Revision 1

#8696

Store at -20C

Angiogenesis Antibody Sampler Kit

1 Kit

(7 x 20 microliters)

CST Logo
Orders:

877-616-CELL (2355)

[email protected]

Support:

877-678-TECH (8324)

3 Trask Lane | Danvers | Massachusetts | 01923 | USA

For Research Use Only. Not for Use in Diagnostic Procedures.

Product Includes Product # Quantity Mol. Wt Isotype/Source
Phospho-VEGF Receptor 2 (Tyr1175) (19A10) Rabbit Monoclonal Antibody247820 µl230 kDaRabbit IgG
Phospho-Akt (Ser473) (D9E) Rabbit Monoclonal Antibody406020 µl60 kDaRabbit IgG
Phospho-Src Family (Tyr416) (D49G4) Rabbit Monoclonal Antibody694320 µl60 kDaRabbit IgG
Phospho-FAK (Tyr397) (D20B1) Rabbit Monoclonal Antibody855620 µl125 kDaRabbit IgG
Phospho-p38 MAPK (Thr180/Tyr182) (D3F9) Rabbit Monoclonal Antibody451120 µl43 kDaRabbit IgG
Phospho-PLC gamma1 (Ser1248) (D25A9) Rabbit Monoclonal Antibody871320 µl150 kDaRabbit IgG
Phospho-p44/42 MAPK (Erk1/2) (Thr202/Tyr204) (D13.14.4E) Rabbit Monoclonal Antibody437020 µl44, 42 kDaRabbit IgG
Anti-rabbit IgG, HRP-linked Antibody7074100 µlGoat

Please visit cellsignal.com for individual component applications, species cross-reactivity, dilutions, protocols, and additional product information.

Description

The Angiogenesis Antibody Sampler Kit provides an economical means to investigate the angiogenic pathway downstream of VEGFR2. The kit contains enough primary antibody to perform two western blots per primary antibody.

Storage

Supplied in 10 mM sodium HEPES (pH 7.5), 150 mM NaCl, 100 µg/ml BSA, 50% glycerol and less than 0.02% sodium azide. Store at –20°C. Do not aliquot the antibody.

Background

Vascular endothelial growth factor receptor 2 (VEGFR2, KDR, Flk-1) is a major receptor for VEGF-induced signaling in endothelial cells. Upon ligand binding, VEGFR2 undergoes autophosphorylation and becomes activated (1). Signaling from VEGFR2 is necessary for angiogenesis in vivo (2-4). Activation of the receptor leads to rapid recruitment of adaptor proteins, including Shc, GRB2, PI3 kinase, NCK, and the protein tyrosine phosphatases SHP-1 and SHP-2 (5). Phosphorylation of VEGFR2 at Tyr1212 provides a docking site for GRB2 binding and phosphorylation at Tyr1175 binds the p85 subunit of PI3 kinase and PLCγ (1,5,6). Activation of VEGFR2 during angiogenesis leads to signaling through multiple downstream kinase pathways including Akt, Src, FAK, p38, and Erk1/2 (2,7).

Trademarks and Patents

Cell Signaling Technology is a trademark of Cell Signaling Technology, Inc.

All other trademarks are the property of their respective owners. Visit cellsignal.com/trademarks for more information.

Limited Uses

Except as otherwise expressly agreed in a writing signed by a legally authorized representative of CST, the following terms apply to Products provided by CST, its affiliates or its distributors. Any Customer's terms and conditions that are in addition to, or different from, those contained herein, unless separately accepted in writing by a legally authorized representative of CST, are rejected and are of no force or effect.

Products are labeled with For Research Use Only or a similar labeling statement and have not been approved, cleared, or licensed by the FDA or other regulatory foreign or domestic entity, for any purpose. Customer shall not use any Product for any diagnostic or therapeutic purpose, or otherwise in any manner that conflicts with its labeling statement. Products sold or licensed by CST are provided for Customer as the end-user and solely for research and development uses. Any use of Product for diagnostic, prophylactic or therapeutic purposes, or any purchase of Product for resale (alone or as a component) or other commercial purpose, requires a separate license from CST. Customer shall (a) not sell, license, loan, donate or otherwise transfer or make available any Product to any third party, whether alone or in combination with other materials, or use the Products to manufacture any commercial products, (b) not copy, modify, reverse engineer, decompile, disassemble or otherwise attempt to discover the underlying structure or technology of the Products, or use the Products for the purpose of developing any products or services that would compete with CST products or services, (c) not alter or remove from the Products any trademarks, trade names, logos, patent or copyright notices or markings, (d) use the Products solely in accordance with CST Product Terms of Sale and any applicable documentation, and (e) comply with any license, terms of service or similar agreement with respect to any third party products or services used by Customer in connection with the Products.

