Revision 10

#5153

Store at -20C

CST Logo
Orders:

877-616-CELL (2355)

[email protected]

Support:

877-678-TECH (8324)

3 Trask Lane | Danvers | Massachusetts | 01923 | USA

For Research Use Only. Not for Use in Diagnostic Procedures.

Applications:
W, W-S, IP, IHC-P, IF-IC, FC-FP, ChIP, ChIP-seq, C&R

Reactivity:
H

Sensitivity:
Endogenous

MW (kDa):
110

Source/Isotype:
Rabbit IgG

UniProt ID:
#P10275

Entrez-Gene Id:
367

Product Usage Information

For optimal ChIP and ChIP-seq results, use 5 μl of antibody and 10 μg of chromatin (approximately 4 x 106 cells) per IP. This antibody has been validated using SimpleChIP® Enzymatic Chromatin IP Kits.

The CUT&RUN dilution was determined using the CUT&RUN Assay Kit #CUT&RUN Assay Kit #86652.
Application Dilution
Western Blotting 1:2000
Simple Western™ 1:50 - 1:250
Immunoprecipitation 1:50
Immunohistochemistry (Paraffin) 1:200 - 1:800
Immunofluorescence (Immunocytochemistry) 1:600 - 1:1200
Flow Cytometry (Fixed/Permeabilized) 1:400 - 1:800
Chromatin IP 1:100
Chromatin IP-seq 1:100
CUT&RUN 1:100

Storage

Supplied in 10 mM sodium HEPES (pH 7.5), 150 mM NaCl, 100 µg/ml BSA, 50% glycerol and less than 0.02% sodium azide. Store at –20°C. Do not aliquot the antibody.

For a carrier free (BSA and azide free) version of this product see product #23791.

Specificity/Sensitivity

Androgen Receptor (D6F11) Rabbit Monoclonal Antibody detects endogenous levels of total androgen receptor protein.

Source / Purification

Monoclonal antibody is produced by immunizing animals with recombinant protein corresponding to residues near the amino terminal region of human androgen receptor protein.

Background

Androgen receptor (AR), a zinc finger transcription factor belonging to the nuclear receptor superfamily, is activated by phosphorylation and dimerization upon ligand binding (1). This promotes nuclear localization and binding of AR to androgen response elements in androgen target genes. Research studies have shown that AR plays a crucial role in several stages of male development and the progression of prostate cancer (2,3).

Species Reactivity

Species reactivity is determined by testing in at least one approved application (e.g., western blot).

Western Blot Buffer

IMPORTANT: For western blots, incubate membrane with diluted primary antibody in 5% w/v nonfat dry milk, 1X TBS, 0.1% Tween® 20 at 4°C with gentle shaking, overnight.

Applications Key

W: Western Blotting W-S: Simple Western™ IP: Immunoprecipitation IHC-P: Immunohistochemistry (Paraffin) IF-IC: Immunofluorescence (Immunocytochemistry) FC-FP: Flow Cytometry (Fixed/Permeabilized) ChIP: Chromatin IP ChIP-seq: Chromatin IP-seq C&R: CUT&RUN

Cross-Reactivity Key

H: Human

Trademarks and Patents

Cell Signaling Technology is a trademark of Cell Signaling Technology, Inc.

All other trademarks are the property of their respective owners. Visit cellsignal.com/trademarks for more information.

Limited Uses

Except as otherwise expressly agreed in a writing signed by a legally authorized representative of CST, the following terms apply to Products provided by CST, its affiliates or its distributors. Any Customer's terms and conditions that are in addition to, or different from, those contained herein, unless separately accepted in writing by a legally authorized representative of CST, are rejected and are of no force or effect.

Products are labeled with For Research Use Only or a similar labeling statement and have not been approved, cleared, or licensed by the FDA or other regulatory foreign or domestic entity, for any purpose. Customer shall not use any Product for any diagnostic or therapeutic purpose, or otherwise in any manner that conflicts with its labeling statement. Products sold or licensed by CST are provided for Customer as the end-user and solely for research and development uses. Any use of Product for diagnostic, prophylactic or therapeutic purposes, or any purchase of Product for resale (alone or as a component) or other commercial purpose, requires a separate license from CST. Customer shall (a) not sell, license, loan, donate or otherwise transfer or make available any Product to any third party, whether alone or in combination with other materials, or use the Products to manufacture any commercial products, (b) not copy, modify, reverse engineer, decompile, disassemble or otherwise attempt to discover the underlying structure or technology of the Products, or use the Products for the purpose of developing any products or services that would compete with CST products or services, (c) not alter or remove from the Products any trademarks, trade names, logos, patent or copyright notices or markings, (d) use the Products solely in accordance with CST Product Terms of Sale and any applicable documentation, and (e) comply with any license, terms of service or similar agreement with respect to any third party products or services used by Customer in connection with the Products.

