Revision 1

#34811

Store at -20C

Apoptosis Antibody Sampler Kit II

1 Kit

(8 x 20 microliters)

CST Logo
Orders:

877-616-CELL (2355)

[email protected]

Support:

877-678-TECH (8324)

3 Trask Lane | Danvers | Massachusetts | 01923 | USA

For Research Use Only. Not for Use in Diagnostic Procedures.

Product Includes Product # Quantity Mol. Wt Isotype/Source
Caspase-3 (D3R6Y) Rabbit Monoclonal Antibody1422020 µl35, 19, 17 kDaRabbit IgG
Cleaved Caspase-3 (Asp175) (5A1E) Rabbit Monoclonal Antibody966420 µl17, 19 kDaRabbit IgG
PARP (46D11) Rabbit Monoclonal Antibody953220 µl116, 89 kDaRabbit
Cleaved-PARP (Asp214) (E2T4K) Mouse Monoclonal Antibody3256320 µl89 kDaMouse IgG1
Caspase-9 (C9) Mouse Monoclonal Antibody950820 µl47/37/35 (H). 49/39/37 (M). 51/40/38 (R). kDaMouse IgG1
Cleaved Caspase-9 (Asp315) (D8I9E) Rabbit Monoclonal Antibody2075020 µl35 kDaRabbit IgG
Caspase-8 (1C12) Mouse Monoclonal Antibody974620 µl18, 43, 57 kDaMouse IgG1
Cleaved Caspase-8 (Asp374) (E6H8S) Rabbit Monoclonal Antibody9813420 µl18, 41, 43 kDaRabbit IgG
Anti-rabbit IgG, HRP-linked Antibody7074100 µlGoat
Anti-mouse IgG, HRP-linked Antibody7076100 µlHorse

Please visit cellsignal.com for individual component applications, species cross-reactivity, dilutions, protocols, and additional product information.

Description

The Apoptosis Antibody Sampler Kit II provides an economical means of detecting selected targets involved in apoptosis. The kit includes enough antibodies to perform two western blot experiments with each primary antibody.

Storage

Supplied in 10 mM sodium HEPES (pH 7.5), 150 mM NaCl, 100 µg/mL BSA, 50% glycerol, and less than 0.02% sodium azide. Store at –20°C. Do not aliquot the antibody.

Background

Apoptosis is a regulated physiological process leading to cell death. Caspases, a family of cysteine acid proteases, are central regulators of apoptosis. Initiator caspases (including 8, 9, 10, and 12) are closely coupled to proapoptotic signals. Once activated, these caspases cleave and activate downstream effector caspases (including 3, 6, and 7), which in turn cleave cytoskeletal and nuclear proteins like PARP, α-fodrin, DFF, and lamin A and induce apoptosis. Cytochrome c released from mitochondria is coupled to the activation of caspase-9, a key initiator caspase (1). Proapoptotic stimuli include FasL, TNF-α, DNA damage and ER stress. Fas and TNFR activate caspase-8 and -10 (2), DNA damage leads to the activation of caspase-9 and ER stress leads to the calcium-mediated activation of caspase-12 (3). The inhibitor of apoptosis protein (IAP) family includes XIAP and survivin and functions by binding and inhibiting several caspases (4,5). Smac/Diablo, a mitochondrial protein, is released into the cytosol upon mitochondrial stress and competes with caspases for binding of IAPs. The interaction of Smac/Diablo with IAPs relieves the inhibitory effects of IAPs on caspases (6).

Trademarks and Patents

Cell Signaling Technology is a trademark of Cell Signaling Technology, Inc.

All other trademarks are the property of their respective owners. Visit cellsignal.com/trademarks for more information.

Limited Uses

Except as otherwise expressly agreed in a writing signed by a legally authorized representative of CST, the following terms apply to Products provided by CST, its affiliates or its distributors. Any Customer's terms and conditions that are in addition to, or different from, those contained herein, unless separately accepted in writing by a legally authorized representative of CST, are rejected and are of no force or effect.

