Revision 3

#54043

Store at -20C

CST Logo
Orders:

877-616-CELL (2355)

[email protected]

Support:

877-678-TECH (8324)

3 Trask Lane | Danvers | Massachusetts | 01923 | USA

For Research Use Only. Not for Use in Diagnostic Procedures.

Applications:
W, IHC-P, IF-IC, FC-FP

Reactivity:
H M R

Sensitivity:
Endogenous

MW (kDa):
30

Source/Isotype:
Rabbit IgG

UniProt ID:
#P08758

Entrez-Gene Id:
308

Product Usage Information

Application Dilution
Western Blotting 1:1000
Immunohistochemistry (Paraffin) 1:50 - 1:200
Immunofluorescence (Immunocytochemistry) 1:100 - 1:400
Flow Cytometry (Fixed/Permeabilized) 1:100 - 1:400

Storage

Supplied in 10 mM sodium HEPES (pH 7.5), 150 mM NaCl, 100 µg/mL BSA, 50% glycerol, and less than 0.02% sodium azide. Store at –20°C. Do not aliquot the antibody.

For a carrier free (BSA and azide free) version of this product see product #24122.

Specificity/Sensitivity

Annexin V (E3W8V) Rabbit Monoclonal Antibody recognizes endogenous levels of total annexin V protein. Species reactivity for IF-IC is human only.

Species predicted to react based on 100% sequence homology

Pig

Source / Purification

Monoclonal antibody is produced by immunizing animals with a synthetic peptide corresponding to residues surrounding Thr10 of human annexin V protein.

Background

Annexin V, also known as PAP-1 or Lipocortin V, is an ~30 kDa protein that binds to phospholipids in a calcium-dependent manner (1). All annexins contain a putative PKC binding site, but only annexin V has been identified as an inhibitor of this pathway (2). Via direct interaction with VEGFR-2 receptor, annexin V may also signal to regulate vascular endothelial cell proliferation (3). Annexin V preferentially binds phosphatidylserine in competition with prothrombin, leading to inhibition of blood coagulation at sites of injury preceding contact between lipid components and coagulation factors that initiate thrombosis (4-6). The ability of annexin V to bind specifically and robustly to phosphatidylserine makes it an attractive reagent in detecting apoptotic cells (7). Annexin V is inducible by glucocorticoids and can be phosphorylated by tyrosine and serine/threonine kinases (8). It is thought to block the production of inflammation mediators, such as prostaglandins and leukotrienes by inhibiting the release of arachidonic acid from membranes by phospholipase A2 (8).

Species Reactivity

Species reactivity is determined by testing in at least one approved application (e.g., western blot).

Western Blot Buffer

IMPORTANT: For western blots, incubate membrane with diluted primary antibody in 5% w/v nonfat dry milk, 1X TBS, 0.1% Tween® 20 at 4°C with gentle shaking, overnight.

Applications Key

W: Western Blotting IHC-P: Immunohistochemistry (Paraffin) IF-IC: Immunofluorescence (Immunocytochemistry) FC-FP: Flow Cytometry (Fixed/Permeabilized)

Cross-Reactivity Key

H: Human M: Mouse R: Rat

Trademarks and Patents

Cell Signaling Technology is a trademark of Cell Signaling Technology, Inc.

All other trademarks are the property of their respective owners. Visit cellsignal.com/trademarks for more information.

Limited Uses

Except as otherwise expressly agreed in a writing signed by a legally authorized representative of CST, the following terms apply to Products provided by CST, its affiliates or its distributors. Any Customer's terms and conditions that are in addition to, or different from, those contained herein, unless separately accepted in writing by a legally authorized representative of CST, are rejected and are of no force or effect.

