Revision 9

#74417

Store at -20C

CST Logo
Orders:

877-616-CELL (2355)

[email protected]

Support:

877-678-TECH (8324)

3 Trask Lane | Danvers | Massachusetts | 01923 | USA

For Research Use Only. Not for Use in Diagnostic Procedures.

Applications:
W, W-S, IHC-P, IF-F, IF-IC

Reactivity:
H

Sensitivity:
Endogenous

MW (kDa):
35

Source/Isotype:
Mouse IgG2b

UniProt ID:
#P02649

Entrez-Gene Id:
348

Product Usage Information

Application Dilution
Western Blotting 1:1000
Simple Western™ 1:10 - 1:50
Immunohistochemistry (Paraffin) 1:50 - 1:200
Immunofluorescence (Frozen) 1:50 - 1:200
Immunofluorescence (Immunocytochemistry) 1:50 - 1:200

Storage

Supplied in 10 mM sodium HEPES (pH 7.5), 150 mM NaCl, 100 µg/mL BSA, 50% glycerol, and less than 0.02% sodium azide. Store at –20°C. Do not aliquot the antibody.

For a carrier free (BSA and azide free) version of this product see product #31516.

Specificity/Sensitivity

ApoE (pan) (E8C2U) Mouse Monoclonal Antibody recognizes endogenous levels of total ApoE protein.

Source / Purification

Monoclonal antibody is produced by immunizing animals with a recombinant protein fragment specific to human ApoE protein.

Background

Apolipoproteins are plasma lipoproteins that function as transporters of lipids and cholesterol in the circulatory system. Chylomicrons are a fundamental class of apolipoproteins containing very low-density lipoproteins (VLDL), intermediate-density lipoproteins (IDL), low-density lipoproteins (LDL), and high-density lipoproteins (HDL) (1,2).
Human ApoE has three isoforms: ApoE2, ApoE3, and ApoE4. These three isoforms differ in the combination of cysteine and arginine residues located at positions 130 and 176. The ApoE4 isoform contains arginine at both locations. Research studies have linked ApoE4 function to neuronal plasticity, synaptogenesis, and neurodegenerative diseases (3). ApoE4 is produced in the liver and brain, although it is widely expressed in other tissues, such as the lung, spleen, and ovary. Investigators have established the ApoE4 allele as a genetic risk factor for Alzheimer’s disease (AD), accounting for 50-60% of the genetic variation in the disease (4). Research studies indicate that patients expressing ApoE4 have a reduced capacity for synaptic plasticity, an earlier age of onset of AD, and an increase in amyloid-beta (Aβ) deposition. The increase in Aβ suggests a role for ApoE4 in the impairment of amyloid clearance (5).

Species Reactivity

Species reactivity is determined by testing in at least one approved application (e.g., western blot).

Western Blot Buffer

IMPORTANT: For western blots, incubate membrane with diluted primary antibody in 5% w/v BSA, 1X TBS, 0.1% Tween® 20 at 4°C with gentle shaking, overnight.

Applications Key

W: Western Blotting W-S: Simple Western™ IHC-P: Immunohistochemistry (Paraffin) IF-F: Immunofluorescence (Frozen) IF-IC: Immunofluorescence (Immunocytochemistry)

Cross-Reactivity Key

H: Human

Trademarks and Patents

Cell Signaling Technology is a trademark of Cell Signaling Technology, Inc.

SignalStain is a registered trademark of Cell Signaling Technology, Inc.

All other trademarks are the property of their respective owners. Visit cellsignal.com/trademarks for more information.

Limited Uses

Except as otherwise expressly agreed in a writing signed by a legally authorized representative of CST, the following terms apply to Products provided by CST, its affiliates or its distributors. Any Customer's terms and conditions that are in addition to, or different from, those contained herein, unless separately accepted in writing by a legally authorized representative of CST, are rejected and are of no force or effect.

Products are labeled with For Research Use Only or a similar labeling statement and have not been approved, cleared, or licensed by the FDA or other regulatory foreign or domestic entity, for any purpose. Customer shall not use any Product for any diagnostic or therapeutic purpose, or otherwise in any manner that conflicts with its labeling statement. Products sold or licensed by CST are provided for Customer as the end-user and solely for research and development uses. Any use of Product for diagnostic, prophylactic or therapeutic purposes, or any purchase of Product for resale (alone or as a component) or other commercial purpose, requires a separate license from CST. Customer shall (a) not sell, license, loan, donate or otherwise transfer or make available any Product to any third party, whether alone or in combination with other materials, or use the Products to manufacture any commercial products, (b) not copy, modify, reverse engineer, decompile, disassemble or otherwise attempt to discover the underlying structure or technology of the Products, or use the Products for the purpose of developing any products or services that would compete with CST products or services, (c) not alter or remove from the Products any trademarks, trade names, logos, patent or copyright notices or markings, (d) use the Products solely in accordance with CST Product Terms of Sale and any applicable documentation, and (e) comply with any license, terms of service or similar agreement with respect to any third party products or services used by Customer in connection with the Products.

