Revision 1

#35277

Store at -20C

AMPK Substrate Antibody Sampler Kit

1 Kit

(8 x 20 microliters)

CST Logo
Orders:

877-616-CELL (2355)

[email protected]

Support:

877-678-TECH (8324)

3 Trask Lane | Danvers | Massachusetts | 01923 | USA

For Research Use Only. Not for Use in Diagnostic Procedures.

Product Includes Product # Quantity Mol. Wt Isotype/Source
Phospho-AMPK alpha (Thr172) (D4D6D) Rabbit Monoclonal Antibody5008120 µl62 kDaRabbit IgG
AMPK alpha (D5A2) Rabbit Monoclonal Antibody583120 µl62 kDaRabbit IgG
Phospho-ULK1 (Ser555) (D1H4) Rabbit Monoclonal Antibody586920 µl140-150 kDaRabbit IgG
ULK1 (D8H5) Rabbit Monoclonal Antibody805420 µl150 kDaRabbit IgG
Phospho-Raptor (Ser792) Antibody208320 µl150 kDaRabbit
Raptor (24C12) Rabbit Monoclonal Antibody228020 µl150 kDaRabbit
Beclin-1 (D40C5) Rabbit Monoclonal Antibody349520 µl60 kDaRabbit IgG
Phospho-Beclin-1 (Ser93) (D9A5G) Rabbit Monoclonal Antibody1471720 µl60 kDaRabbit IgG
Anti-rabbit IgG, HRP-linked Antibody7074100 µlGoat

Please visit cellsignal.com for individual component applications, species cross-reactivity, dilutions, protocols, and additional product information.

Description

The AMPK Substrate Antibody Sampler Kit provides an economical means of detecting total and phosphorylated substrates of AMPK. The kit provides enough antibody to perform two western blots with each primary antibody.

Storage

Supplied in 10 mM sodium HEPES (pH 7.5), 150 mM NaCl, 100 µg/ml BSA, 50% glycerol and less than 0.02% sodium azide. Store at –20°C. Do not aliquot the antibody.

Background

AMP-activated protein kinase (AMPK) is highly conserved from yeast to plants and animals and plays a key role in the regulation of energy homeostasis (1). AMPK is a heterotrimeric complex composed of a catalytic α subunit and regulatory β and γ subunits, each of which is encoded by two or three distinct genes (α1, 2; β1, 2; γ1, 2, 3) (2). The kinase is activated by an elevated AMP/ATP ratio due to cellular and environmental stress, such as heat shock, hypoxia, and ischemia (1). The tumor suppressor LKB1, in association with accessory proteins STRAD and MO25, phosphorylates AMPKα at Thr172 in the activation loop, and this phosphorylation is required for AMPK activation (3-5).
AMPK phosphorylates a number of targets controlling cellular processes such as metabolism, cell growth, and autophagy (6). It suppresses the activity of the mammalian target of rapamycin (mTOR), that plays a key role in promoting cell growth. The regulatory associated protein of mTOR (Raptor) was identified as an mTOR binding partner that mediates mTOR signaling to downstream targets (7,8). Raptor binds to mTOR substrates, including 4E-BP1 and p70 S6 kinase, through their TOR signaling (TOS) motifs and is required for mTOR-mediated phosphorylation of these substrates (9,10). AMPK directly phosphorylates Raptor at Ser722/Ser792, and this phosphorylation is essential for inhibition of the raptor-containing mTOR complex 1 (mTORC1) and induces cell cycle arrest when cells are stressed for energy (11). AMPK also promotes autophagy by directly phosphorylating ULK1 (11,12). ULK1 is a Ser/Thr kinase required for the Initiation and formation of the autophagosome. AMPK, activated during low nutrient conditions, directly phosphorylates ULK1 at multiple sites including Ser317, Ser555, and Ser777 (11,12). Conversely, mTOR, which is a regulator of cell growth and an inhibitor of autophagy, phosphorylates ULK1 at Ser757 and disrupts the interaction between ULK1 and AMPK (11). AMPK can also directly phosphorylate Beclin-1, a component of the complex downstream of ULK1 in autophagosome formation that activates the class III phosphatidylinositol 3-kinase VPS34. AMPK phosphorylates Beclin-1 at Ser93 and Ser96 residues in human, which correspond to murine Ser91 and Ser94 (14).