Products are labeled with For Research Use Only or a similar labeling statement and have not been approved, cleared, or licensed by the FDA or other regulatory foreign or domestic entity, for any purpose. Customer shall not use any Product for any diagnostic or therapeutic purpose, or otherwise in any manner that conflicts with its labeling statement. Products sold or licensed by CST are provided for Customer as the end-user and solely for research and development uses. Any use of Product for diagnostic, prophylactic or therapeutic purposes, or any purchase of Product for resale (alone or as a component) or other commercial purpose, requires a separate license from CST. Customer shall (a) not sell, license, loan, donate or otherwise transfer or make available any Product to any third party, whether alone or in combination with other materials, or use the Products to manufacture any commercial products, (b) not copy, modify, reverse engineer, decompile, disassemble or otherwise attempt to discover the underlying structure or technology of the Products, or use the Products for the purpose of developing any products or services that would compete with CST products or services, (c) not alter or remove from the Products any trademarks, trade names, logos, patent or copyright notices or markings, (d) use the Products solely in accordance with CST Product Terms of Sale and any applicable documentation, and (e) comply with any license, terms of service or similar agreement with respect to any third party products or services used by Customer in connection with the Products.

Orders: 877-616-CELL (2355) [email protected] Support: 877-678-TECH (8324) [email protected] Web: cellsignal.com
For Research Use Only. Not for Use in Diagnostic Procedures.

Revision 3

Cell Signaling Technology Logo
Western blot analysis of extracts from various cell lines using Annexin V (E3W8V) Rabbit mAb (upper) or β-Actin (D6A8) Rabbit mAb #8457 (lower). Negative expression of Annexin V protein in Loucy, TALL-1, and A20 cells is consistent with the predicted expression pattern.
Western Blotting Image 1: Annexin V (E3W8V) Rabbit Monoclonal Antibody
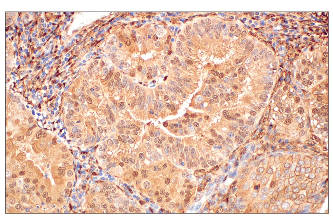
Immunohistochemical analysis of paraffin-embedded human endometrioid adenocarcinoma using Annexin V (E3W8V) Rabbit mAb.
Immunohistochemistry Image 1: Annexin V (E3W8V) Rabbit Monoclonal Antibody

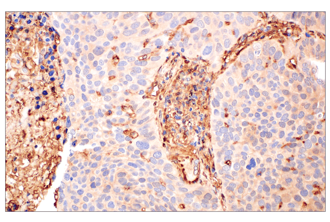
Immunohistochemical analysis of paraffin-embedded human squamous cell lung carcinoma using Annexin V (E3W8V) Rabbit mAb.

Immunohistochemistry Image 2: Annexin V (E3W8V) Rabbit Monoclonal Antibody
Orders: 877-616-CELL (2355) [email protected] Support: 877-678-TECH (8324) [email protected] Web: cellsignal.com
For Research Use Only. Not for Use in Diagnostic Procedures.

Revision 3

Cell Signaling Technology Logo

Immunohistochemical analysis of paraffin-embedded human prostate adenocarcinoma using Annexin V (E3W8V) Rabbit mAb.

Immunohistochemistry Image 3: Annexin V (E3W8V) Rabbit Monoclonal Antibody
Immunohistochemical analysis of paraffin-embedded human urothelial carcinoma using Annexin V (E3W8V) Rabbit mAb.
Immunohistochemistry Image 4: Annexin V (E3W8V) Rabbit Monoclonal Antibody

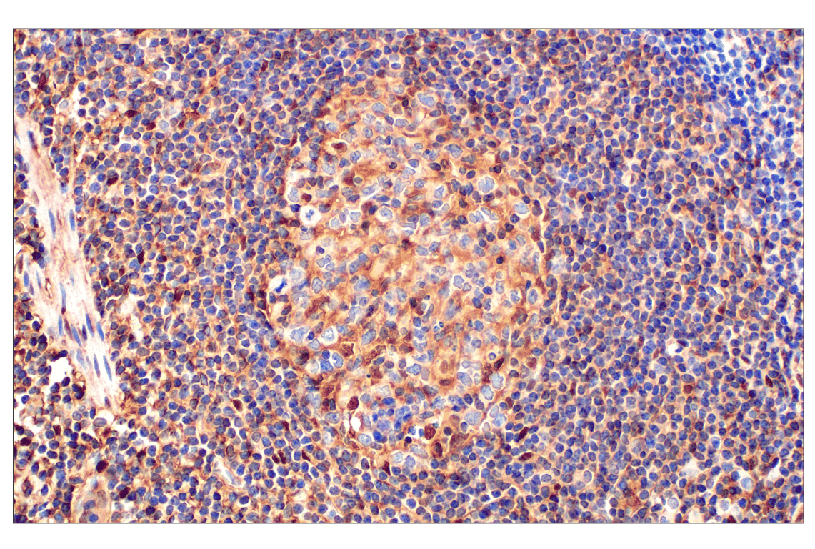
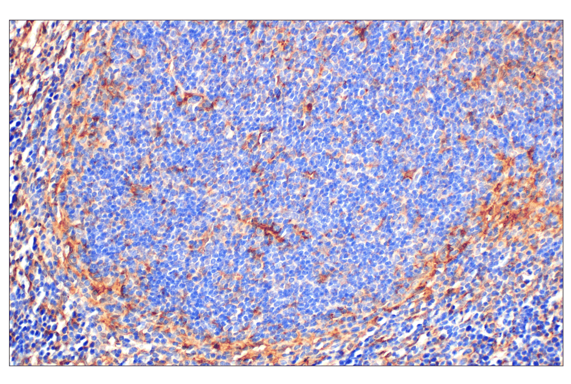
Immunohistochemical analysis of a Peyer's patch within paraffin-embedded normal human small intestine using Annexin V (E3W8V) Rabbit mAb.

