Revision 4

#20769

Store at -20C

CST Logo
Orders:

877-616-CELL (2355)

[email protected]

Support:

877-678-TECH (8324)

3 Trask Lane | Danvers | Massachusetts | 01923 | USA

For Research Use Only. Not for Use in Diagnostic Procedures.

Applications:
W, IHC-P, IF-F, IF-IC, ELISA

Reactivity:
M

Sensitivity:
Endogenous

MW (kDa):
35

Source/Isotype:
Rabbit IgG

UniProt ID:
#P08226

Entrez-Gene Id:
11816

Product Usage Information

This product is the carrier-free version of product #49285. All data were generated using the same antibody clone in the standard formulation which contains BSA and glycerol.

This formulation is ideal for use with technologies requiring specialized or custom antibody labeling, including fluorophores, metals, lanthanides, and oligonucleotides. It is not recommended for ChIP, ChIP-seq, CUT&RUN, or CUT&Tag assays. If you require a carrier-free formulation for chromatin profiling, please contact us. Optimal dilutions/concentrations should be determined by the end user.

BSA and Azide Free antibodies are quality control tested by size exclusion chromatography (SEC) to determine antibody integrity.

Formulation

Supplied in 1X PBS (10 mM Na2HPO4, 3 mM KCl, 2 mM KH2PO4, and 140 mM NaCl (pH 7.8)). BSA and Azide Free.

For standard formulation of this product see product #49285.

Storage

Store at -20°C. This product will freeze at -20°C so it is recommended to aliquot into single-use vials to avoid multiple freeze/thaw cycles. A slight precipitate may be present and can be dissolved by gently vortexing. This will not interfere with antibody performance.

Specificity/Sensitivity

ApoE (E7X2A) Rabbit Monoclonal Antibody (BSA and Azide Free) recognizes endogenous levels of total mouse ApoE protein. Non-specific staining was observed in mouse pancreatic islets by immunohistochemistry and immunofluorescence.

Source / Purification

Monoclonal antibody is produced by immunizing animals with a synthetic peptide corresponding to residues surrounding Asp26 of mouse ApoE protein.

Background

Apolipoproteins are plasma lipoproteins that function as transporters of lipids and cholesterol in the circulatory system. Chylomicrons are a fundamental class of apolipoproteins containing very low-density lipoproteins (VLDL), intermediate-density lipoproteins (IDL), low-density lipoproteins (LDL), and high-density lipoproteins (HDL) (1,2).

Human ApoE has three isoforms: ApoE2, ApoE3, and ApoE4. These three isoforms differ in the combination of cysteine and arginine residues located at positions 130 and 176. The ApoE4 isoform contains arginine at both locations (3). Arginine 130 in ApoE4 allows for interaction between carboxy- and amino-terminal domains through orientation of arginine 61, leading to a preference for binding lower density lipoproteins, where ApoE2 and ApoE3 show preference for binding HDL. Mouse ApoE contains similar sequence to human ApoE4, with arginine present at equivalent positions to 130 and 176. However, the mouse sequence lacks arginine at critical position 61, which allows it to behave similarly to human ApoE3, including preferential binding to HDL (4).

Species Reactivity

Species reactivity is determined by testing in at least one approved application (e.g., western blot).

Applications Key

W: Western Blotting IHC-P: Immunohistochemistry (Paraffin) IF-F: Immunofluorescence (Frozen) IF-IC: Immunofluorescence (Immunocytochemistry) ELISA: ELISA

Cross-Reactivity Key

M: Mouse

Trademarks and Patents

Cell Signaling Technology is a trademark of Cell Signaling Technology, Inc.

All other trademarks are the property of their respective owners. Visit cellsignal.com/trademarks for more information.

Limited Uses

Except as otherwise expressly agreed in a writing signed by a legally authorized representative of CST, the following terms apply to Products provided by CST, its affiliates or its distributors. Any Customer's terms and conditions that are in addition to, or different from, those contained herein, unless separately accepted in writing by a legally authorized representative of CST, are rejected and are of no force or effect.

Products are labeled with For Research Use Only or a similar labeling statement and have not been approved, cleared, or licensed by the FDA or other regulatory foreign or domestic entity, for any purpose. Customer shall not use any Product for any diagnostic or therapeutic purpose, or otherwise in any manner that conflicts with its labeling statement. Products sold or licensed by CST are provided for Customer as the end-user and solely for research and development uses. Any use of Product for diagnostic, prophylactic or therapeutic purposes, or any purchase of Product for resale (alone or as a component) or other commercial purpose, requires a separate license from CST. Customer shall (a) not sell, license, loan, donate or otherwise transfer or make available any Product to any third party, whether alone or in combination with other materials, or use the Products to manufacture any commercial products, (b) not copy, modify, reverse engineer, decompile, disassemble or otherwise attempt to discover the underlying structure or technology of the Products, or use the Products for the purpose of developing any products or services that would compete with CST products or services, (c) not alter or remove from the Products any trademarks, trade names, logos, patent or copyright notices or markings, (d) use the Products solely in accordance with CST Product Terms of Sale and any applicable documentation, and (e) comply with any license, terms of service or similar agreement with respect to any third party products or services used by Customer in connection with the Products.