Orders: 877-616-CELL (2355) [email protected] Support: 877-678-TECH (8324) [email protected] Web: cellsignal.com
For Research Use Only. Not for Use in Diagnostic Procedures.

Revision 1

Cell Signaling Technology Logo
Phospho-VEGF Receptor 2 (Tyr1175) (19A10) Rabbit mAb specifically binds to phosphorylated VEGFR2, but not other phosphorylated tyrosine kinases. Western blot analysis of extracts from cells expressing different activated tyrosine kinase proteins, using Phospho-VEGF Receptor-2 (Tyr1175) (19A10) Rabbit mAb (upper) and Phospho-Tyrosine mAb (P-Tyr-100) #9411 (lower). CKR/PAE cells (lanes 12 and 13) express chimeric receptors containing human CSF-1 extracellular binding domain/mouse VEGF receptor-2 intracellular domain (7). CSF-1 stimulates phosphorylation of Tyr1175 of intracellular VEGF receptor-2 domain (lane 12), which was specifically detected by Phospho-VEGF Receptor-2 (Tyr1175) (19A10) Rabbit mAb.
undefined Image 1: Angiogenesis Antibody Sampler Kit
Western blot analysis of extracts from PC-3 cells, untreated or LY294002/wortmannin-treated, and NIH/3T3 cells, serum-starved or PDGF-treated, using Phospho-Akt (Ser473) (D9E) XP® Rabbit mAb (upper) or Akt (pan) (C67E7) Rabbit mAb #4691 (lower).
undefined Image 2: Angiogenesis Antibody Sampler Kit
Immunohistochemical analysis of paraffin-embedded human urothelial carcinoma using Phospho-p44/42 MAPK (Erk1/2) (Thr202/Tyr204) (D13.14.4E) XP® Rabbit mAb performed on the Leica BOND RX.
undefined Image 3: Angiogenesis Antibody Sampler Kit
Orders: 877-616-CELL (2355) [email protected] Support: 877-678-TECH (8324) [email protected] Web: cellsignal.com
For Research Use Only. Not for Use in Diagnostic Procedures.

Revision 1

Cell Signaling Technology Logo
Western blot analysis of extracts from various cell lines treated with TPA (200nM, 4 hr) or PDGF (100ng/mL, 10 min) as indicated, using Phospho-p44/42 MAPK (Erk1/2) (Thr202/Tyr204) (D13.14.4E) XP® Rabbit mAb (upper), p44/42 MAPK (Erk1/2) (137F5) Rabbit mAb #4695 (middle), or β-Actin (D6A8) Rabbit mAb #8457 (lower).
undefined Image 4: Angiogenesis Antibody Sampler Kit
Western blot analysis of extracts from COS and 293 cells, untreated or UV-treated, using Phospho-p38 MAPK (Thr180/Tyr182) (D3F9) XP® Rabbit mAb (upper) or p38 MAPK Antibody #9212 (lower).
undefined Image 5: Angiogenesis Antibody Sampler Kit
Western blot analysis of extracts NIH/3T3 cells, serum-starved or treated with human Platelet-Derived Growth Factor BB hPDGF-BB (100 ng/ml, 15 min), using Phospho-Src Family (Tyr416) (D49G4) Rabbit mAb (upper) or Src (36D10) Rabbit mAb #2109 (lower).
undefined Image 6: Angiogenesis Antibody Sampler Kit
Orders: 877-616-CELL (2355) [email protected] Support: 877-678-TECH (8324) [email protected] Web: cellsignal.com
For Research Use Only. Not for Use in Diagnostic Procedures.

