Revision 4

#31516

Store at -20C

CST Logo
Orders:

877-616-CELL (2355)

[email protected]

Support:

877-678-TECH (8324)

3 Trask Lane | Danvers | Massachusetts | 01923 | USA

For Research Use Only. Not for Use in Diagnostic Procedures.

Applications:
W, IHC-P, IF-F, IF-IC, ELISA+

Reactivity:
H

Sensitivity:
Endogenous

MW (kDa):
35

Source/Isotype:
Mouse IgG2b

UniProt ID:
#P02649

Entrez-Gene Id:
348

Product Usage Information

This product is the carrier free version of product #74417. All data were generated using the same antibody clone in the standard formulation which contains BSA and glycerol.

This formulation is ideal for use with technologies requiring specialized or custom antibody labeling, including fluorophores, metals, lanthanides, and oligonucleotides. It is not recommended for ChIP, ChIP-seq, CUT&RUN or CUT&Tag assays. If you require a carrier free formulation for chromatin profiling, please contact us. Optimal dilutions/concentrations should be determined by the end user.

BSA and Azide Free antibodies are quality control tested by size exclusion chromatography (SEC) to determine antibody integrity.

Formulation

Supplied in 1X PBS (10 mM Na2HPO4, 3 mM KCl, 2 mM KH2PO4, and 140 mM NaCl (pH 7.8)). BSA and Azide Free.

For standard formulation of this product see product #74417

Storage

Store at -20°C. This product will freeze at -20°C so it is recommended to aliquot into single-use vials to avoid multiple freeze/thaw cycles. A slight precipitate may be present and can be dissolved by gently vortexing. This will not interfere with antibody performance.

Specificity/Sensitivity

ApoE (pan) (E8C2U) Mouse Monoclonal Antibody (BSA and Azide Free) recognizes endogenous levels of total ApoE protein.

Source / Purification

Monoclonal antibody is produced by immunizing animals with a synthetic peptide corresponding to residues near the carboxy terminus of human ApoE protein.

Background

Apolipoproteins are plasma lipoproteins that function as transporters of lipids and cholesterol in the circulatory system. Chylomicrons are a fundamental class of apolipoproteins containing very low-density lipoproteins (VLDL), intermediate-density lipoproteins (IDL), low-density lipoproteins (LDL), and high-density lipoproteins (HDL) (1,2).
Human ApoE has three isoforms: ApoE2, ApoE3, and ApoE4. These three isoforms differ in the combination of cysteine and arginine residues located at positions 130 and 176. The ApoE4 isoform contains arginine at both locations. Research studies have linked ApoE4 function to neuronal plasticity, synaptogenesis, and neurodegenerative diseases (3). ApoE4 is produced in the liver and brain, although it is widely expressed in other tissues, such as the lung, spleen, and ovary. Investigators have established the ApoE4 allele as a genetic risk factor for Alzheimer’s disease (AD), accounting for 50-60% of the genetic variation in the disease (4). Research studies indicate that patients expressing ApoE4 have a reduced capacity for synaptic plasticity, an earlier age of onset of AD, and an increase in amyloid-beta (Aβ) deposition. The increase in Aβ suggests a role for ApoE4 in the impairment of amyloid clearance (5).

Species Reactivity

Species reactivity is determined by testing in at least one approved application (e.g., western blot).

Applications Key

W: Western Blotting IHC-P: Immunohistochemistry (Paraffin) IF-F: Immunofluorescence (Frozen) IF-IC: Immunofluorescence (Immunocytochemistry) ELISA+: ELISA and/or ELISA-like Assays

Cross-Reactivity Key

H: Human

Trademarks and Patents

Cell Signaling Technology is a trademark of Cell Signaling Technology, Inc.

SignalStain is a registered trademark of Cell Signaling Technology, Inc.

All other trademarks are the property of their respective owners. Visit cellsignal.com/trademarks for more information.

Limited Uses

Except as otherwise expressly agreed in a writing signed by a legally authorized representative of CST, the following terms apply to Products provided by CST, its affiliates or its distributors. Any Customer's terms and conditions that are in addition to, or different from, those contained herein, unless separately accepted in writing by a legally authorized representative of CST, are rejected and are of no force or effect.