Orders: 877-616-CELL (2355) [email protected] Support: 877-678-TECH (8324) [email protected] Web: cellsignal.com
For Research Use Only. Not for Use in Diagnostic Procedures.

Revision 9

Cell Signaling Technology Logo
Western blot analysis of extracts from various tissues and cell lines using ApoE (pan) (E8C2U) Mouse mAb (upper) or β-Actin (D6A8) Rabbit mAb #8457 (lower).
Western Blotting Image 1: ApoE (pan) (E8C2U) Mouse Monoclonal Antibody
Western blot analysis of extracts from HepG2 cells (lane 1), 293T mock transfected (lane 2) or transiently transfected with a construct expressing ApoE4 (lane 3), whole liver extracts from wild type C57BL/6NTac model #B6-F mice (lane 4), or ApoE4 knock-in (model 1549-F) (lane 5), whole brain extracts from wild type C57BL/6NTac mice (lane 6), or ApoE4 knock-in (lane 7) using ApoE (E8C2U) Mouse mAb (upper) and β-Actin (D6A8) Rabbit mAb #8457 (lower). Mice from Taconic Biosciences, Inc.
Western Blotting Image 2: ApoE (pan) (E8C2U) Mouse Monoclonal Antibody
Simple Western™ analysis of lysates (0.1 mg/mL) from HepG2 cells using ApoE (pan) (E8C2U) Mouse mAb #74417. The virtual lane view (left) shows the target band (as indicated) at 1:10 and 1:50 dilutions of primary antibody. The corresponding electropherogram view (right) plots chemiluminescence by molecular weight along the capillary at 1:10 (blue line) and 1:50 (green line) dilutions of primary antibody. This experiment was performed under reducing conditions on the Jess™ Simple Western instrument from ProteinSimple, a BioTechne brand, using the 12-230 kDa separation module.
Western Blotting Image 1: ApoE (pan) (E8C2U) Mouse Monoclonal Antibody
Orders: 877-616-CELL (2355) [email protected] Support: 877-678-TECH (8324) [email protected] Web: cellsignal.com
For Research Use Only. Not for Use in Diagnostic Procedures.

Revision 9

Cell Signaling Technology Logo
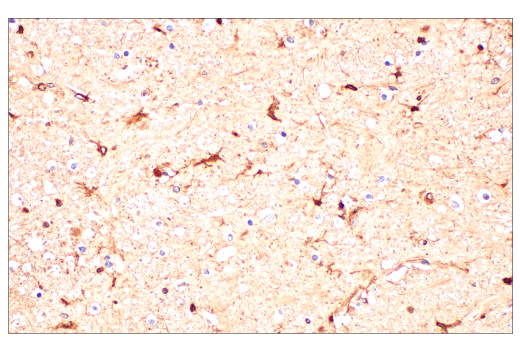
Immunohistochemical analysis of paraffin-embedded normal human brain using ApoE (pan) (E8C2U) Mouse mAb.
Immunohistochemistry Image 1: ApoE (pan) (E8C2U) Mouse Monoclonal Antibody
Immunohistochemical analysis of paraffin-embedded normal human colon using ApoE (pan) (E8C2U) Mouse mAb.
Immunohistochemistry Image 2: ApoE (pan) (E8C2U) Mouse Monoclonal Antibody
Immunohistochemical analysis of paraffin-embedded normal human lymph node using ApoE (pan) (E8C2U) Mouse mAb.
Immunohistochemistry Image 3: ApoE (pan) (E8C2U) Mouse Monoclonal Antibody
Orders: 877-616-CELL (2355) [email protected] Support: 877-678-TECH (8324) [email protected] Web: cellsignal.com
For Research Use Only. Not for Use in Diagnostic Procedures.

Revision 9

Cell Signaling Technology Logo
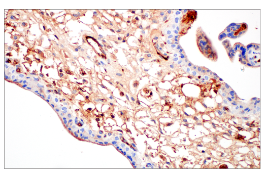
Immunohistochemical analysis of paraffin-embedded normal human placenta using ApoE (pan) (E8C2U) Mouse mAb.
Immunohistochemistry Image 4: ApoE (pan) (E8C2U) Mouse Monoclonal Antibody
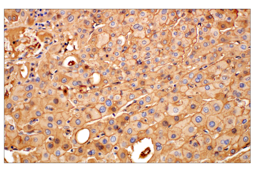
Immunohistochemical analysis of paraffin-embedded human hepatocellular carcinoma using ApoE (pan) (E8C2U) Mouse mAb.
Immunohistochemistry Image 5: ApoE (pan) (E8C2U) Mouse Monoclonal Antibody
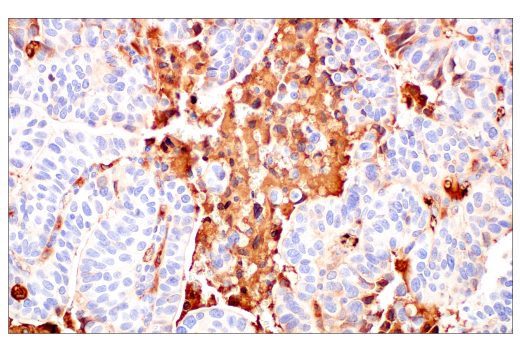
Immunohistochemical analysis of paraffin-embedded human urothelial carcinoma using ApoE (pan) (E8C2U) Mouse mAb.
Immunohistochemistry Image 6: ApoE (pan) (E8C2U) Mouse Monoclonal Antibody
Orders: 877-616-CELL (2355) [email protected] Support: 877-678-TECH (8324) [email protected] Web: cellsignal.com
For Research Use Only. Not for Use in Diagnostic Procedures.