Revision 1

Cell Signaling Technology Logo
After the primary antibody is bound to the target protein, a complex with HRP-linked secondary antibody is formed. The LumiGLO® is added and emits light during enzyme catalyzed decomposition.
undefined Image 7: Angiogenesis Antibody Sampler Kit
Western blot analysis of extracts from A549 cells, untreated or treated with calf intestinal phosphatase (CIP), using Phospho-FAK (Tyr397) (D20B1) Rabbit mAb (upper) and FAK Antibody #3285 (lower).
undefined Image 8: Angiogenesis Antibody Sampler Kit
Western blot analysis of extracts from serum-starved A-431 and A549 cells, untreated (-) or treated (+) with hEGF (100 ng/mL, 15 min) or serum-starved NIH/3T3 cells, untreated (-) or treated (+) with hPDGF-BB (50 ng/mL, 15 min), using Phospho-PLCγ1 (Ser1248) (D25A9) Rabbit mAb (upper) or PLCγ1 (D9H10) XP® Rabbit mAb #5690 (lower).
undefined Image 9: Angiogenesis Antibody Sampler Kit
Orders: 877-616-CELL (2355) [email protected] Support: 877-678-TECH (8324) [email protected] Web: cellsignal.com
For Research Use Only. Not for Use in Diagnostic Procedures.

Revision 1

Cell Signaling Technology Logo
Western blot analysis of extracts from HUVE cells, untreated or stimulated with VEGF (50 ng/ml for 2 minutes), using Phospho-VEGF Receptor 2 (Tyr1175) (19A10) Rabbit mAb (upper) and VEGF Receptor 2 (55B11) Rabbit mAb #2479 (lower).
undefined Image 10: Angiogenesis Antibody Sampler Kit
Immunoprecipitation of phospho-Akt (Ser473) from Jurkat extracts treated with Calyculin A #9902 (100nM, 30 min). Lane 1 is 10% input, lane 2 is Phospho-Akt (Ser473) (D9E) XP® Rabbit mAb, and lane 3 is Rabbit (DA1E) mAb IgG XP® Isotype Control #3900. Western blot analysis was performed with Phospho-Akt (Ser473) (D9E) XP® Rabbit mAb. Anti-rabbit IgG, HRP-linked Antibody #7074 was used as a secondary antibody.
undefined Image 11: Angiogenesis Antibody Sampler Kit
Western blot analysis of extracts from 293, NIH/3T3 and C6 cells, treated with λ phosphatase or TPA #4174 as indicated, using Phospho-p44/42 MAPK (Erk1/2) (Thr202/Tyr204) (D13.14.4E) XP® Rabbit mAb (upper), or p44/42 MAPK (Erk1/2) (137F5) Rabbit mAb #4695 (lower).
undefined Image 12: Angiogenesis Antibody Sampler Kit
Orders: 877-616-CELL (2355) [email protected] Support: 877-678-TECH (8324) [email protected] Web: cellsignal.com
For Research Use Only. Not for Use in Diagnostic Procedures.

Revision 1

Cell Signaling Technology Logo
Immunohistochemical analysis of paraffin-embedded human squamous cell carcinoma of the skin using Phospho-p44/42 MAPK (Erk1/2) (Thr202/Tyr204) (D13.14.4E) XP® Rabbit mAb performed on the Leica BOND RX.
undefined Image 13: Angiogenesis Antibody Sampler Kit
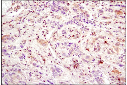
Immunohistochemical analysis of paraffin-embedded human colon carcinoma using Phospho-p38 MAPK (Thr180/Tyr182) (D3F9) XP® Rabbit mAb.
undefined Image 14: Angiogenesis Antibody Sampler Kit
Simple Western™ analysis of lysates (1 mg/mL) from 3T3+PDGF cells using Phospho-Src Family (Tyr416) (D49G4) Rabbit mAb #6943. The virtual lane view (left) shows the target band (as indicated) at 1:10 and 1:50 dilutions of primary antibody. The corresponding electropherogram view (right) plots chemiluminescence by molecular weight along the capillary at 1:10 (blue line) and 1:50 (green line) dilutions of primary antibody. This experiment was performed under reducing conditions on the Jess™ Simple Western instrument from ProteinSimple, a BioTechne brand, using the 12-230 kDa separation module.
undefined Image 15: Angiogenesis Antibody Sampler Kit
Orders: 877-616-CELL (2355) [email protected] Support: 877-678-TECH (8324) [email protected] Web: cellsignal.com
For Research Use Only. Not for Use in Diagnostic Procedures.

