Revision 2

#78451

Store at -20C

CST Logo
Orders:

877-616-CELL (2355)

[email protected]

Support:

877-678-TECH (8324)

3 Trask Lane | Danvers | Massachusetts | 01923 | USA

For Research Use Only. Not for Use in Diagnostic Procedures.

Product Includes Product # Quantity Mol. Wt Isotype/Source
VEGF-A (E9X8Q) Rabbit Monoclonal Antibody5066120 µl16, 20, 23, 26 kDaRabbit IgG
VEGF Receptor 2 (D5B1) Rabbit Monoclonal Antibody969820 µl210, 230 kDaRabbit IgG
Phospho-VEGF Receptor 2 (Tyr1175) (19A10) Rabbit Monoclonal Antibody247820 µl230 kDaRabbit IgG
PDGF Receptor beta (28E1) Rabbit Monoclonal Antibody316920 µl190 kDaRabbit IgG
Phospho-PDGF Receptor beta (Tyr751) (88H8) Mouse Monoclonal Antibody316620 µl190 kDaMouse IgG2b
FGF Receptor 1 (D8E4) Rabbit Monoclonal Antibody974020 µl92 , 120, 145 kDaRabbit IgG
Phospho-FGF Receptor 1 (Tyr653/654) (D4X3D) Rabbit Monoclonal Antibody5292820 µl120, 145 kDaRabbit IgG
Phospho-Tie2 (Tyr992) Antibody422120 µl160 kDaRabbit
Anti-rabbit IgG, HRP-linked Antibody7074100 µlGoat
Tie2 (D9D10) Rabbit Monoclonal Antibody740320 µl160 kDaRabbit IgG

Please visit cellsignal.com for individual component applications, species cross-reactivity, dilutions, protocols, and additional product information.

Description

The Angiogenesis Receptor Tyrosine Kinase Antibody Sampler Kit provides an economical means of detecting the activation of VEGF receptor 2, FGF receptor 1, PDGF receptor beta, Tie2, and VEGF-A using phospho-specific and control antibodies. The kit includes enough antibodies to perform two western blot experiments with each primary antibody.

Storage

Supplied in 10 mM sodium HEPES (pH 7.5), 150 mM NaCl, 100 µg/mL BSA, 50% glycerol, and less than 0.02% sodium azide. Store at –20°C. Do not aliquot the antibody.

Background

Angiogenesis is defined as the physiological process by which new blood vessels are formed from pre-existing blood vessels. It is a critical process that enables specific physiological conditions in healthy adults, including development, skeletal muscle hypertrophy, and wound healing (1,2). Angiogenesis can be aberrantly activated to generate new blood vessels during pathological conditions such as cancer, neovascular disorders, and chronic inflammation. Angiogenesis is a complicated process regulated by multiple mechanisms and pathways (3). VEGFR2 is a member of the family of receptor tyrosine kinases (RTKs) mainly located in endothelial cells and is a major player in angiogenesis. VEGF-VEGFR2 ligand-receptor activation is the key signaling pathway for angiogenesis activation (4,5). Multiple non-VEGF RTK activations can replace VEGFR to promote angiogenesis (6,7), including PDGFR (9), FGFR (8), and Tie2 (10). These RTKs are targets for an antiangiogenic based disease treatment (11,12).

Trademarks and Patents

Cell Signaling Technology is a trademark of Cell Signaling Technology, Inc.

All other trademarks are the property of their respective owners. Visit cellsignal.com/trademarks for more information.

Limited Uses

Except as otherwise expressly agreed in a writing signed by a legally authorized representative of CST, the following terms apply to Products provided by CST, its affiliates or its distributors. Any Customer's terms and conditions that are in addition to, or different from, those contained herein, unless separately accepted in writing by a legally authorized representative of CST, are rejected and are of no force or effect.