Products are labeled with For Research Use Only or a similar labeling statement and have not been approved, cleared, or licensed by the FDA or other regulatory foreign or domestic entity, for any purpose. Customer shall not use any Product for any diagnostic or therapeutic purpose, or otherwise in any manner that conflicts with its labeling statement. Products sold or licensed by CST are provided for Customer as the end-user and solely for research and development uses. Any use of Product for diagnostic, prophylactic or therapeutic purposes, or any purchase of Product for resale (alone or as a component) or other commercial purpose, requires a separate license from CST. Customer shall (a) not sell, license, loan, donate or otherwise transfer or make available any Product to any third party, whether alone or in combination with other materials, or use the Products to manufacture any commercial products, (b) not copy, modify, reverse engineer, decompile, disassemble or otherwise attempt to discover the underlying structure or technology of the Products, or use the Products for the purpose of developing any products or services that would compete with CST products or services, (c) not alter or remove from the Products any trademarks, trade names, logos, patent or copyright notices or markings, (d) use the Products solely in accordance with CST Product Terms of Sale and any applicable documentation, and (e) comply with any license, terms of service or similar agreement with respect to any third party products or services used by Customer in connection with the Products.

Orders: 877-616-CELL (2355) [email protected] Support: 877-678-TECH (8324) [email protected] Web: cellsignal.com
For Research Use Only. Not for Use in Diagnostic Procedures.

Revision 4

Cell Signaling Technology Logo
Western blot analysis of extracts from various tissues and cell lines using ApoE (pan) (E8C2U) Mouse mAb (upper) or β-Actin (D6A8) Rabbit mAb #8457 (lower). Data were generated using the standard formulation of this product.
Western Blotting Image 1: ApoE (pan) (E8C2U) Mouse Monoclonal Antibody (BSA and Azide Free)
Western blot analysis of extracts from HepG2 cells (lane 1), 293T mock transfected (lane 2) or transiently transfected with a construct expressing ApoE4 (lane 3), whole liver extracts from wild type C57BL/6NTac model #B6-F mice (lane 4), or ApoE4 knock-in (model 1549-F) (lane 5), whole brain extracts from wild type C57BL/6NTac mice (lane 6), or ApoE4 knock-in (lane 7) using ApoE (E8C2U) Mouse mAb (upper) and β-Actin (D6A8) Rabbit mAb #8457 (lower). Mice from Taconic Biosciences, Inc. Data were generated using the standard formulation of this product.
Western Blotting Image 2: ApoE (pan) (E8C2U) Mouse Monoclonal Antibody (BSA and Azide Free)
Immunohistochemical analysis of paraffin-embedded normal human brain using ApoE (pan) (E8C2U) Mouse mAb. Data were generated using the standard formulation of this product.
Immunohistochemistry Image 1: ApoE (pan) (E8C2U) Mouse Monoclonal Antibody (BSA and Azide Free)
Orders: 877-616-CELL (2355) [email protected] Support: 877-678-TECH (8324) [email protected] Web: cellsignal.com
For Research Use Only. Not for Use in Diagnostic Procedures.

Revision 4

Cell Signaling Technology Logo
Immunohistochemical analysis of paraffin-embedded normal human colon using ApoE (pan) (E8C2U) Mouse mAb. Data were generated using the standard formulation of this product.
Immunohistochemistry Image 2: ApoE (pan) (E8C2U) Mouse Monoclonal Antibody (BSA and Azide Free)
Immunohistochemical analysis of paraffin-embedded normal human lymph node using ApoE (pan) (E8C2U) Mouse mAb. Data were generated using the standard formulation of this product.
Immunohistochemistry Image 3: ApoE (pan) (E8C2U) Mouse Monoclonal Antibody (BSA and Azide Free)
Immunohistochemical analysis of paraffin-embedded normal human placenta using ApoE (pan) (E8C2U) Mouse mAb. Data were generated using the standard formulation of this product.
Immunohistochemistry Image 4: ApoE (pan) (E8C2U) Mouse Monoclonal Antibody (BSA and Azide Free)
Orders: 877-616-CELL (2355) [email protected] Support: 877-678-TECH (8324) [email protected] Web: cellsignal.com
For Research Use Only. Not for Use in Diagnostic Procedures.