Revision 1

Cell Signaling Technology Logo
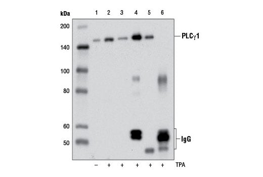
Immunoprecipitation (IP)/Western blot analysis of extracts from serum-starved HeLa cells, untreated (-) or treated (+) with TPA #4174 (100 nM, 15 min) prior to lysis in SDS (lanes 1 and 2) or IP lysis buffer (lane 3, TPA-treated only). IP Lysates were then subjected to immunoprecipitation with Phospho-PLCγ1 (Ser1248) (D25A9) Rabbit mAb (lane 4), PLCγ1 (D9H10) XP® Rabbit mAb #5690 (lane 5), or Normal Rabbit IgG #2729 (lane 6). The western blot was probed using Phospho-PLCγ1 (Ser1248) (D25A9) Rabbit mAb. Lane 3 represents 10% input.
undefined Image 16: Angiogenesis Antibody Sampler Kit
Immunohistochemical analysis of paraffin-embedded human lung carcinoma using Phospho-Akt (Ser473) (D9E) XP® Rabbit mAb.
undefined Image 17: Angiogenesis Antibody Sampler Kit
Immunohistochemical analysis of paraffin-embedded human breast carcinoma using Phospho-p44/42 MAPK (Erk1/2) (Thr202/Tyr204) (D13.14.4E) XP® Rabbit mAb.
undefined Image 18: Angiogenesis Antibody Sampler Kit
Orders: 877-616-CELL (2355) [email protected] Support: 877-678-TECH (8324) [email protected] Web: cellsignal.com
For Research Use Only. Not for Use in Diagnostic Procedures.

Revision 1

Cell Signaling Technology Logo
Immunohistochemical analysis of paraffin-embedded human endometrioid adenocarcinoma using Phospho-p44/42 MAPK (Erk1/2) (Thr202/Tyr204) (D13.14.4E) XP® Rabbit mAb performed on the Leica BOND RX.
undefined Image 19: Angiogenesis Antibody Sampler Kit
Immunohistochemical analysis of paraffin-embedded mouse colon using Phospho-p38 MAPK (Thr180/Tyr182) (D3F9) XP® Rabbit mAb.
undefined Image 20: Angiogenesis Antibody Sampler Kit
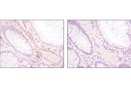
Immunohistochemical analysis of paraffin-embedded human colon (normal adjacent to tumor) using Phospho-PLCγ1 (Ser1248) (D25A9) Rabbit mAb in the presence of control peptide (left) or antigen-specific peptide (right).
undefined Image 21: Angiogenesis Antibody Sampler Kit
Orders: 877-616-CELL (2355) [email protected] Support: 877-678-TECH (8324) [email protected] Web: cellsignal.com
For Research Use Only. Not for Use in Diagnostic Procedures.

Revision 1

Cell Signaling Technology Logo
Immunohistochemical analysis of paraffin-embedded human breast carcinoma using Phospho-Akt (Ser473) (D9E) XP® Rabbit mAb.
undefined Image 22: Angiogenesis Antibody Sampler Kit
Immunohistochemical analysis of paraffin-embedded human lung carcinoma, untreated (left) or λ phosphatase-treated (right), using Phospho-p44/42 MAPK (Erk1/2) (Thr202/Tyr204) (D13.14.4E) XP® Rabbit mAb.
undefined Image 23: Angiogenesis Antibody Sampler Kit
Immunohistochemical analysis of paraffin-embedded human prostate adenocarcinoma using Phospho-p44/42 MAPK (Erk1/2) (Thr202/Tyr204) (D13.14.4E) XP® Rabbit mAb performed on the Leica BOND RX.
undefined Image 24: Angiogenesis Antibody Sampler Kit
Orders: 877-616-CELL (2355) [email protected] Support: 877-678-TECH (8324) [email protected] Web: cellsignal.com
For Research Use Only. Not for Use in Diagnostic Procedures.