Orders: 877-616-CELL (2355) [email protected] Support: 877-678-TECH (8324) [email protected] Web: cellsignal.com
For Research Use Only. Not for Use in Diagnostic Procedures.

Revision 10

Cell Signaling Technology Logo
Western blot analysis of extracts from LNCaP (AR+), MCF7 (AR+), PC-3 (AR-), and DU 145 (AR-) cells using Androgen Receptor (D6F11) XP® Rabbit mAb (upper) and β-Actin Antibody #4967 (lower).
Western Blotting Image 1: Androgen Receptor (D6F11) Rabbit Monoclonal Antibody
Western blot analysis of extracts from LNCaP (AR+), VCaP (AR & AR-V7+), 22Rv1 (AR & AR-V7+), and PC-3 (AR-) cells using Androgen Receptor (D6F11) XP® Rabbit mAb (upper), and β-Actin (13E5) Rabbit mAb (lower).
Western Blotting Image 2: Androgen Receptor (D6F11) Rabbit Monoclonal Antibody
Simple Western™ analysis of lysates (0.1 mg/mL) from LNCaP cells using Androgen Receptor (D6F11) XP® Rabbit mAb #5153. The virtual lane view (left) shows a single target band (as indicated) at 1:50 and 1:250 dilutions of primary antibody. The corresponding electropherogram view (right) plots chemiluminescence by molecular weight along the capillary at 1:50 (blue line) and 1:250 (green line) dilutions of primary antibody. This experiment was performed under reducing conditions on the Jess™ Simple Western instrument from ProteinSimple, a BioTechne brand, using the 12-230 kDa separation module.
Western Blotting Image 1: Androgen Receptor (D6F11) Rabbit Monoclonal Antibody
Orders: 877-616-CELL (2355) [email protected] Support: 877-678-TECH (8324) [email protected] Web: cellsignal.com
For Research Use Only. Not for Use in Diagnostic Procedures.

Revision 10

Cell Signaling Technology Logo
Immunohistochemical analysis of paraffin-embedded LNCaP (AR+, left) and DU145 (AR-, right) using Androgen Receptor (D6F11) XP® Rabbit mAb.
Immunohistochemistry Image 1: Androgen Receptor (D6F11) Rabbit Monoclonal Antibody
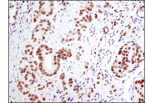
Immunohistochemical analysis of paraffin-embedded human prostate carcinoma using Androgen Receptor (D6F11) XP® Rabbit mAb.
Immunohistochemistry Image 2: Androgen Receptor (D6F11) Rabbit Monoclonal Antibody
Confocal immunofluorescent analysis of LNCaP (positive, left) and DU145 (negative, right) cells using Androgen Receptor (D6F11) XP® Rabbit mAb (green). Actin filaments have been labeled with DY-554 phalloidin (red).
Immunofluorescence Image 1: Androgen Receptor (D6F11) Rabbit Monoclonal Antibody
Orders: 877-616-CELL (2355) [email protected] Support: 877-678-TECH (8324) [email protected] Web: cellsignal.com
For Research Use Only. Not for Use in Diagnostic Procedures.

Revision 10

Cell Signaling Technology Logo
Flow cytometric analysis of DU-145 cells (blue) and LNCaP cells (green) using Androgen Receptor (D6F11) XP® Rabbit mAb (solid lines) or a concentration matched Rabbit (DA1E) mAb IgG XP® Isotype Control #3900 (dashed lines). Anti-rabbit IgG (H+L), F(ab')2 Fragment (Alexa Fluor® 488 Conjugate) #4412 was used as a secondary antibody.
Flow Cytometry Image 1: Androgen Receptor (D6F11) Rabbit Monoclonal Antibody
Chromatin immunoprecipitations were performed with cross-linked chromatin from LNCaP cells grown in phenol red free medium and 5% charcoal stripped FBS for 3 d then treated with dihydrotestosterone (DHT, 10 nM) for 4 hours and Androgen Receptor (D6F11) XP® Rabbit mAb, using SimpleChIP® Plus Enzymatic Chromatin IP Kit (Magnetic Beads) #9005. DNA Libraries were prepared using DNA Library Prep Kit for Illumina® (ChIP-seq, CUT&RUN) #56795. The figure shows binding across KLK2, a known target gene of Androgen Receptor (see additional figure containing ChIP-qPCR data). For additional ChIP-seq tracks, please download the product datasheet.
Chromatin Immunoprecipitation Image 1: Androgen Receptor (D6F11) Rabbit Monoclonal Antibody
Chromatin immunoprecipitations were performed with cross-linked chromatin from LNCaP cells grown in phenol red free medium and 5% charcoal stripped FBS for 3 d then treated with dihydrotestosterone (DHT, 10 nM) for 4 hours and Androgen Receptor (D6F11) XP® Rabbit mAb, using SimpleChIP® Plus Enzymatic Chromatin IP Kit (Magnetic Beads) #9005. DNA Libraries were prepared using DNA Library Prep Kit for Illumina® (ChIP-seq, CUT&RUN) #56795. The figure shows binding across chromosome 19 (upper), including KLK2 (lower), a known target gene of Androgen Receptor (see additional figure containing ChIP-qPCR data).
Chromatin Immunoprecipitation Image 2: Androgen Receptor (D6F11) Rabbit Monoclonal Antibody
Orders: 877-616-CELL (2355) [email protected] Support: 877-678-TECH (8324) [email protected] Web: cellsignal.com
For Research Use Only. Not for Use in Diagnostic Procedures.