Products are labeled with For Research Use Only or a similar labeling statement and have not been approved, cleared, or licensed by the FDA or other regulatory foreign or domestic entity, for any purpose. Customer shall not use any Product for any diagnostic or therapeutic purpose, or otherwise in any manner that conflicts with its labeling statement. Products sold or licensed by CST are provided for Customer as the end-user and solely for research and development uses. Any use of Product for diagnostic, prophylactic or therapeutic purposes, or any purchase of Product for resale (alone or as a component) or other commercial purpose, requires a separate license from CST. Customer shall (a) not sell, license, loan, donate or otherwise transfer or make available any Product to any third party, whether alone or in combination with other materials, or use the Products to manufacture any commercial products, (b) not copy, modify, reverse engineer, decompile, disassemble or otherwise attempt to discover the underlying structure or technology of the Products, or use the Products for the purpose of developing any products or services that would compete with CST products or services, (c) not alter or remove from the Products any trademarks, trade names, logos, patent or copyright notices or markings, (d) use the Products solely in accordance with CST Product Terms of Sale and any applicable documentation, and (e) comply with any license, terms of service or similar agreement with respect to any third party products or services used by Customer in connection with the Products.

Orders: 877-616-CELL (2355) [email protected] Support: 877-678-TECH (8324) [email protected] Web: cellsignal.com
For Research Use Only. Not for Use in Diagnostic Procedures.

Revision 1

Cell Signaling Technology Logo
Western blot analysis of various cell lines, untreated (-) or treated with Staurosporine #9953 (1 μM; 3 hr) or with Etoposide #2200 (25 μM, overnight), using Caspase-3 (D3R6Y) Rabbit mAb (upper) or β-Actin (D6A8) Rabbit mAb #8457 (lower). MCF7 cells are negative for caspase-3 expression.
undefined Image 1: Apoptosis Antibody Sampler Kit II
Western blot analysis of extracts from HeLa and Jurkat cells, untreated (-) or treated with Staurosporine #9953 (1 μM, 3 hr; +) or Etoposide #2200 (25 μM, overnight; +), using Cleaved-Caspase-9 (Asp315) (D8I9E) Rabbit mAb (upper), Caspase-9 (C9) Mouse mAb #9508 (middle), or β-Actin (D6A8) Rabbit mAb #8457 (lower).
undefined Image 2: Apoptosis Antibody Sampler Kit II
Western blot analysis of extracts from serum starved HeLa or HT-29 cells, untreated (-) or treated with Staurosporine #9953 (1 μM; +), using Cleaved PARP (Asp214) (E2T4K) Mouse mAb (upper), total PARP (46D11) Rabbit mAb #9532 (middle), or β-Actin (D6A8) Rabbit mAb #8457 (lower).
undefined Image 3: Apoptosis Antibody Sampler Kit II
Orders: 877-616-CELL (2355) [email protected] Support: 877-678-TECH (8324) [email protected] Web: cellsignal.com
For Research Use Only. Not for Use in Diagnostic Procedures.

Revision 1

Cell Signaling Technology Logo
After the primary antibody is bound to the target protein, a complex with HRP-linked secondary antibody is formed. The LumiGLO® is added and emits light during enzyme catalyzed decomposition.
undefined Image 4: Apoptosis Antibody Sampler Kit II
After the primary antibody is bound to the target protein, a complex with HRP-linked secondary antibody is formed. The LumiGLO* is added and emits light during enzyme catalyzed decomposition.
undefined Image 5: Apoptosis Antibody Sampler Kit II
Western blot analysis of extracts from Jurkat cells (human), L929 cells (mouse), and C6 cells (rat), untreated or treated with staurosporine or cytochrome c as indicated, using Caspase 9 (C9) Mouse mAb.
undefined Image 6: Apoptosis Antibody Sampler Kit II
Orders: 877-616-CELL (2355) [email protected] Support: 877-678-TECH (8324) [email protected] Web: cellsignal.com
For Research Use Only. Not for Use in Diagnostic Procedures.