Revision 1

Cell Signaling Technology Logo
Immunohistochemical analysis of paraffin-embedded 293T cell pellets, untreated (left) or UV-treated (right), using Phospho-p38 MAPK (Thr180/Tyr182) (D3F9) XP® Rabbit mAb.
undefined Image 25: Angiogenesis Antibody Sampler Kit
Immunohistochemical analysis of paraffin-embedded human breast carcinoma using Phospho-PLCγ1 (Ser1248) (D25A9) Rabbit mAb.
undefined Image 26: Angiogenesis Antibody Sampler Kit
Immunohistochemical analysis of paraffin-embedded PTEN heterozygous mutant mouse endometrium using Phospho-Akt (Ser473) (D9E) XP® Rabbit mAb. (Tissue section courtesy of Dr. Sabina Signoretti, Brigham and Women's Hospital, Harvard Medical School, Boston, MA.)
undefined Image 27: Angiogenesis Antibody Sampler Kit
Orders: 877-616-CELL (2355) [email protected] Support: 877-678-TECH (8324) [email protected] Web: cellsignal.com
For Research Use Only. Not for Use in Diagnostic Procedures.

Revision 1

Cell Signaling Technology Logo
Immunohistochemical analysis using Phospho-p44/42 MAPK (Erk1/2) (Thr202/Tyr204) (D13.14.4E) XP® Rabbit mAb on SignalSlide™ Phospho-p44/42 MAPK (Thr202/Tyr204) IHC Controls #8103 (paraffin-embedded NIH/3T3 cells, treated with U0126 #9903 (left) or TPA #4174 (right).
undefined Image 28: Angiogenesis Antibody Sampler Kit
Immunohistochemical analysis of SignalSlide® Phospho-EGF Receptor IHC Controls #8102 [paraffin-embedded KYSE450 cell pellets untreated (left) or EGF-treated (right)] using Phospho-PLCγ1 (Ser1248) (D25A9) Rabbit mAb.
undefined Image 29: Angiogenesis Antibody Sampler Kit
Immunohistochemical analysis of paraffin-embedded MDA-MB-468 xenograft using Phospho-Akt (Ser473) (D9E) XP® Rabbit mAb (left) or PTEN (138G6) Rabbit mAb #9559 (right). Note the presence of P-Akt staining in the PTEN deficient MDA-MB-468 cells.
undefined Image 30: Angiogenesis Antibody Sampler Kit
Orders: 877-616-CELL (2355) [email protected] Support: 877-678-TECH (8324) [email protected] Web: cellsignal.com
For Research Use Only. Not for Use in Diagnostic Procedures.

Revision 1

Cell Signaling Technology Logo
Confocal immunofluorescent analysis of Drosophila egg chambers, untreated (top) or λ phosphatase-treated (bottom), using Phospho-p44/42 MAPK (Erk1/2) (Thr202/Tyr204) (D13.14.4E) XP® Rabbit mAb #4370 (green) and S6 Ribosomal Protein (54D2) Mouse mAb #2317 (red). Blue pseudocolor = DRAQ5® #4084 (fluorescent DNA dye).
undefined Image 31: Angiogenesis Antibody Sampler Kit
Confocal immunofluorescent analysis of COS cells, untreated (left) or anisomycin-treated (right) using Phospho-p38 MAPK (Thr180/Tyr182) (D3F9) XP® Rabbit mAb (green). Actin filaments have been labeled with DY-554 phalloidin (red).
undefined Image 32: Angiogenesis Antibody Sampler Kit
Confocal immunofluorescent analysis of A-431 cells, serum starved (left) or treated with hEGF (100 ng/mL for 15 min) using Phospho-PLCγ1 (Ser1248) (D25A9) Rabbit mAb (green). Blue pseudocolor = DRAQ5® #4084 (fluorescent DNA dye).
undefined Image 33: Angiogenesis Antibody Sampler Kit
Orders: 877-616-CELL (2355) [email protected] Support: 877-678-TECH (8324) [email protected] Web: cellsignal.com
For Research Use Only. Not for Use in Diagnostic Procedures.