Products are labeled with For Research Use Only or a similar labeling statement and have not been approved, cleared, or licensed by the FDA or other regulatory foreign or domestic entity, for any purpose. Customer shall not use any Product for any diagnostic or therapeutic purpose, or otherwise in any manner that conflicts with its labeling statement. Products sold or licensed by CST are provided for Customer as the end-user and solely for research and development uses. Any use of Product for diagnostic, prophylactic or therapeutic purposes, or any purchase of Product for resale (alone or as a component) or other commercial purpose, requires a separate license from CST. Customer shall (a) not sell, license, loan, donate or otherwise transfer or make available any Product to any third party, whether alone or in combination with other materials, or use the Products to manufacture any commercial products, (b) not copy, modify, reverse engineer, decompile, disassemble or otherwise attempt to discover the underlying structure or technology of the Products, or use the Products for the purpose of developing any products or services that would compete with CST products or services, (c) not alter or remove from the Products any trademarks, trade names, logos, patent or copyright notices or markings, (d) use the Products solely in accordance with CST Product Terms of Sale and any applicable documentation, and (e) comply with any license, terms of service or similar agreement with respect to any third party products or services used by Customer in connection with the Products.

Orders: 877-616-CELL (2355) [email protected] Support: 877-678-TECH (8324) [email protected] Web: cellsignal.com
For Research Use Only. Not for Use in Diagnostic Procedures.

Revision 2

Cell Signaling Technology Logo
Phospho-VEGF Receptor 2 (Tyr1175) (19A10) Rabbit mAb specifically binds to phosphorylated VEGFR2, but not other phosphorylated tyrosine kinases. Western blot analysis of extracts from cells expressing different activated tyrosine kinase proteins, using Phospho-VEGF Receptor-2 (Tyr1175) (19A10) Rabbit mAb (upper) and Phospho-Tyrosine mAb (P-Tyr-100) #9411 (lower). CKR/PAE cells (lanes 12 and 13) express chimeric receptors containing human CSF-1 extracellular binding domain/mouse VEGF receptor-2 intracellular domain (7). CSF-1 stimulates phosphorylation of Tyr1175 of intracellular VEGF receptor-2 domain (lane 12), which was specifically detected by Phospho-VEGF Receptor-2 (Tyr1175) (19A10) Rabbit mAb.
undefined Image 1: Angiogenesis Receptor Tyrosine Kinase Antibody Sampler Kit
Western blot analysis of extracts from NIH/3T3 cells, untreated or treated with PDGF (50 ng/ml for 5 minutes) and/or calf intestinal phosphatase (CIP) as indicated, using Phospho-PDGF Receptor β (Tyr751) (88H8) Mouse mAb.
undefined Image 2: Angiogenesis Receptor Tyrosine Kinase Antibody Sampler Kit
Western blot analysis of extracts from various cell lines, using PDGF Receptor β (28E1) Rabbit mAb.
undefined Image 3: Angiogenesis Receptor Tyrosine Kinase Antibody Sampler Kit
Orders: 877-616-CELL (2355) [email protected] Support: 877-678-TECH (8324) [email protected] Web: cellsignal.com
For Research Use Only. Not for Use in Diagnostic Procedures.

Revision 2

Cell Signaling Technology Logo
Western blot analysis of extracts from 293 cells, transfected with wild-type Tie2 (lane 1) or mock-transfected (lane 2), using Phospho-Tie2 (Tyr992) Antibody. Tie2 is constitutively active when transfected into 293 cells.
undefined Image 4: Angiogenesis Receptor Tyrosine Kinase Antibody Sampler Kit
Immunoprecipitation of VEGF-A protein from U-87 MG cell extracts. Lane 1 is 10% input, lane 2 is Rabbit (DA1E) mAb IgG XP® Isotype Control #3900, and lane 3 is VEGF-A (E9X8Q) Rabbit mAb. Western blot analysis was performed using VEGF-A (E9X8Q) Rabbit mAb. Mouse Anti-rabbit IgG (Conformation Specific) (L27A9) mAb (HRP Conjugate) #5127 was used as a secondary antibody.
undefined Image 5: Angiogenesis Receptor Tyrosine Kinase Antibody Sampler Kit
Western blot analysis of extracts from A-204 cells, untreated (-) or treated with heparin (1 μg/mL, 5 min) followed by the Human Basic Fibroblast Growth Factor (hFGF basic/FGF2) #61977 (100 ng/mL, 5 min, +), using Phospho-FGF Receptor 1 (Tyr653/654) (D4X3D) Rabbit mAb (upper) and FGF Receptor 1 (D8E4) XP® Rabbit mAb #9740 (lower).
undefined Image 6: Angiogenesis Receptor Tyrosine Kinase Antibody Sampler Kit
Orders: 877-616-CELL (2355) [email protected] Support: 877-678-TECH (8324) [email protected] Web: cellsignal.com
For Research Use Only. Not for Use in Diagnostic Procedures.