Trademarks and Patents

Cell Signaling Technology is a trademark of Cell Signaling Technology, Inc.

All other trademarks are the property of their respective owners. Visit cellsignal.com/trademarks for more information.

Limited Uses

Except as otherwise expressly agreed in a writing signed by a legally authorized representative of CST, the following terms apply to Products provided by CST, its affiliates or its distributors. Any Customer's terms and conditions that are in addition to, or different from, those contained herein, unless separately accepted in writing by a legally authorized representative of CST, are rejected and are of no force or effect.

Products are labeled with For Research Use Only or a similar labeling statement and have not been approved, cleared, or licensed by the FDA or other regulatory foreign or domestic entity, for any purpose. Customer shall not use any Product for any diagnostic or therapeutic purpose, or otherwise in any manner that conflicts with its labeling statement. Products sold or licensed by CST are provided for Customer as the end-user and solely for research and development uses. Any use of Product for diagnostic, prophylactic or therapeutic purposes, or any purchase of Product for resale (alone or as a component) or other commercial purpose, requires a separate license from CST. Customer shall (a) not sell, license, loan, donate or otherwise transfer or make available any Product to any third party, whether alone or in combination with other materials, or use the Products to manufacture any commercial products, (b) not copy, modify, reverse engineer, decompile, disassemble or otherwise attempt to discover the underlying structure or technology of the Products, or use the Products for the purpose of developing any products or services that would compete with CST products or services, (c) not alter or remove from the Products any trademarks, trade names, logos, patent or copyright notices or markings, (d) use the Products solely in accordance with CST Product Terms of Sale and any applicable documentation, and (e) comply with any license, terms of service or similar agreement with respect to any third party products or services used by Customer in connection with the Products.

Orders: 877-616-CELL (2355) [email protected] Support: 877-678-TECH (8324) [email protected] Web: cellsignal.com
For Research Use Only. Not for Use in Diagnostic Procedures.

Revision 1

Cell Signaling Technology Logo
Western blot analysis of extracts from MCF7 and KARPAS-299 cells, untreated (-) or treated with carbonyl cyanide 3-chlorophenylhdrazone (CCCP, 100 μM, 2 hr; +), using Phospho-Beclin-1 (Ser93) (D9A5G) Rabbit mAb (upper) and Beclin-1 (D40C5) Rabbit mAb #3495 (lower). Cell line source: Dr Abraham Karpas at the University of Cambridge.
undefined Image 1: AMPK Substrate Antibody Sampler Kit
Western blot analysis of C2C12 or 293 cells, untreated or treated with AICAR (0.5 mM for 30 minutes) or oligomycin (0.5 μM for 30 minutes), using Phospho-Raptor (Ser792) Antibody (upper and lower left ) or Raptor Antibody (upper and lower right).

*Cross-reacting bands at 200 kDa.

undefined Image 2: AMPK Substrate Antibody Sampler Kit
Western blot analysis of extracts from various cell lines, using Raptor (24C12) Rabbit mAb.
undefined Image 3: AMPK Substrate Antibody Sampler Kit
Orders: 877-616-CELL (2355) [email protected] Support: 877-678-TECH (8324) [email protected] Web: cellsignal.com
For Research Use Only. Not for Use in Diagnostic Procedures.

Revision 1

Cell Signaling Technology Logo
Western blot analysis of extracts from various cell lines using Beclin-1 (D40C5) Rabbit mAb.
undefined Image 4: AMPK Substrate Antibody Sampler Kit
Western blot analysis of extracts from serum-starved NCI-H2228 cells, untreated (-) or treated with phenformin (5 mM, 1 hr; +), using Phospho-AMPKα (Thr172) (D4D6D) Rabbit mAb (upper) or AMPKα (D63G4) Rabbit mAb #5832 (lower).
undefined Image 5: AMPK Substrate Antibody Sampler Kit
Western blot analysis of extracts from HeLa, K-562, C6, and Neuro-2a cells using AMPKα (D5A2) Rabbit mAb.
undefined Image 6: AMPK Substrate Antibody Sampler Kit
Orders: 877-616-CELL (2355) [email protected] Support: 877-678-TECH (8324) [email protected] Web: cellsignal.com
For Research Use Only. Not for Use in Diagnostic Procedures.

