Revision 7

#49285

Store at -20C

CST Logo
Orders:

877-616-CELL (2355)

[email protected]

Support:

877-678-TECH (8324)

3 Trask Lane | Danvers | Massachusetts | 01923 | USA

For Research Use Only. Not for Use in Diagnostic Procedures.

Applications:
W, IP, IHC-P, IF-F, IF-IC

Reactivity:
M

Sensitivity:
Endogenous

MW (kDa):
35

Source/Isotype:
Rabbit IgG

UniProt ID:
#P08226

Entrez-Gene Id:
11816

Product Usage Information

Application Dilution
Western Blotting 1:1000
Immunoprecipitation 1:50
Immunohistochemistry (Paraffin) 1:50 - 1:200
Immunofluorescence (Frozen) 1:50 - 1:200
Immunofluorescence (Immunocytochemistry) 1:50 - 1:200

Storage

Supplied in 10 mM sodium HEPES (pH 7.5), 150 mM NaCl, 100 µg/ml BSA, 50% glycerol and less than 0.02% sodium azide. Store at –20°C. Do not aliquot the antibody.

For a carrier free (BSA and azide free) version of this product see product #20769.

Specificity/Sensitivity

ApoE (E7X2A) Rabbit Monoclonal Antibody recognizes endogenous levels of total mouse ApoE protein. Non-specific staining was observed in mouse pancreatic islets by immunohistochemistry and immunofluorescence.

Source / Purification

Monoclonal antibody is produced by immunizing animals with a synthetic peptide corresponding to residues surrounding Asp26 of mouse ApoE protein.

Background

Apolipoproteins are plasma lipoproteins that function as transporters of lipids and cholesterol in the circulatory system. Chylomicrons are a fundamental class of apolipoproteins containing very low-density lipoproteins (VLDL), intermediate-density lipoproteins (IDL), low-density lipoproteins (LDL), and high-density lipoproteins (HDL) (1,2).
Human ApoE has three isoforms: ApoE2, ApoE3, and ApoE4. These three isoforms differ in the combination of cysteine and arginine residues located at positions 130 and 176. The ApoE4 isoform contains arginine at both locations (3). Arginine 130 in ApoE4 allows for interaction between carboxy- and amino-terminal domains through orientation of arginine 61, leading to a preference for binding lower density lipoproteins, where ApoE2 and ApoE3 show preference for binding HDL. Mouse ApoE contains similar sequence to human ApoE4, with arginine present at equivalent positions to 130 and 176. However, the mouse sequence lacks arginine at critical position 61, which allows it to behave similarly to human ApoE3, including preferential binding to HDL (4).

Species Reactivity

Species reactivity is determined by testing in at least one approved application (e.g., western blot).

Western Blot Buffer

IMPORTANT: For western blots, incubate membrane with diluted primary antibody in 5% w/v BSA, 1X TBS, 0.1% Tween® 20 at 4°C with gentle shaking, overnight.

Applications Key

W: Western Blotting IP: Immunoprecipitation IHC-P: Immunohistochemistry (Paraffin) IF-F: Immunofluorescence (Frozen) IF-IC: Immunofluorescence (Immunocytochemistry)

Cross-Reactivity Key

M: Mouse

Trademarks and Patents

Cell Signaling Technology is a trademark of Cell Signaling Technology, Inc.

Alexa Fluor is a registered trademark of Life Technologies Corporation.

All other trademarks are the property of their respective owners. Visit cellsignal.com/trademarks for more information.

Limited Uses

Except as otherwise expressly agreed in a writing signed by a legally authorized representative of CST, the following terms apply to Products provided by CST, its affiliates or its distributors. Any Customer's terms and conditions that are in addition to, or different from, those contained herein, unless separately accepted in writing by a legally authorized representative of CST, are rejected and are of no force or effect.