Revision 1

Cell Signaling Technology Logo
Immunohistochemical analysis of paraffin-embedded human breast carcinoma comparing SignalStain® Antibody Diluent #8112 (left) to TBST/5% normal goat serum (right) using Phospho-Akt (Ser473) (D9E) XP® Rabbit mAb #4060.
undefined Image 34: Angiogenesis Antibody Sampler Kit
Confocal immunofluorescent analysis of HT1080 cells, starved overnight then treated with U0126 #9903 (10 uM, 2 h; left) or PDBu (Phorbol 12,13-Dibutyrate) #12808 (100 nM, 15 m; right) using Phospho-p44/42 MAPK (Erk1/2) (Thr202/Tyr204) (D13.14.4E) XP® Rabbit mAb #4370 (green) and β-Actin (8H10D10) Mouse mAb #3700 (red). Blue pseudocolor = DRAQ5® #4084 (fluorescent DNA dye).
undefined Image 35: Angiogenesis Antibody Sampler Kit
Immunohistochemical analysis of paraffin-embedded human lung adenocarcinoma using Phospho-p44/42 MAPK (Erk1/2) (Thr202/Tyr204) (D13.14.4E) XP® Rabbit mAb.
undefined Image 36: Angiogenesis Antibody Sampler Kit
Orders: 877-616-CELL (2355) [email protected] Support: 877-678-TECH (8324) [email protected] Web: cellsignal.com
For Research Use Only. Not for Use in Diagnostic Procedures.

Revision 1

Cell Signaling Technology Logo
Flow cytometric analysis of Jurkat cells, untreated (blue) or treated with Anisomycin (25µM, 30 min; green) using Phospho-p38 MAPK (Thr180/Tyr182) (D3F9) XP® Rabbit mAb (solid lines) or concentration-matched Rabbit (DA1E) mAb IgG XP® Isotype Control #3900 (dashed lines). Anti-rabbit IgG (H+L), F(ab')2 Fragment (Alexa Fluor® 488 Conjugate) #4412 was used as a secondary antibody.
undefined Image 37: Angiogenesis Antibody Sampler Kit
Flow cytometric analysis of human peripheral blood mononuclear cells, untreated (left column) or treated with cross-linked anti-CD3 plus anti-CD28 (10ug/ml each, 15 min; right column), using Phospho-PLCγ1 (Ser1248) (D25A9) Rabbit mAb (top row) or concentration-matched Rabbit (DA1E) mAb IgG XP® Isotype Control #3900 (bottom row), and co-stained with CD3 (UCHT1) Mouse mAb (APC Conjugate) #19881. Anti-rabbit IgG (H+L), F(ab')2 Fragment (Alexa Fluor® 488 Conjugate) #4412 was used as a secondary antibody.
undefined Image 38: Angiogenesis Antibody Sampler Kit
Immunohistochemical analysis of paraffin-embedded U-87MG xenograft, untreated (left) or lambda phosphatase-treated (right), using Phospho-Akt (Ser473) (D9E) XP® Rabbit mAb.
undefined Image 39: Angiogenesis Antibody Sampler Kit
Orders: 877-616-CELL (2355) [email protected] Support: 877-678-TECH (8324) [email protected] Web: cellsignal.com
For Research Use Only. Not for Use in Diagnostic Procedures.

Revision 1

Cell Signaling Technology Logo
Flow cytometric analysis of Jurkat cells, treated with U0126 (10 µM, 2 hrs; green) or treated with TPA #4174 (200 nM, 30 min; blue) using Phospho-p44/42 MAPK (Erk1/2) (Thr202/Tyr204) (D13.14.4E) XP® Rabbit mAb (solid lines) or concentration-matched Rabbit (DA1E) mAb IgG XP® Isotype Control #3900 (dashed lines). Anti-rabbit IgG (H+L), F(ab')2 Fragment (Alexa Fluor® 488 Conjugate) #4412 was used as a secondary antibody.
undefined Image 40: Angiogenesis Antibody Sampler Kit
Immunohistochemical analysis of paraffin-embedded 4T1 syngeneic tumor using Phospho-p44/42 MAPK (Erk1/2) (Thr202/Tyr204) (D13.14.4E) XP® Rabbit mAb.
undefined Image 41: Angiogenesis Antibody Sampler Kit
Flow cytometric analysis of Jurkat cells, treated with U0126 #9903 (10uM, 2 hr; blue) or TPA #4174 (200nM, 30 min; green) using Phospho-PLCγ1 (Ser1248) (D25A9) Rabbit mAb (solid lines) or concentration-matched Rabbit (DA1E) mAb IgG XP® Isotype Control #3900 (dashed lines). Anti-rabbit IgG (H+L), F(ab')2 Fragment (Alexa Fluor® 488 Conjugate) was used as a secondary antibody.
undefined Image 42: Angiogenesis Antibody Sampler Kit
Orders: 877-616-CELL (2355) [email protected] Support: 877-678-TECH (8324) [email protected] Web: cellsignal.com
For Research Use Only. Not for Use in Diagnostic Procedures.