Revision 1

Cell Signaling Technology Logo
Western blot analysis of extracts from control U-2 OS cells or CRISPR/Cas9 ULK1 knockout (KO) U-2 OS cells, untreated (-) or treated with AMPK Activator 991 (50 μM, 1 hr; +) using Phospho-ULK1 (Ser555) (D1H4) Rabbit mAb (upper), ULK1 (D8H5) Rabbit mAb #8054 (middle), or GAPDH (D16H11) XP® Rabbit mAb #5174 (lower). The absence of signal in ULK1 KO cells confirms the specificity of the antibodies for ULK1. ULK1 knockout cells were kindly provided by Dr. Reuben Shaw, Salk Institute for Biological Studies, La Jolla, CA.
undefined Image 7: AMPK Substrate Antibody Sampler Kit
After the primary antibody is bound to the target protein, a complex with HRP-linked secondary antibody is formed. The LumiGLO® is added and emits light during enzyme catalyzed decomposition.
undefined Image 8: AMPK Substrate Antibody Sampler Kit
Western blot analysis of extracts from control U-2 OS cells or CRISPR/Cas9 ULK1 knockout (KO) U-2 OS cells, untreated (-) or treated with AMPK Activator 991 (50 μM, 1 hr; +) using ULK1 (D8H5) Rabbit mAb (upper), Phospho-ULK1 (Ser555) (D1H4) Rabbit mAb #5869 (middle), or GAPDH (D16H11) XP® Rabbit mAb #5174 (lower). The absence of signal in ULK1 KO cells confirms the specificity of the antibodies for ULK1.ULK1 knockout cells were kindly provided by Dr. Reuben Shaw, Salk Institute for Biological Studies, La Jolla, CA.
undefined Image 9: AMPK Substrate Antibody Sampler Kit
Orders: 877-616-CELL (2355) [email protected] Support: 877-678-TECH (8324) [email protected] Web: cellsignal.com
For Research Use Only. Not for Use in Diagnostic Procedures.

Revision 1

Cell Signaling Technology Logo
Western blot analysis of extracts from 293T cells, untreated (-) or treated with carbonyl cyanide 3-chlorophenylhydrazone (CCCP, 100 μM, 2 hr; +) and mock transfected (-) or transfected with a construct expressing full-length human Beclin-1 (hBeclin-1; +), using Phospho-Beclin-1 (Ser93) (D9A5G) Rabbit mAb (upper) and Beclin-1 (D40C5) Rabbit mAb #3495 (lower).
undefined Image 10: AMPK Substrate Antibody Sampler Kit
Western blot analysis of wild-type (WT) and AMPKα1 and α2 knockout (KO) mouse embryonic fibroblasts (MEFs), untreated or treated with AICAR (2 mM for 1 hour), using Phospho-Raptor (Ser792) Antibody (upper) or Raptor Antibody (lower). (Image provided by Dr. Reuben Shaw, Salk Institute for Biological Studies).

*Cross-reacting bands at 60, 70 and 240 kDa

undefined Image 11: AMPK Substrate Antibody Sampler Kit
Western blot analysis of extracts from HeLa cells, transfected with 100 nM SignalSilence® Control siRNA (Unconjugated) #6568 (-), SignalSilence® Beclin-1 siRNA I #6222 (+) or SignalSilence® Beclin-1 siRNA II (+), using Beclin-1 (D40C5) XP® Rabbit mAb #3495 (upper) or α-Tubulin (11H10) Rabbit mAb #2125 (lower). The Beclin-1 (D40C5) XP® Rabbit mAb confirms silencing of Beclin-1 expression, while the α-Tubulin (11H10) Rabbit mAb is used to control for loading and specificity of Beclin-1 siRNA.
undefined Image 12: AMPK Substrate Antibody Sampler Kit
Orders: 877-616-CELL (2355) [email protected] Support: 877-678-TECH (8324) [email protected] Web: cellsignal.com
For Research Use Only. Not for Use in Diagnostic Procedures.