Revision 4

Cell Signaling Technology Logo
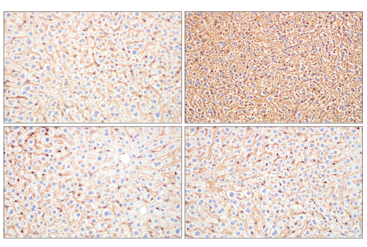
Immunohistochemical analysis of paraffin-embedded human hepatocellular carcinoma using ApoE (pan) (E8C2U) Mouse mAb. Data were generated using the standard formulation of this product.
Immunohistochemistry Image 5: ApoE (pan) (E8C2U) Mouse Monoclonal Antibody (BSA and Azide Free)
Immunohistochemical analysis of paraffin-embedded human urothelial carcinoma using ApoE (pan) (E8C2U) Mouse mAb. Data were generated using the standard formulation of this product.
Immunohistochemistry Image 6: ApoE (pan) (E8C2U) Mouse Monoclonal Antibody (BSA and Azide Free)
Immunohistochemical analysis of paraffin-embedded human B-cell non-Hodgkin lymphoma using ApoE (pan) (E8C2U) Mouse mAb. Data were generated using the standard formulation of this product.
Immunohistochemistry Image 7: ApoE (pan) (E8C2U) Mouse Monoclonal Antibody (BSA and Azide Free)
Orders: 877-616-CELL (2355) [email protected] Support: 877-678-TECH (8324) [email protected] Web: cellsignal.com
For Research Use Only. Not for Use in Diagnostic Procedures.

Revision 4

Cell Signaling Technology Logo
Immunohistochemical analysis of paraffin-embedded human small cell carcinoma of the salivary gland using ApoE (pan) (E8C2U) Mouse mAb. Data were generated using the standard formulation of this product.
Immunohistochemistry Image 8: ApoE (pan) (E8C2U) Mouse Monoclonal Antibody (BSA and Azide Free)
Immunohistochemical analysis of paraffin-embedded brain from C57BL/6NTac (wt/wt, model #B6-F, left) and APOE4 knock-in (hu/hu, model #1549-F, right) mice using ApoE (pan) (E8C2U) Mouse mAb (top) compared to concentration-matched Mouse (E7Q5L) mAb IgG2b Isotype Control #53484 (bottom). Mice from Taconic Biosciences, Inc. Note non-specific mouse on mouse signal in samples with enhanced specific signal in the APOE4 knock-in tissue. Data were generated using the standard formulation of this product.
Immunohistochemistry Image 9: ApoE (pan) (E8C2U) Mouse Monoclonal Antibody (BSA and Azide Free)
Immunohistochemical analysis of paraffin-embedded liver from C57BL/6NTac (wt/wt, model #B6-F, left) and APOE4 knock-in (hu/hu, model #1549-F, right) mice using ApoE (pan) (E8C2U) Mouse mAb (left) compared to concentration-matched Mouse (E7Q5L) mAb IgG2b Isotype Control #53484 (right). Mice from Taconic Biosciences, Inc. Note non-specific mouse on mouse signal in samples with enhanced specific signal in the APOE4 knock-in tissue. Data were generated using the standard formulation of this product.
Immunohistochemistry Image 10: ApoE (pan) (E8C2U) Mouse Monoclonal Antibody (BSA and Azide Free)
Orders: 877-616-CELL (2355) [email protected] Support: 877-678-TECH (8324) [email protected] Web: cellsignal.com
For Research Use Only. Not for Use in Diagnostic Procedures.

Revision 4

Cell Signaling Technology Logo
Immunohistochemical analysis of paraffin-embedded Hep G2 cell pellet (left, positive) or 293T cell pellet (right, negative) using ApoE (pan) (E8C2U) Mouse mAb. Data were generated using the standard formulation of this product.
Immunohistochemistry Image 11: ApoE (pan) (E8C2U) Mouse Monoclonal Antibody (BSA and Azide Free)
Confocal immunofluorescent analysis of Hep G2 cells (left, positive) and HCT 116 cells (right, negative) using ApoE (pan) (E8C2U) Mouse mAb (green), DyLight™ 554 Phalloidin #13054 (red), and DAPI #4083 (blue). Data were generated using the standard formulation of this product.
Immunofluorescence Image 1: ApoE (pan) (E8C2U) Mouse Monoclonal Antibody (BSA and Azide Free)
Data using Total ApoE (pan) Matched Antibody Pair #81073 are shown. The two antibodies function as a capture-target-detection sandwich (#10197 and #31516, respectively) to detect ApoE2, ApoE3, and ApoE4 in various cells and tissues, as shown in the figure.
ELISA and/or ELISA-like Assays Image 1: ApoE (pan) (E8C2U) Mouse Monoclonal Antibody (BSA and Azide Free)
Orders: 877-616-CELL (2355) [email protected] Support: 877-678-TECH (8324) [email protected] Web: cellsignal.com
For Research Use Only. Not for Use in Diagnostic Procedures.