Orders: 877-616-CELL (2355) [email protected] Support: 877-678-TECH (8324) [email protected] Web: cellsignal.com
For Research Use Only. Not for Use in Diagnostic Procedures.

Revision 4

Cell Signaling Technology Logo
Western blot analysis of extracts from Hep G2 cells (lane 1), 293T mock transfected (lane 2) or transiently transfected with a construct expressing ApoE4 (lane 3), whole liver extracts from wild-type C57BL/6NTac model #B6-F mice (lane 4), or ApoE4 knock-in (model #1549-F) (lane 5), whole brain extracts from wild-type C57BL/6NTac mice (lane 6), or ApoE4 knock-in (lane 7) using ApoE (E7X2A) Rabbit mAb (upper) or β-Actin (D6A8) Rabbit mAb #8457 (lower). Mice from Taconic Biosciences, Inc. Data were generated using the standard formulation of this product.
Western Blotting Image 1: ApoE (E7X2A) Rabbit Monoclonal Antibody (BSA and Azide Free)
Western blot analysis of extracts from various tissues and cell lines using ApoE (E7X2A) Rabbit mAb (upper) or β-Actin (D6A8) Rabbit mAb #8457 (lower). Data were generated using the standard formulation of this product.
Western Blotting Image 2: ApoE (E7X2A) Rabbit Monoclonal Antibody (BSA and Azide Free)
Immunohistochemical analysis of paraffin-embedded SIM-A9 cell pellet (left, positive) or C2C12 cell pellet (right, negative) using ApoE (E7X2A) Rabbit mAb. Data were generated using the standard formulation of this product.
Immunohistochemistry Image 1: ApoE (E7X2A) Rabbit Monoclonal Antibody (BSA and Azide Free)
Orders: 877-616-CELL (2355) [email protected] Support: 877-678-TECH (8324) [email protected] Web: cellsignal.com
For Research Use Only. Not for Use in Diagnostic Procedures.

Revision 4

Cell Signaling Technology Logo
Immunohistochemical analysis of paraffin-embedded mouse liver using ApoE (E7X2A) Rabbit mAb (left) compared to concentration-matched Rabbit (DA1E) mAb IgG XP® Isotype Control #3900 (right). Data were generated using the standard formulation of this product.
Immunohistochemistry Image 2: ApoE (E7X2A) Rabbit Monoclonal Antibody (BSA and Azide Free)
Immunohistochemical analysis of paraffin-embedded mouse brain using ApoE (E7X2A) Rabbit mAb. Data were generated using the standard formulation of this product.
Immunohistochemistry Image 3: ApoE (E7X2A) Rabbit Monoclonal Antibody (BSA and Azide Free)

Immunohistochemical analysis of paraffin-embedded A20 syngeneic tumor using ApoE (E7X2A) Rabbit mAb. Data were generated using the standard formulation of this product.

Immunohistochemistry Image 4: ApoE (E7X2A) Rabbit Monoclonal Antibody (BSA and Azide Free)
Orders: 877-616-CELL (2355) [email protected] Support: 877-678-TECH (8324) [email protected] Web: cellsignal.com
For Research Use Only. Not for Use in Diagnostic Procedures.

Revision 4

Cell Signaling Technology Logo
Immunohistochemical analysis of paraffin-embedded mouse kidney using ApoE (E7X2A) Rabbit mAb. Data were generated using the standard formulation of this product.
Immunohistochemistry Image 5: ApoE (E7X2A) Rabbit Monoclonal Antibody (BSA and Azide Free)
Immunohistochemical analysis of paraffin-embedded Renca syngeneic tumor using ApoE (E7X2A) Rabbit mAb. Data were generated using the standard formulation of this product.
Immunohistochemistry Image 6: ApoE (E7X2A) Rabbit Monoclonal Antibody (BSA and Azide Free)
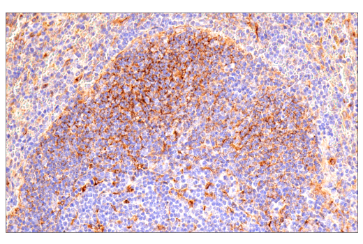
Immunohistochemical analysis of paraffin-embedded mouse spleen using ApoE (E7X2A) Rabbit mAb. Data were generated using the standard formulation of this product.
Immunohistochemistry Image 7: ApoE (E7X2A) Rabbit Monoclonal Antibody (BSA and Azide Free)
Orders: 877-616-CELL (2355) [email protected] Support: 877-678-TECH (8324) [email protected] Web: cellsignal.com
For Research Use Only. Not for Use in Diagnostic Procedures.

