sampler Kit
Orders: 877-616-CELL (2355) [email protected] Support: 877-678-TECH (8324) [email protected] Web: cellsignal.com
For Research Use Only. Not for Use in Diagnostic Procedures.

Revision 3

Cell Signaling Technology Logo
Western blot analysis of extracts from mouse brain, HeLa cells and rat brain, using Neurofilament-L (C28E10) Rabbit mAb.
undefined Image 4: Alzheimer's Disease Antibody Sampler Kit
Western blot analysis of normal mouse brain and Tau KO (-/-) mouse brain with Tau (Tau46) Mouse mAb (upper) and β-Actin (D6A8) Rabbit mAb #8457 (lower). Tau-KO mouse brain tissue was kindly provided by Dr. Dominic Walsh at Brigham and Women's Hospital and Harvard Medical School.
undefined Image 5: Alzheimer's Disease Antibody Sampler Kit
Western blot analysis of extracts from HeLa cells, untransfected and BACE1 transfected, and rat brain extracts using BACE1 (D10E5) Rabbit mAb.
undefined Image 6: Alzheimer's Disease Antibody Sampler Kit
Orders: 877-616-CELL (2355) [email protected] Support: 877-678-TECH (8324) [email protected] Web: cellsignal.com
For Research Use Only. Not for Use in Diagnostic Procedures.

Revision 3

Cell Signaling Technology Logo
Western blot analysis of various cell lines using GSK-3α/β (D75D3) Rabbit mAb.
undefined Image 7: Alzheimer's Disease Antibody Sampler Kit
After the primary antibody is bound to the target protein, a complex with HRP-linked secondary antibody is formed. The LumiGLO® is added and emits light during enzyme catalyzed decomposition.
undefined Image 8: Alzheimer's Disease Antibody Sampler Kit
After the primary antibody is bound to the target protein, a complex with HRP-linked secondary antibody is formed. The LumiGLO* is added and emits light during enzyme catalyzed decomposition.
undefined Image 9: Alzheimer's Disease Antibody Sampler Kit
Orders: 877-616-CELL (2355) [email protected] Support: 877-678-TECH (8324) [email protected] Web: cellsignal.com
For Research Use Only. Not for Use in Diagnostic Procedures.

Revision 3

Cell Signaling Technology Logo
Western blot analysis of human Aβ-42, Aβ-40, Aβ-39, Aβ-38, and Aβ-37 peptides (5 ng) using β-Amyloid (D54D2) XP® Rabbit mAb.
undefined Image 10: Alzheimer's Disease Antibody Sampler Kit
Western blot analysis of extracts from COS-7 cells, λ-phosphatase or PDGF-treated, using Phospho-GSK-3α (Ser21) (36E9) Rabbit mAb (upper) or GSK-3α Antibody #9338 (lower).
undefined Image 11: Alzheimer's Disease Antibody Sampler Kit
Immunohistochemical analysis of paraffin-embedded Alzheimer's brain, using APP/beta-Amyloid (NAB228) Mouse mAb.
undefined Image 12: Alzheimer's Disease Antibody Sampler Kit
Orders: 877-616-CELL (2355) [email protected] Support: 877-678-TECH (8324) [email protected] Web: cellsignal.com
For Research Use Only. Not for Use in Diagnostic Procedures.

Revision 3

Cell Signaling Technology Logo
Immunohistochemical analysis of paraffin-embedded human brain, using α-Synuclein (Syn204) Mouse mAb.
undefined Image 13: Alzheimer's Disease Antibody Sampler Kit
Immunohistochemical analysis of paraffin-embedded mouse brain using Neurofilament-L (C28E10) Rabbit mAb.
undefined Image 14: Alzheimer's Disease Antibody Sampler Kit
Western blot analysis of extracts from mouse and rat brain, using Tau (Tau46) Mouse mAb.
undefined Image 15: Alzheimer's Disease Antibody Sampler Kit
Orders: 877-616-CELL (2355) [email protected] Support: 877-678-TECH (8324) [email protected] Web: cellsignal.com
For Research Use Only. Not for Use in Diagnostic Procedures.