Products are labeled with For Research Use Only or a similar labeling statement and have not been approved, cleared, or licensed by the FDA or other regulatory foreign or domestic entity, for any purpose. Customer shall not use any Product for any diagnostic or therapeutic purpose, or otherwise in any manner that conflicts with its labeling statement. Products sold or licensed by CST are provided for Customer as the end-user and solely for research and development uses. Any use of Product for diagnostic, prophylactic or therapeutic purposes, or any purchase of Product for resale (alone or as a component) or other commercial purpose, requires a separate license from CST. Customer shall (a) not sell, license, loan, donate or otherwise transfer or make available any Product to any third party, whether alone or in combination with other materials, or use the Products to manufacture any commercial products, (b) not copy, modify, reverse engineer, decompile, disassemble or otherwise attempt to discover the underlying structure or technology of the Products, or use the Products for the purpose of developing any products or services that would compete with CST products or services, (c) not alter or remove from the Products any trademarks, trade names, logos, patent or copyright notices or markings, (d) use the Products solely in accordance with CST Product Terms of Sale and any applicable documentation, and (e) comply with any license, terms of service or similar agreement with respect to any third party products or services used by Customer in connection with the Products.

Orders: 877-616-CELL (2355) [email protected] Support: 877-678-TECH (8324) [email protected] Web: cellsignal.com
For Research Use Only. Not for Use in Diagnostic Procedures.

Revision 7

Cell Signaling Technology Logo
Western blot analysis of extracts from various tissues and cell lines using ApoE (E7X2A) Rabbit mAb (upper) and β-Actin (D6A8) Rabbit mAb #8457 (lower).
Western Blotting Image 1: ApoE (E7X2A) Rabbit Monoclonal Antibody
Western blot analysis of extracts from HepG2 cells (lane 1), 293T mock transfected (lane 2) or transiently transfected with a construct expressing ApoE4 (lane 3), whole liver extracts from wild type C57BL/6NTac model #B6-F mice (lane 4), or ApoE4 knock-in (model #1549-F) (lane 5), whole brain extracts from wild type C57BL/6NTac mice (lane 6), or ApoE4 knock-in (lane 7) using ApoE (E7X2A) Rabbit mAb (upper) and β-Actin (D6A8) Rabbit mAb #8457 (lower). Mice from Taconic Biosciences, Inc.
Western Blotting Image 2: ApoE (E7X2A) Rabbit Monoclonal Antibody
Immunoprecipitation of ApoE protein from mouse brain tissue extracts. Lane 1 is 10% input, lane 2 is Rabbit (DA1E) mAb IgG XP® Isotype Control #3900, and lane 3 is ApoE (E7X2A) Rabbit mAb. Western blot analysis was performed using ApoE (E7X2A) Rabbit mAb. Anti-rabbit IgG, HRP-linked Antibody #7074 was used as the secondary antibody. 
Immunoprecipitation Image 1: ApoE (E7X2A) Rabbit Monoclonal Antibody
Orders: 877-616-CELL (2355) [email protected] Support: 877-678-TECH (8324) [email protected] Web: cellsignal.com
For Research Use Only. Not for Use in Diagnostic Procedures.