Revision 4

Cell Signaling Technology Logo
Immunohistochemical analysis of paraffin-embedded mouse testis using ApoE (E7X2A) Rabbit mAb. Data were generated using the standard formulation of this product.
Immunohistochemistry Image 8: ApoE (E7X2A) Rabbit Monoclonal Antibody (BSA and Azide Free)
Immunohistochemical analysis of paraffin-embedded mouse thymus using ApoE (E7X2A) Rabbit mAb. Data were generated using the standard formulation of this product.
Immunohistochemistry Image 9: ApoE (E7X2A) Rabbit Monoclonal Antibody (BSA and Azide Free)
Immunohistochemical analysis of paraffin-embedded mouse small intestine using ApoE (E7X2A) Rabbit mAb. Data were generated using the standard formulation of this product.
Immunohistochemistry Image 10: ApoE (E7X2A) Rabbit Monoclonal Antibody (BSA and Azide Free)
Orders: 877-616-CELL (2355) [email protected] Support: 877-678-TECH (8324) [email protected] Web: cellsignal.com
For Research Use Only. Not for Use in Diagnostic Procedures.

Revision 4

Cell Signaling Technology Logo
Immunohistochemical analysis of paraffin-embedded liver (left) or brain (right) from C57BL/6NTac (wt/wt, model #B6-F, top) and APOE4 knock-in (hu/hu, model #1549-F, bottom) mice using ApoE (E7X2A) Rabbit mAb. Mice from Taconic Biosciences, Inc. Note lack of reactivity in tissues with human ApoE4 replacing the mouse gene. Data were generated using the standard formulation of this product.
Immunohistochemistry Image 11: ApoE (E7X2A) Rabbit Monoclonal Antibody (BSA and Azide Free)
Confocal immunofluorescent analysis of fixed frozen mouse retina, labeled with ApoE (E7X2A) Rabbit mAb (left, green) and co-labeled with GFAP (GA5) Mouse mAb (Alexa Fluor® 555 Conjugate) #3656 (right, red) and DAPI #4083 (right, blue). Data were generated using the standard formulation of this product.
Immunofluorescence Image 1: ApoE (E7X2A) Rabbit Monoclonal Antibody (BSA and Azide Free)
Confocal immunofluorescent analysis of fixed frozen mouse hypothalamus, labeled with ApoE (E7X2A) Rabbit mAb (left, green) and co-labeled with GFAP (GA5) Mouse mAb (Alexa Fluor® 555 Conjugate) #3656 (right, red) and DAPI #4083 (right, blue). Data were generated using the standard formulation of this product.
Immunofluorescence Image 2: ApoE (E7X2A) Rabbit Monoclonal Antibody (BSA and Azide Free)
Orders: 877-616-CELL (2355) [email protected] Support: 877-678-TECH (8324) [email protected] Web: cellsignal.com
For Research Use Only. Not for Use in Diagnostic Procedures.

Revision 4

Cell Signaling Technology Logo
Confocal immunofluorescent analysis of fixed frozen mouse hippocampus, labeled with ApoE (E7X2A) Rabbit mAb (left, green) and co-labeled with GFAP (GA5) Mouse mAb (Alexa Fluor® 555 Conjugate) #3656 (right, red) and DAPI #4083 (right, blue). Data were generated using the standard formulation of this product.
Immunofluorescence Image 3: ApoE (E7X2A) Rabbit Monoclonal Antibody (BSA and Azide Free)
Confocal immunofluorescent analysis of fixed frozen mouse colon, labeled with ApoE (E7X2A) Rabbit mAb (left, green) and co-labeled with Ras (E4K9L) Rabbit mAb (Alexa Fluor® 647 Conjugate) #37182 (right, red) and DAPI #4083 (right, blue). Data were generated using the standard formulation of this product.
Immunofluorescence Image 4: ApoE (E7X2A) Rabbit Monoclonal Antibody (BSA and Azide Free)
Confocal immunofluorescent analysis of SIM-A9 cells (left, positive) and C2C12 cells (right, negative) using ApoE (E7X2A) Rabbit mAb (green), DyLight™ 650 Phalloidin #12956 (red), and DAPI #4083 (blue). Data were generated using the standard formulation of this product.
Immunofluorescence Image 1: ApoE (E7X2A) Rabbit Monoclonal Antibody (BSA and Azide Free)
Orders: 877-616-CELL (2355) [email protected] Support: 877-678-TECH (8324) [email protected] Web: cellsignal.com
For Research Use Only. Not for Use in Diagnostic Procedures.

Revision 4

Cell Signaling Technology Logo
Data using Total ApoE Matched Antibody Pair #98646 are shown. The two antibodies function as a capture-target-detection sandwich (#10197 and #20769, respectively) to detect mouse ApoE protein but not human or rat ApoE in various cells and tissues, as shown in the figure.
ELISA Image 1: ApoE (E7X2A) Rabbit Monoclonal Antibody (BSA and Azide Free)
Orders: 877-616-CELL (2355) [email protected] Support: 877-678-TECH (8324) [email protected] Web: cellsignal.com
For Research Use Only. Not for Use in Diagnostic Procedures.