Revision 3

Cell Signaling Technology Logo
Confocal immunofluorescent analysis of mouse hippocampus using BACE1 (D10E5) Rabbit mAb (green). Blue pseudocolor = DRAQ5® #4084 (fluorescent DNA dye).
undefined Image 16: Alzheimer's Disease Antibody Sampler Kit
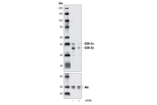
Western blot analysis of extracts from HeLa cells, mock transfected or transfected with SignalSilence® GSK-3α/β siRNA #6301, using GSK-3α/β (D75D3) XP® Rabbit mAb (upper) and Akt (pan) (C67E7) Rabbit mAb #4691 (lower).
undefined Image 17: Alzheimer's Disease Antibody Sampler Kit
Western blot analysis of the indicated amounts of human Aβ-42 (left) and Aβ-40 (right) peptides using β-Amyloid (D54D2) XP® Rabbit mAb.
undefined Image 18: Alzheimer's Disease Antibody Sampler Kit
Orders: 877-616-CELL (2355) [email protected] Support: 877-678-TECH (8324) [email protected] Web: cellsignal.com
For Research Use Only. Not for Use in Diagnostic Procedures.

Revision 3

Cell Signaling Technology Logo
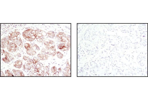
Immunohistochemical analysis of paraffin-embedded human breast carcinoma , untreated (left) or lambda phosphatase treated (right), using Phospho-GSK-3alpha (Ser 21) (36E9) Rabbit mAb.
undefined Image 19: Alzheimer's Disease Antibody Sampler Kit
Immunohistochemical analysis of paraffin-embedded human brain using Neurofilament-L (C28E10) Rabbit mAb in the presence of control peptide (left) or Neurofilament-L blocking peptide #1005 (right).
undefined Image 20: Alzheimer's Disease Antibody Sampler Kit
Confocal immunfluorescent analysis of H4 expressing BACE (left), or H4 wild-type, (right) cells using BACE1 (D10E5) Rabbit mAb (green). Actin filaments were labeled with DyLight® 554 Phalloidin #13054 (red). Blue pseudocolor = DRAQ5® #4084 (fluorescent DNA dye). (H4 wild type and H4 cells expressing BACE were kindly provided by Dr. Giuseppina Tesco, Tufts University, Boston, MA).
undefined Image 21: Alzheimer's Disease Antibody Sampler Kit
Orders: 877-616-CELL (2355) [email protected] Support: 877-678-TECH (8324) [email protected] Web: cellsignal.com
For Research Use Only. Not for Use in Diagnostic Procedures.

Revision 3

Cell Signaling Technology Logo
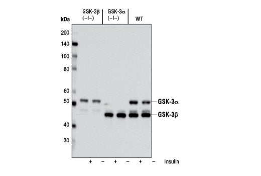
Western blot analysis of extracts from GSK-3β (-/-) (lanes 1,2), GSK-3α (-/-) (lanes 3,4) and wild type (lanes 5,6) mouse embryonic fibroblast cells (MEF), untreated or insulin treated, using GSK-3α/β (D75D3) XP® Rabbit mAb. (MEF wild type, GSK-3α (-/-) and GSK-3β (-/-) cells were kindly provided by Dr. Jim Woodgett, University of Toronto, Canada).
undefined Image 22: Alzheimer's Disease Antibody Sampler Kit
Western blot analysis of human Aβ-42 peptide (1 ng) and human cerebrospinal fluid (CSF) of an AD patient using β-Amyloid (D54D2) XP® Rabbit mAb.
undefined Image 23: Alzheimer's Disease Antibody Sampler Kit
Immunohistochemical analysis of paraffin-embedded LNCaP cells, untreated (left) or LY294002-treated (right), using Phospho-GSK-3alpha (Ser 21) (36E9) Rabbit mAb.
undefined Image 24: Alzheimer's Disease Antibody Sampler Kit
Orders: 877-616-CELL (2355) [email protected] Support: 877-678-TECH (8324) [email protected] Web: cellsignal.com
For Research Use Only. Not for Use in Diagnostic Procedures.

Revision 3

Cell Signaling Technology Logo
Confocal immunofluorescent analysis of normal rat cerebellum using Neurofilament-L (C28E10) Rabbit mAb (green) and GFAP (GA5) Mouse mAb #3670 (red). Blue pseudocolor = DRAQ5® #4084 (fluorescent DNA dye).
undefined Image 25: Alzheimer's Disease Antibody Sampler Kit
Immunohistochemical analysis of paraffin-embedded human breast carcinoma using Phospho-GSK-3α (Ser21) (36E9) Rabbit mAb in the presence of control peptide (left) or Phospho-GSK-3α (Ser21) (36E9) Blocking Peptide #1027 (right).
undefined Image 26: Alzheimer's Disease Antibody Sampler Kit
Confocal immunofluorescent analysis of brain from an amyloid mouse model of Alzheimer's disease using APP/β-Amyloid (NAB228) Mouse mAb #2450 (green), GFAP (GA5) Mouse mAb #3670 (yellow), and HS1 (D5A9) XP® Rabbit mAb (Rodent Specific) #3892 (red). Samples were mounted in ProLong® Gold Antifade Reagent with DAPI #8961 (blue).
undefined Image 27: Alzheimer's Disease Antibody Sampler Kit
Orders: 877-616-CELL (2355) [email protected] Support: 877-678-TECH (8324) [email protected] Web: cellsignal.com
For Research Use Only. Not for Use in Diagnostic Procedures.