Revision 7

Cell Signaling Technology Logo
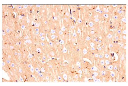
Immunohistochemical analysis of paraffin-embedded mouse brain using ApoE (E7X2A) Rabbit mAb.
Immunohistochemistry Image 1: ApoE (E7X2A) Rabbit Monoclonal Antibody
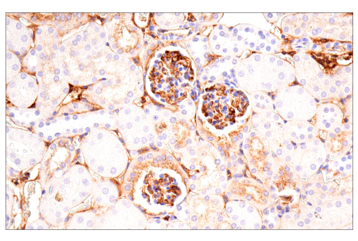
Immunohistochemical analysis of paraffin-embedded mouse kidney using ApoE (E7X2A) Rabbit mAb.
Immunohistochemistry Image 2: ApoE (E7X2A) Rabbit Monoclonal Antibody
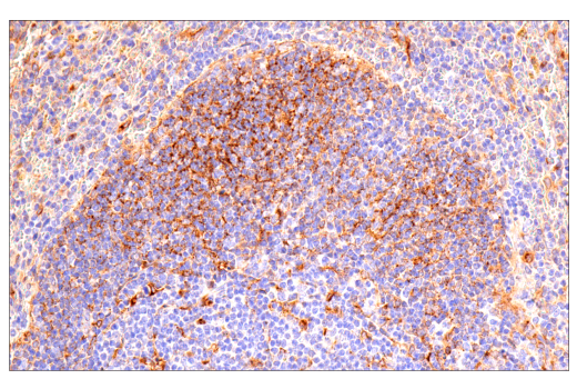
Immunohistochemical analysis of paraffin-embedded mouse spleen using ApoE (E7X2A) Rabbit mAb.
Immunohistochemistry Image 3: ApoE (E7X2A) Rabbit Monoclonal Antibody
Orders: 877-616-CELL (2355) [email protected] Support: 877-678-TECH (8324) [email protected] Web: cellsignal.com
For Research Use Only. Not for Use in Diagnostic Procedures.

Revision 7

Cell Signaling Technology Logo
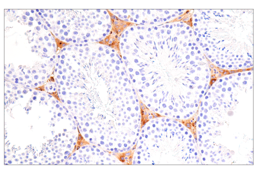
Immunohistochemical analysis of paraffin-embedded mouse testis using ApoE (E7X2A) Rabbit mAb.
Immunohistochemistry Image 4: ApoE (E7X2A) Rabbit Monoclonal Antibody
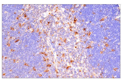
Immunohistochemical analysis of paraffin-embedded mouse thymus using ApoE (E7X2A) Rabbit mAb.
Immunohistochemistry Image 5: ApoE (E7X2A) Rabbit Monoclonal Antibody
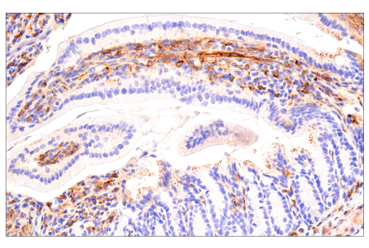
Immunohistochemical analysis of paraffin-embedded mouse small intestine using ApoE (E7X2A) Rabbit mAb.
Immunohistochemistry Image 6: ApoE (E7X2A) Rabbit Monoclonal Antibody
Orders: 877-616-CELL (2355) [email protected] Support: 877-678-TECH (8324) [email protected] Web: cellsignal.com
For Research Use Only. Not for Use in Diagnostic Procedures.

Revision 7

Cell Signaling Technology Logo
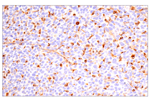
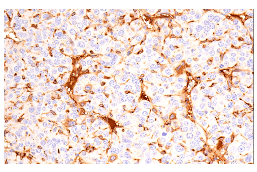
Immunohistochemical analysis of paraffin-embedded Renca syngeneic tumor using ApoE (E7X2A) Rabbit mAb.
Immunohistochemistry Image 7: ApoE (E7X2A) Rabbit Monoclonal Antibody
Immunohistochemical analysis of paraffin-embedded A20 syngeneic tumor using ApoE (E7X2A) Rabbit mAb.
Immunohistochemistry Image 8: ApoE (E7X2A) Rabbit Monoclonal Antibody
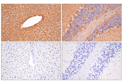
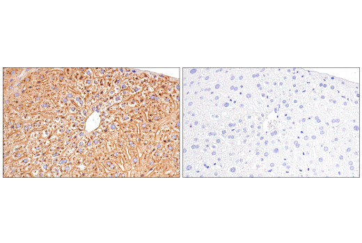
Immunohistochemical analysis of paraffin-embedded liver (left) or brain (right) from C57BL/6NTac (wt/wt, model #B6-F, top) and APOE4 knock-in (hu/hu, model #1549-F, bottom) mice using ApoE (E7X2A) Rabbit mAb. Mice from Taconic Biosciences, Inc. Note lack of reactivity in tissues with human APOE4 replacing the mouse gene.
Immunohistochemistry Image 9: ApoE (E7X2A) Rabbit Monoclonal Antibody
Orders: 877-616-CELL (2355) [email protected] Support: 877-678-TECH (8324) [email protected] Web: cellsignal.com
For Research Use Only. Not for Use in Diagnostic Procedures.