Immunohistochemistry Image 5: Annexin V (E3W8V) Rabbit Monoclonal Antibody
Orders: 877-616-CELL (2355) [email protected] Support: 877-678-TECH (8324) [email protected] Web: cellsignal.com
For Research Use Only. Not for Use in Diagnostic Procedures.

Revision 3

Cell Signaling Technology Logo

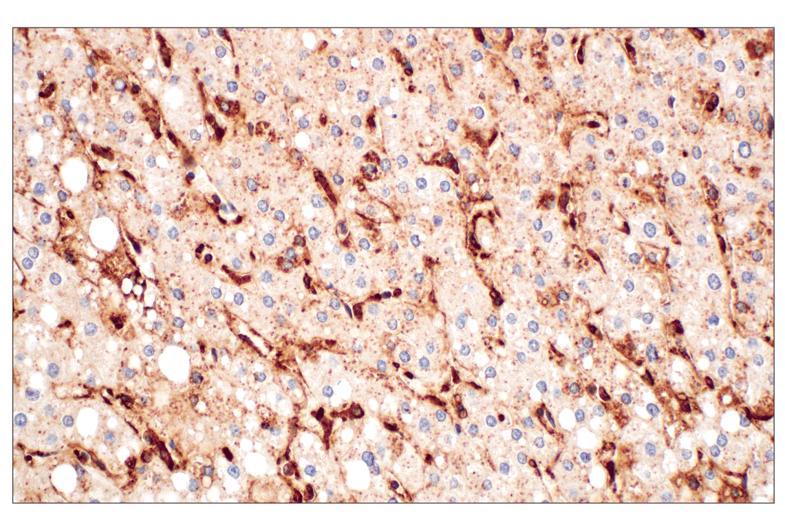
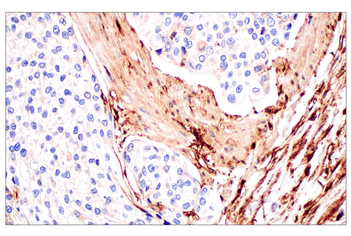
Immunohistochemical analysis of paraffin-embedded normal human liver using Annexin V (E3W8V) Rabbit mAb.