Revision 10

Cell Signaling Technology Logo
Chromatin immunoprecipitations were performed with cross-linked chromatin from LNCaP cells grown in phenol red free medium and 5% charcoal stripped FBS for 3 d then treated with dihydrotestosterone (DHT, 10 nM) for 4 hours and either Androgen Receptor (D6F11) XP® Rabbit mAb or Normal Rabbit IgG #2729 using SimpleChIP® Plus Enzymatic Chromatin IP Kit (Magnetic Beads) #9005. The enriched DNA was quantified by real-time PCR using SimpleChIP® Human KLK2 Intron 1 Primers #62086, SimpleChIP® Human KLK3 Promoter Primers #32784, and SimpleChIP® Human α Satellite Repeat Primers #4486. The amount of immunoprecipitated DNA in each sample is represented as signal relative to the total amount of input chromatin, which is equivalent to one.
Chromatin Immunoprecipitation Image 3: Androgen Receptor (D6F11) Rabbit Monoclonal Antibody
CUT&RUN was performed with LNCaP cells grown in phenol red free medium and 5% charcoal stripped FBS for 3 d then treated with dihydrotestosterone (DHT, 10 nM) for 4 hours and Androgen Receptor (D6F11) XP® Rabbit mAb, using CUT&RUN Assay Kit #86652. DNA Libraries were prepared using DNA Library Prep Kit for Illumina® (ChIP-seq, CUT&RUN) #56795. The figure shows binding across KLK2, a known target gene of Androgen Receptor (see additional figure containing CUT&RUN-qPCR data).
CUT & RUN Image 1: Androgen Receptor (D6F11) Rabbit Monoclonal Antibody
CUT&RUN was performed with LNCaP cells grown in phenol red free medium and 5% charcoal stripped FBS for 3 d then treated with dihydrotestosterone (DHT, 10 nM) for 4 hours and Androgen Receptor (D6F11) XP® Rabbit mAb, using CUT&RUN Assay Kit #86652. DNA Libraries were prepared using DNA Library Prep Kit for Illumina® (ChIP-seq, CUT&RUN) #56795. The figures show binding across chromosome 19 (upper), including KLK2 (lower), a known target gene of Androgen Receptor (see additional figure containing CUT&RUN-qPCR data).
CUT & RUN Image 2: Androgen Receptor (D6F11) Rabbit Monoclonal Antibody
Orders: 877-616-CELL (2355) [email protected] Support: 877-678-TECH (8324) [email protected] Web: cellsignal.com
For Research Use Only. Not for Use in Diagnostic Procedures.

Revision 10

Cell Signaling Technology Logo
CUT&RUN was performed with LNCaP cells grown in phenol red free medium and 5% charcoal stripped FBS for 3 d then treated with dihydrotestosterone (DHT, 10 nM) for 4 hours and either Androgen Receptor (D6F11) XP® Rabbit mAb or Rabbit (DA1E) mAb IgG XP® Isotype Control (CUT&RUN) #66362, using CUT&RUN Assay Kit #86652. The enriched DNA was quantified by real-time PCR using SimpleChIP® Human KLK2 Intron 1 Primers #62086 and SimpleChIP® Human α Satellite Repeat Primers #4486. The amount of immunoprecipitated DNA in each sample is represented as signal relative to the total amount of input chromatin, which is equivalent to one.
CUT & RUN Image 3: Androgen Receptor (D6F11) Rabbit Monoclonal Antibody
Orders: 877-616-CELL (2355) [email protected] Support: 877-678-TECH (8324) [email protected] Web: cellsignal.com
For Research Use Only. Not for Use in Diagnostic Procedures.