Revision 1

Cell Signaling Technology Logo
Western blot analysis of extracts from control HEK293 cells (lane 1) or PARP knockout HEK293 cells (lane 2) using PARP (46D11) Rabbit mAb #9532 (upper) or β-actin (13E5) Rabbit mAb #4970 (lower). The absence of signal in the PARP knockout HEK293 cells confirms the specificity of the antibody for PARP.
undefined Image 7: Apoptosis Antibody Sampler Kit II
Western blot analysis of extracts from control HeLa cells (lane 1) or Caspase-8 knockout HeLa cells (lane 2) using Caspase-8 (1C12) Mouse mAb #9746 (upper), or β-actin (13E5) Rabbit mAb #4970 (lower). The absence of signal in the Caspase-8-knockout HeLa cells confirms specificity of the antibody for Caspase-8.
undefined Image 8: Apoptosis Antibody Sampler Kit II
Western blot analysis of extracts from HCT 116 and CRISPR/Cas9 caspase-8 knockout (KO) HCT 116 cells, untreated (-) or treated with Staurosporine #9953 (1 μM, 4 hr; +), using Cleaved Caspase-8 (Asp374) (E6H8S) Rabbit mAb (upper), Caspase-8 (1C12) Mouse mAb #9746 (middle), or GAPDH (D16H11) XP® Rabbit mAb #5174 (lower).
undefined Image 9: Apoptosis Antibody Sampler Kit II
Orders: 877-616-CELL (2355) [email protected] Support: 877-678-TECH (8324) [email protected] Web: cellsignal.com
For Research Use Only. Not for Use in Diagnostic Procedures.

Revision 1

Cell Signaling Technology Logo
Western blot analysis of extracts from HCT116 cells (lane 1) or CASP3 knock-out cells (lane 2) using Caspase-3 (D3R6Y) Rabbit mAb #14220 (upper), and α-Actinin (D6F6) XP® Rabbit mAb #6487 (lower). The absence of signal in the CASP3 knock-out HCT116 cells confirms specificity of the antibody for CASP3.
undefined Image 10: Apoptosis Antibody Sampler Kit II
Confocal immunofluorescent analysis of HeLa cells, serum-starved (left) or treated with Staurosporine #9953 (1 μM, 3 hr; right), using Cleaved Caspase-9 (Asp315) (D8I9E) Rabbit mAb (green). Actin filaments were labeled with DyLight™ 554 Phalloidin #13054 (red). Blue pseudocolor = DRAQ5® #4084 (fluorescent DNA dye).
undefined Image 11: Apoptosis Antibody Sampler Kit II
Immunoprecipitation of cleaved PARP (Asp214) from serum-starved HeLa cells treated with Staurosporine #9953 (1 μM, 3 hr). Lane 1 is 10% input, lane 2 is Mouse (G3A1) mAb IgG1 Isotype Control #5415, and lane 3 is Cleaved PARP (Asp214) (E2T4K) Mouse mAb. Western blot was performed using Cleaved PARP (Asp214) (E2T4K) Mouse mAb. Anti-mouse IgG, HRP-linked Antibody #7076 was used as a secondary antibody.
undefined Image 12: Apoptosis Antibody Sampler Kit II
Orders: 877-616-CELL (2355) [email protected] Support: 877-678-TECH (8324) [email protected] Web: cellsignal.com
For Research Use Only. Not for Use in Diagnostic Procedures.