Revision 9

Cell Signaling Technology Logo
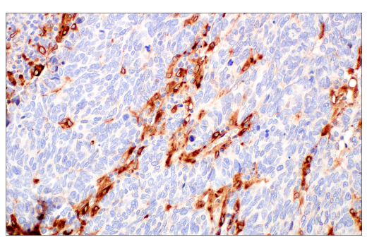
Immunohistochemical analysis of paraffin-embedded human B-cell non-Hodgkin lymphoma using ApoE (pan) (E8C2U) Mouse mAb.
Immunohistochemistry Image 7: ApoE (pan) (E8C2U) Mouse Monoclonal Antibody
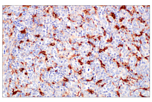
Immunohistochemical analysis of paraffin-embedded human small cell carcinoma of the salivary gland using ApoE (pan) (E8C2U) Mouse mAb.
Immunohistochemistry Image 8: ApoE (pan) (E8C2U) Mouse Monoclonal Antibody
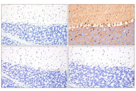
Immunohistochemical analysis of paraffin-embedded brain from C57BL/6NTac (wt/wt, model #B6-F, left) and APOE4 knock-in (hu/hu, model #1549-F, right) mice using ApoE (pan) (E8C2U) Mouse mAb (top) compared to concentration-matched Mouse (E7Q5L) mAb IgG2b Isotype Control #53484 (bottom). Mice from Taconic Biosciences, Inc. Note non-specific mouse on mouse signal in samples with enhanced specific signal in the APOE4 knock-in tissue.
Immunohistochemistry Image 9: ApoE (pan) (E8C2U) Mouse Monoclonal Antibody
Orders: 877-616-CELL (2355) [email protected] Support: 877-678-TECH (8324) [email protected] Web: cellsignal.com
For Research Use Only. Not for Use in Diagnostic Procedures.

Revision 9

Cell Signaling Technology Logo
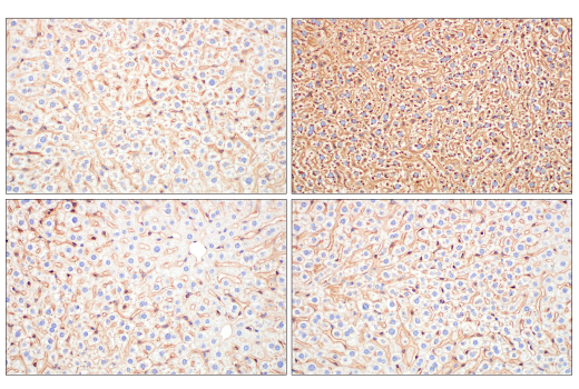
Immunohistochemical analysis of paraffin-embedded liver from C57BL/6NTac (wt/wt, model #B6-F, left) and APOE4 knock-in (hu/hu, model #1549-F, right) mice using ApoE (pan) (E8C2U) Mouse mAb (left) compared to concentration-matched Mouse (E7Q5L) mAb IgG2b Isotype Control #53484 (right). Mice from Taconic Biosciences, Inc. Note non-specific mouse on mouse signal in samples with enhanced specific signal in the APOE4 knock-in tissue.
Immunohistochemistry Image 10: ApoE (pan) (E8C2U) Mouse Monoclonal Antibody
Immunohistochemical analysis of paraffin-embedded Hep G2 cell pellet (left, positive) or 293T cell pellet (right, negative) using ApoE (pan) (E8C2U) Mouse mAb.
Immunohistochemistry Image 11: ApoE (pan) (E8C2U) Mouse Monoclonal Antibody
Confocal immunofluorescent analysis of Hep G2 cells (left, positive) and HCT 116 cells (right, negative) using ApoE (pan) (E8C2U) Mouse mAb (green), DyLight™ 554 Phalloidin #13054 (red), and DAPI #4083 (blue).
Immunofluorescence Image 1: ApoE (pan) (E8C2U) Mouse Monoclonal Antibody
Orders: 877-616-CELL (2355) [email protected] Support: 877-678-TECH (8324) [email protected] Web: cellsignal.com
For Research Use Only. Not for Use in Diagnostic Procedures.