Revision 2

Cell Signaling Technology Logo
After the primary antibody is bound to the target protein, a complex with HRP-linked secondary antibody is formed. The LumiGLO® is added and emits light during enzyme catalyzed decomposition.
undefined Image 7: Angiogenesis Receptor Tyrosine Kinase Antibody Sampler Kit
Western blot analysis of extracts from HUVEC and HMVEC cells using Tie2 (D9D10) Rabbit mAb.
undefined Image 8: Angiogenesis Receptor Tyrosine Kinase Antibody Sampler Kit
Western blot analysis of extracts from HUVE cells, HeLa cells and mouse heart using VEGF Receptor 2 (D5B1) Rabbit mAb for VEGFR2 expression (upper) and β-Actin (D6A8) Rabbit mAb (#8457) for loading control. (The 80 kDa bands represent partial degradation product).
undefined Image 9: Angiogenesis Receptor Tyrosine Kinase Antibody Sampler Kit
Orders: 877-616-CELL (2355) [email protected] Support: 877-678-TECH (8324) [email protected] Web: cellsignal.com
For Research Use Only. Not for Use in Diagnostic Procedures.

Revision 2

Cell Signaling Technology Logo
Western blot analysis of extracts from A-204 (FGFR1 positive), KG-1a (FGFR1 oncogenic partner-FGFR1 fusion), A172 (FGFR1 low), and HT-29 (FGFR1 negative) cells using FGF Receptor 1 (D8E4) XP® Rabbit mAb (upper) and β-Actin (D6A8) Rabbit mAb #8457 (lower).
undefined Image 10: Angiogenesis Receptor Tyrosine Kinase Antibody Sampler Kit
Western blot analysis of extracts from HUVE cells, untreated or stimulated with VEGF (50 ng/ml for 2 minutes), using Phospho-VEGF Receptor 2 (Tyr1175) (19A10) Rabbit mAb (upper) and VEGF Receptor 2 (55B11) Rabbit mAb #2479 (lower).
undefined Image 11: Angiogenesis Receptor Tyrosine Kinase Antibody Sampler Kit
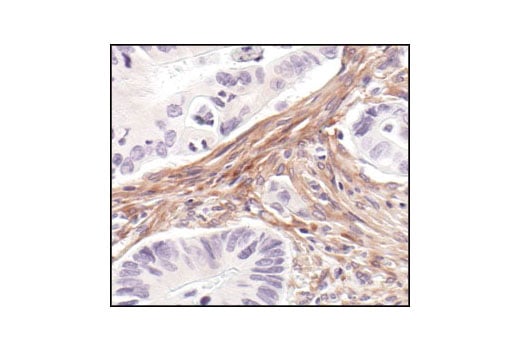
Immunohistochemical analysis of paraffin-embedded human colon carcinoma using PDGF Receptor β (28E1) Rabbit mAb.
undefined Image 12: Angiogenesis Receptor Tyrosine Kinase Antibody Sampler Kit
Orders: 877-616-CELL (2355) [email protected] Support: 877-678-TECH (8324) [email protected] Web: cellsignal.com
For Research Use Only. Not for Use in Diagnostic Procedures.