Revision 1

Cell Signaling Technology Logo
Western blot analysis of extracts from THP-1 cells, untreated or treated with TNF-α and cycloheximide as well as control extracts from SW620 and A20 cell lines, using PARP (46D11) Rabbit mAb.
undefined Image 13: Apoptosis Antibody Sampler Kit II
Western blot analysis of extracts from HCT 116 and HCT 116 Caspase-8 knockout cells, untreated (-) or treated with staurosporine #9953 (1 μM, 4 hr; +), using #9746 (upper) or GAPDH (D16H11) XP® Rabbit mAb #5174 (lower). The absence of signal in the HCT 116 knockout cells confirms the specificity of the antibody for Caspase-8.
undefined Image 14: Apoptosis Antibody Sampler Kit II
Flow cytometric analysis of Jurkat cells, untreated (blue) or treated with Etoposide #2200 (25 μM, 18 hr; green) using Cleaved Caspase-9 (Asp315) (D8I9E) Rabbit mAb (solid lines) or concentration-matched Rabbit (DA1E) mAb IgG XP® Isotype Control #3900 (dashed lines). Anti-rabbit IgG (H+L), F(ab')2 Fragment (Alexa Fluor® 488 Conjugate) #4412 was used as a secondary antibody.
undefined Image 15: Apoptosis Antibody Sampler Kit II
Orders: 877-616-CELL (2355) [email protected] Support: 877-678-TECH (8324) [email protected] Web: cellsignal.com
For Research Use Only. Not for Use in Diagnostic Procedures.

Revision 1

Cell Signaling Technology Logo
Immunohistochemical analysis of paraffin-embedded HeLa cell pellet, untreated (left) or treated with Staurosporine #9953 (right), using Cleaved-PARP (Asp214) (E2T4K) Mouse mAb.
undefined Image 16: Apoptosis Antibody Sampler Kit II
Confocal immunofluorescent analysis of untreated HeLa cells labeled with PARP (46D11) Rabbit mAb (green). Actin filaments have been labeled with Alexa Fluor® 555 phalloidin (red).
undefined Image 17: Apoptosis Antibody Sampler Kit II
Western blot analysis of extracts from SKW6.4 cells, untreated or anti-Fas-treated (1 µg/ml), and Jurkat cells, untreated or etoposide-treated (25 µM), using Caspase-8 (1C12) Mouse mAb.
undefined Image 18: Apoptosis Antibody Sampler Kit II
Orders: 877-616-CELL (2355) [email protected] Support: 877-678-TECH (8324) [email protected] Web: cellsignal.com
For Research Use Only. Not for Use in Diagnostic Procedures.

Revision 1

Cell Signaling Technology Logo
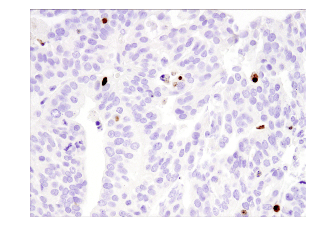
Immunohistochemical analysis of paraffin-embedded human colon carcinoma using Cleaved-PARP (Asp214) (E2T4K) Mouse mAb.
undefined Image 19: Apoptosis Antibody Sampler Kit II
Flow cytometric analysis of Jurkat cells using PARP (46D11) Rabbit mAb (solid line) compared to concentration-matched Rabbit (DA1E) mAb IgG XP® Isotype Control #3900 (dashed line). Anti-rabbit IgG (H+L), F(ab')2 Fragment (Alexa Fluor® 488 Conjugate) #4412 was used as a secondary antibody.
undefined Image 20: Apoptosis Antibody Sampler Kit II
Immunohistochemical analysis of paraffin-embedded human non-Hodgkin lymphoma using Cleaved-PARP (Asp214) (E2T4K) Mouse mAb.
undefined Image 21: Apoptosis Antibody Sampler Kit II
Orders: 877-616-CELL (2355) [email protected] Support: 877-678-TECH (8324) [email protected] Web: cellsignal.com
For Research Use Only. Not for Use in Diagnostic Procedures.