Revision 1

Cell Signaling Technology Logo
Immunohistochemical analysis using Phospho-Akt (Ser473) (D9E) XP® Rabbit mAb on SignalSlide® Phospho-Akt (Ser473) IHC Controls #8101 (paraffin-embedded LNCaP cells, untreated (left) or LY294002-treated (right)).
undefined Image 43: Angiogenesis Antibody Sampler Kit
Confocal immunofluorescent analysis of C2C12 cells, LY294002-treated (left) or insulin-treated (right), using Phospho-Akt (Ser473) (D9E) XP® Rabbit mAb (green). Actin filaments have been labeled with Alexa Fluor® 555 phalloidin #8953 (red). Blue pseudocolor = DRAQ5®#4084 (fluorescent DNA dye).
undefined Image 44: Angiogenesis Antibody Sampler Kit
Flow cytometric analysis of Jurkat cells, untreated (green) or treated with LY294002 #9901, Wortmannin #9951, and U0126 #9903 (50 μM, 1 μM, and 10 μM, 2 hr; blue) using Phospho-Akt (Ser473) (D9E) XP® Rabbit mAb (solid lines) or concentration-matched Rabbit (DA1E) mAb IgG XP® Isotype Control #3900 (dashed lines). Anti-rabbit IgG (H+L), F(ab')2 Fragment (Alexa Fluor® 488 Conjugate) #4412 was used as a secondary antibody.
undefined Image 45: Angiogenesis Antibody Sampler Kit
Orders: 877-616-CELL (2355) [email protected] Support: 877-678-TECH (8324) [email protected] Web: cellsignal.com
For Research Use Only. Not for Use in Diagnostic Procedures.

Revision 1

Cell Signaling Technology Logo
Immunoprecipitation of Phospho-p44/42 MAPK (Erk1/2) (Thr202/Tyr204) from 3T3 cell extracts. Cells were treated with TPA, (200 nM, 15 min). Lane 1 is 10% input, lane 2 is Rabbit (DA1E) mAb IgG XP® Isotype Control #3900, and lane 3 is Phospho-p44/42 MAPK (Erk1/2) (Thr202/Tyr204) (D13.14.4E) XP® Rabbit mAb. Western blot was performed using Phosphop44/42 MAPK (Erk1/2) (Thr202/Tyr204) (D13.14.4E) XP® Rabbit mAb. Mouse Anti-rabbit IgG (Light-Chain Specific) (D4W3E) mAb #45262 was used as a secondary antibody.
undefined Image 46: Angiogenesis Antibody Sampler Kit
Simple Western™ analysis of lysates (0.1 mg/mL) from Jurkat cells treated with Calyculin A (100 uM, 30 min) using Phospho-Akt (Ser473) (D9E) XP® Rabbit mAb #4060. The virtual lane view (left) shows a single target band (as indicated) at 1:10 and 1:50 dilutions of primary antibody. The corresponding electropherogram view (right) plots chemiluminescence by molecular weight along the capillary at 1:10 (blue line) and 1:50 (green line) dilutions of primary antibody. This experiment was performed under reducing conditions on the Jess™ Simple Western instrument from ProteinSimple, a BioTechne brand, using the 12-230 kDa separation module.
undefined Image 47: Angiogenesis Antibody Sampler Kit

Western blot analysis of extracts from various cell lines, untreated (-) or treated (+) as indicated with human insulin (100 nM, 20 min), mouse PDGF-BB (100 ng/ml, 20 min), or human Insulin-like Growth Factor I (hIGF-I) (100 ng/ml; 5 min), using Phospho-Akt (Ser473) (D9E) XP® Rabbit mAb (upper) or Akt (pan) (C67E7) Rabbit mAb #4691 (lower).

undefined Image 48: Angiogenesis Antibody Sampler Kit
Orders: 877-616-CELL (2355) [email protected] Support: 877-678-TECH (8324) [email protected] Web: cellsignal.com
For Research Use Only. Not for Use in Diagnostic Procedures.