Revision 2

Cell Signaling Technology Logo
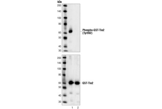
Western blot analysis of extracts from Sf9 cells over expressing GST-human Tie2 kinase domain fusion proteins, wild-type (lane 1) or kinase-dead (lane 2), using Phospho-Tie2 (Tyr992) Antibody (upper) or Tie2 antibody (lower). The wild-type Tie2 kinase domain is constitutively phosphorylated when overexpressed in Sf9 cells. The molecular weight of GST-Tie2 fusion is approximately 65 kDa.
undefined Image 13: Angiogenesis Receptor Tyrosine Kinase Antibody Sampler Kit
Immunoprecipitation of Phospho-FGF receptor 1 (Tyr653/654) protein from A-204 cell treated with heparin (1 μg/mL, 5 min) followed by the Human Basic Fibroblast Growth Factor (hFGF basic/FGF2) #61977 (100 ng/mL, 5 min). Lane 1 is 10% input, lane 2 is Rabbit (DA1E) mAb IgG XP® Isotype Control #3900, and lane 3 is Phospho-FGF Receptor 1(Tyr653/654) (D4X3D) Rabbit mAb. Western blot analysis was performed using Phospho-FGF Receptor 1(Tyr653/654) (D4X3D) Rabbit mAb as primary antibody. Anti-rabbit IgG, HRP-linked Antibody #7074 was used as secondary antibody.
undefined Image 14: Angiogenesis Receptor Tyrosine Kinase Antibody Sampler Kit
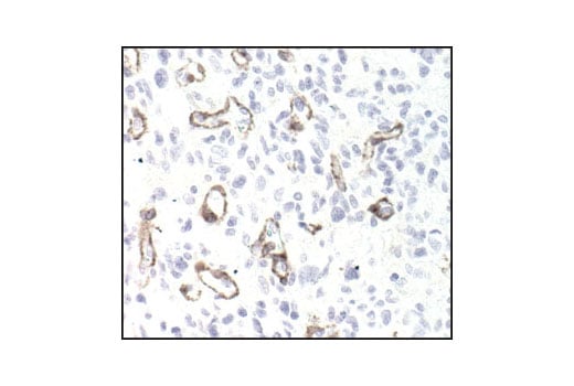
Immunohistochemical analysis of paraffin-embedded human angiosarcoma using VEGF Receptor 2 (D5B1) Rabbit mAb.
undefined Image 15: Angiogenesis Receptor Tyrosine Kinase Antibody Sampler Kit
Orders: 877-616-CELL (2355) [email protected] Support: 877-678-TECH (8324) [email protected] Web: cellsignal.com
For Research Use Only. Not for Use in Diagnostic Procedures.

Revision 2

Cell Signaling Technology Logo
Immunohistochemical analysis of paraffin-embedded human breast carcinoma using FGF Receptor 1 (D8E4) XP® Rabbit mAb.
undefined Image 16: Angiogenesis Receptor Tyrosine Kinase Antibody Sampler Kit
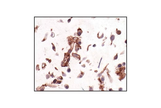
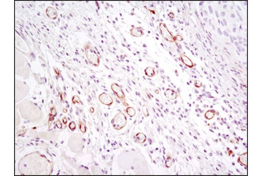
Immunohistochemical analysis of paraffin-embedded human glioblastoma using PDGF Receptor β (28E1) Rabbit mAb.
undefined Image 17: Angiogenesis Receptor Tyrosine Kinase Antibody Sampler Kit
Confocal immunofluorescent analysis of serum-starved A-204 cells, untreated (left), treated with heparin (1 μg/mL, 5 min) followed by the addition of Human Basic Fibroblast Growth Factor (hFGF basic/FGF2) #61977 (100 ng/mL, 5 min; center), or treated with heparin/FGF2 and post-processed with λ-phosphatase (2 hr; right), using Phospho-FGF Receptor 1 (Tyr653/654) (D4X3D) Rabbit mAb (upper, green) and FGF Receptor 1 (D8E4) XP® Rabbit mAb #9740 (lower, green). Samples were mounted in ProLong® Gold Antifade Reagent with DAPI #8961 (blue).
undefined Image 18: Angiogenesis Receptor Tyrosine Kinase Antibody Sampler Kit
Orders: 877-616-CELL (2355) [email protected] Support: 877-678-TECH (8324) [email protected] Web: cellsignal.com
For Research Use Only. Not for Use in Diagnostic Procedures.