Revision 1

Cell Signaling Technology Logo
Immunohistochemical analysis of paraffin-embedded human endometrioid adenocarcinoma using Cleaved-PARP (Asp214) (E2T4K) Mouse mAb.
undefined Image 22: Apoptosis Antibody Sampler Kit II
Confocal immunofluorescent analysis of serum-starved HeLa cells, untreated (left) or treated with Staurosporine #9953 (right), using Cleaved PARP (Asp214) (E2T4K) Mouse mAb (green). Actin filaments were labeled with DyLight™ 554 Phalloidin #13054 (red). Blue pseudocolor = DRAQ5® #4084 (fluorescent DNA dye).
undefined Image 23: Apoptosis Antibody Sampler Kit II
Flow cytometric analysis of Jurkat cells, untreated (blue) or treated with etoposide (25 μM, 18 hr; green), using Cleaved PARP1 (Asp214) (E2T4K) Mouse mAb (solid lines) or concentration-matched Mouse (G3A1) mAb IgG1 Isotype Control #5415. Anti-mouse IgG (H+L), F(ab')2 Fragment (Alexa Fluor® 488 Conjugate) #4408 was used as a secondary antibody.
undefined Image 24: Apoptosis Antibody Sampler Kit II
Orders: 877-616-CELL (2355) [email protected] Support: 877-678-TECH (8324) [email protected] Web: cellsignal.com
For Research Use Only. Not for Use in Diagnostic Procedures.

Revision 1

Cell Signaling Technology Logo
Simple Western™ analysis of lysates (1 mg/mL) from Jurkat cells treated with Cytochrome C using Caspase-3 (D3R6Y) Rabbit mAb #14220. The virtual lane view (left) shows the target bands (as indicated) at 1:10 and 1:50 dilutions of primary antibody. The corresponding electropherogram view (right) plots chemiluminescence by molecular weight along the capillary at 1:10 (blue line) and 1:50 (green line) dilutions of primary antibody. This experiment was performed under reducing conditions on the Jess™ Simple Western instrument from ProteinSimple, a BioTechne brand, using the 12-230 kDa separation module.
undefined Image 25: Apoptosis Antibody Sampler Kit II
Immunoprecipitation of Cleaved Caspase-9 (Asp315) protein from Jurkat + Etoposide #2200 (25uM, 5hrs) cell extracts. Lane 1 is 10% input, lane 2 is Rabbit (DA1E) mAb IgG XP® Isotype Control #3900, and lane 3 is Cleaved Caspase-9 (Asp315) (D8I9E) Rabbit mAb. Western blot analysis was performed using Cleaved Caspase-9 (Asp315) (D8I9E) Rabbit mAb. Mouse Anti-rabbit IgG (Conformation Specific) (L27A9) mAb #3678 was used as a secondary antibody.
undefined Image 26: Apoptosis Antibody Sampler Kit II
Simple Western™ analysis of lysates (1 mg/mL) from Jurkat cells treated with Etoposide (25 uM, 5 hours) using PARP (46D11) Rabbit mAb #9532. The virtual lane view (left) shows the target bands (as indicated) at 1:10 and 1:50 dilutions of primary antibody. The corresponding electropherogram view (right) plots chemiluminescence by molecular weight along the capillary at 1:10 (blue line) and 1:50 (green line) dilutions of primary antibody. This experiment was performed under reducing conditions on the Jess™ Simple Western instrument from ProteinSimple, a BioTechne brand, using the 12-230 kDa separation module.
undefined Image 27: Apoptosis Antibody Sampler Kit II
Orders: 877-616-CELL (2355) [email protected] Support: 877-678-TECH (8324) [email protected] Web: cellsignal.com
For Research Use Only. Not for Use in Diagnostic Procedures.

Revision 1

Cell Signaling Technology Logo
Enhanced cross-linking and immunoprecipitation (eCLIP) was performed with RNA from K-562 cells and PARP (46D11) Rabbit mAb using a protocol based on the RBP-eCLIP method from Eclipsebio. The figure shows binding across the GET4 transcript. Data is kindly provided by the laboratory of Dr. Gene Yeo and used with permission.
undefined Image 28: Apoptosis Antibody Sampler Kit II
Western blot analysis of extracts from C6 (rat), NIH/3T3 (mouse), and Jurkat (human) cells, untreated or treated with staurosporine #9953 (1uM, 3hrs) or etoposide #2200 (25uM, 5hrs) as indicated, using Cleaved Caspase-3 (Asp175) (5A1E) Rabbit mAb.
undefined Image 29: Apoptosis Antibody Sampler Kit II
Immunohistochemical analysis of paraffin-embedded mouse embryo, using Cleaved Caspase-3 (Asp175) (5A1E) Rabbit mAb in the presence of control peptide (left) or Cleaved Caspase-3 (Asp175) Blocking Peptide (#1050) (right).
undefined Image 30: Apoptosis Antibody Sampler Kit II
Orders: 877-616-CELL (2355) [email protected] Support: 877-678-TECH (8324) [email protected] Web: cellsignal.com
For Research Use Only. Not for Use in Diagnostic Procedures.