Immunohistochemistry Image 6: Annexin V (E3W8V) Rabbit Monoclonal Antibody
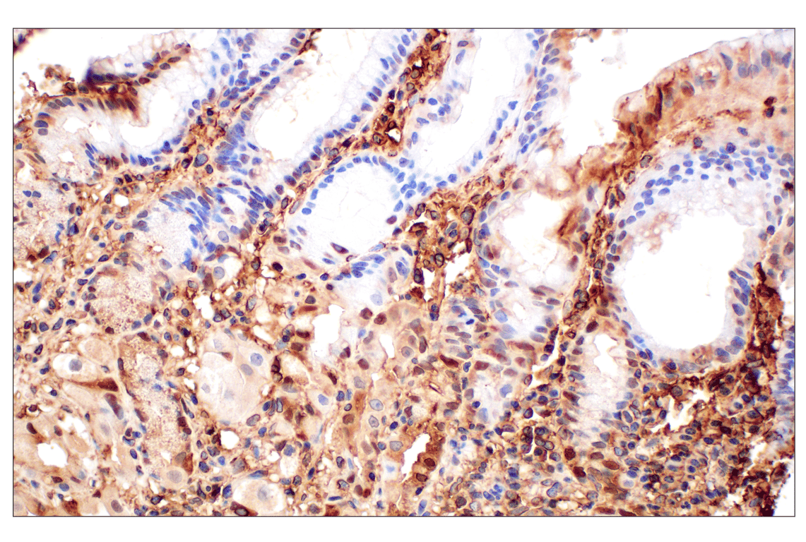
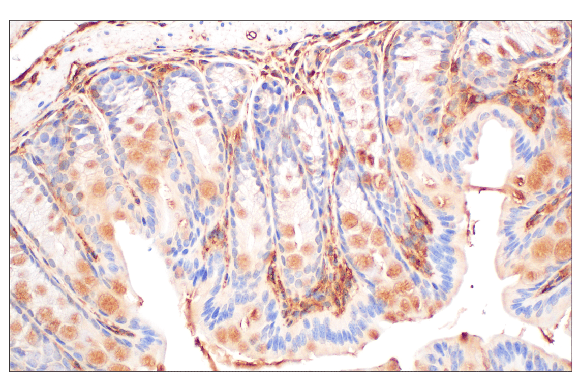
Immunohistochemical analysis of paraffin-embedded normal human stomach using Annexin V (E3W8V) Rabbit mAb.
Immunohistochemistry Image 7: Annexin V (E3W8V) Rabbit Monoclonal Antibody
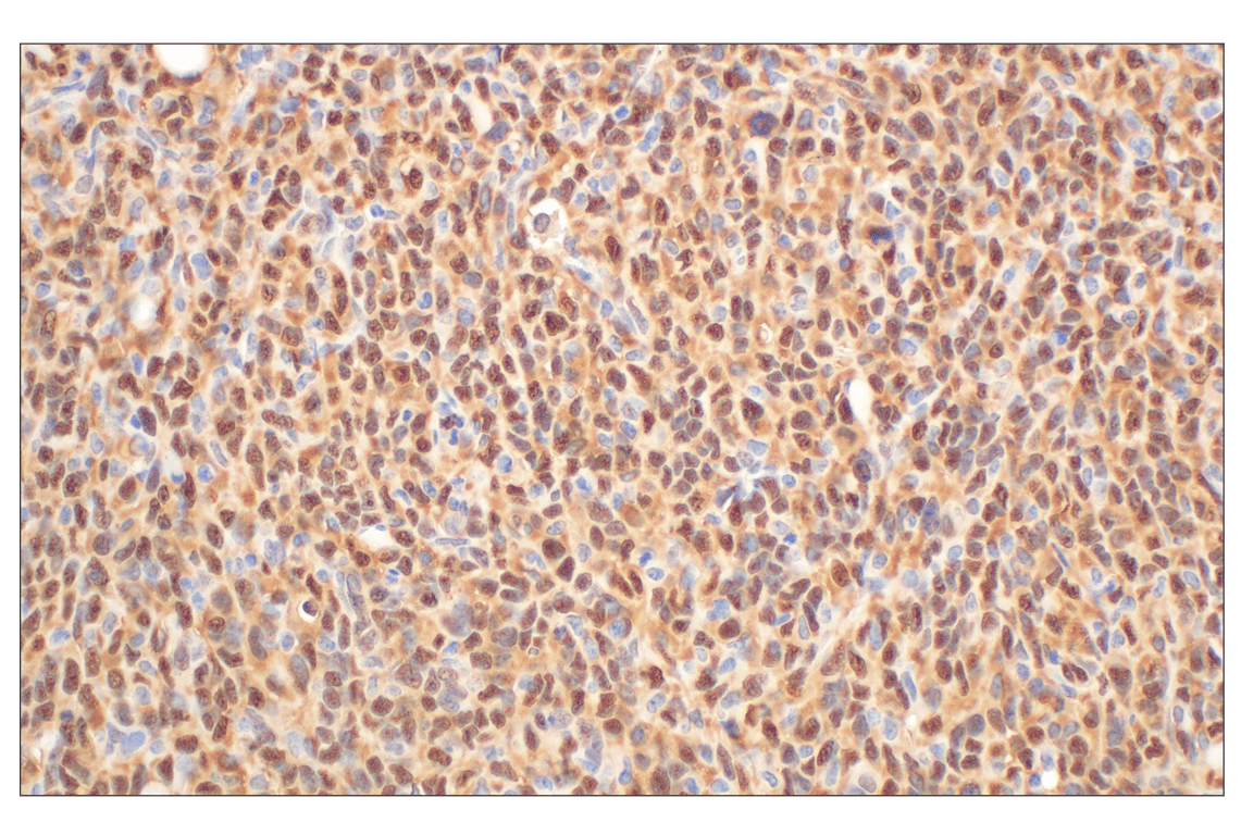
Immunohistochemical analysis of paraffin-embedded 4T1 syngeneic mammary tumor using Annexin V (E3W8V) Rabbit mAb.
Immunohistochemistry Image 8: Annexin V (E3W8V) Rabbit Monoclonal Antibody
Orders: 877-616-CELL (2355) [email protected] Support: 877-678-TECH (8324) [email protected] Web: cellsignal.com
For Research Use Only. Not for Use in Diagnostic Procedures.