Revision 7

Cell Signaling Technology Logo
Immunohistochemical analysis of paraffin-embedded mouse liver using ApoE (E7X2A) Rabbit mAb (left) compared to concentration-matched Rabbit (DA1E) mAb IgG XP® Isotype Control #3900 (right).
Immunohistochemistry Image 10: ApoE (E7X2A) Rabbit Monoclonal Antibody
Immunohistochemical analysis of paraffin-embedded SIM-A9 cell pellet (left, positive) or C2C12 cell pellet (right, negative) using ApoE (E7X2A) Rabbit mAb.
Immunohistochemistry Image 11: ApoE (E7X2A) Rabbit Monoclonal Antibody
Confocal immunofluorescent analysis of fixed frozen mouse retina, labeled with ApoE (E7X2A) Rabbit mAb (left, green) and co-labeled with GFAP (GA5) Mouse mAb (Alexa Fluor® 555 Conjugate) #3656 (right, red) and DAPI #4083 (right, blue).
Immunofluorescence Image 1: ApoE (E7X2A) Rabbit Monoclonal Antibody
Orders: 877-616-CELL (2355) [email protected] Support: 877-678-TECH (8324) [email protected] Web: cellsignal.com
For Research Use Only. Not for Use in Diagnostic Procedures.

Revision 7

Cell Signaling Technology Logo
Confocal immunofluorescent analysis of fixed frozen mouse colon, labeled with ApoE (E7X2A) Rabbit mAb (left, green) and co-labeled with Ras (E4K9L) Rabbit mAb (Alexa Fluor® 647 Conjugate) #37182 (right, red) and DAPI #4083 (right, blue).
Immunofluorescence Image 2: ApoE (E7X2A) Rabbit Monoclonal Antibody
Confocal immunofluorescent analysis of fixed frozen mouse hypothalamus, labeled with ApoE (E7X2A) Rabbit mAb (left, green) and co-labeled with GFAP (GA5) Mouse mAb (Alexa Fluor® 555 Conjugate) #3656 (right, red) and DAPI #4083 (right, blue).
Immunofluorescence Image 3: ApoE (E7X2A) Rabbit Monoclonal Antibody
Confocal immunofluorescent analysis of fixed frozen mouse hippocampus, labeled with ApoE (E7X2A) Rabbit mAb (left, green) and co-labeled with GFAP (GA5) Mouse mAb (Alexa Fluor® 555 Conjugate) #3656 (right, red) and DAPI #4083 (right, blue).
Immunofluorescence Image 4: ApoE (E7X2A) Rabbit Monoclonal Antibody
Orders: 877-616-CELL (2355) [email protected] Support: 877-678-TECH (8324) [email protected] Web: cellsignal.com
For Research Use Only. Not for Use in Diagnostic Procedures.

Revision 7

Cell Signaling Technology Logo
Confocal immunofluorescent analysis of SIM-A9 cells (left, positive) and C2C12 cells (right, negative) using ApoE (E7X2A) Rabbit mAb (green), DyLight™ 650 Phalloidin #12956 (red), and DAPI #4083 (blue).
Immunofluorescence Image 1: ApoE (E7X2A) Rabbit Monoclonal Antibody
Orders: 877-616-CELL (2355) [email protected] Support: 877-678-TECH (8324) [email protected] Web: cellsignal.com
For Research Use Only. Not for Use in Diagnostic Procedures.