Revision 1

Cell Signaling Technology Logo
Immunohistochemical analysis using Cleaved Caspase-3 (Asp175) (5A1E) Rabbit mAb on SignalSlide® Cleaved Caspase-3 IHC Controls #8104 (paraffin-embedded Jurkat cells, untreated (left) or etoposide-treated (right)).
undefined Image 31: Apoptosis Antibody Sampler Kit II
Immunohistochemical staining of paraffin-embedded mouse embryo, showing cytoplasmic localization in apoptotic cells, using Cleaved Caspase-3 (Asp175) (5A1E) Rabbit mAb.
undefined Image 32: Apoptosis Antibody Sampler Kit II
Confocal immunofluorescent images of HT-29 cells, untreated (left) or Staurosporine #9953 treated (right) labeled with Cleaved Caspase-3 (Asp175) (5A1E) Rabbit mAb (green). Actin filaments have been labeled with Alexa Fluor® 555 phalloidin #8953 (red). Blue pseudocolor = DRAQ5® #4084 (fluorescent DNA dye).
undefined Image 33: Apoptosis Antibody Sampler Kit II
Orders: 877-616-CELL (2355) [email protected] Support: 877-678-TECH (8324) [email protected] Web: cellsignal.com
For Research Use Only. Not for Use in Diagnostic Procedures.

Revision 1

Cell Signaling Technology Logo
Simple Western™ analysis of lysates (0.1 mg/mL) from Jurkat cells treated with Cytochrome C using Cleaved Caspase-3 (Asp175) (5A1E) Rabbit mAb #9664. The virtual lane view (left) shows the target bands (as indicated) at 1:10 and 1:50 dilutions of primary antibody. The corresponding electropherogram view (right) plots chemiluminescence by molecular weight along the capillary at 1:10 (blue line) and 1:50 (green line) dilutions of primary antibody. This experiment was performed under reducing conditions on the Jess™ Simple Western instrument from ProteinSimple, a BioTechne brand, using the 12-230 kDa separation module.
undefined Image 34: Apoptosis Antibody Sampler Kit II
Immunoprecipitation of Cleaved Caspase-3 from Jurkat cells treated with etoposide (25uM, 5hrs). Lane 1 is 10% input, lane 2 is Rabbit (DA1E) mAb IgG XP® Isotype Control #3900, and lane 3 is Cleaved Caspase-3 (Asp175) (5A1E) Rabbit mAb. Western blot was performed using Cleaved Caspase-3 (Asp175) (5A1E) Rabbit mAb. Anti-rabbit IgG, HRP-linked Antibody #7074 was used as a secondary antibody.
undefined Image 35: Apoptosis Antibody Sampler Kit II
Flow cytometric analysis of Jurkat cells, untreated (blue) or treated with Etoposide #2200 (25 μM, 18 hr; green) using Cleaved Caspase-3 (Asp175) (5A1E) Rabbit mAb (solid lines) or concentration-matched Rabbit (DA1E) mAb IgG XP® Isotype Control #3900 (dashed lines). Anti-rabbit IgG (H+L), F(ab')2 Fragment (Alexa Fluor® 488 Conjugate) #4412 was used as a secondary antibody.
undefined Image 36: Apoptosis Antibody Sampler Kit II
Orders: 877-616-CELL (2355) [email protected] Support: 877-678-TECH (8324) [email protected] Web: cellsignal.com
For Research Use Only. Not for Use in Diagnostic Procedures.