Revision 3

Cell Signaling Technology Logo
Confocal immunofluorescent analysis of mouse subicular cortex from an amyloid mouse model of Alzheimer's Disease using β-Amyloid (D54D2) XP® Rabbit mAb #8243 (green) and GFAP (GA5) Mouse mAb #3670 (red). Samples were mounted in ProLong® Gold Antifade Reagent with DAPI #8961 (blue).
undefined Image 28: Alzheimer's Disease Antibody Sampler Kit
Immunohistochemical analysis of paraffin-embedded human lung carcinoma using Phospho-GSK-3alpha (Ser 21) (36E9) Rabbit mAb.
undefined Image 29: Alzheimer's Disease Antibody Sampler Kit
Simple Western™ analysis of lysates (1 mg/ml) from Rat brain lysates using Neurofilament-L (C28E10) Rabbit mAb #2837. The virtual lane view (left) shows the target band (as indicated) at 1:50 and 1:250 dilutions of primary antibody. The corresponding electropherogram view (right) plots chemiluminescence by molecular weight along the capillary at 1:50 (blue line) and 1:250 (green line) dilutions of primary antibody. This experiment was performed under reducing conditions on the Jess™ Simple Western instrument from ProteinSimple, a BioTechne brand, using the 12-230kDa.
undefined Image 30: Alzheimer's Disease Antibody Sampler Kit
Orders: 877-616-CELL (2355) [email protected] Support: 877-678-TECH (8324) [email protected] Web: cellsignal.com
For Research Use Only. Not for Use in Diagnostic Procedures.

Revision 3

Cell Signaling Technology Logo
Simple WesternTM analysis of lysates (0.5 mg/mL) from Mouse Brain cells using Tau (Tau46) Mouse mAb #4019.  The virtual lane view (left) shows the target band (as indicated) at 1:10 and 1:50 dilutions of primary antibody.  The corresponding electropherogram view (right) plots chemiluminescence by molecular weight along the capillary at 1:10 (blue line) and 1:50 (green line) dilutions of primary antibody.  This experiment was performed under reducing conditions on the JessTM Simple Western instrument from ProteinSimple, a BioTechne brand, using the 12-230 kDa separation module.
undefined Image 31: Alzheimer's Disease Antibody Sampler Kit
Immunoprecipitation of BACE1 from Rat Brain extracts. Lane 1 is 10% input, lane 2 is Rabbit (DA1E) mAb IgG XP® Isotype Control #3900, and lane 3 is BACE1 (D10E5) Rabbit mAb. Western blot analysis was performed using BACE1 (D10E5) Rabbit mAb.
undefined Image 32: Alzheimer's Disease Antibody Sampler Kit
Simple WesternTM analysis of lysates (0.1 mg/mL) from C6 cells using GSK-3α/β (D75D3) Rabbit mAb #5676.  The virtual lane view (left) shows the target band (as indicated) at 1:10 and 1:50 dilutions of primary antibody.  The corresponding electropherogram view (right) plots chemiluminescence by molecular weight along the capillary at 1:10 (blue line) and 1:50 (green line) dilutions of primary antibody.  This experiment was performed under reducing conditions on the JessTM Simple Western instrument from ProteinSimple, a BioTechne brand, using the 12-230 kDa separation module.
undefined Image 33: Alzheimer's Disease Antibody Sampler Kit
Orders: 877-616-CELL (2355) [email protected] Support: 877-678-TECH (8324) [email protected] Web: cellsignal.com
For Research Use Only. Not for Use in Diagnostic Procedures.

Revision 3

Cell Signaling Technology Logo
Immunoprecipitation of GSK-3α/β from HeLa cell extracts. Lane 1 is 10% input, lane 2 is Rabbit (DA1E) mAb IgG XP® Isotype Control #3900, and lane 3 is GSK-3α/β (D75D3) Rabbit mAb. Western blot analysis was performed using GSK-3α/β (D75D3) Rabbit mAb. Mouse Anti-rabbit IgG (Conformation Specific) (L27A9) mAb #3678 was used as a secondary antibody.
undefined Image 34: Alzheimer's Disease Antibody Sampler Kit
Orders: 877-616-CELL (2355) [email protected] Support: 877-678-TECH (8324) [email protected] Web: cellsignal.com
For Research Use Only. Not for Use in Diagnostic Procedures.