Revision 3

Cell Signaling Technology Logo
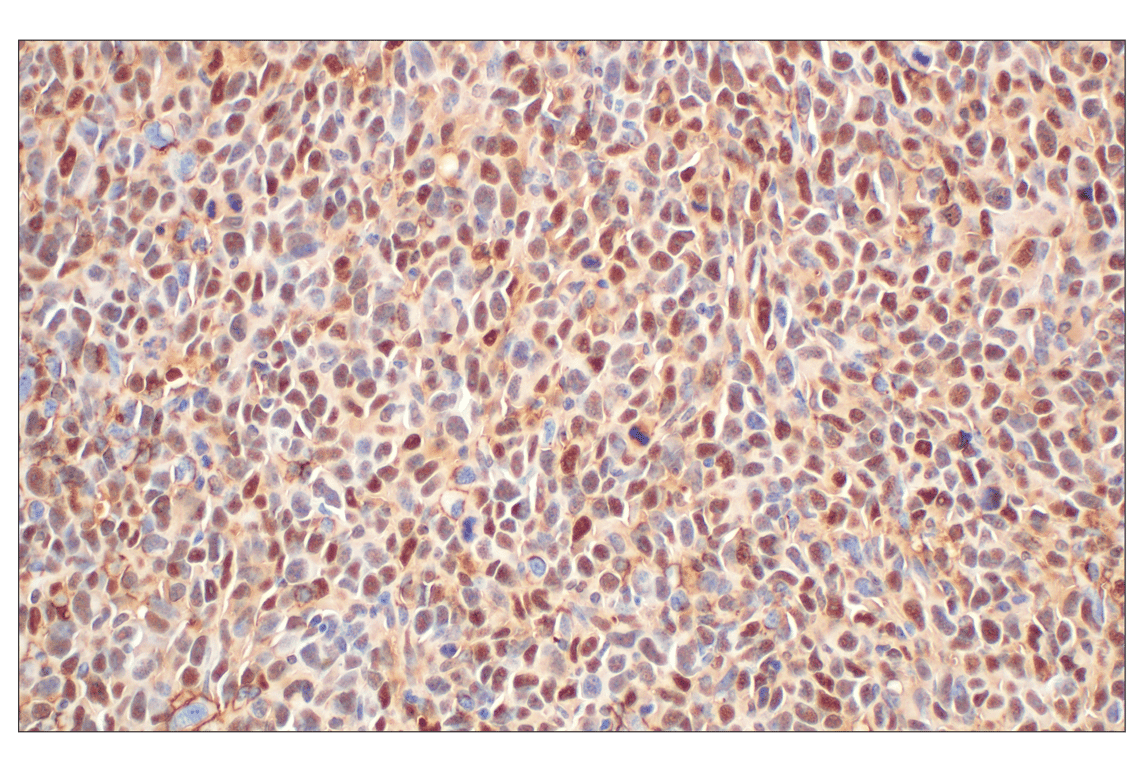
Immunohistochemical analysis of paraffin-embedded A20 syngeneic tumor using Annexin V (E3W8V) Rabbit mAb.
Immunohistochemistry Image 9: Annexin V (E3W8V) Rabbit Monoclonal Antibody
Immunohistochemical analysis of paraffin-embedded LL/2 syngeneic tumor using Annexin V (E3W8V) Rabbit mAb.
Immunohistochemistry Image 10: Annexin V (E3W8V) Rabbit Monoclonal Antibody
Immunohistochemical analysis of paraffin-embedded mouse lung using Annexin V (E3W8V) Rabbit mAb.
Immunohistochemistry Image 11: Annexin V (E3W8V) Rabbit Monoclonal Antibody
Orders: 877-616-CELL (2355) [email protected] Support: 877-678-TECH (8324) [email protected] Web: cellsignal.com
For Research Use Only. Not for Use in Diagnostic Procedures.