Revision 2

Cell Signaling Technology Logo
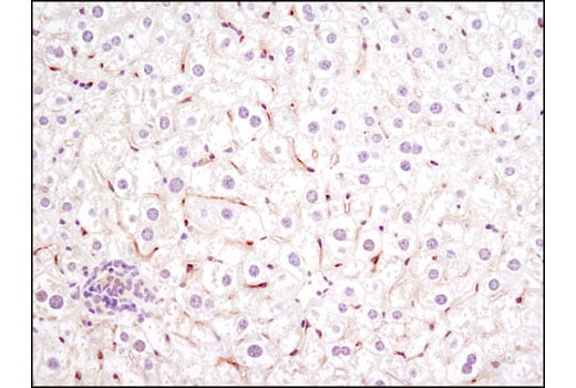
Immunohistochemical analysis of paraffin-embedded mouse liver using VEGF Receptor 2 (D5B1) Rabbit mAb.
undefined Image 19: Angiogenesis Receptor Tyrosine Kinase Antibody Sampler Kit
Immunohistochemical analysis of paraffin-embedded human kidney using FGF Receptor 1 (D8E4) XP® Rabbit mAb.
undefined Image 20: Angiogenesis Receptor Tyrosine Kinase Antibody Sampler Kit
Immunohistochemical analysis of paraffin-embedded U-87MG cells, showing membrane localization, using PDGF Receptor β (28E1) Rabbit mAb.
undefined Image 21: Angiogenesis Receptor Tyrosine Kinase Antibody Sampler Kit
Orders: 877-616-CELL (2355) [email protected] Support: 877-678-TECH (8324) [email protected] Web: cellsignal.com
For Research Use Only. Not for Use in Diagnostic Procedures.

Revision 2

Cell Signaling Technology Logo
Immunohistochemical analysis of paraffin-embedded HCC827 xenograft using VEGFR2 (D5B1) Rabbit mAb.
undefined Image 22: Angiogenesis Receptor Tyrosine Kinase Antibody Sampler Kit
Immunohistochemical analysis of paraffin-embedded human lung carcinoma using FGF Receptor 1 (D8E4) XP® Rabbit mAb.
undefined Image 23: Angiogenesis Receptor Tyrosine Kinase Antibody Sampler Kit
Confocal immunofluorescent analysis of rat pancreas using VEGF Receptor 2 (D5B1) Rabbit mAb (green) and β-Catenin (L54E2) Mouse mAb (IF Preferred) #2677 (red). Blue pseudocolor = DRAQ5® #4084 (fluorescent DNA dye).
undefined Image 24: Angiogenesis Receptor Tyrosine Kinase Antibody Sampler Kit
Orders: 877-616-CELL (2355) [email protected] Support: 877-678-TECH (8324) [email protected] Web: cellsignal.com
For Research Use Only. Not for Use in Diagnostic Procedures.

Revision 2

Cell Signaling Technology Logo
Immunohistochemical analysis of paraffin-embedded A-204 cell pellet (left, positive) or HT-29 cell pellet (right, negative) using FGF Receptor 1 (D8E4) XP® Rabbit mAb.
undefined Image 25: Angiogenesis Receptor Tyrosine Kinase Antibody Sampler Kit
Confocal immunofluorescent analysis of NIH/3T3 cells, serum-starved (left) or PDGF-treated (right), using PDGF Receptor beta (28E1) Rabbit mAb (green). Blue pseudocolor = DRAQ5® #4084 (fluorescent DNA dye).
undefined Image 26: Angiogenesis Receptor Tyrosine Kinase Antibody Sampler Kit
Flow cytometric analysis of fixed and permeabilized HeLa cells (blue, negative) and HUVEC cells (green, positive) using VEGF Receptor 2 (D5B1) Rabbit mAb (solid lines) or a concentration-matched Rabbit (DA1E) mAb IgG XP® Isotype Control #3900 (dashed lines). Anti-rabbit IgG (H+L), F(ab')2 Fragment (Alexa Fluor® 488 Conjugate) #4412 was used as a secondary antibody.
undefined Image 27: Angiogenesis Receptor Tyrosine Kinase Antibody Sampler Kit
Orders: 877-616-CELL (2355) [email protected] Support: 877-678-TECH (8324) [email protected] Web: cellsignal.com
For Research Use Only. Not for Use in Diagnostic Procedures.