Revision 1

Cell Signaling Technology Logo
Western blot analysis of extracts from THP-1 cells, untreated (-) or treated (+) as indicated with: Cycloheximide #2112 (10 μg/mL, 18 hr) followed by Human Tumor Necrosis Factor-α (hTNF-α) #8902 (20 ng/mL, 4 hr) using Cleaved Caspase-8 (Asp374) (E6H8S) Rabbit mAb (upper), Caspase-8 (1C12) Mouse mAb #9746 (middle), or GAPDH (D16H11) XP® Rabbit mAb #5174 (lower).
undefined Image 37: Apoptosis Antibody Sampler Kit II
Western blot analysis of extracts from Jurkat cells, untreated (-) or treated with Etoposide #2200 (1 μM, 18 hr; +), using Cleaved Caspase-8 (Asp374) (E6H8S) Rabbit mAb (upper), Caspase-8 (1C12) Mouse mAb #9746 (middle), or GAPDH (D16H11) XP® Rabbit mAb #5174 (lower).
undefined Image 38: Apoptosis Antibody Sampler Kit II
Immunoprecipitation of cleaved caspase-8 protein from HeLa cell extracts. Cells were treated with Staurosporine #9953 (10 μM, 3 hr). Lane 1 is 10% input, lane 2 is Rabbit (DA1E) mAb IgG XP® Isotype Control #3900, and lane 3 is Cleaved Caspase-8 (Asp374) (E6H8S) Rabbit mAb. Western blot analysis was performed using Cleaved Caspase-8 (Asp374) (E6H8S) Rabbit mAb. Mouse Anti-rabbit IgG (Conformation Specific) (L27A9) mAb (HRP Conjugate) #5127 was used as a secondary antibody.
undefined Image 39: Apoptosis Antibody Sampler Kit II
Orders: 877-616-CELL (2355) [email protected] Support: 877-678-TECH (8324) [email protected] Web: cellsignal.com
For Research Use Only. Not for Use in Diagnostic Procedures.

Revision 1

Cell Signaling Technology Logo
Flow cytometric analysis of serum starved HCT 116 cells, untreated (blue) or treated with Staurosporine #9953 (1 μM, 4 hr; green), using Cleaved Caspase-8 (Asp374) (E6H8S) Rabbit mAb (solid lines) or concentration-matched Rabbit (DA1E) mAb IgG XP® Isotype Control #3900 (dashed lines). Anti-rabbit IgG (H+L), F(ab')₂ Fragment (Alexa Fluor® 488 Conjugate) #4412 was used as a secondary antibody.
undefined Image 40: Apoptosis Antibody Sampler Kit II
Confocal immunofluorescent analysis of HCT 116 cells (left) or CRISPR/Cas9 Casp8 knockout (KO) HCT 116 cells (right), both serum starved and then treated with Staurosporine #9953 (1 μM, 4 hr) using Cleaved Caspase-8 (Asp374) (E6H8S) Rabbit mAb (green), DyLight 650 Phalloidin #12956 (red), and DAPI #4083 (blue).
undefined Image 41: Apoptosis Antibody Sampler Kit II
Simple Western™ analysis of Jurkat cell lysates (1 mg/mL) treated with Cytochrome C (0.25mg/mL, 45 min) using Cleaved Caspase-8 (Asp374) (E6H8S) Rabbit mAb #98134. The virtual lane view (left) shows the target band (as indicated) at 1:50 and 1:250 dilutions of primary antibody. The corresponding electropherogram view (right) plots chemiluminescence by molecular weight along the capillary at 1:50 (blue line) and 1:250 (green line) dilutions of primary antibody. This experiment was performed under reducing conditions on the Jess™ Simple Western instrument from ProteinSimple, a BioTechne brand, using the 12-230 kDa separation module.
undefined Image 42: Apoptosis Antibody Sampler Kit II
Orders: 877-616-CELL (2355) [email protected] Support: 877-678-TECH (8324) [email protected] Web: cellsignal.com
For Research Use Only. Not for Use in Diagnostic Procedures.