Revision 1

Cell Signaling Technology Logo
Western blot analysis of extracts from MCF-7 cells, untreated (-) or treated with hIGF-1 (100 ng/ml, 10 min; +), using Akt (pan) (E7J2C) Mouse mAb #58295 (Panel A) and Phospho-Akt (Ser473) (D9E) XP® Rabbit mAb #4060 (Panel B). Anti-mouse IgG (H+L) (DyLight 680 Conjugate) #5470 (red) and Anti-rabbit IgG (H+L) (DyLight 800 4X PEG Conjugate) #5151 (green) were used as secondary antibodies.
undefined Image 49: Angiogenesis Antibody Sampler Kit
Simple Western™ analysis of lysates (0.1 mg/mL) from serum-starved HeLa cells treated with TPA (400 nM, 4 hours) using Phospho-p44/42 MAPK (Erk1/2) (Thr202/Tyr204) (D13.14.4E) XP® Rabbit mAb #4370. The virtual lane view (left) shows the target bands (as indicated) at 1:10 and 1:50 dilutions of primary antibody. The corresponding electropherogram view (right) plots chemiluminescence by molecular weight along the capillary at 1:10 (blue line) and 1:50 (green line) dilutions of primary antibody. This experiment was performed under reducing conditions on the Jess™ Simple Western instrument from ProteinSimple, a BioTechne brand, using the 12-230 kDa separation module.
undefined Image 50: Angiogenesis Antibody Sampler Kit
Western blot analysis of extracts from Jurkat cells, treated with U0126 (10 µM, 1 hour) (negative control) or treated with TPA (200 nM, 20 min) (positive control), using p44/42 MAPK (Erk1/2) (L34F12) Mouse mAb #4696 (Panel A) and Phospho-p44/42 MAPK (Erk1/2) (Thr202/Tyr204) (D13.14.4E) XP® Rabbit mAb #4370 (Panel B). Anti-mouse IgG (H+L) (DyLight 680 Conjugate) #5470 (red) and Anti-rabbit IgG (H+L) (DyLight 800 4X PEG Conjugate) #5151 (green) were used as secondary antibodies.
undefined Image 51: Angiogenesis Antibody Sampler Kit
Orders: 877-616-CELL (2355) [email protected] Support: 877-678-TECH (8324) [email protected] Web: cellsignal.com
For Research Use Only. Not for Use in Diagnostic Procedures.

Revision 1

Cell Signaling Technology Logo
Simple Western™ analysis of lysates (0.1 mg/mL) from HeLa cells treated with UV using Phospho-p38 MAPK (Thr180/Tyr182) (D3F9) XP® Rabbit mAb #4511. The virtual lane view (left) shows the target band (as indicated) at 1:50 and 1:250 dilutions of primary antibody. The corresponding electropherogram view (right) plots chemiluminescence by molecular weight along the capillary at 1:50 (blue line) and 1:250 (green line) dilutions of primary antibody. This experiment was performed under reducing conditions on the Jess™ Simple Western instrument from ProteinSimple, a BioTechne brand, using the 12-230 kDa separation module.
undefined Image 52: Angiogenesis Antibody Sampler Kit
Simple Western™ analysis of lysates (0.1 mg/mL) from A-549 cells using Phospho-FAK (Tyr397) (D20B1) Rabbit mAb #8556. The virtual lane view (left) shows the target band (as indicated) at 1:10 and 1:50 dilutions of primary antibody. The corresponding electropherogram view (right) plots chemiluminescence by molecular weight along the capillary at 1:10 (blue line) and 1:50 (green line) dilutions of primary antibody. This experiment was performed under reducing conditions on the Jess™ Simple Western instrument from ProteinSimple, a BioTechne brand, using the 12-230 kDa separation module.
undefined Image 53: Angiogenesis Antibody Sampler Kit
Simple Western™ analysis of lysates (0.8 mg/mL) from 3T3+PDGF (100ng/mL, 15min) cells using Phospho-PLCγ1 (Ser1248) (D25A9) Rabbit mAb #8713. The virtual lane view (left) shows the target band (as indicated) at 1:10 and 1:50 dilutions of primary antibody. The corresponding electropherogram view (right) plots chemiluminescence by molecular weight along the capillary at 1:10 (blue line) and 1:50 (green line) dilutions of primary antibody. This experiment was performed under reducing conditions on the Jess™ Simple Western instrument from ProteinSimple, a BioTechne brand, using the 12-230 kDa separation module.
undefined Image 54: Angiogenesis Antibody Sampler Kit
Orders: 877-616-CELL (2355) [email protected] Support: 877-678-TECH (8324) [email protected] Web: cellsignal.com
For Research Use Only. Not for Use in Diagnostic Procedures.