Revision 2

Cell Signaling Technology Logo
Confocal immunofluorescent analysis of A204 cells (positive, left), KG-1 cells (positive, middle) and A172 cells (weak expression, right) using FGF Receptor 1 (D8E4) XP® Rabbit mAb (green). Blue pseudocolor= DRAQ5® #4084 (fluorescent DNA dye).
undefined Image 28: Angiogenesis Receptor Tyrosine Kinase Antibody Sampler Kit
Simple Western™ analysis of lysates (0.1 mg/mL) from 3T3 cells using PDGF Receptor β (28E1) Rabbit mAb #3169. The virtual lane view (left) shows a single target band (as indicated) at 1:10 and 1:50 dilutions of primary antibody. The corresponding electropherogram view (right) plots chemiluminescence by molecular weight along the capillary at 1:10 (blue line) and 1:50 (green line) dilutions of primary antibody. This experiment was performed under reducing conditions on the Jess™ Simple Western instrument from ProteinSimple, a BioTechne brand, using the 12-230 kDa separation module.
undefined Image 29: Angiogenesis Receptor Tyrosine Kinase Antibody Sampler Kit
Confocal immunofluorescent analysis of fixed frozen mouse cerebellum labeled with PDGF Receptor β (28E1) Rabbit mAb (green, left), β3-Tubulin (E9F3E) Mouse mAb #45058 (red, right), and DAPI #4083 (blue, right).
undefined Image 30: Angiogenesis Receptor Tyrosine Kinase Antibody Sampler Kit
Orders: 877-616-CELL (2355) [email protected] Support: 877-678-TECH (8324) [email protected] Web: cellsignal.com
For Research Use Only. Not for Use in Diagnostic Procedures.

Revision 2

Cell Signaling Technology Logo
Confocal immunofluorescent analysis of fixed frozen mouse cerebral cortex labeled with PDGF Receptor β (28E1) Rabbit mAb (green, left), β3-Tubulin (E9F3E) Mouse mAb #45058 (red, right), and DAPI #4083 (blue, right).
undefined Image 31: Angiogenesis Receptor Tyrosine Kinase Antibody Sampler Kit
Western blot analysis of extracts from various cell lines using VEGF-A (E9X8Q) Rabbit mAb (upper) or GAPDH (D16H11) XP® Rabbit mAb #5174 (lower). Negative expression of VEGF-A protein in HuT 102 cells is consistent with the predicted expression pattern.
undefined Image 32: Angiogenesis Receptor Tyrosine Kinase Antibody Sampler Kit
Simple WesternTM analysis of lysates (0.1 mg/mL) from HUVEC cells using Tie2 (D9D10) Rabbit mAb #7403. The virtual lane view (left) shows the target band (as indicated) at 1:10 and 1:50 dilutions of primary antibody. The corresponding electropherogram view (right) plots chemiluminescence by molecular weight along the capillary at 1:10 (blue line) and 1:50 (green line) dilutions of primary antibody. This experiment was performed under reducing conditions on the JessTM Simple Western instrument from ProteinSimple, a BioTechne brand, using the 12-230 kDa separation module.
undefined Image 33: Angiogenesis Receptor Tyrosine Kinase Antibody Sampler Kit
Orders: 877-616-CELL (2355) [email protected] Support: 877-678-TECH (8324) [email protected] Web: cellsignal.com
For Research Use Only. Not for Use in Diagnostic Procedures.

Revision 2

Cell Signaling Technology Logo
Flow cytometric analysis of A-204 cells using FGF Receptor 1 (D8E4) XP® Rabbit mAb (solid line) compared to concentration-matched Rabbit (DA1E) mAb IgG XP® Isotype control #3900 (dashed line). Anti-rabbit IgG (H+L), F(ab')2 Fragment (Alexa Fluor® 488 Conjugate) #4412 was used as a secondary antibody.
undefined Image 34: Angiogenesis Receptor Tyrosine Kinase Antibody Sampler Kit
Orders: 877-616-CELL (2355) [email protected] Support: 877-678-TECH (8324) [email protected] Web: cellsignal.com
For Research Use Only. Not for Use in Diagnostic Procedures.