Revision 1

Cell Signaling Technology Logo
Immunohistochemical analysis of paraffin-embedded NCI-H2228 cell pellets, untreated (left) or phenformin-treated (right), using Phospho-AMPKα (Thr172) (D4D6D) Rabbit mAb.
undefined Image 13: AMPK Substrate Antibody Sampler Kit
Western blot analysis of extracts from MCF7 cells, untreated or treated with oligomycin #9996 (0.5 μM, 30 minutes), and C2C12 cells, untreated or treated with hydrogen peroxide (10 mM, 5 minutes), using Phospho-ULK1 (Ser555) (D1H4) Rabbit mAb.
undefined Image 14: AMPK Substrate Antibody Sampler Kit
Western blot analysis of extracts from various cell lines using ULK1 (D8H5) Rabbit mAb.
undefined Image 15: AMPK Substrate Antibody Sampler Kit
Orders: 877-616-CELL (2355) [email protected] Support: 877-678-TECH (8324) [email protected] Web: cellsignal.com
For Research Use Only. Not for Use in Diagnostic Procedures.

Revision 1

Cell Signaling Technology Logo
Immunoprecipitation of phospho-Beclin-1 (Ser93) from carbonyl cyanide 3-chlorophenyldydrazone (CCCP)-treated KARPAS-299 cells (100 μM, 2 hr) using Rabbit (DA1E) mAb IgG XP® Isotype Control #3900 (lane 2) or Phospho-Beclin-1 (Ser93) (D9A5G) Rabbit mAb (lane 3). Lane 1 is 10% input. Western blot was performed using Phospho-Beclin-1 (Ser93) (D9A5G) Rabbit mAb. Mouse Anti-rabbit IgG (Conformation Specific) (L27A9) mAb #3678 was used as a secondary antibody to avoid cross reactivity with IgG heavy chain. Cell line source: Dr Abraham Karpas at the University of Cambridge.
undefined Image 16: AMPK Substrate Antibody Sampler Kit
Immunohistochemical analysis of paraffin-embedded human colon carcinoma using Phospho-AMPKα (Thr172) (D4D6D) Rabbit mAb, control (left) or λ phosphatase-treated (right).
undefined Image 17: AMPK Substrate Antibody Sampler Kit
Western blot analysis of extracts from MCF7 cells, untreated or treated with oligomycin #9996 (0.5 µM, 30 minutes), using Phospho-ULK1 (Ser555) (D1H4) Rabbit mAb (left). Phospho-specificity is demonstrated by pre-incubating the antibody with phosphorylated (middle) or non-phosphorylated peptides (right) against a region surrounding Ser555 of ULK1.
undefined Image 18: AMPK Substrate Antibody Sampler Kit
Orders: 877-616-CELL (2355) [email protected] Support: 877-678-TECH (8324) [email protected] Web: cellsignal.com
For Research Use Only. Not for Use in Diagnostic Procedures.

Revision 1

Cell Signaling Technology Logo
Western blot analysis of extracts from wild-type MEF and ULK1 (-/-) MEF cells using ULK1 (D8H5) Rabbit mAb (upper) and β-Actin (D6A8) Rabbit mAb #8457 (lower). MEF cells were kindly provided by Dr. Reuben Shaw (Salk Institute, La Jolla, CA).
undefined Image 19: AMPK Substrate Antibody Sampler Kit
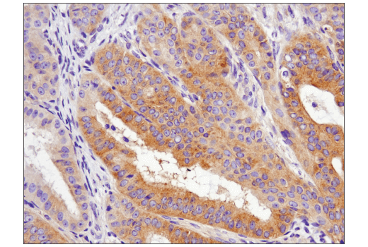
Immunohistochemical analysis of paraffin-embedded human ovarian carcinoma using Phospho-AMPKα (Thr172) (D4D6D) Rabbit mAb.
undefined Image 20: AMPK Substrate Antibody Sampler Kit
Western blot analysis of extracts from MCF7 cells, untreated (-) or treated with carbonyl cyanide 3-chlorophenylhydrazone (CCCP) (100 μM, 2 hr; +), using Phospho-ULK1 (Ser555) (D1H4) Rabbit mAb (upper) or ULK1 (D8H5) Rabbit mAb #8054 (lower).
undefined Image 21: AMPK Substrate Antibody Sampler Kit
Orders: 877-616-CELL (2355) [email protected] Support: 877-678-TECH (8324) [email protected] Web: cellsignal.com
For Research Use Only. Not for Use in Diagnostic Procedures.