Revision 3

Cell Signaling Technology Logo
Immunohistochemical analysis of paraffin-embedded mouse spleen using Annexin V (E3W8V) Rabbit mAb.
Immunohistochemistry Image 12: Annexin V (E3W8V) Rabbit Monoclonal Antibody
Immunohistochemical analysis of paraffin-embedded mouse colon using Annexin V (E3W8V) Rabbit mAb.
Immunohistochemistry Image 13: Annexin V (E3W8V) Rabbit Monoclonal Antibody
Immunohistochemical analysis of paraffin-embedded human prostate adenocarcinoma using Annexin V (E3W8V) Rabbit mAb (left) compared to concentration-matched Rabbit (DA1E) mAb IgG XP® Isotype Control #3900 (right).
Immunohistochemistry Image 14: Annexin V (E3W8V) Rabbit Monoclonal Antibody
Orders: 877-616-CELL (2355) [email protected] Support: 877-678-TECH (8324) [email protected] Web: cellsignal.com
For Research Use Only. Not for Use in Diagnostic Procedures.

Revision 3

Cell Signaling Technology Logo
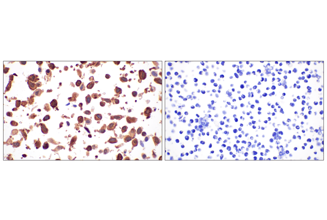
Immunohistochemical analysis of paraffin-embedded TALL-1 cell pellet (left, positive) or U-118 MG cell pellet (right, negative) using Annexin V (E3W8V) Rabbit mAb.
Immunohistochemistry Image 15: Annexin V (E3W8V) Rabbit Monoclonal Antibody
Confocal immunofluorescent analysis of U-118 MG cells (left, positive) and Loucy cells (right, negative) using Annexin V (E3W8V) Rabbit mAb (green), β-Actin (8H10D10) Mouse mAb #3700 (red), and DAPI #4083 (blue).
Immunofluorescence Image 1: Annexin V (E3W8V) Rabbit Monoclonal Antibody
Flow cytometric analysis of TALL-1 cells (blue, negative) and U-118 MG cells (green, positive) using Annexin V (E3W8V) Rabbit mAb (solid lines) or concentration-matched Rabbit (DA1E) mAb IgG XP® Isotype Control #3900 (dashed lines). Anti-rabbit IgG (H+L), F(ab')2 Fragment (Alexa Fluor® 488 Conjugate) #4412 was used as a secondary antibody.
Flow Cytometry Image 1: Annexin V (E3W8V) Rabbit Monoclonal Antibody
Orders: 877-616-CELL (2355) [email protected] Support: 877-678-TECH (8324) [email protected] Web: cellsignal.com
For Research Use Only. Not for Use in Diagnostic Procedures.

Revision 3

Cell Signaling Technology Logo
Flow cytometric analysis of A20 cells (blue, low expressing) and NIH/3T3 cells (green, high expressing) using Annexin V (E3W8V) Rabbit mAb (solid lines) or concentration-matched Rabbit (DA1E) mAb IgG XP® Isotype Control #3900 (dashed lines). Anti-rabbit IgG (H+L), F(ab')2 Fragment (Alexa Fluor® 488 Conjugate) #4412 was used as a secondary antibody.
Flow Cytometry Image 2: Annexin V (E3W8V) Rabbit Monoclonal Antibody
Orders: 877-616-CELL (2355) [email protected] Support: 877-678-TECH (8324) [email protected] Web: cellsignal.com
For Research Use Only. Not for Use in Diagnostic Procedures.