Revision 1

Cell Signaling Technology Logo
Immunohistochemical analysis of paraffin-embedded human lung carcinoma using Phospho-AMPKα (Thr172) (D4D6D) Rabbit mAb in the presence of control peptide (left) or antigen-specific peptide (right).
undefined Image 22: AMPK Substrate Antibody Sampler Kit
Simple WesternTM analysis of lysates (1 mg/ml) from HeLa cells using Raptor (24C12) Rabbit mAb #2280. The virtual lane view (left) shows the target band (as indicated) at 1:10 and 1:50 dilutions of primary antibody. The corresponding electropherogram view (right) plots chemiluminescence by molecular weight along the capillary at 1:10 (blue line) and 1:50 (green line) dilutions of primary antibody. This experiment was performed under reducing conditions on the JessTM Simple Western instrument from ProteinSimple, a BioTechne brand, using the 12-230kDa.
undefined Image 23: AMPK Substrate Antibody Sampler Kit
Simple Western™ analysis of lysates (1 mg/mL) from K-562 cells using Phospho-AMPKα (Thr172) (D4D6D) Rabbit mAb #50081. The virtual lane view (left) shows the target band (as indicated) at 1:10 and 1:50 dilutions of primary antibody. The corresponding electropherogram view (right) plots chemiluminescence by molecular weight along the capillary at 1:10 (blue line) and 1:50 (green line) dilutions of primary antibody. This experiment was performed under reducing conditions on the Jess™ ​​​​​​​ Simple Western instrument from ProteinSimple, a BioTechne brand, using the 12-230 kDa separation module.
undefined Image 24: AMPK Substrate Antibody Sampler Kit
Orders: 877-616-CELL (2355) [email protected] Support: 877-678-TECH (8324) [email protected] Web: cellsignal.com
For Research Use Only. Not for Use in Diagnostic Procedures.

Revision 1

Cell Signaling Technology Logo
Western blot analysis of extracts from 293T, C2C12, and C6 cells, untreated (-) or treated with Oligomycin (5uM, 30mins; +) using Phospho-AMPKα (Thr172) (D4D6D) Rabbit mAb (upper) or AMPKα (D5A2) Rabbit mAb #5831 (lower). Phospho-AMPKα (Thr172) is induced by Oligomycin treatment as expected.
undefined Image 25: AMPK Substrate Antibody Sampler Kit
Simple Western™ analysis of lysates (1 mg/mL) from HeLa cells using AMPKα (D5A2) Rabbit mAb #5831. The virtual lane view (left) shows the target band (as indicated) at 1:10 and 1:50 dilutions of primary antibody. The corresponding electropherogram view (right) plots chemiluminescence by molecular weight along the capillary at 1:10 (blue line) and 1:50 (green line) dilutions of primary antibody. This experiment was performed under reducing conditions on the Jess™ ​​​​​​​ Simple Western instrument from ProteinSimple, a BioTechne brand, using the 12-230 kDa separation module.
undefined Image 26: AMPK Substrate Antibody Sampler Kit
Immunoprecipitation of ULK1 from MCF7 cell extracts. Lane 1 is 10% input, lane 2 is precipitated with Rabbit (DA1E) mAb IgG XP® Isotype Control #3900, and lane 3 is ULK1 (D8H5) Rabbit mAb, #8054. Western blot was performed using ULK1 (D8H5) Rabbit mAb.
undefined Image 27: AMPK Substrate Antibody Sampler Kit
Orders: 877-616-CELL (2355) [email protected] Support: 877-678-TECH (8324) [email protected] Web: cellsignal.com
For Research Use Only. Not for Use in Diagnostic Procedures.

Revision 1

Cell Signaling Technology Logo
Simple Western™ analysis of lysates (0.1 mg/mL) from RD cells using ULK1 (D8H5) Rabbit mAb #8054. The virtual lane view (left) shows a single target band (as indicated) at 1:50 and 1:250 dilutions of primary antibody. The corresponding electropherogram view (right) plots chemiluminescence by molecular weight along the capillary at 1:50 (blue line) and 1:250 (green line) dilutions of primary antibody. This experiment was performed under reducing conditions on the Jess™ Simple Western instrument from ProteinSimple, a BioTechne brand, using the 12-230 kDa separation module.
undefined Image 28: AMPK Substrate Antibody Sampler Kit
Orders: 877-616-CELL (2355) [email protected] Support: 877-678-TECH (8324) [email protected] Web: cellsignal.com
For Research Use Only. Not for Use in Diagnostic Procedures.